JavaScript is disabled in your browser. Please enable JavaScript to view this website.
AB179467

Anti-Actin antibody [EPR16769] - Loading Control

5

(11 Reviews)

|

(583 Publications)

Anti-Actin antibody [EPR16769] (ab179467) is a rabbit monoclonal antibody detecting Actin in Western Blot, Flow Cytometry (Intra), Flow Cytometry, IP, IHC-P, ICC/IF. Suitable for Chicken, Human, Mouse, Rat.

- Biophysical QC for unrivalled batch-batch consistency
- Over 420 publications

View Alternative Names

ACTA, ACTA1, Alpha-actin-1

15 Images
Flow Cytometry (Intracellular) - Anti-Actin antibody [EPR16769] - Loading Control (AB179467)
  • Flow Cyt (Intra)

Lab

Flow Cytometry (Intracellular) - Anti-Actin antibody [EPR16769] - Loading Control (AB179467)

Intracellular Flow Cytometry analysis of HeLa (human cervix adenocarcinoma) cells labelling Actin with purified ab179467 at 1/70 (red). Cells were fixed with 4% paraformaldehyde and permeabilised with 90% methanol. An Alexa Fluor®488-conjugated goat anti-rabbit IgG (1/2000) was used as the secondary antibody. Black - Isotype control, rabbit monoclonal IgG. Blue - Unlabelled control, cells without incubation with primary and secondary antibodies.

Immunocytochemistry/ Immunofluorescence - Anti-Actin antibody [EPR16769] - Loading Control (AB179467)
  • ICC/IF

Lab

Immunocytochemistry/ Immunofluorescence - Anti-Actin antibody [EPR16769] - Loading Control (AB179467)

Immunocytochemistry/ Immunofluorescence analysis of HeLa (Human cervix adenocarcinoma epithelia cell) cells labeling Actin with Purified ab179467 at 1 : 100 dilution ( 6.98 μg/ml). Cells were fixed in 4% paraformaldehyde and permeabilized with 0.1% Triton X-100. Cells were counterstained with ab195889 Anti-alpha Tubulin antibody [DM1A] - Microtubule Marker (Alexa Fluor® 594) 1 : 200 (2.5 μg/ml). Goat anti rabbit IgG (Alexa Fluor® 488, ab150077) was used as the secondary antibody at 1 : 1000 dilution (2 μg/ml) dilution. DAPI nuclear counterstain. PBS instead of the primary antibody was used as the secondary antibody only control.

Immunohistochemistry (Formalin/PFA-fixed paraffin-embedded sections) - Anti-Actin antibody [EPR16769] - Loading Control (AB179467)
  • IHC-P

Lab

Immunohistochemistry (Formalin/PFA-fixed paraffin-embedded sections) - Anti-Actin antibody [EPR16769] - Loading Control (AB179467)

Immunohistochemical analysis of formalin fixed paraffin embedded human skeletal muscle labelling Actin with ab179467 at a concentration of 0.5µg/ml. The immunostaining was performed on a Ventana DISCOVERY ULTRA (Roche Tissue Diagnostics) instrument with a OptiView DAB IHC Detection Kit. Heat mediated antigen retrieval was performed with DISCOVERY cell conditioning solution (CC1) 100°C, pH8.5 for 32mins. ab179467 anti-Actin antibody [EPR16769] was incubated for 16mins at 37°C. Sections were counterstained with Hematoxylin II. Image inset shows absence of staining in secondary antibody only control.

Customers are encouraged to optimise antigen retrieval conditions, antibody concentration, incubation times and temperature for best results in their own IHC assay workflow (automated and manual).

