JavaScript is disabled in your browser. Please enable JavaScript to view this website.
AB197812

Anti-ACTR3B antibody

Be the first to review this product! Submit a review

|

(1 Publication)

Rabbit Polyclonal ACTR3B antibody. Suitable for WB, IHC-P and reacts with Mouse, Human samples. Cited in 1 publication. Immunogen corresponding to Fusion protein corresponding to ACTR3B, fused to ACTR3B.

View Alternative Names

Actin-related protein 3B, ARP3-beta, Actin-like protein 3B, Actr3b

2 Images
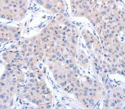
Immunohistochemistry (Formalin/PFA-fixed paraffin-embedded sections) - Anti-ACTR3B antibody (AB197812)
  • IHC-P

Supplier Data

Immunohistochemistry (Formalin/PFA-fixed paraffin-embedded sections) - Anti-ACTR3B antibody (AB197812)

Immunohistochemical analysis of paraffin-embedded Human lung cancer tissue labeling ACTR3B using ab197812 at a 1/15 dilution.

Western blot - Anti-ACTR3B antibody (AB197812)
  • WB

Supplier Data

Western blot - Anti-ACTR3B antibody (AB197812)

Gel : 10% SDS-PAGE

All lanes:

Western blot - Anti-ACTR3B antibody (ab197812) at 1/250 dilution

All lanes:

mouse brain tissue at 40 µg

Predicted band size: 48 kDa

false

Exposure time: 30s

Key facts

Host species

Rabbit

Clonality

Polyclonal

Isotype

IgG

Carrier free

No

Reacts with

Mouse, Human

Applications

WB, IHC-P

applications

Immunogen

Fusion protein corresponding to ACTR3B, fused to ACTR3B. The exact immunogen used to generate this antibody is proprietary information.

Q9P1U1

Reactivity data

{ "title": "Reactivity Data", "filters": { "stats": ["", "Species", "Dilution Info", "Notes"], "tabs": { "all-applications": {"fullname" : "All Applications", "shortname": "All Applications"}, "WB" : {"fullname" : "Western blot", "shortname":"WB"}, "IHCP" : {"fullname" : "Immunohistochemistry (Formalin/PFA-fixed paraffin-embedded sections)", "shortname":"IHC-P"} }, "product-promise": { "all": "all", "testedAndGuaranteed": "tested", "guaranteed": "expected", "predicted": "predicted", "notRecommended": "not-recommended" } }, "values": { "Human": { "WB-species-checked": "guaranteed", "WB-species-dilution-info": "", "WB-species-notes": "", "IHCP-species-checked": "testedAndGuaranteed", "IHCP-species-dilution-info": "1/15 - 1/50", "IHCP-species-notes": "<p></p>" }, "Mouse": { "WB-species-checked": "testedAndGuaranteed", "WB-species-dilution-info": "1/200 - 1/1000", "WB-species-notes": "<p></p>", "IHCP-species-checked": "guaranteed", "IHCP-species-dilution-info": "", "IHCP-species-notes": "" } } }

Properties and storage information

Form
Liquid
Purification technique
Affinity purification Immunogen
Storage buffer
pH: 7.4 Preservative: 0.05% Sodium azide Constituents: PBS, 50% Glycerol (glycerin, glycerine)
Shipped at conditions
Blue Ice
Appropriate short-term storage duration
1-2 weeks
Appropriate short-term storage conditions
+4°C
Appropriate long-term storage conditions
-20°C
Aliquoting information
Upon delivery aliquot
Storage information
Avoid freeze / thaw cycle

Supplementary information

This supplementary information is collated from multiple sources and compiled automatically.

ACTR3B also known as Actin-related protein 3B is a component of the ARP2/3 complex which contains approximately 47 kDa. Mechanically ACTR3B plays a role in the regulation of actin polymerization which is essential for the formation of branched actin networks. ACTR3B expression occurs in various tissues with prominent levels in cells requiring dynamic cytoskeletal changes. It interacts closely with other proteins of the ARP2/3 complex to drive actin network formation.
Biological function summary

ACTR3B influences cellular processes related to the maintenance of cell shape and motility by being part of the ARP2/3 complex. This complex assists in the nucleation of new actin filaments contributing to the dynamic remodeling of the actin cytoskeleton. The activity of ACTR3B impacts cell migration cell division and intracellular transport by reorganizing actin structures. ACTR3B's role within the ARP2/3 complex underlines its involvement in cellular projects demanding changes to cell morphology and interaction with the environment.

Pathways

The involvement of ACTR3B in the regulation of actin polymerization positions it within the WASP/WAVE signaling pathways. These pathways orchestrate the actin cytoskeletal dynamics that direct important cellular movements such as lamellipodia formation. ACTR3B works alongside proteins like WASP (Wiskott-Aldrich Syndrome Protein) in its pathway activities supporting coordinated cellular responses to external and internal signals through cytoskeletal rearrangement.

ACTR3B's association with actin polymerization links it to cancers and immune system diseases including Wiskott-Aldrich syndrome. These diseases often involve defects in cell movement and signaling due to impaired actin dynamics. In the context of cancer altered expression or mutation of ACTR3B may support metastatic processes through disrupted cell adhesion and migration. Additionally ACTR3B's connection with WASP highlights its potential role in disorders where actin cytoskeletal defects significantly affect immune responses.

Product protocols

For this product, it's our understanding that no specific protocols are required. You can visit:

Target data

Plays a role in the organization of the actin cytoskeleton. May function as ATP-binding component of the Arp2/3 complex which is involved in regulation of actin polymerization and together with an activating nucleation-promoting factor (NPF) mediates the formation of branched actin networks. May decrease the metastatic potential of tumors (By similarity).
See full target information Actr3b

Publications (1)

Recent publications for all applications. Explore the full list and refine your search

International journal of molecular sciences 22: PubMed34298952

2021

Glycoproteins Presenting Galactose and -Acetylgalactosamine in Human Seminal Plasma as Potential Players Involved in Immune Modulation in the Fertilization Process.

Applications

Unspecified application

Species

Unspecified reactive species

Justyna Szczykutowicz,Joanna Tkaczuk-Włach,Mirosława Ferens-Sieczkowska
View all publications

Product promise

We are committed to supporting your work with high-quality reagents, and we're here for you every step of the way. In the unlikely event that one of our products does not perform as expected, you're protected by our Product Promise.
For full details, please see our Terms & Conditions

Please note: All products are 'FOR RESEARCH USE ONLY. NOT FOR USE IN DIAGNOSTIC OR THERAPEUTIC PROCEDURES'.

For licensing inquiries, please contact partnerships@abcam.com