JavaScript is disabled in your browser. Please enable JavaScript to view this website.
AB300050

Anti-ADA antibody [EPR25429-117]

  • BOND RX™ Validated
  • 20ul selling size
  • RabMAb
  • Recombinant
  • What is this?

Be the first to review this product! Submit a review

|

(0 Publication)

Rabbit Recombinant Monoclonal ADA antibody. Suitable for WB, IHC-P, ICC/IF, IP and reacts with Human samples.

View Alternative Names

ADA1, ADA, Adenosine deaminase, Adenosine aminohydrolase

10 Images
Immunohistochemistry (Formalin/PFA-fixed paraffin-embedded sections) - Anti-ADA antibody [EPR25429-117] (AB300050)
  • IHC-P

Supplier Data

Immunohistochemistry (Formalin/PFA-fixed paraffin-embedded sections) - Anti-ADA antibody [EPR25429-117] (AB300050)

Immunohistochemical analysis of paraffin-embedded human cerebrum tissue labeling ADA with ab300050 at 1/2000 followed by a ready to use LeicaDS9800 (BOND Polymer Refine Detection) was used. Negative control : no staining on human cerebrum (PMID : 2606352). The section was incubated with ab300050 for 30 mins at room temperature. The immunostaining was performed on a Leica Biosystems BOND® RX instrument. Counterstained with Hematoxylin.

Secondary antibody only control : PBS was used instead of primary antibody (ab300050) followed by ready to use secondary antibody LeicaDS9800 (BOND Polymer Refine Detection).

Heat mediated antigen retrieval with Tris-EDTA buffer (pH 9.0, epitope retrieval solution2) for 20 mins.

Immunohistochemistry (Formalin/PFA-fixed paraffin-embedded sections) - Anti-ADA antibody [EPR25429-117] (AB300050)
  • IHC-P

Supplier Data

Immunohistochemistry (Formalin/PFA-fixed paraffin-embedded sections) - Anti-ADA antibody [EPR25429-117] (AB300050)

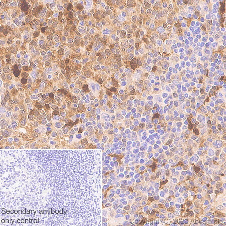
Immunohistochemical analysis of paraffin-embedded human tonsil tissue labelling ADA with ab300050 at 1/2000 followed by a ready to use LeicaDS9800 (BOND Polymer Refine Detection). Positive staining on human tonsil (PMID : 30778076) (PMID : 6360330). The section was incubated with ab300050 for 30 mins at room temperature. The immunostaining was performed on a Leica Biosystems BOND® RX instrument. Counterstained with Hematoxylin.

Secondary antibody only control : PBS was used instead of primary antibody (ab300050) followed by ready to use secondary antibody LeicaDS9800 (BOND Polymer Refine Detection).

Heat mediated antigen retrieval with Tris-EDTA buffer (pH 9.0, epitope retrieval solution2) for 20 mins.

Immunohistochemistry (Formalin/PFA-fixed paraffin-embedded sections) - Anti-ADA antibody [EPR25429-117] (AB300050)
  • IHC-P

Supplier Data

Immunohistochemistry (Formalin/PFA-fixed paraffin-embedded sections) - Anti-ADA antibody [EPR25429-117] (AB300050)

