JavaScript is disabled in your browser. Please enable JavaScript to view this website.
AB197831

Anti-ACTL8 antibody - C-terminal

Be the first to review this product! Submit a review

|

(0 Publication)

Rabbit Polyclonal ACTL8 antibody. C-terminal. Suitable for WB, IHC-P and reacts with Human samples. Immunogen corresponding to Recombinant Fragment Protein within Human ACTL8.

View Alternative Names

Actin-like protein 8, Cancer/testis antigen 57, CT57, ACTL8

2 Images
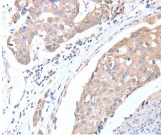
Immunohistochemistry (Formalin/PFA-fixed paraffin-embedded sections) - Anti-ACTL8 antibody - C-terminal (AB197831)
  • IHC-P

Supplier Data

Immunohistochemistry (Formalin/PFA-fixed paraffin-embedded sections) - Anti-ACTL8 antibody - C-terminal (AB197831)

Immunohistochemical analysis of paraffin-embedded Human breast cancer tissue labeling ACTL8 with ab197831 at 1/15 dilution.

Western blot - Anti-ACTL8 antibody - C-terminal (AB197831)
  • WB

Supplier Data

Western blot - Anti-ACTL8 antibody - C-terminal (AB197831)

Gel : 10%SDS-PAGE

All lanes:

Western blot - Anti-ACTL8 antibody - C-terminal (ab197831) at 1/350 dilution

Lane 1:

HeLa cell lysate at 40 µg

Lane 2:

A549 cell lysate at 40 µg

Predicted band size: 41 kDa

false

Exposure time: 5s

Key facts

Host species

Rabbit

Clonality

Polyclonal

Isotype

IgG

Carrier free

No

Reacts with

Human

Applications

IHC-P, WB

applications

Immunogen

Recombinant Fragment Protein within Human ACTL8. The exact immunogen used to generate this antibody is proprietary information.

Q9H568

Reactivity data

{ "title": "Reactivity Data", "filters": { "stats": ["", "Species", "Dilution Info", "Notes"], "tabs": { "all-applications": {"fullname" : "All Applications", "shortname": "All Applications"}, "WB" : {"fullname" : "Western blot", "shortname":"WB"}, "IHCP" : {"fullname" : "Immunohistochemistry (Formalin/PFA-fixed paraffin-embedded sections)", "shortname":"IHC-P"} }, "product-promise": { "all": "all", "testedAndGuaranteed": "tested", "guaranteed": "expected", "predicted": "predicted", "notRecommended": "not-recommended" } }, "values": { "Human": { "WB-species-checked": "testedAndGuaranteed", "WB-species-dilution-info": "1/500 - 1/2000", "WB-species-notes": "<p></p>", "IHCP-species-checked": "testedAndGuaranteed", "IHCP-species-dilution-info": "1/15 - 1/50", "IHCP-species-notes": "<p></p>" } } }

Properties and storage information

Form
Liquid
Purification technique
Affinity purification Immunogen
Storage buffer
pH: 7.4 Preservative: 0.05% Sodium azide Constituents: 50% Glycerol (glycerin, glycerine), 49% PBS
Shipped at conditions
Blue Ice
Appropriate short-term storage duration
1-2 weeks
Appropriate short-term storage conditions
+4°C
Appropriate long-term storage conditions
-20°C
Aliquoting information
Upon delivery aliquot
Storage information
Avoid freeze / thaw cycle

Supplementary information

This supplementary information is collated from multiple sources and compiled automatically.

ACTL8 also known as Actin-Like 8 is a protein with a mass around 45 kDa. This protein is a member of the actin-related proteins that share structural similarities with conventional actin. ACTL8 is mainly expressed in the testis and to a lesser extent in the brain and other tissues. It plays a role in cellular processes that involve cytoskeletal dynamics.
Biological function summary

Actin-Like 8 participates in intracellular transport and cell shape changes. It doesn't appear to form part of a well-defined complex but it may interact with other actin-related proteins and myosins in the testis. Its function is important in the development and maintenance of sperm tail structure suggesting a role in spermatogenesis.

Pathways

ACTL8 is involved in actin cytoskeleton remodeling pathways. It connects to the Wnt signaling pathway which influences cell proliferation and differentiation. ACTL8 may interact with proteins like beta-catenin that bridge Wnt signaling and cytoskeletal organization which is important for cellular adhesion and migration processes.

Disturbances in ACTL8 expression have correlations with reproductive disorders such as non-obstructive azoospermia where sperm cells are not produced. It also has connections to neurological conditions given its expression in the brain although this is less well understood. Its interaction with proteins involved in cytoskeletal regulation such as other actins might influence disease states where cell movement and structure are affected.

Product protocols

For this product, it's our understanding that no specific protocols are required. You can visit:

Product promise

We are committed to supporting your work with high-quality reagents, and we're here for you every step of the way. In the unlikely event that one of our products does not perform as expected, you're protected by our Product Promise.
For full details, please see our Terms & Conditions

Please note: All products are 'FOR RESEARCH USE ONLY. NOT FOR USE IN DIAGNOSTIC OR THERAPEUTIC PROCEDURES'.

For licensing inquiries, please contact partnerships@abcam.com