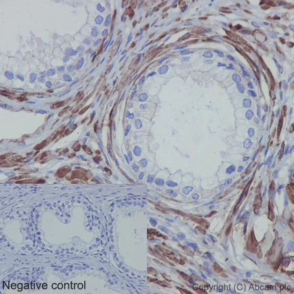
Immunohistochemistry (Formalin/PFA-fixed paraffin-embedded sections) - Anti-Actin antibody [EPR16769] - Loading Control (AB179467)
  • IHC-P

Supplier Data

Immunohistochemistry (Formalin/PFA-fixed paraffin-embedded sections) - Anti-Actin antibody [EPR16769] - Loading Control (AB179467)

Immunohistochemical analysis of paraffin-embedded Human prostate hyperplasia tissue labeling Actin with ab179467 at 1/1000 dilution, followed by prediluted HRP Polymer for Rabbit/Mouse IgG. Cytoplasm staining on smooth muscle cells is observed. Counter stained with Hematoxylin.

Negative control : Using PBS instead of primary ab, secondary ab is prediluted HRP Polymer for Rabbit/Mouse IgG.

Perform heat mediated antigen retrieval with Tris/EDTA buffer pH 9.0 before commencing with IHC staining protocol.

Immunohistochemistry (Formalin/PFA-fixed paraffin-embedded sections) - Anti-Actin antibody [EPR16769] - Loading Control (AB179467)
  • IHC-P

Supplier Data

Immunohistochemistry (Formalin/PFA-fixed paraffin-embedded sections) - Anti-Actin antibody [EPR16769] - Loading Control (AB179467)

Immunohistochemical analysis of paraffin-embedded Rat skeletal muscle tissue labeling Actin with ab179467 at 1/1000 dilution, followed by prediluted HRP Polymer for Rabbit/Mouse IgG. Cytoplasm staining is observed. Counter stained with Hematoxylin.

Negative control : Using PBS instead of primary ab, secondary ab is prediluted HRP Polymer for Rabbit/Mouse IgG.

Perform heat mediated antigen retrieval with Tris/EDTA buffer pH 9.0 before commencing with IHC staining protocol.

Immunocytochemistry/ Immunofluorescence - Anti-Actin antibody [EPR16769] - Loading Control (AB179467)
  • ICC/IF

Supplier Data

Immunocytochemistry/ Immunofluorescence - Anti-Actin antibody [EPR16769] - Loading Control (AB179467)

Immunofluorescent analysis of 4% paraformaldehyde-fixed, 0.1% Triton X-100 permeabilized NIH/3T3 (Mouse embyro fibroblast cells) cells labeling Actin with ab179467 at 1/50 dilution, followed by Goat anti-rabbit Alexa Fluor® 488 (IgG) (ab150077) secondary antibody at 1/200 dilution (green). Cytoplasm staining on NIH/3T3 cell line is observed. The nuclear counter stain is DAPI (blue). Tubulin is detected with ab7291 (anti-Tubulin mouse mAb) at 1/500 dilution and ab150120 (goat anti-mouse Alexa Fluor® 594 secondary) at 1/500 dilution (red).

The negative controls are as follows;
1. ab179467 at 1/50 dilution followed by ab150120 (goat anti-mouse Alexa Fluor® 594 secondary) at 1/500 dilution.
2. ab7291 (anti-Tubulin mouse mAb) at 1/500 dilution followed by ab150077 (goat anti-rabbit Alexa Fluor® 488 (IgG H&L) at 1/200 dilution.

Immunocytochemistry/ Immunofluorescence - Anti-Actin antibody [EPR16769] - Loading Control (AB179467)
  • ICC/IF

Lab

Immunocytochemistry/ Immunofluorescence - Anti-Actin antibody [EPR16769] - Loading Control (AB179467)

Immunocytochemistry/ Immunofluorescence analysis of NIH/3T3 (Mouse embryonic fibroblast) cells labeling Actin with Purified ab179467 at 1 : 100 dilution (6.98 μg/ml). Cells were fixed in 4% paraformaldehyde and permeabilized with 0.1% Triton X-100. Cells were counterstained with ab195889 Anti-alpha Tubulin antibody [DM1A] - Microtubule Marker (Alexa Fluor® 594) 1 : 200 (2.5 μg/ml). Goat anti rabbit IgG (Alexa Fluor® 488, ab150077) was used as the secondary antibody at 1 : 1000 dilution (2 μg/ml) dilution. DAPI nuclear counterstain. PBS instead of the primary antibody was used as the secondary antibody only control.

