JavaScript is disabled in your browser. Please enable JavaScript to view this website.
AB213251

Anti-Actin antibody [IGX3831H] - Loading Control

Be the first to review this product! Submit a review

|

(3 Publications)

Human Recombinant Monoclonal alpha skeletal muscle Actin antibody. Suitable for WB, ICC/IF and reacts with Mouse, Human samples. Cited in 3 publications.

View Alternative Names

ACTA, ACTA1, Alpha-actin-1

6 Images
Immunocytochemistry/ Immunofluorescence - Anti-Actin antibody [IGX3831H] - Loading Control (AB213251)
  • ICC/IF

Supplier Data

Immunocytochemistry/ Immunofluorescence - Anti-Actin antibody [IGX3831H] - Loading Control (AB213251)

Immunofluorescent analysis of 100% methanol-fixed, 0.1% TritonX-100 permeabilized, PBS washing, and blocked with 10% normal goat serum in PBS HeLa (human cervical cancer cells) cells labelling Actin with ab213251 at 1 : 400 (1.20 µg/ml) dilution, followed by ab325309 Alpaca multiclonal [2F3 / 2E5] Anti-human IgG1/IgG4 antibody (ATTO 488) at 1/500 (0.15 µg/ml per sdAb) dilution (green).

Confocal image showing cytoplasmic staining in HeLa cells (shown in green). Nuclear DNA was labelled with DAPI (shown in blue).

Image was taken with a fluorescence microscope (Zeiss Axio Imager Z1).

Secondary antibody only control : Secondary antibody is ab325309 Alpaca multiclonal [2F3 / 2E5] Anti-human IgG1/IgG4 antibody (ATTO 488) at 1/500 (0.15 µg/ml per sdAb) dilution.

Immunocytochemistry/ Immunofluorescence - Anti-Actin antibody [IGX3831H] - Loading Control (AB213251)
  • ICC/IF

Supplier Data

Immunocytochemistry/ Immunofluorescence - Anti-Actin antibody [IGX3831H] - Loading Control (AB213251)

Immunofluorescent analysis of 100% methanol-fixed, 0.1% TritonX-100 permeabilized, PBS washing, and blocked with 10% normal goat serum in PBS HeLa (human cervical cancer cells) cells labelling Actin with ab213251 at 1 : 400 (1.20 µg/ml) dilution, followed by ab325308 Alpaca multiclonal [2F3 / 2E5] Anti-human IgG1/IgG4 antibody (Alexa Fluor® 647) at 1/500 (0.15 µg/ml per sdAb) dilution (magenta).

Confocal image showing cytoplasmic staining in HeLa cells (shown in magenta). Nuclear DNA was labelled with DAPI (shown in blue).

Image was taken with a fluorescence microscope (Zeiss Axio Imager Z1).

Secondary antibody only control : Secondary antibody is ab325308 Alpaca multiclonal [2F3 / 2E5] Anti-human IgG1/IgG4 antibody (Alexa Fluor® 647) at 1/500 (0.15 µg/ml per sdAb) dilution.

Immunocytochemistry/ Immunofluorescence - Anti-Actin antibody [IGX3831H] - Loading Control (AB213251)
  • ICC/IF

Supplier Data

Immunocytochemistry/ Immunofluorescence - Anti-Actin antibody [IGX3831H] - Loading Control (AB213251)

Immunofluorescent analysis of 100% methanol-fixed, 0.1% TritonX-100 permeabilized, PBS washing, and blocked with 10% normal goat serum in PBS HeLa (human cervical cancer cells) cells labelling Actin with ab213251 at 1 : 400 (1.20 µg/ml) dilution, followed by ab325307 Alpaca multiclonal [2F3 / 2E5] Anti-human IgG1/IgG4 antibody (AZdye 568) at 1/500 (0.15 µg/ml per sdAb) dilution (red).

Confocal image showing cytoplasmic staining in HeLa cells (shown in red). Nuclear DNA was labelled with DAPI (shown in blue).

Image was taken with a fluorescence microscope (Zeiss Axio Imager Z1).

Secondary antibody only control : Secondary antibody is ab325307 Alpaca multiclonal [2F3 / 2E5] Anti-human IgG1/IgG4 antibody (AZdye 568) at 1/500 (0.15 µg/ml per sdAb) dilution.

Immunocytochemistry/ Immunofluorescence - Anti-Actin antibody [IGX3831H] - Loading Control (AB213251)
  • ICC/IF

Lab

Immunocytochemistry/ Immunofluorescence - Anti-Actin antibody [IGX3831H] - Loading Control (AB213251)

ab213251 staining Actin in HeLa cells. The cells were fixed with 4% formaldehyde (10 min), permeabilized with 0.1% Triton X-100 for 5 minutes and then blocked with 1% BSA/10% normal goat serum/0.3M glycine in 0.1% PBS-Tween for 1h. The cells were then incubated overnight at +4°C with ab213251 at a 5μg/ml concentration, then detected with a goat anti-human (Alexa Fluor® 488) secondary antibody at a 1/2000 dilution (shown in green). Nuclear DNA was labelled with DAPI (shown in blue).

