JavaScript is disabled in your browser. Please enable JavaScript to view this website.
AB115301

Anti-Activin Receptor Type IA antibody

Be the first to review this product! Submit a review

|

(1 Publication)

Goat Polyclonal Activin Receptor Type IA antibody. Suitable for IHC-P, WB and reacts with Human samples. Cited in 1 publication. Immunogen corresponding to Synthetic Peptide within Human ACVR1 aa 100-200.

View Alternative Names

ACVRLK2, ACVR1, Activin receptor type-1, Activin receptor type I, Activin receptor-like kinase 2, Serine/threonine-protein kinase receptor R1, TGF-B superfamily receptor type I, ACTR-I, ALK-2, SKR1, TSR-I

2 Images
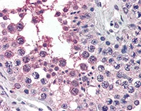
Immunohistochemistry (Formalin/PFA-fixed paraffin-embedded sections) - Anti-Activin Receptor Type IA antibody (AB115301)
  • IHC-P

Unknown

Immunohistochemistry (Formalin/PFA-fixed paraffin-embedded sections) - Anti-Activin Receptor Type IA antibody (AB115301)

ab115301, at 4 μg/ml, staining Activin Receptor Type IA in formalin-fixed, paraffin-embedded Human Testis by Immunohistochemistry, using a biotinylated anti-goat IgG secondary antibody, alkaline phosphatase-streptavidin and chromogen.

Western blot - Anti-Activin Receptor Type IA antibody (AB115301)
  • WB

Unknown

Western blot - Anti-Activin Receptor Type IA antibody (AB115301)

Primary incubation was 1 hour.

All lanes:

Western blot - Anti-Activin Receptor Type IA antibody (ab115301) at 0.3 µg/mL

All lanes:

Human Umbilical Cord lysate (in RIPA buffer) at 35 µg

Predicted band size: 57 kDa

true

Key facts

Host species

Goat

Clonality

Polyclonal

Isotype

IgG

Carrier free

No

Reacts with

Human

Applications

WB, IHC-P

applications

Immunogen

Synthetic Peptide within Human ACVR1 aa 100-200. The exact immunogen used to generate this antibody is proprietary information.

Q04771

Reactivity data

{ "title": "Reactivity Data", "filters": { "stats": ["", "Species", "Dilution Info", "Notes"], "tabs": { "all-applications": {"fullname" : "All Applications", "shortname": "All Applications"}, "IHCP" : {"fullname" : "Immunohistochemistry (Formalin/PFA-fixed paraffin-embedded sections)", "shortname":"IHC-P"}, "WB" : {"fullname" : "Western blot", "shortname":"WB"} }, "product-promise": { "all": "all", "testedAndGuaranteed": "tested", "guaranteed": "expected", "predicted": "predicted", "notRecommended": "not-recommended" } }, "values": { "Human": { "IHCP-species-checked": "testedAndGuaranteed", "IHCP-species-dilution-info": "4 µg/mL", "IHCP-species-notes": "<p></p> Perform heat-mediated antigen retrieval with citrate buffer pH 6 before commencing with IHC staining protocol.", "WB-species-checked": "testedAndGuaranteed", "WB-species-dilution-info": "0.3-1 µg/mL", "WB-species-notes": "<p></p>" }, "Mouse": { "IHCP-species-checked": "predicted", "IHCP-species-dilution-info": "", "IHCP-species-notes": "", "WB-species-checked": "predicted", "WB-species-dilution-info": "", "WB-species-notes": "" }, "Rat": { "IHCP-species-checked": "predicted", "IHCP-species-dilution-info": "", "IHCP-species-notes": "", "WB-species-checked": "predicted", "WB-species-dilution-info": "", "WB-species-notes": "" }, "Cow": { "IHCP-species-checked": "predicted", "IHCP-species-dilution-info": "", "IHCP-species-notes": "", "WB-species-checked": "predicted", "WB-species-dilution-info": "", "WB-species-notes": "" }, "Dog": { "IHCP-species-checked": "predicted", "IHCP-species-dilution-info": "", "IHCP-species-notes": "", "WB-species-checked": "predicted", "WB-species-dilution-info": "", "WB-species-notes": "" }, "Goat": { "IHCP-species-checked": "predicted", "IHCP-species-dilution-info": "", "IHCP-species-notes": "", "WB-species-checked": "predicted", "WB-species-dilution-info": "", "WB-species-notes": "" }, "Horse": { "IHCP-species-checked": "predicted", "IHCP-species-dilution-info": "", "IHCP-species-notes": "", "WB-species-checked": "predicted", "WB-species-dilution-info": "", "WB-species-notes": "" }, "Pig": { "IHCP-species-checked": "predicted", "IHCP-species-dilution-info": "", "IHCP-species-notes": "", "WB-species-checked": "predicted", "WB-species-dilution-info": "", "WB-species-notes": "" } } }