Immunohistochemistry (Formalin/PFA-fixed paraffin-embedded sections) - Anti-Actin antibody [EPR16769] - Loading Control (AB179467)
  • IHC-P

Supplier Data

Immunohistochemistry (Formalin/PFA-fixed paraffin-embedded sections) - Anti-Actin antibody [EPR16769] - Loading Control (AB179467)

Immunohistochemical analysis of paraffin-embedded Mouse skeletal muscle tissue labeling Actin with ab179467 at 1/1000 dilution, followed by prediluted HRP Polymer for Rabbit/Mouse IgG. Cytoplasm staining is observed. Counter stained with Hematoxylin.

Negative control : Using PBS instead of primary ab, secondary ab is prediluted HRP Polymer for Rabbit/Mouse IgG.

Perform heat mediated antigen retrieval with Tris/EDTA buffer pH 9.0 before commencing with IHC staining protocol.

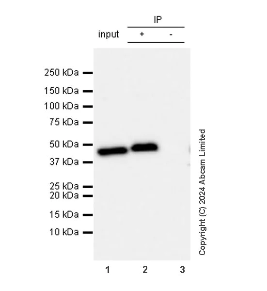
Immunoprecipitation - Anti-Actin antibody [EPR16769] - Loading Control (AB179467)
  • IP

Lab

Immunoprecipitation - Anti-Actin antibody [EPR16769] - Loading Control (AB179467)

Actin was immunoprecipitated fromC6 (rat glial tumor glial cell) whole cell lysate with ab179467 at 1/30 dilution (2µg in 0.35mg lysates). Western blot was performed on the immunoprecipitate using ab179467 at 1/1000 dilution.

Blocking and dilution buffer and concentration : 5% NFDM/TBST.

All lanes:

Immunoprecipitation - Anti-Actin antibody [EPR16769] - Loading Control (ab179467) at 1/1000 dilution

Lane 1:

C6 (rat glial tumor glial cell) whole cell lysate (Input) at 10 µg

Lane 2:

C6 (rat glial tumor glial cell) whole cell lysate (+)

Lane 3:

Rabbit monoclonal IgG (<a href='/en-us/products/primary-antibodies/rabbit-igg-monoclonal-epr25a-isotype-control-ab172730'>ab172730</a>) instead of ab179467 in C6 whole cell lysate (-)

Secondary

All lanes:

Immunoprecipitation - VeriBlot for IP Detection Reagent (HRP) (<a href='/en-us/products/reagents/veriblot-for-ip-detection-reagent-hrp-ab131366'>ab131366</a>) at 1/5000 dilution

Observed band size: 42 kDa

false

Exposure time: 6s

Immunoprecipitation - Anti-Actin antibody [EPR16769] - Loading Control (AB179467)
  • IP

Supplier Data

Immunoprecipitation - Anti-Actin antibody [EPR16769] - Loading Control (AB179467)

Actin was immunoprecipitated from 1mg of NIH/3T3 (Mouse embyro fibroblast cells) whole cell extract with ab179467 at 1/40 dilution.

Western blot was performed from the immunoprecipitate using ab179467 at 1/1000 dilution. Goat Anti-Rabbit IgG, (H+L), Peroxidase conjugated was used as secondary antibody at 1/1000 dilution.

Lane 1 : NIH/3T3 whole cell extract.
Lane 2 : PBS instead of NIH/3T3 whole cell extract.

Blocking and dilution buffer and concentration : 5% NFDM/TBST.

All lanes:

Immunoprecipitation - Anti-Actin antibody [EPR16769] - Loading Control (ab179467)

Predicted band size: 42 kDa

Observed band size: 42 kDa

false

Western blot - Anti-Actin antibody [EPR16769] - Loading Control (AB179467)
  • WB

Supplier Data

Western blot - Anti-Actin antibody [EPR16769] - Loading Control (AB179467)

Blocking/Dilution buffer : 5% NFDM/TBST.