Image was taken with a confocal microscope (Leica-Microsystems, TCS SP8).

Immunocytochemistry/ Immunofluorescence - Anti-Actin antibody [IGX3831H] - Loading Control (AB213251)
  • ICC/IF

Lab

Immunocytochemistry/ Immunofluorescence - Anti-Actin antibody [IGX3831H] - Loading Control (AB213251)

ab213251 staining Actin in NIH3T3 cells. The cells were fixed with 4% formaldehyde (10 min), permeabilized with 0.1% Triton X-100 for 5 minutes and then blocked with 1% BSA/10% normal goat serum/0.3M glycine in 0.1% PBS-Tween for 1h. The cells were then incubated overnight at +4°C with ab213251 at a 5μg/ml concentration, then detected with a goat anti-human (Alexa Fluor® 488) secondary antibody at a 1/2000 dilution (shown in green). Nuclear DNA was labelled with DAPI (shown in blue).

Image was taken with a confocal microscope (Leica-Microsystems, TCS SP8).

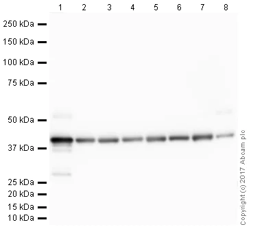
Western blot - Anti-Actin antibody [IGX3831H] - Loading Control (AB213251)
  • WB

Lab

Western blot - Anti-Actin antibody [IGX3831H] - Loading Control (AB213251)

This blot was produced using a 4-12% Bis-tris gel under the MOPS buffer system. The gel was run at 200V for 50 minutes before being transferred onto a Nitrocellulose membrane at 30V for 70 minutes. The membrane was then blocked for an hour using 3% milk before being incubated with ab213251 overnight at 4°C. Antibody binding was visualised using ECL development solution ab133406.

All lanes:

Anti-Actin [IGX3831H] at 1 µg/mL

Lane 1:

Human colon tissue lysate at 10 µg

Lane 2:

Mouse colon tissue lysate at 10 µg

Lane 3:

HeLa whole cell lysate at 10 µg

Lane 4:

Jurkat whole cell lysate at 10 µg

Lane 5:

NIH3T3 whole cell lysate at 10 µg

Lane 6:

PANC1 whole cell lysate at 10 µg

Lane 7:

C2C12 whole cell lysate at 10 µg

Lane 8:

Human skeletal muscle tissue lysate at 10 µg

Secondary

All lanes:

HRP conjugated Goat Anti-Human IgG (H+L) at 1/10000 dilution

Predicted band size: 42 kDa

false

Exposure time: 1min

Key facts

Host species

Human

Clonality

Monoclonal

Clone number

IGX3831H

Isotype

IgG1

Carrier free

No

Reacts with

Mouse, Human

Applications

ICC/IF, WB

applications

Immunogen

The exact immunogen used to generate this antibody is proprietary information.

Reactivity data

{ "title": "Reactivity Data", "filters": { "stats": ["", "Species", "Dilution Info", "Notes"], "tabs": { "all-applications": {"fullname" : "All Applications", "shortname": "All Applications"}, "WB" : {"fullname" : "Western blot", "shortname":"WB"}, "ICCIF" : {"fullname" : "Immunocytochemistry/ Immunofluorescence", "shortname":"ICC/IF"} }, "product-promise": { "all": "all", "testedAndGuaranteed": "tested", "guaranteed": "expected", "predicted": "predicted", "notRecommended": "not-recommended" } }, "values": { "Human": { "WB-species-checked": "testedAndGuaranteed", "WB-species-dilution-info": "1-5 µg/mL", "WB-species-notes": "<p></p>", "ICCIF-species-checked": "testedAndGuaranteed", "ICCIF-species-dilution-info": "5 µg/mL", "ICCIF-species-notes": "<p>This product gave a positive signal in HeLa cells and NIH3T3 fixed with 4% formaldehyde</p>" }, "Mouse": { "WB-species-checked": "testedAndGuaranteed", "WB-species-dilution-info": "1-5 µg/mL", "WB-species-notes": "<p></p>", "ICCIF-species-checked": "testedAndGuaranteed", "ICCIF-species-dilution-info": "5 µg/mL", "ICCIF-species-notes": "<p>This product gave a positive signal in HeLa cells and NIH3T3 fixed with 4% formaldehyde</p>" } } }

Product details

This product was made using synthetic libraries and phage display technology.