Properties and storage information

Form
Liquid
Purification technique
Affinity purification Immunogen
Storage buffer
pH: 7.3 Preservative: 0.02% Sodium azide Constituents: 99% Tris buffered saline, 0.5% BSA
Shipped at conditions
Blue Ice
Appropriate short-term storage duration
1-2 weeks
Appropriate short-term storage conditions
+4°C
Appropriate long-term storage conditions
-20°C
Aliquoting information
Upon delivery aliquot

Supplementary information

This supplementary information is collated from multiple sources and compiled automatically.

Activin Receptor Type IA also known as ACVR1 or ALK2 is a type I receptor serine/threonine kinase. It has a mass of approximately 55 kDa. Activin Receptor Type IA is widely expressed in various tissues including skeletal muscle heart and central nervous system. It functions through the binding of ligands like activins and bone morphogenetic proteins (BMPs) which triggers intracellular signaling cascades important for cellular processes.
Biological function summary

Activin Receptor Type IA plays a significant role in several cellular activities including growth and differentiation. It operates as part of a receptor complex with type II receptors like ACVR2A protein which facilitates ligand binding and phosphorylation. Activin receptor is essential for the regulation of mesoderm induction and organ development notably in the skeletal and muscular systems. Its interaction with activin protein family members influences various developmental processes.

Pathways

Activin Receptor Type IA is an integral component of the TGF-beta signaling pathway and BMP pathway. These pathways are vital for embryonic development and tissue homeostasis. Activin receptor interacts with the SMAD family of proteins which mediate signal transduction to the nucleus influencing gene expression. Through these pathways it relates functionally to SMAD1 and SMAD2 proteins that contribute to cell proliferation and differentiation dynamics.

Activin Receptor Type IA is associated with fibrodysplasia ossificans progressiva (FOP) and cancer. Mutations in the ACVR1 gene can lead to abnormal bone growth seen in FOP commonly due to erroneous activation of the BMP signaling pathway. In some cancers the dysregulation of activin receptor signaling can alter cell proliferation rates placing it in connection with proteins involved in oncogenic processes. Targeting activin receptor pathways might offer therapeutic potential in certain diseases by modulating or restoring its normal signaling capability.

Product protocols

For this product, it's our understanding that no specific protocols are required. You can visit:

Target data

Bone morphogenetic protein (BMP) type I receptor that is involved in a wide variety of biological processes, including bone, heart, cartilage, nervous, and reproductive system development and regulation (PubMed : 20628059, PubMed : 22977237). As a type I receptor, forms heterotetrameric receptor complexes with the type II receptors AMHR2, ACVR2A or ACVR2B (PubMed : 17911401). Upon binding of ligands such as BMP7 or GDF2/BMP9 to the heteromeric complexes, type II receptors transphosphorylate ACVR1 intracellular domain (PubMed : 25354296). In turn, ACVR1 kinase domain is activated and subsequently phosphorylates SMAD1/5/8 proteins that transduce the signal (PubMed : 9748228). In addition to its role in mediating BMP pathway-specific signaling, suppresses TGFbeta/activin pathway signaling by interfering with the binding of activin to its type II receptor (PubMed : 17911401). Besides canonical SMAD signaling, can activate non-canonical pathways such as p38 mitogen-activated protein kinases/MAPKs (By similarity). May promote the expression of HAMP, potentially via its interaction with BMP6 (By similarity).
See full target information ACVR1

Publications (1)

Recent publications for all applications. Explore the full list and refine your search

Frontiers in bioscience (Landmark edition) 27:58 PubMed35227001

2022

Role of CK1ε-regulated PERIOD2 in STZ-induced diabetic myocardial injury.

Applications

Unspecified application

Species

Unspecified reactive species

Qin Huang,Meng Jiang,Zhong-Yuan Xia,Shaoqing Lei,Bo Zhao,Zhen Qiu
View all publications

Product promise

We are committed to supporting your work with high-quality reagents, and we're here for you every step of the way. In the unlikely event that one of our products does not perform as expected, you're protected by our Product Promise.
For full details, please see our Terms & Conditions

Please note: All products are 'FOR RESEARCH USE ONLY. NOT FOR USE IN DIAGNOSTIC OR THERAPEUTIC PROCEDURES'.

For licensing inquiries, please contact partnerships@abcam.com