JavaScript is disabled in your browser. Please enable JavaScript to view this website.
AB226119

Anti-ACTL6A antibody [EPR7443] - BSA and Azide free

Be the first to review this product! Submit a review

|

(1 Publication)

Rabbit Recombinant Monoclonal ACL6A antibody. Carrier free. Suitable for IHC-P, WB and reacts with Human, Mouse, Rat samples. Cited in 1 publication.

View Alternative Names

BAF53, BAF53A, INO80K, ACTL6A, Actin-like protein 6A, 53 kDa BRG1-associated factor A, Actin-related protein Baf53a, ArpNbeta, BRG1-associated factor 53A, INO80 complex subunit K

2 Images
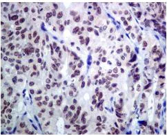
Immunohistochemistry (Formalin/PFA-fixed paraffin-embedded sections) - Anti-ACTL6A antibody [EPR7443] - BSA and Azide free (AB226119)
  • IHC-P

Unknown

Immunohistochemistry (Formalin/PFA-fixed paraffin-embedded sections) - Anti-ACTL6A antibody [EPR7443] - BSA and Azide free (AB226119)

Immunohistochemical analysis of paraffin embedded Human breast carcinoma tissue labelling ACTL6A with ab131272 at 1/50 dilution.

This data was developed using the same antibody clone in a different buffer formulation containing PBS, BSA, glycerol, and sodium azide (ab131272).

Perform heat mediated antigen retrieval before commencing with IHC staining protocol.

Immunohistochemistry (Formalin/PFA-fixed paraffin-embedded sections) - Anti-ACTL6A antibody [EPR7443] - BSA and Azide free (AB226119)
  • IHC-P

Unknown

Immunohistochemistry (Formalin/PFA-fixed paraffin-embedded sections) - Anti-ACTL6A antibody [EPR7443] - BSA and Azide free (AB226119)

Immunohistochemical analysis of paraffin embedded Human colon tissue labelling ACTL6A with ab131272 at 1/50 dilution.

This data was developed using the same antibody clone in a different buffer formulation containing PBS, BSA, glycerol, and sodium azide (ab131272).

Perform heat mediated antigen retrieval before commencing with IHC staining protocol.

Key facts

Host species

Rabbit

Clonality

Monoclonal

Clone number

EPR7443

Isotype

IgG

Carrier free

Yes

Reacts with

Human

Applications

WB, IHC-P

applications

Immunogen

The exact immunogen used to generate this antibody is proprietary information.

Specificity

The immunogen used for this product shares 79% homology with ACTL6B. Cross-reactivity with this protein has not been confirmed experimentally.

Reactivity data

{ "title": "Reactivity Data", "filters": { "stats": ["", "Species", "Dilution Info", "Notes"], "tabs": { "all-applications": {"fullname" : "All Applications", "shortname": "All Applications"}, "IHCP" : {"fullname" : "Immunohistochemistry (Formalin/PFA-fixed paraffin-embedded sections)", "shortname":"IHC-P"}, "FlowCyt" : {"fullname" : "Flow Cytometry", "shortname":"Flow Cyt"}, "WB" : {"fullname" : "Western blot", "shortname":"WB"} }, "product-promise": { "all": "all", "testedAndGuaranteed": "tested", "guaranteed": "expected", "predicted": "predicted", "notRecommended": "not-recommended" } }, "values": { "Human": { "IHCP-species-checked": "testedAndGuaranteed", "IHCP-species-dilution-info": "", "IHCP-species-notes": "<p>(Heat to 98°C, allow to cool for 10-20 minutes)</p> Perform heat-mediated antigen retrieval before commencing with IHC staining protocol.", "FlowCyt-species-checked": "notRecommended", "FlowCyt-species-dilution-info": "", "FlowCyt-species-notes": "<p></p>", "WB-species-checked": "guaranteed", "WB-species-dilution-info": "", "WB-species-notes": "<p></p>" }, "Mouse": { "IHCP-species-checked": "predicted", "IHCP-species-dilution-info": "", "IHCP-species-notes": "", "FlowCyt-species-checked": "notRecommended", "FlowCyt-species-dilution-info": "", "FlowCyt-species-notes": "", "WB-species-checked": "guaranteed", "WB-species-dilution-info": "", "WB-species-notes": "<p></p>" }, "Rat": { "IHCP-species-checked": "predicted", "IHCP-species-dilution-info": "", "IHCP-species-notes": "", "FlowCyt-species-checked": "notRecommended", "FlowCyt-species-dilution-info": "", "FlowCyt-species-notes": "", "WB-species-checked": "guaranteed", "WB-species-dilution-info": "", "WB-species-notes": "<p></p>" } } }

Product details

ab226119 is the carrier-free version of ab131272.

Patented technology
Our RabMAb® technology is a patented hybridoma-based technology for making rabbit monoclonal antibodies. For details on our patents, please refer to RabMAb® patents.

What are the advantages of a recombinant monoclonal antibody?
This product is a recombinant monoclonal antibody, which offers several advantages including:

  • - High batch-to-batch consistency and reproducibility
  • - Improved sensitivity and specificity
  • - Long-term security of supply
  • - Animal-free batch production

For more information, read more on recombinant antibodies.

Conjugation ready
Our carrier-free antibodies are typically supplied in a PBS-only formulation, purified and free of BSA, sodium azide and glycerol. This conjugation-ready format is designed for use with fluorochromes, metal isotopes, oligonucleotides, and enzymes, which makes them ideal for antibody labelling, functional and cell-based assays, flow-based assays (e.g. mass cytometry) and Multiplex Imaging applications.