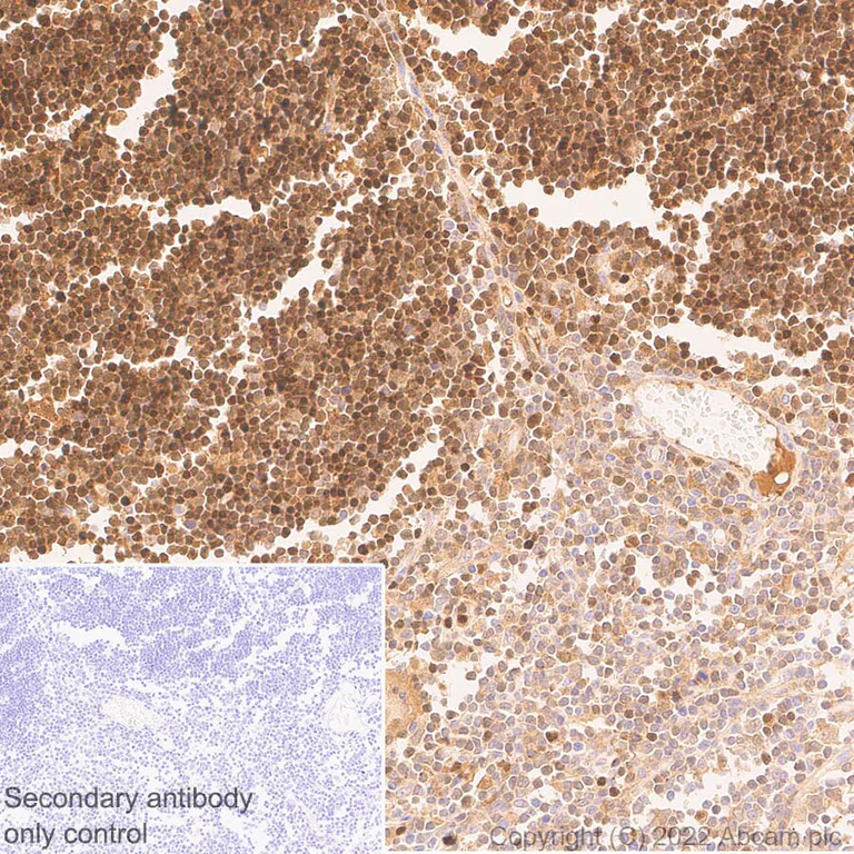
Immunohistochemical analysis of paraffin-embedded human thymus tissue labelling ADA with ab300050 at 1/2000 followed by a ready to use LeicaDS9800 (BOND Polymer Refine Detection). Positive staining on human thymus (PMID : 2606352). The section was incubated with ab300050 for 30 mins at room temperature. The immunostaining was performed on a Leica Biosystems BOND® RX instrument. Counterstained with Hematoxylin.

Secondary antibody only control : PBS was used instead of primary antibody (ab300050) followed by ready to use secondary antibody LeicaDS9800 (BOND Polymer Refine Detection).

Heat mediated antigen retrieval with Tris-EDTA buffer (pH 9.0, epitope retrieval solution2) for 20 mins.

Immunohistochemistry (Formalin/PFA-fixed paraffin-embedded sections) - Anti-ADA antibody [EPR25429-117] (AB300050)
  • IHC-P

Supplier Data

Immunohistochemistry (Formalin/PFA-fixed paraffin-embedded sections) - Anti-ADA antibody [EPR25429-117] (AB300050)

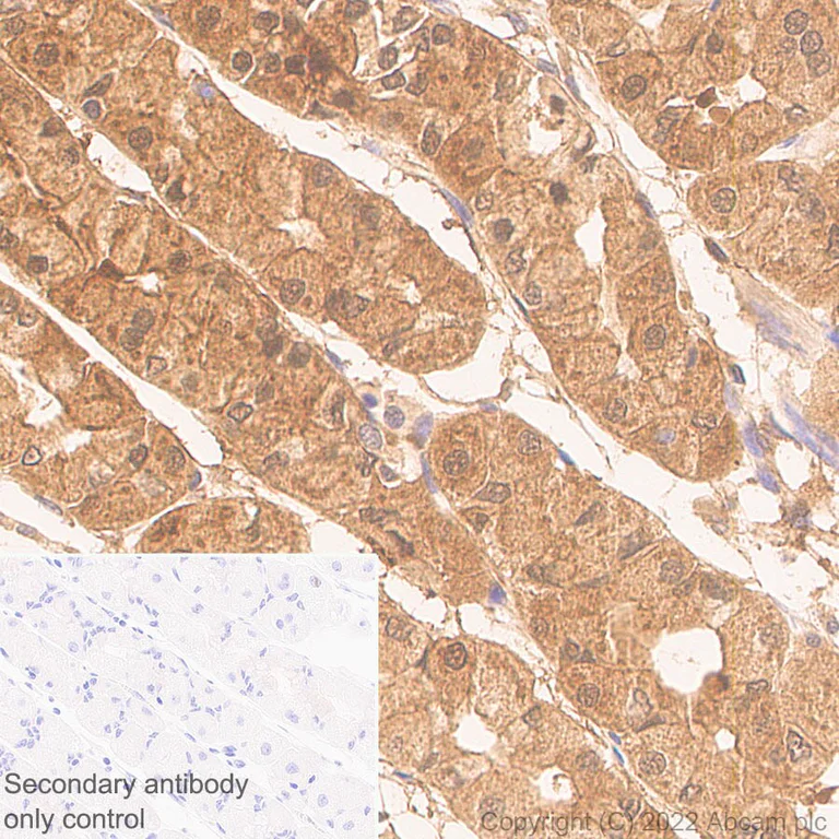
Immunohistochemical analysis of paraffin-embedded human stomach tissue labeling ADA with ab300050 at 1/2000 followed by a ready to use LeicaDS9800 (BOND Polymer Refine Detection) was used. Positive staining on human stomach. The section was incubated with ab300050 for 30 mins at room temperature. The immunostaining was performed on a Leica Biosystems BOND® RX instrument. Counterstained with Hematoxylin.

