JavaScript is disabled in your browser. Please enable JavaScript to view this website.
AB233954

Anti-ACTH antibody [57] - N-terminal

  • BOND RX™ Validated
  • Advanced Validation
  • Recombinant
  • What is this?

Be the first to review this product! Submit a review

|

(1 Publication)

Mouse Recombinant Monoclonal POMC antibody. N-terminal. Suitable for mIHC, IHC-P and reacts with Human, Rat, Mouse samples. Cited in 1 publication.

View Alternative Names

Pro-opiomelanocortin, POMC, Corticotropin-lipotropin

5 Images
Immunohistochemistry (Formalin/PFA-fixed paraffin-embedded sections) - Anti-ACTH antibody [57] - N-terminal (AB233954)
  • IHC-P

Lab

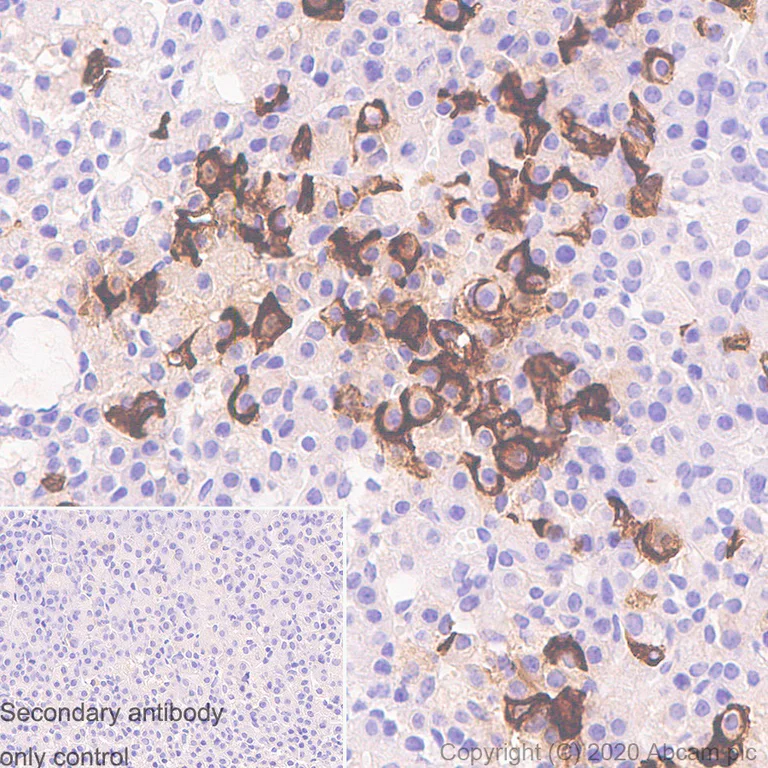
Immunohistochemistry (Formalin/PFA-fixed paraffin-embedded sections) - Anti-ACTH antibody [57] - N-terminal (AB233954)

Immunohistochemical analysis of Human pituatary gland tissue stained for ACTH using ab233954 at 1/5000 dilution. Positive staining on human pituitary gland. The section was incubated with ab233954 for 30 mins at room temperature. The immunostaining was performed on a Leica Biosystems BOND® RX instrument.

Multiplex immunohistochemistry - Anti-ACTH antibody [57] - N-terminal (AB233954)
  • mIHC

Supplier Data

Multiplex immunohistochemistry - Anti-ACTH antibody [57] - N-terminal (AB233954)

Immunohistochemistry (Formalin/PFA-fixed paraffin-embedded sections) analysis of Human pituitary gland labelling ACTH with ab233954 at 1/5000 dilution (0.214 μg/ml) (B), Luteinizing Hormone beta with ab221494 at 1/4000 dilution (0.258 μg/ml) (C) and Growth Hormone with ab155276 at 1/5000 dilution (0.044 μg/ml) (D). Opal Polymer HRP Ms + Rb was used as a secondary antibody, and DAPI was used for a nuclear counter stain. Heat mediated antigen retrieval with Tris-EDTA buffer (pH 9.0, epitope retrieval solution2) for 20 mins. Panel A : merged staining of anti-Growth Hormone (gray; Opal™690), anti-ACTH (green; Opal™520) and anti-Luteinizing Hormone beta (red; Opal™570) on human pituitary gland. Panel B : anti-ACTH stained on corticotrophs. Panel C : anti-Luteinizing Hormone beta stained on gonadotrophs. Panel D : anti-Growth Hormone stained on somatotrophs. The section was incubated in three rounds of staining : in the order of ab155276, ab233954, and ab221494 for 30 mins at room temperature. Each round was followed by a separate fluorescent tyramide signal amplification system. The immunostaining was performed on a Leica Biosystems BOND® RX instrument with an Opal™ 4-color kit. Image acquisition was performed with Leica SP8 confocal microscope.