This antibody is a recombinant antibody.
Human monoclonal antibody.

Properties and storage information

Form
Liquid
Purification technique
Affinity purification Protein A
Storage buffer
pH: 7.2 - 7.4 Preservative: 0.01% Sodium azide Constituents: PBS, 40% Glycerol (glycerin, glycerine), 0.05% BSA
Shipped at conditions
Blue Ice
Appropriate short-term storage duration
1-2 weeks
Appropriate short-term storage conditions
+4°C
Appropriate long-term storage conditions
-20°C
Aliquoting information
Upon delivery aliquot
Storage information
Avoid freeze / thaw cycle

Supplementary information

This supplementary information is collated from multiple sources and compiled automatically.

Actin also known as globular (G-actin) or filamentous (F-actin) actin plays a central role in cell structure and movement. This protein has a molecular weight of approximately 42 kDa and resides abundantly in eukaryotic cells especially in muscle and cytoskeletal structures. It comes in several isoforms with varying expression profiles across tissues. Actin can undergo polymerization from its G-actin monomers into F-actin filaments a process that is reversible through depolymerization allowing for dynamic cellular functions.
Biological function summary

Actin contributes to various cellular processes by forming the cytoskeleton which provides mechanical support and determines cell shape. Actin also facilitates cell motility division and intracellular transport through rapid polymerization and depolymerization cycles. Within cells actin associates with other proteins to form complexes such as the Arp2/3 complex which assists actin in the branching of filaments critical for pushing forward the cell's leading edge during movement. Techniques like actin immunofluorescence help visualize actin filaments within cells revealing its extensive network.

Pathways

Actin plays an integral role in pathways like cell movement and signal transduction. The Rho family of GTPases regulates actin cytoskeleton rearrangements influencing cell shape and migration. Actin function interactions involve proteins like myosin forming actomyosin complexes essential for muscle contraction and other cell motility activities. Actin polymerization and depolymerization cycles are key to the dynamic regulation within these pathways ensuring adequate cellular responses to environmental signals.

Mutations or misregulation of actin and its associated pathways link to conditions such as cardiomyopathies and cancer metastasis. In familial cardiomyopathy actin mutations disrupt normal cardiac muscle contraction. In cancer altered actin polymerization and depolymerization enable invasive cell migration facilitating metastasis. Proteins like myosin and tropomyosin associate with actin in these pathologies illustrating the impact of actin dynamics on disease progression and highlighting actin as a therapeutic target. Anti-actin antibodies can be used in research and diagnostics to better understand these disorders.

Product protocols

For this product, it's our understanding that no specific protocols are required. You can visit:

Target data

Actins are highly conserved proteins that are involved in various types of cell motility and are ubiquitously expressed in all eukaryotic cells.
See full target information ACTA1

Publications (3)

Recent publications for all applications. Explore the full list and refine your search

Genome research 35:1633-1645 PubMed40360185

2025

Tissular chromatin-state cartography based on double-barcoded DNA arrays that capture unloaded PA-Tn5 transposase.

Applications

Unspecified application

Species

Unspecified reactive species

Maria Grazia Mendoza-Ferri,Gwendoline Lozachmeur,Maximilien Duvina,Laetitia Perret,Didier Merciris,Anne Gigout,Marco Antonio Mendoza-Parra

Frontiers in bioengineering and biotechnology 12:1495015 PubMed39534671

2024

Healthy but not osteoarthritic human meniscus-derived matrix scaffolds promote meniscus repair.

Applications

Unspecified application

Species

Unspecified reactive species

Saman Firoozi,Jon C Ley,Dawn A D Chasse,David E Attarian,Samuel S Wellman,Annunziato Amendola,Amy L McNulty

Stem cells (Dayton, Ohio) 39:975-987 PubMed33662168

2021

Mesenchymal stem cells regulate type 2 innate lymphoid cells via regulatory T cells through ICOS-ICOSL interaction.

Applications

Unspecified application

Species

Unspecified reactive species

Xingliang Fan,Zhi-Bin Xu,Cheng-Lin Li,Hong-Yu Zhang,Ya-Qi Peng,Bi-Xin He,Xiao-Qing Liu,De-Hua Chen,Dong Chen,Cezmi A Akdis,Qing-Ling Fu
View all publications

Product promise

We are committed to supporting your work with high-quality reagents, and we're here for you every step of the way. In the unlikely event that one of our products does not perform as expected, you're protected by our Product Promise.
For full details, please see our Terms & Conditions

Please note: All products are 'FOR RESEARCH USE ONLY. NOT FOR USE IN DIAGNOSTIC OR THERAPEUTIC PROCEDURES'.

For licensing inquiries, please contact partnerships@abcam.com