JavaScript is disabled in your browser. Please enable JavaScript to view this website.
AB197799

Anti-ACY3 antibody

Be the first to review this product! Submit a review

|

(2 Publications)

Rabbit Polyclonal ACY3 antibody. Suitable for WB, IHC-P and reacts with Mouse, Human samples. Cited in 2 publications. Immunogen corresponding to Recombinant Full Length Protein corresponding to Human ACY3.

View Alternative Names

ASPA2, ACY3, N-acyl-aromatic-L-amino acid amidohydrolase (carboxylate-forming), Acylase III, Aminoacylase-3, Aspartoacylase-2, Hepatitis C virus core-binding protein 1, ACY-3, HCBP1, HCV core-binding protein 1

2 Images
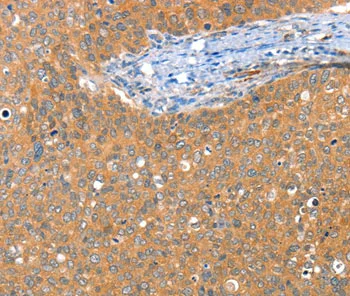
Immunohistochemistry (Formalin/PFA-fixed paraffin-embedded sections) - Anti-ACY3 antibody (AB197799)
  • IHC-P

Supplier Data

Immunohistochemistry (Formalin/PFA-fixed paraffin-embedded sections) - Anti-ACY3 antibody (AB197799)

Immunohistochemical analysis of paraffin-embedded Human cervical cancer tissue, labeling ACY3 with ab197799 at 1/25 dilution.

Western blot - Anti-ACY3 antibody (AB197799)
  • WB

Supplier Data

Western blot - Anti-ACY3 antibody (AB197799)

Gel : 10%SDS-PAGE

All lanes:

Western blot - Anti-ACY3 antibody (ab197799) at 1/500 dilution

All lanes:

mouse kidney tissue lysate at 40 µg

Predicted band size: 35 kDa

false

Exposure time: 5s

Key facts

Host species

Rabbit

Clonality

Polyclonal

Isotype

IgG

Carrier free

No

Reacts with

Mouse, Human

Applications

WB, IHC-P

applications

Immunogen

Recombinant Full Length Protein corresponding to Human ACY3.

Q96HD9

Reactivity data

{ "title": "Reactivity Data", "filters": { "stats": ["", "Species", "Dilution Info", "Notes"], "tabs": { "all-applications": {"fullname" : "All Applications", "shortname": "All Applications"}, "WB" : {"fullname" : "Western blot", "shortname":"WB"}, "IHCP" : {"fullname" : "Immunohistochemistry (Formalin/PFA-fixed paraffin-embedded sections)", "shortname":"IHC-P"} }, "product-promise": { "all": "all", "testedAndGuaranteed": "tested", "guaranteed": "expected", "predicted": "predicted", "notRecommended": "not-recommended" } }, "values": { "Human": { "WB-species-checked": "guaranteed", "WB-species-dilution-info": "", "WB-species-notes": "", "IHCP-species-checked": "testedAndGuaranteed", "IHCP-species-dilution-info": "1/25 - 1/100", "IHCP-species-notes": "<p></p>" }, "Mouse": { "WB-species-checked": "testedAndGuaranteed", "WB-species-dilution-info": "1/500 - 1/2000", "WB-species-notes": "<p></p>", "IHCP-species-checked": "guaranteed", "IHCP-species-dilution-info": "", "IHCP-species-notes": "" }, "Rat": { "WB-species-checked": "predicted", "WB-species-dilution-info": "", "WB-species-notes": "", "IHCP-species-checked": "predicted", "IHCP-species-dilution-info": "", "IHCP-species-notes": "" } } }

Properties and storage information

Form
Liquid
Purification technique
Affinity purification Immunogen
Storage buffer
pH: 7.4 Preservative: 0.05% Sodium azide Constituents: PBS, 50% Glycerol (glycerin, glycerine)
Shipped at conditions
Blue Ice
Appropriate short-term storage duration
1-2 weeks
Appropriate short-term storage conditions
+4°C
Appropriate long-term storage conditions
-20°C
Aliquoting information
Upon delivery aliquot
Storage information
Avoid freeze / thaw cycle

Supplementary information

This supplementary information is collated from multiple sources and compiled automatically.

ACY3 also known as Aminoacylase-3 is an enzyme with a molecular mass of approximately 36 kDa. It catalyzes the hydrolysis of acylated amino acids into free amino acids and acyl groups. This enzyme shows high expression in the kidney and liver but it can also be found in other tissues such as the heart and brain. Knowledge of its expression pattern helps understand its role in metabolic processes.
Biological function summary

ACY3 plays a role in nitrogen metabolism by converting N-acetylated amino acids. It does not function as part of a larger complex; rather it operates independently within these metabolic pathways. ACY3's activity helps in maintaining amino acid homeostasis by recycling essential amino acids for cellular functions. Its enzymatic function contributes significantly to the utilization of dietary proteins and the clearance of nitrogenous waste.

Pathways

ACY3 integrates into the urea cycle and amino acid degradation pathway. This enzyme's action facilitates the efficient breakdown of branched-chain amino acids and acetylated derivatives critical processes in energy production and nitrogen disposal. ACY3 interacts with other metabolic enzymes like glutaminase which aids in the conversion of glutamine to glutamate and impacts nitrogen release processes. Their coordinated function ensures the proper handling of excess nitrogen in the body.

ACY3 has links to kidney-related conditions and metabolic disorders. Alterations in its expression or activity level can associate with disorders like chronic kidney disease where nitrogen and protein metabolism experience dysregulation. Additionally altered ACY3 activity might relate to certain metabolic syndromes particularly those impacting amino acid processing. ACY3's connection with renal amino acid transporters further highlights its potential role in modulating disease progression.

Product protocols

For this product, it's our understanding that no specific protocols are required. You can visit:

Target data

Plays an important role in deacetylating mercapturic acids in kidney proximal tubules. Also acts on N-acetyl-aromatic amino acids (By similarity).
See full target information ACY3

Publications (2)

Recent publications for all applications. Explore the full list and refine your search

Cell proliferation 58:e13755 PubMed39329203

2024

Dynamic transcriptomic and regulatory networks underpinning the transition from fetal primordial germ cells to spermatogonia in mice.

Applications

Unspecified application

Species

Unspecified reactive species

Jiexiang Zhao,Kang Tang,Gurong Jiang,Xinyan Yang,Manman Cui,Cong Wan,Zhaoxiang Ouyang,Yi Zheng,Zhaoting Liu,Mei Wang,Xiao-Yang Zhao,Gang Chang

Journal of the American Society of Nephrology : JASN 33:531-546 PubMed34983833

2022

Vitamin C Deficiency Causes Cell Type-Specific Epigenetic Reprogramming and Acute Tubular Necrosis in a Mouse Model.

Applications

Unspecified application

Species

Unspecified reactive species

Zihui Yu,Ziying Xu,Yuan Liang,Pengbin Yin,Yue Shi,Jiayi Yu,Junfeng Hao,Ting Wang,Weimin Ci
View all publications

Product promise

We are committed to supporting your work with high-quality reagents, and we're here for you every step of the way. In the unlikely event that one of our products does not perform as expected, you're protected by our Product Promise.
For full details, please see our Terms & Conditions

Please note: All products are 'FOR RESEARCH USE ONLY. NOT FOR USE IN DIAGNOSTIC OR THERAPEUTIC PROCEDURES'.

For licensing inquiries, please contact partnerships@abcam.com