Multiplex immunohistochemistry - Anti-ACTH antibody [57] - N-terminal (AB233954)
  • mIHC

Supplier Data

Multiplex immunohistochemistry - Anti-ACTH antibody [57] - N-terminal (AB233954)

Fluorescence multiplex immunohistochemical analysis of human pituitary gland tissue (formalin-fixed paraffin-embedded section). Panel A shows merged staining of anti-ACTH stained on corticotrophs (ab233954; green; Opal™520) at 1 : 5000 (0.214 μg/ml) [Panel B], anti-TSH beta stained on thyrotrophs (ab155958; red; Opal™570) at 1 : 500 (1.728 μg/ml) [Panel C], and anti-Growth Hormone stained on somatotrophs (ab155276; gray; Opal™690) at 1 : 5000 (0.044 μg/ml) [Panel D] on human pituitary gland. DAPI was used as a nuclear counter stain. Followed by Opal Polymer HRP Ms + Rb secondary antibody. The immunostaining was performed on a Leica Biosystems BOND® RX instrument with an Opal™ 4-color kit. Image acquisition was performed with Leica SP8 confocal microscope. The section was incubated in three rounds of staining : in the order of ab155276, ab233954, and ab155958 for 30 mins at room temperature. Each round was followed by a separate fluorescent tyramide signal amplification system. Heat mediated antigen retrieval with Tris-EDTA buffer (pH 9.0, epitope retrieval solution2) for 20 mins was used.

Immunohistochemistry (Formalin/PFA-fixed paraffin-embedded sections) - Anti-ACTH antibody [57] - N-terminal (AB233954)
  • IHC-P

Lab

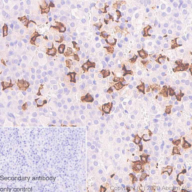
Immunohistochemistry (Formalin/PFA-fixed paraffin-embedded sections) - Anti-ACTH antibody [57] - N-terminal (AB233954)

Immunohistochemical analysis of Mouse pituatary gland tissue stained for ACTH using ab233954 at 1/20000 dilution. Positive staining on mouse pituitary gland. The section was incubated with ab233954 for 30 mins at room temperature. The immunostaining was performed on a Leica Biosystems BOND® RX instrument.

Immunohistochemistry (Formalin/PFA-fixed paraffin-embedded sections) - Anti-ACTH antibody [57] - N-terminal (AB233954)
  • IHC-P

Lab

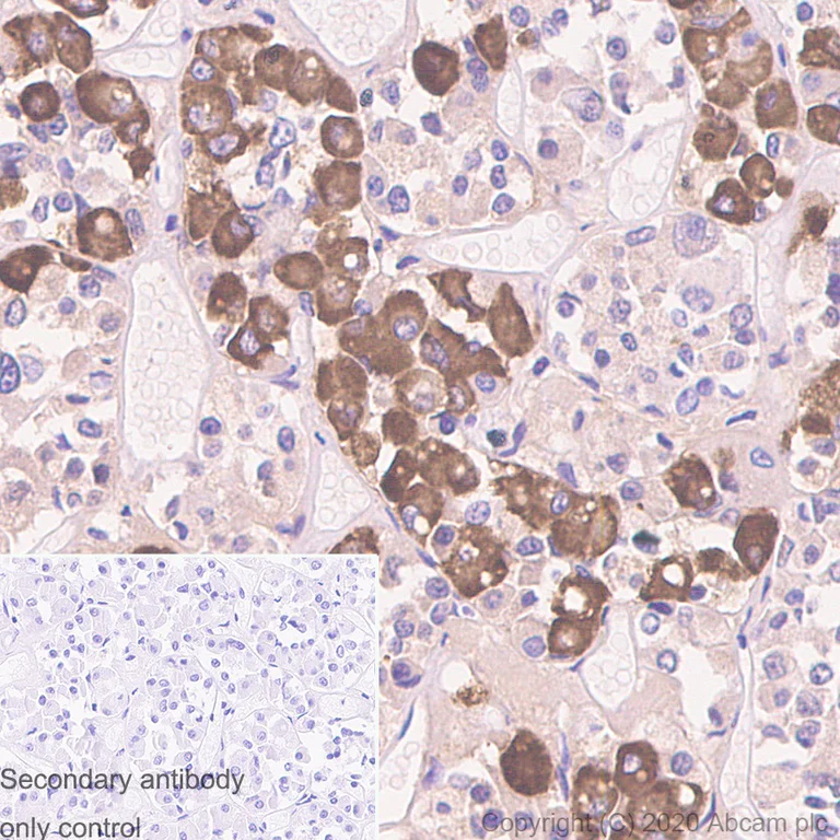
Immunohistochemistry (Formalin/PFA-fixed paraffin-embedded sections) - Anti-ACTH antibody [57] - N-terminal (AB233954)