All lanes:

Western blot - Anti-Actin antibody [EPR16769] - Loading Control (ab179467) at 1/5000 dilution

Lane 1:

Human fetal brain tissue lysate at 10 µg

Lane 2:

Human fetal heart tissue lysate at 10 µg

Lane 3:

Human fetal kidney tissue lysate at 10 µg

Lane 4:

Human fetal spleen tissue lysate at 10 µg

Secondary

All lanes:

Anti-Rabbit IgG (HRP), specific to the non-reduced form of IgG at 1/1000 dilution

Predicted band size: 42 kDa

Observed band size: 42 kDa

false

Western blot - Anti-Actin antibody [EPR16769] - Loading Control (AB179467)
  • WB

Supplier Data

Western blot - Anti-Actin antibody [EPR16769] - Loading Control (AB179467)

Blocking/Dilution buffer : 5% NFDM/TBST.

All lanes:

Western blot - Anti-Actin antibody [EPR16769] - Loading Control (ab179467) at 1/20000 dilution

Lane 1:

HeLa (Human epithelial cells from cervix adenocarcinoma) whole cell lysates at 20 µg

Lane 2:

293T (Human epithelial cells from embryonic kidney) whole cell lysates at 20 µg

Lane 3:

Human skeletal muscle tissue lysate at 20 µg

Lane 4:

Human fetal spleen tissue lysate at 20 µg

Secondary

All lanes:

Goat Anti-Rabbit IgG, (H+L),Peroxidase conjugated at 1/1000 dilution

Predicted band size: 42 kDa

Observed band size: 42 kDa

false

Western blot - Anti-Actin antibody [EPR16769] - Loading Control (AB179467)
  • WB

Supplier Data

Western blot - Anti-Actin antibody [EPR16769] - Loading Control (AB179467)

Blocking/Dilution buffer : 5% NFDM/TBST.

All lanes:

Western blot - Anti-Actin antibody [EPR16769] - Loading Control (ab179467) at 1/20000 dilution

Lane 1:

UMNSAH/DF-1 (Transformed chicken embyronic fibroblast cells) whole cell lysates) at 10 µg

Lane 2:

Human cardiac muscle tissue lysate at 10 µg

Secondary

All lanes:

Goat Anti-Rabbit IgG, (H+L), Peroxidase conjugated at 1/1000 dilution

Predicted band size: 42 kDa

Observed band size: 42 kDa

false

Western blot - Anti-Actin antibody [EPR16769] - Loading Control (AB179467)
  • WB

Supplier Data

Western blot - Anti-Actin antibody [EPR16769] - Loading Control (AB179467)

Blocking/Dilution buffer : 5% NFDM/TBST.

All lanes:

Western blot - Anti-Actin antibody [EPR16769] - Loading Control (ab179467) at 1/20000 dilution

Lane 1:

Mouse brain tissue lysate at 10 µg

Lane 2:

Mouse heart tissue lysate at 10 µg

Lane 3:

Mouse kidney tissue lysate at 10 µg

Lane 4:

Mouse spleen tissue lysate at 10 µg

Lane 5:

Rat brain tissue lysate at 10 µg

Lane 6:

Rat heart tissue lysate at 10 µg

Lane 7:

Rat kidney tissue lysate at 10 µg

Lane 8:

Rat spleen tissue lysate at 10 µg

Lane 9:

C6 (Rat glial tumor cells) whole cell lysates at 10 µg

Lane 10:

RAW 264.7 (Mouse macrophage cells transformed with Abelson murine leukemia virus) whole cell lysate at 10 µg

Lane 11:

PC-12 (Rat adrenal gland pheochromocytoma) whole cell lysate at 10 µg

Lane 12:

NIH/3T3 (Mouse embyro fibroblast cells) whole cell lysate at 10 µg

Secondary

All lanes:

Goat Anti-Rabbit IgG, (H+L), Peroxidase conjugated at 1/1000 dilution

Predicted band size: 42 kDa

Observed band size: 42 kDa

false

Western blot - Anti-Actin antibody [EPR16769] - Loading Control (AB179467)
  • WB

Supplier Data

Western blot - Anti-Actin antibody [EPR16769] - Loading Control (AB179467)

Blocking and diluting buffer and concentration : 5% NFDM/TBST.

