JavaScript is disabled in your browser. Please enable JavaScript to view this website.
AB199007

Anti-ACTH antibody [AH26 + 57] - N-terminal

Be the first to review this product! Submit a review

|

(3 Publications)

Mouse Multiclonal POMC antibody. N-terminal. Suitable for IHC-P and reacts with Human samples. Cited in 3 publications. Immunogen corresponding to Recombinant Fragment Protein within Human POMC.

View Alternative Names

Pro-opiomelanocortin, POMC, Corticotropin-lipotropin

1 Images
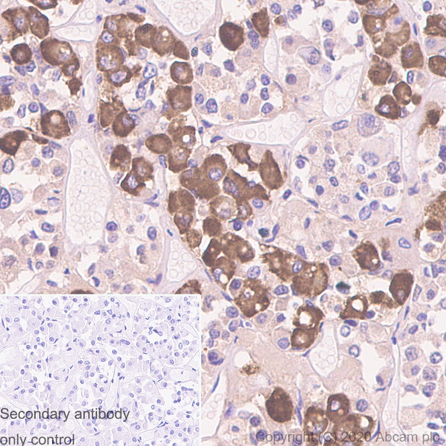
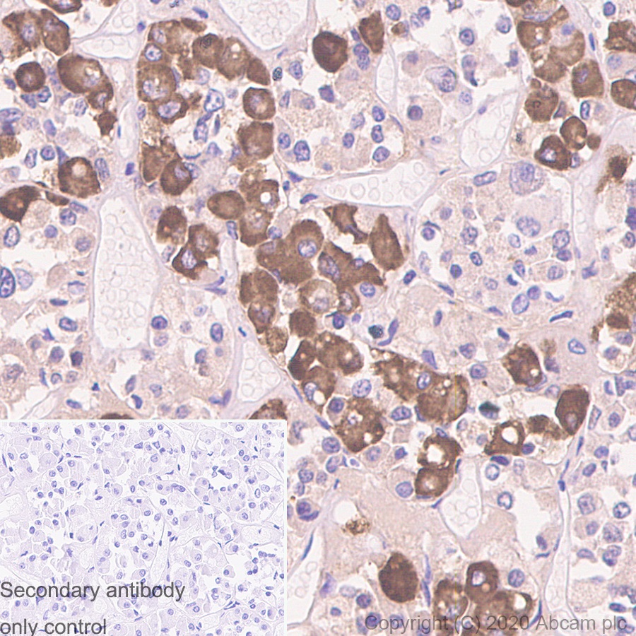
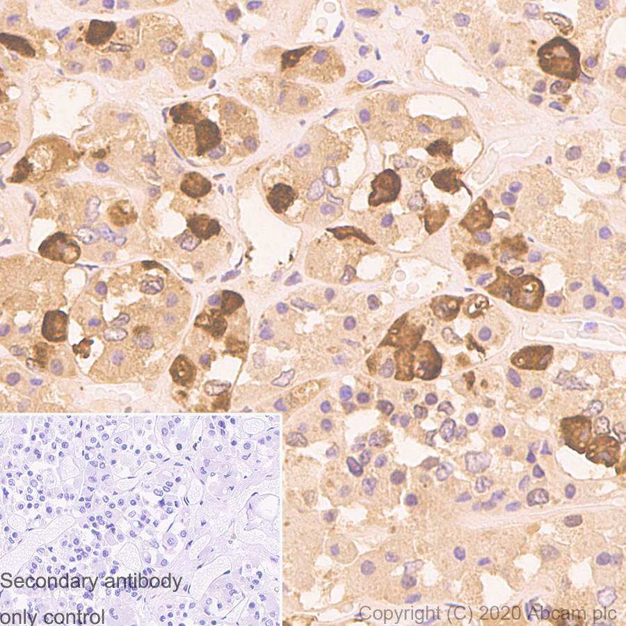
Immunohistochemistry (Formalin/PFA-fixed paraffin-embedded sections) - Anti-ACTH antibody [AH26 + 57] - N-terminal (AB199007)
  • IHC-P

Supplier Data

Immunohistochemistry (Formalin/PFA-fixed paraffin-embedded sections) - Anti-ACTH antibody [AH26 + 57] - N-terminal (AB199007)

Immunohistochemical analysis of Formalin-fixed, paraffin-embedded human Pituitary Gland labeling ACTH with ab199007 at 2μg/mL (30 minutes at RT) (Staining of formalin-fixed tissues requires heating tissue sections in 10mM Tris with 1mM EDTA, pH 9.0, for 45 min at 95°C followed by cooling at RT for 20 minutes).

Key facts

Host species

Mouse

Clonality

Multiclonal

Clone number

AH26 + 57

Isotype

IgG1

Light chain type

kappa

Carrier free

No

Reacts with

Human

Applications

IHC-P

applications

Immunogen

The exact immunogen used to generate this antibody is proprietary information.

Synthetic Peptide within Human POMC aa 1-50 conjugated to Keyhole Limpet Haemocyanin. Database link P01189

Specificity

ab199007 is specific to Synacthen (aa1-24 of ACTH); does not react with CLIP (aa17-39 of ACTH).