Immunohistochemical analysis of Rat pituatary gland tissue stained for ACTH using ab233954 at 1/20000 dilution. Positive staining on rat pituitary gland. The section was incubated with ab233954 for 30 mins at room temperature. The immunostaining was performed on a Leica Biosystems BOND® RX instrument.

  • Carrier free

    Anti-ACTH antibody [57] - N-terminal- BSA and Azide free

Key facts

Host species

Mouse

Clonality

Monoclonal

Clone number

57

Isotype

IgG1

Light chain type

kappa

Carrier free

No

Reacts with

Human, Mouse, Rat

Applications

IHC-P, mIHC

applications

Immunogen

The exact immunogen used to generate this antibody is proprietary information.

Reactivity data

{ "title": "Reactivity Data", "filters": { "stats": ["", "Species", "Dilution Info", "Notes"], "tabs": { "all-applications": {"fullname" : "All Applications", "shortname": "All Applications"}, "mIHC" : {"fullname" : "Multiplex immunohistochemistry", "shortname":"mIHC"}, "IHCP" : {"fullname" : "Immunohistochemistry (Formalin/PFA-fixed paraffin-embedded sections)", "shortname":"IHC-P"}, "WB" : {"fullname" : "Western blot", "shortname":"WB"}, "ICC" : {"fullname" : "Immunocytochemistry", "shortname":"ICC"}, "FlowCyt" : {"fullname" : "Flow Cytometry", "shortname":"Flow Cyt"} }, "product-promise": { "all": "all", "testedAndGuaranteed": "tested", "guaranteed": "expected", "predicted": "predicted", "notRecommended": "not-recommended" } }, "values": { "Human": { "mIHC-species-checked": "testedAndGuaranteed", "mIHC-species-dilution-info": "1/5000", "mIHC-species-notes": "<p></p> Perform heat-mediated antigen retrieval with Tris/EDTA buffer pH 9.0 before commencing with IHC staining protocol.", "IHCP-species-checked": "testedAndGuaranteed", "IHCP-species-dilution-info": "1/5000 - 1/20000", "IHCP-species-notes": "<p>Recommend 1:5000 for human species and 1:20, 000 for mouse and rat species</p> Perform heat-mediated antigen retrieval with citrate buffer pH 6 before commencing with IHC staining protocol.", "WB-species-checked": "notRecommended", "WB-species-dilution-info": "", "WB-species-notes": "<p></p>", "ICC-species-checked": "notRecommended", "ICC-species-dilution-info": "", "ICC-species-notes": "<p></p>", "FlowCyt-species-checked": "notRecommended", "FlowCyt-species-dilution-info": "", "FlowCyt-species-notes": "<p></p>" }, "Mouse": { "mIHC-species-checked": "guaranteed", "mIHC-species-dilution-info": "", "mIHC-species-notes": "", "IHCP-species-checked": "testedAndGuaranteed", "IHCP-species-dilution-info": "1/5000 - 1/20000", "IHCP-species-notes": "<p>Recommend 1:5000 for human species and 1:20, 000 for mouse and rat species</p> Perform heat-mediated antigen retrieval with citrate buffer pH 6 before commencing with IHC staining protocol.", "WB-species-checked": "notRecommended", "WB-species-dilution-info": "", "WB-species-notes": "<p></p>", "ICC-species-checked": "notRecommended", "ICC-species-dilution-info": "", "ICC-species-notes": "", "FlowCyt-species-checked": "notRecommended", "FlowCyt-species-dilution-info": "", "FlowCyt-species-notes": "" }, "Rat": { "mIHC-species-checked": "guaranteed", "mIHC-species-dilution-info": "", "mIHC-species-notes": "", "IHCP-species-checked": "testedAndGuaranteed", "IHCP-species-dilution-info": "1/5000 - 1/20000", "IHCP-species-notes": "<p>Recommend 1:5000 for human species and 1:20, 000 for mouse and rat species</p> Perform heat-mediated antigen retrieval with citrate buffer pH 6 before commencing with IHC staining protocol.", "WB-species-checked": "notRecommended", "WB-species-dilution-info": "", "WB-species-notes": "<p></p>", "ICC-species-checked": "notRecommended", "ICC-species-dilution-info": "", "ICC-species-notes": "", "FlowCyt-species-checked": "notRecommended", "FlowCyt-species-dilution-info": "", "FlowCyt-species-notes": "" } } }

Product details

This product was switched from a hybridoma to recombinant production format on 25th November 2021.