The expression of Ref2P is upregulated in response to reducing Atg8a (PMID : 18347073).

Loading control : Anti-Actin antibody [EPR16769] (ab179467) 1 : 5000 (42Kda).

All lanes:

Western blot - Anti-Ref2P antibody [EPR28159-511] (<a href='/en-us/products/primary-antibodies/ref2p-antibody-epr28159-511-ab323859'>ab323859</a>) at 1/1000 dilution

Lane 1:

SL2 (Drosophila melanogaster embryo epithelial cell) transfected with scrambled siRNA control whole cell lysate at 20 µg

Lane 2:

SL2 transfected with siRNA specifically targeting Atg8a whole cell lysate at 20 µg

Secondary

All lanes:

Western blot - Goat Anti-Rabbit IgG H&L (HRP) (<a href='/en-us/products/secondary-antibodies/goat-rabbit-igg-h-l-hrp-ab97051'>ab97051</a>) at 1/100000 dilution

Observed band size: 110 kDa,42 kDa

false

Exposure time: 180s

  • Carrier free

    Anti-Actin antibody [EPR16769] - BSA and Azide free

  • 421 Alexa Fluor® 405

    Alexa Fluor® 405 Anti-Actin antibody [EPR16769] - Cytoskeleton Marker

  • 565 Alexa Fluor® 555

    Alexa Fluor® 555 Anti-Actin antibody [EPR16769] - Cytoskeleton Marker

  • 519 Alexa Fluor® 488

    Alexa Fluor® 488 Anti-Actin antibody [EPR16769] - Cytoskeleton Marker

  • 665 Alexa Fluor® 647

    Alexa Fluor® 647 Anti-Actin antibody [EPR16769] - Cytoskeleton Marker

  • HRP

    HRP Anti-Actin antibody [EPR16769] - Loading Control

Key facts

Host species

Rabbit

Clonality

Monoclonal

Clone number

EPR16769

Isotype

IgG

Carrier free

No

Reacts with

Mouse, Chicken, Human, Rat

Applications

WB, IHC-P, IP, ICC/IF, Flow Cyt (Intra)

applications

Immunogen

The exact immunogen used to generate this antibody is proprietary information.