Reactivity data

{ "title": "Reactivity Data", "filters": { "stats": ["", "Species", "Dilution Info", "Notes"], "tabs": { "all-applications": {"fullname" : "All Applications", "shortname": "All Applications"}, "IHCP" : {"fullname" : "Immunohistochemistry (Formalin/PFA-fixed paraffin-embedded sections)", "shortname":"IHC-P"} }, "product-promise": { "all": "all", "testedAndGuaranteed": "tested", "guaranteed": "expected", "predicted": "predicted", "notRecommended": "not-recommended" } }, "values": { "Human": { "IHCP-species-checked": "testedAndGuaranteed", "IHCP-species-dilution-info": "1-2 µg/mL", "IHCP-species-notes": "<p></p> Perform heat-mediated antigen retrieval with Tris/EDTA buffer pH 9.0 before commencing with IHC staining protocol." } } }

Product details

What is an oligoclonal antibody?
This oligoclonal antibody is a cocktail of monoclonal antibodies that have been carefully selected. Oligoclonal antibodies have not only the specificity and batch-to-batch consistency of a monoclonal antibody, but also have the advantage of the sensitivity of a polyclonal antibody due to their ability to recognize multiple epitopes on an antigen.

Properties and storage information

Form
Liquid
Purification technique
Affinity purification Protein A/G
Storage buffer
pH: 7.2 - 7.4 Preservative: 0.05% Sodium azide Constituents: PBS, 0.05% BSA
Shipped at conditions
Blue Ice
Appropriate short-term storage duration
1-2 weeks
Appropriate short-term storage conditions
+4°C
Appropriate long-term storage conditions
-20°C
Aliquoting information
Upon delivery aliquot
Storage information
Avoid freeze / thaw cycle

Supplementary information

This supplementary information is collated from multiple sources and compiled automatically.

Adrenocorticotropic hormone (ACTH) also known as corticotropin is a peptide hormone secreted by the pituitary gland. It is a 39-amino acid polypeptide with a molecular mass of approximately 4540 Da. ACTH is primarily expressed in the anterior pituitary gland and smaller amounts can be found in the central nervous system. Its production and secretion are tightly regulated by corticotropin-releasing hormone (CRH) through a feedback mechanism involving the hypothalamic-pituitary-adrenal (HPA) axis.
Biological function summary

Adrenocorticotropic hormone stimulates the adrenal cortex to produce and release glucocorticoids especially cortisol. ACTH is not part of a larger complex but acts as a singular hormone in its pathway. The hormone also influences the expression of certain enzymes important for steroid biosynthesis. In addition to its role in the adrenal cortex ACTH can mildly interact with melanocortin receptors on adipose tissues contributing to lipolysis and inflammatory processes.

Pathways

Adrenocorticotropic hormone functions in the HPA axis one of the body's key stress response systems. The hormone also involves in the regulation of the corticosteroid biosynthesis pathway. The primary protein it interacts with in these processes is cortisol which in turn regulates many physiological processes including immune response and metabolism. ACTH and cortisol form a feedback loop where elevated cortisol levels inhibit the release of both CRH and ACTH.

Increased or decreased levels of adrenocorticotropic hormone can result in disorders such as Cushing's disease and Addison's disease. Cushing's disease is characterized by overproduction of ACTH often due to pituitary adenomas leading to excess cortisol production. Conversely in Addison’s disease inadequate ACTH or adrenal cortex dysfunction leads to insufficient cortisol production. Both conditions highlight the disrupted feedback relationship between ACTH and cortisol resulting in significant clinical symptoms that require careful management.

Product protocols

For this product, it's our understanding that no specific protocols are required. You can visit:

Target data

Corticotropin. Stimulates the adrenal glands to release cortisol.. Melanocyte-stimulating hormone alpha. Anorexigenic peptide. Increases the pigmentation of skin by increasing melanin production in melanocytes.. Melanocyte-stimulating hormone beta. Increases the pigmentation of skin by increasing melanin production in melanocytes.. Beta-endorphin. Endogenous orexigenic opiate.. Met-enkephalin. Endogenous opiate.
See full target information POMC

Additional targets

ACTH

Publications (3)

Recent publications for all applications. Explore the full list and refine your search

Journal of molecular histology 53:437-448 PubMed35094211

2022

Endocrine secretory granule production is caused by a lack of REST and intragranular secretory content and accelerated by PROX1.

Applications

Unspecified application

Species

Unspecified reactive species

Jun Ishii,Hanako Sato-Yazawa,Korehito Kashiwagi,Kazuhiko Nakadate,Masami Iwamoto,Kakeru Kohno,Chie Miyata-Hiramatsu,Meitetsu Masawa,Masato Onozaki,Shuhei Noda,Tadasuke Miyazawa,Megumi Takagi,Takuya Yazawa

eLife 10: PubMed34905486

2021

Single-cell transcriptome analysis identifies a unique tumor cell type producing multiple hormones in ectopic ACTH and CRH secreting pheochromocytoma.

Applications

Unspecified application

Species

Unspecified reactive species

Xuebin Zhang,Penghu Lian,Mingming Su,Zhigang Ji,Jianhua Deng,Guoyang Zheng,Wenda Wang,Xinyu Ren,Taijiao Jiang,Peng Zhang,Hanzhong Li

Experimental and therapeutic medicine 11:2513-2518 PubMed27284341

2016

MicroRNA-138 suppresses proliferation, invasion and glycolysis in malignant melanoma cells by targeting HIF-1α.

Applications

Unspecified application

Species

Unspecified reactive species

Yao Chen,K E Cao,Shaohua Wang,Jia Chen,Bin He,G U He,Yong Chen,Bin Peng,Jianda Zhou
View all publications

Product promise

We are committed to supporting your work with high-quality reagents, and we're here for you every step of the way. In the unlikely event that one of our products does not perform as expected, you're protected by our Product Promise.
For full details, please see our Terms & Conditions

Please note: All products are 'FOR RESEARCH USE ONLY. NOT FOR USE IN DIAGNOSTIC OR THERAPEUTIC PROCEDURES'.

For licensing inquiries, please contact partnerships@abcam.com