Use our conjugation kits for antibody conjugates that are ready-to-use in as little as 20 minutes with 1 minute hands-on-time and 100% antibody recovery: available for fluorescent dyes, HRP, biotin and gold.

Compatibility
This product is compatible with the Maxpar® Antibody Labeling Kit from Fluidigm, without the need for antibody preparation. Maxpar® is a trademark of Fluidigm Canada Inc.

Properties and storage information

Form
Liquid
Purification technique
Affinity purification Protein A
Storage buffer
pH: 7.2 - 7.4 Constituents: PBS
Shipped at conditions
Blue Ice
Appropriate short-term storage conditions
+4°C
Appropriate long-term storage conditions
+4°C
Storage information
Do Not Freeze

Supplementary information

This supplementary information is collated from multiple sources and compiled automatically.

ACTL6A also known as BAF53A or Arp4 is a member of the actin-related protein family with a molecular mass of approximately 53 kDa. This protein plays an important role in chromatin remodeling facilitating transcriptional regulation by altering nucleosome positioning. ACTL6A shows expression in various tissues with high levels found in neurons and certain cancer cell types. Its function depends on local cellular context which influences its involvement in specific gene expression profiles.
Biological function summary

ACTL6A supports transcriptional regulation by integrating into the SWI/SNF chromatin-remodeling complex. This complex which includes other key proteins coordinates to reposition nucleosomes aiding transcription factors in accessing target DNA sequences. ACTL6A contributes to regulation of gene expression patterns that underline cell identity and differentiation reflecting its critical role in neuronal and cancer cell biology.

Pathways

The SWI/SNF complex which includes ACTL6A integrates into pathways that control cell proliferation and differentiation. Specifically the Wnt signaling pathway uses ACTL6A to regulate gene expression necessary for proper cell function. Proteins like BRG1 and BRM serve as partners in this process helping to execute transcriptional activation. By participating in these pathways ACTL6A emphasizes its role in conserving cellular homeostasis.

ACTL6A exhibits associations with oncogenesis and neural disorders. Researchers observed its link to the development of glioblastoma where it influences tumor progression through interactions with other SWI/SNF members like SMARCA4. Additionally abnormalities in ACTL6A function relate to neurodevelopmental disorders emphasizing its importance in neuronal growth and differentiation. Its connection to these diseases highlights the potential of ACTL6A as a target for therapeutic interventions.

Product protocols

For this product, it's our understanding that no specific protocols are required. You can visit:

Target data

Involved in transcriptional activation and repression of select genes by chromatin remodeling (alteration of DNA-nucleosome topology). Component of SWI/SNF chromatin remodeling complexes that carry out key enzymatic activities, changing chromatin structure by altering DNA-histone contacts within a nucleosome in an ATP-dependent manner. Required for maximal ATPase activity of SMARCA4/BRG1/BAF190A and for association of the SMARCA4/BRG1/BAF190A containing remodeling complex BAF with chromatin/nuclear matrix. Belongs to the neural progenitors-specific chromatin remodeling complex (npBAF complex) and is required for the proliferation of neural progenitors. During neural development a switch from a stem/progenitor to a postmitotic chromatin remodeling mechanism occurs as neurons exit the cell cycle and become committed to their adult state. The transition from proliferating neural stem/progenitor cells to postmitotic neurons requires a switch in subunit composition of the npBAF and nBAF complexes. As neural progenitors exit mitosis and differentiate into neurons, npBAF complexes which contain ACTL6A/BAF53A and PHF10/BAF45A, are exchanged for homologous alternative ACTL6B/BAF53B and DPF1/BAF45B or DPF3/BAF45C subunits in neuron-specific complexes (nBAF). The npBAF complex is essential for the self-renewal/proliferative capacity of the multipotent neural stem cells. The nBAF complex along with CREST plays a role regulating the activity of genes essential for dendrite growth (By similarity). Component of the NuA4 histone acetyltransferase (HAT) complex which is involved in transcriptional activation of select genes principally by acetylation of nucleosomal histones H4 and H2A. This modification may both alter nucleosome - DNA interactions and promote interaction of the modified histones with other proteins which positively regulate transcription. This complex may be required for the activation of transcriptional programs associated with oncogene and proto-oncogene mediated growth induction, tumor suppressor mediated growth arrest and replicative senescence, apoptosis, and DNA repair. NuA4 may also play a direct role in DNA repair when recruited to sites of DNA damage. Putative core component of the chromatin remodeling INO80 complex which is involved in transcriptional regulation, DNA replication and probably DNA repair.
See full target information ACTL6A

Publications (1)

Recent publications for all applications. Explore the full list and refine your search

Scientific reports 13:5374 PubMed37005468

2023

Spatial subcellular organelle networks in single cells.

Applications

Unspecified application

Species

Unspecified reactive species

Mythreye Venkatesan,Nicholas Zhang,Benoit Marteau,Yukina Yajima,Nerea Ortiz De Zarate Garcia,Zhou Fang,Thomas Hu,Shuangyi Cai,Adam Ford,Harrison Olszewski,Andrew Borst,Ahmet F Coskun
View all publications

Product promise

We are committed to supporting your work with high-quality reagents, and we're here for you every step of the way. In the unlikely event that one of our products does not perform as expected, you're protected by our Product Promise.
For full details, please see our Terms & Conditions

Please note: All products are 'FOR RESEARCH USE ONLY. NOT FOR USE IN DIAGNOSTIC OR THERAPEUTIC PROCEDURES'.

For licensing inquiries, please contact partnerships@abcam.com