Reactivity data

{ "title": "Reactivity Data", "filters": { "stats": ["", "Species", "Dilution Info", "Notes"], "tabs": { "all-applications": {"fullname" : "All Applications", "shortname": "All Applications"}, "IP" : {"fullname" : "Immunoprecipitation", "shortname":"IP"}, "WB" : {"fullname" : "Western blot", "shortname":"WB"}, "ICCIF" : {"fullname" : "Immunocytochemistry/ Immunofluorescence", "shortname":"ICC/IF"}, "FlowCytIntra" : {"fullname" : "Flow Cytometry (Intracellular)", "shortname":"Flow Cyt (Intra)"}, "IHCP" : {"fullname" : "Immunohistochemistry (Formalin/PFA-fixed paraffin-embedded sections)", "shortname":"IHC-P"} }, "product-promise": { "all": "all", "testedAndGuaranteed": "tested", "guaranteed": "expected", "predicted": "predicted", "notRecommended": "not-recommended" } }, "values": { "Human": { "IP-species-checked": "guaranteed", "IP-species-dilution-info": "", "IP-species-notes": "", "WB-species-checked": "testedAndGuaranteed", "WB-species-dilution-info": "1/5000", "WB-species-notes": "<p></p>", "ICCIF-species-checked": "testedAndGuaranteed", "ICCIF-species-dilution-info": "1/50", "ICCIF-species-notes": "<p></p>", "FlowCytIntra-species-checked": "testedAndGuaranteed", "FlowCytIntra-species-dilution-info": "1/70", "FlowCytIntra-species-notes": "<p></p>", "IHCP-species-checked": "testedAndGuaranteed", "IHCP-species-dilution-info": "1/500 - 1/1000", "IHCP-species-notes": "<p></p> Perform heat-mediated antigen retrieval with Tris/EDTA buffer pH 9.0 before commencing with IHC staining protocol." }, "Mouse": { "IP-species-checked": "testedAndGuaranteed", "IP-species-dilution-info": "1/40", "IP-species-notes": "<p></p>", "WB-species-checked": "testedAndGuaranteed", "WB-species-dilution-info": "1/5000", "WB-species-notes": "<p></p>", "ICCIF-species-checked": "testedAndGuaranteed", "ICCIF-species-dilution-info": "1/50", "ICCIF-species-notes": "<p></p>", "FlowCytIntra-species-checked": "guaranteed", "FlowCytIntra-species-dilution-info": "", "FlowCytIntra-species-notes": "", "IHCP-species-checked": "testedAndGuaranteed", "IHCP-species-dilution-info": "1/500 - 1/1000", "IHCP-species-notes": "<p></p> Perform heat-mediated antigen retrieval with Tris/EDTA buffer pH 9.0 before commencing with IHC staining protocol." }, "Rat": { "IP-species-checked": "testedAndGuaranteed", "IP-species-dilution-info": "1/30", "IP-species-notes": "<p></p>", "WB-species-checked": "testedAndGuaranteed", "WB-species-dilution-info": "1/5000", "WB-species-notes": "<p></p>", "ICCIF-species-checked": "guaranteed", "ICCIF-species-dilution-info": "", "ICCIF-species-notes": "", "FlowCytIntra-species-checked": "guaranteed", "FlowCytIntra-species-dilution-info": "", "FlowCytIntra-species-notes": "", "IHCP-species-checked": "testedAndGuaranteed", "IHCP-species-dilution-info": "1/500 - 1/1000", "IHCP-species-notes": "<p></p> Perform heat-mediated antigen retrieval with Tris/EDTA buffer pH 9.0 before commencing with IHC staining protocol." }, "Chicken": { "IP-species-checked": "guaranteed", "IP-species-dilution-info": "", "IP-species-notes": "", "WB-species-checked": "testedAndGuaranteed", "WB-species-dilution-info": "1/5000", "WB-species-notes": "<p></p>", "ICCIF-species-checked": "guaranteed", "ICCIF-species-dilution-info": "", "ICCIF-species-notes": "", "FlowCytIntra-species-checked": "guaranteed", "FlowCytIntra-species-dilution-info": "", "FlowCytIntra-species-notes": "", "IHCP-species-checked": "guaranteed", "IHCP-species-dilution-info": "", "IHCP-species-notes": "" } } }

Product details

What is this antibody validated in?
Anti-Actin antibody [EPR16769] (ab179467) is a rabbit recombinant monoclonal antibody and is validated for use in Western Blot (WB), Flow Cytometry (Intra), Flow Cytometry (Flow Cyt), Immunoprecipitation (IP), Immunohistochemistry (IHC-P), Immunocytochemistry/immunofluorescence (ICC/IF) in Chicken, Human, Mouse, Rat samples.

What is the molecular weight of Actin?
Anti-Actin [EPR16769] (ab179467) specifically detects a band for Actin (UniProt: P68133) at a molecular weight of 42kDa.

Trusted by the scientific community
Anti-Actin [EPR16769] (ab179467) was first used in a scientific publication in 2014 and has been cited over 420 times in peer-reviewed journals.

Reviewed by scientists
Anti-Actin [EPR16769] (ab179467) has over 10 independent reviews from customers.

Trial sizes available!
Test your antibody or perform pre-screening before committing to a larger quantity. Sold in 10µl. Discover our selection of trial-size antibodies.

Patented technology
Our RabMAb® technology is a patented hybridoma-based technology for making rabbit monoclonal antibodies. For details on our patents, please refer to RabMAb® patents.

What are the advantages of a recombinant monoclonal antibody?
This product is a recombinant monoclonal antibody, which offers several advantages including:

  • - High batch-to-batch consistency and reproducibility
  • - Improved sensitivity and specificity
  • - Long-term security of supply
  • - Animal-free batch production

For more information, read more on recombinant antibodies.