What are the advantages of a recombinant monoclonal antibody?
This product is a recombinant monoclonal antibody, which offers several advantages including:

  • - High batch-to-batch consistency and reproducibility
  • - Improved sensitivity and specificity
  • - Long-term security of supply
  • - Animal-free batch production

For more information, read more on recombinant antibodies.

Properties and storage information

Form
Liquid
Purification technique
Affinity purification Protein A
Storage buffer
pH: 7.2 - 7.4 Preservative: 0.01% Sodium azide Constituents: PBS, 40% Glycerol (glycerin, glycerine), 0.05% BSA
Shipped at conditions
Blue Ice
Appropriate short-term storage duration
1-2 weeks
Appropriate short-term storage conditions
+4°C
Appropriate long-term storage conditions
-20°C
Aliquoting information
Upon delivery aliquot
Storage information
Avoid freeze / thaw cycle

Supplementary information

This supplementary information is collated from multiple sources and compiled automatically.

Adrenocorticotropic hormone (ACTH) also known as corticotropin is a peptide hormone secreted by the pituitary gland. It is a 39-amino acid polypeptide with a molecular mass of approximately 4540 Da. ACTH is primarily expressed in the anterior pituitary gland and smaller amounts can be found in the central nervous system. Its production and secretion are tightly regulated by corticotropin-releasing hormone (CRH) through a feedback mechanism involving the hypothalamic-pituitary-adrenal (HPA) axis.
Biological function summary

Adrenocorticotropic hormone stimulates the adrenal cortex to produce and release glucocorticoids especially cortisol. ACTH is not part of a larger complex but acts as a singular hormone in its pathway. The hormone also influences the expression of certain enzymes important for steroid biosynthesis. In addition to its role in the adrenal cortex ACTH can mildly interact with melanocortin receptors on adipose tissues contributing to lipolysis and inflammatory processes.

Pathways

Adrenocorticotropic hormone functions in the HPA axis one of the body's key stress response systems. The hormone also involves in the regulation of the corticosteroid biosynthesis pathway. The primary protein it interacts with in these processes is cortisol which in turn regulates many physiological processes including immune response and metabolism. ACTH and cortisol form a feedback loop where elevated cortisol levels inhibit the release of both CRH and ACTH.

Increased or decreased levels of adrenocorticotropic hormone can result in disorders such as Cushing's disease and Addison's disease. Cushing's disease is characterized by overproduction of ACTH often due to pituitary adenomas leading to excess cortisol production. Conversely in Addison’s disease inadequate ACTH or adrenal cortex dysfunction leads to insufficient cortisol production. Both conditions highlight the disrupted feedback relationship between ACTH and cortisol resulting in significant clinical symptoms that require careful management.

Product protocols

For this product, it's our understanding that no specific protocols are required. You can visit:

Target data

Corticotropin. Stimulates the adrenal glands to release cortisol.. Melanocyte-stimulating hormone alpha. Anorexigenic peptide. Increases the pigmentation of skin by increasing melanin production in melanocytes.. Melanocyte-stimulating hormone beta. Increases the pigmentation of skin by increasing melanin production in melanocytes.. Beta-endorphin. Endogenous orexigenic opiate.. Met-enkephalin. Endogenous opiate.
See full target information POMC

Additional targets

ACTH

Publications (1)

Recent publications for all applications. Explore the full list and refine your search

The Journal of biological chemistry 285:12670-83 PubMed20139084

2010

Down-regulation of MyoD by calpain 3 promotes generation of reserve cells in C2C12 myoblasts.

Applications

Unspecified application

Species

Unspecified reactive species

Pascal Stuelsatz,Frédéric Pouzoulet,Yann Lamarre,Elise Dargelos,Sylvie Poussard,Serge Leibovitch,Patrick Cottin,Philippe Veschambre
View all publications

Product promise

We are committed to supporting your work with high-quality reagents, and we're here for you every step of the way. In the unlikely event that one of our products does not perform as expected, you're protected by our Product Promise.
For full details, please see our Terms & Conditions

Please note: All products are 'FOR RESEARCH USE ONLY. NOT FOR USE IN DIAGNOSTIC OR THERAPEUTIC PROCEDURES'.

For licensing inquiries, please contact partnerships@abcam.com