Shipping conditions update: ambient shipping

This product will be delivered at ambient temperature instead of chilled – this is by design. Extensive stability testing confirmed that our products are suitable for shipment under ambient conditions and maintain expected quality.

Why the change?

It’s part of our commitment to more sustainable packaging solutions, with ambient deliveries using eco-friendly materials such as recyclable cardboard instead of polystyrene.

What you need to know

  • Ambient shipments come clearly marked on the delivery note.
  • No ice will be included in ambient shipments, but mixed orders (ambient and cold-chain items) will still arrive with ice packs to protect temperature-sensitive products.
  • Warranty coverage remains fully valid, aligned with our validated shipping method.
  • Please store the product as per the datasheet instructions upon receipt.

Find out more - https://www.abcam.com/en-us/support/shipping-storage-support/ambient-shipping

Properties and storage information

Form
Liquid
Purification technique
Affinity purification Protein A
Storage buffer
Preservative: 0.01% Sodium azide Constituents: PBS, 40% Glycerol (glycerin, glycerine), 0.05% BSA
Shipped at conditions
Conditional Ambient
Appropriate short-term storage duration
1-2 weeks
Appropriate short-term storage conditions
+4°C
Appropriate long-term storage conditions
-20°C
Aliquoting information
Upon delivery aliquot
Storage information
Avoid freeze / thaw cycle

Supplementary information

This supplementary information is collated from multiple sources and compiled automatically.

Actin also known as globular (G-actin) or filamentous (F-actin) actin plays a central role in cell structure and movement. This protein has a molecular weight of approximately 42 kDa and resides abundantly in eukaryotic cells especially in muscle and cytoskeletal structures. It comes in several isoforms with varying expression profiles across tissues. Actin can undergo polymerization from its G-actin monomers into F-actin filaments a process that is reversible through depolymerization allowing for dynamic cellular functions.
Biological function summary

Actin contributes to various cellular processes by forming the cytoskeleton which provides mechanical support and determines cell shape. Actin also facilitates cell motility division and intracellular transport through rapid polymerization and depolymerization cycles. Within cells actin associates with other proteins to form complexes such as the Arp2/3 complex which assists actin in the branching of filaments critical for pushing forward the cell's leading edge during movement. Techniques like actin immunofluorescence help visualize actin filaments within cells revealing its extensive network.

Pathways

Actin plays an integral role in pathways like cell movement and signal transduction. The Rho family of GTPases regulates actin cytoskeleton rearrangements influencing cell shape and migration. Actin function interactions involve proteins like myosin forming actomyosin complexes essential for muscle contraction and other cell motility activities. Actin polymerization and depolymerization cycles are key to the dynamic regulation within these pathways ensuring adequate cellular responses to environmental signals.

Mutations or misregulation of actin and its associated pathways link to conditions such as cardiomyopathies and cancer metastasis. In familial cardiomyopathy actin mutations disrupt normal cardiac muscle contraction. In cancer altered actin polymerization and depolymerization enable invasive cell migration facilitating metastasis. Proteins like myosin and tropomyosin associate with actin in these pathologies illustrating the impact of actin dynamics on disease progression and highlighting actin as a therapeutic target. Anti-actin antibodies can be used in research and diagnostics to better understand these disorders.

Product protocols

For this product, it's our understanding that no specific protocols are required. You can visit:

Target data

Actins are highly conserved proteins that are involved in various types of cell motility and are ubiquitously expressed in all eukaryotic cells.
See full target information ACTA1

Publications (583)

Recent publications for all applications. Explore the full list and refine your search

Cancer cell international 25:325 PubMed41044576

2025

Kaempferol triggers cellular senescence via CDK1 ubiquitination in HCC cells.

Applications

Unspecified application

Species

Unspecified reactive species

Damin Liang,Min Tian,Guomei Hu,Yu Zhang,Lunyou Zhang,Juqi Chen,Xin Shen,Huayong Jian,Peng Tian,Tingchao Li,Xiaoju Cheng

Biology direct 20:100 PubMed41035046

2025

MINPP1 promotes ferroptosis in HBV-related hepatocellular carcinoma by regulating CTSB K33-linked deubiquitination via ZRANB1.

Applications

Unspecified application

Species

Unspecified reactive species

Wenbiao Chen,Yang Song,Liyang Wang,Feng Xiong,Shenggang Zhang

Molecular medicine (Cambridge, Mass.) 31:298 PubMed41023624

2025

LAG-3 palmitoylation-inducing dysfunction of decidual CD4T cells is associated with recurrent pregnancy loss.

Applications

Unspecified application

Species

Unspecified reactive species

Liyuan Cui,Fengrun Sun,Xinhang Meng,Yujie Luo,Jinfeng Qian,Songcun Wang

American journal of cancer research 15:3693-3711 PubMed40948526

2025

Aurora-A inhibits hepatocellular carcinoma cell ferroptosis to mediate immune escape by disrupting phosphatidylethanolamine biosynthesis.

Applications

Unspecified application

Species

Unspecified reactive species

Lei Fan,Yiqian Liu,Yucheng Cai,Xinnan Sun,Jiaxuan Li,Yiyang Xu,Changchun Sun,Shiyun Cui

Journal of gastrointestinal oncology 16:1443-1460 PubMed40950333

2025

NKAP overexpression promotes gastric cancer immune escape by inducing IL-10 secretion from mature dendritic cells during anti-PD-L1 therapy.

Applications

Unspecified application

Species

Unspecified reactive species

Bingna Yan,Pei Zhang,Qianhe Zu,Shan Liu,Pan Wang,Yaning Wei,Jialin Liu,Shun Zhang,Yanan Wang,Zhe Han

Foods (Basel, Switzerland) 14: PubMed40870671

2025

Sprouted Black Quinoa Extract Alleviates Heat Stress-Induced Liver Injury in Rats by Activating Nrf2 Signaling and Suppressing the NF-κB/NLRP3 Inflammasome Pathway.

Applications

Unspecified application

Species

Unspecified reactive species

Jing Zhou,Wenting Lv,Zhonghao Li,Li Wang,Bing Guo,Donghua Du

Scientific reports 15:30134 PubMed40820106

2025

Regulatory role of LncRNA FMR1-AS1 in the pathogenesis of alzheimer's disease based on bioinformatics and in vitro experimental validation.

Applications

Unspecified application

Species

Unspecified reactive species

Xiang Yu,Hao Cai,Cai He,Zhong Ouyang,Yongchang Li,Liang Chen

Redox report : communications in free radical research 30:2538294 PubMed40717294

2025

Alpha-linolenic acid protects against heatstroke-induced acute lung injury by inhibiting ferroptosis through Nrf2 activation.

Applications

Unspecified application

Species

Unspecified reactive species

Lin Wang,Jiamin Ma,Zhaozheng Li,Xinru Zhao,Ying Chen,Pei Wang,Yi Li,Yuwei Chen,Xuanqi Yao,Liangfang Yao,Jinbao Li

Translational pediatrics 14:1213-1229 PubMed40688229

2025

Chenodeoxycholic acid activates the TGR5/TRPA1-5-HT pathway to regulate intestinal motility in breastfed infants and mouse models.

Applications

Unspecified application

Species

Unspecified reactive species

Zihong Shan,Chenghui He,Qingyao Yang,Jingjing Xiong,Meng Li,Mingyao Meng,Yongkun Huang

Scientific reports 15:23497 PubMed40603406

2025

Investigation of the mechanism of euphornin against cervical cancer using network pharmacology.

Applications

Unspecified application

Species

Unspecified reactive species

Yan Jin,Shuhua Liu
View all publications

Product promise

We are committed to supporting your work with high-quality reagents, and we're here for you every step of the way. In the unlikely event that one of our products does not perform as expected, you're protected by our Product Promise.
For full details, please see our Terms & Conditions

Please note: All products are 'FOR RESEARCH USE ONLY. NOT FOR USE IN DIAGNOSTIC OR THERAPEUTIC PROCEDURES'.

For licensing inquiries, please contact partnerships@abcam.com