Secondary antibody only control : PBS was used instead of primary antibody (ab300050) followed by ready to use secondary antibody LeicaDS9800 (BOND Polymer Refine Detection).

Heat mediated antigen retrieval with Tris-EDTA buffer (pH 9.0, epitope retrieval solution2) for 20 mins.

Immunocytochemistry/ Immunofluorescence - Anti-ADA antibody [EPR25429-117] (AB300050)
  • ICC/IF

Supplier Data

Immunocytochemistry/ Immunofluorescence - Anti-ADA antibody [EPR25429-117] (AB300050)

Immunofluorescent analysis of 4% Paraformaldehyde-fixed, 0.1% TritonX-100 permeilized Jurkat (human T cell leukemia T lymphocyte) cells lebelling ADA with ab300050 at 1/50 dilution, followed by ab150081 Goat Anti-Rabbit IgG H&L (Alexa Fluor® 488) preadsorbed antibody at 1/1000 dilution (Green). Confocal image showing cytoplasmic and membranous staining in the Jurkat cell line.

ab195889 Anti-alpha Tubulin mouse monoclonal antibody - Microtubule Marker (Alexa Fluor® 594) was used to counterstain tubulin at 1/200 dilution (Red). The Nuclear counterstain was DAPI (Blue).

Secondary antibody only control : PBS was used instead of primary antibody followed by secondary antibody (ab150081) Goat Anti-Rabbit IgG H&L (Alexa Fluor® 488) preadsorbed at 1/1000 dilution.

Immunohistochemistry (Formalin/PFA-fixed paraffin-embedded sections) - Anti-ADA antibody [EPR25429-117] (AB300050)
  • IHC-P

Supplier Data

Immunohistochemistry (Formalin/PFA-fixed paraffin-embedded sections) - Anti-ADA antibody [EPR25429-117] (AB300050)

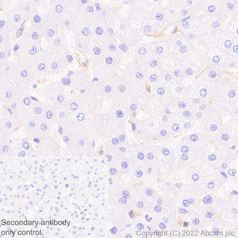
Immunohistochemical analysis of paraffin-embedded Human liver tissue labeling ADA with ab300050 at 1/2000 followed by a ready to use LeicaDS9800 (BOND Polymer Refine Detection). Positive staining on the stromal cells of human liver. The section was incubated with ab300050 for 30 mins at room temperature. The immunostaining was performed on a Leica Biosystems BOND® RX instrument Counterstained with Hematoxylin.

Secondary antibody only control : PBS was used instead of primary antibody (ab300050) followed by ready to use secondary antibody LeicaDS9800 (BOND Polymer Refine Detection).

Heat mediated antigen retrieval with Tris-EDTA buffer (pH 9.0, epitope retrieval solution2) for 20 mins.

Immunoprecipitation - Anti-ADA antibody [EPR25429-117] (AB300050)
  • IP

Supplier Data

Immunoprecipitation - Anti-ADA antibody [EPR25429-117] (AB300050)

ADA was immunoprecipitated from 0.35 mg Jurkat (human T cell leukemia T lymphocyte) whole cell lysate 10 µg with ab300050 at 1/30 dilution. Western blot was performed on the immunoprecipitate using ab300050 at 1/1000 dilution. VeriBlot for IP secondary antibody(HRP)(ab131366) was used at 1/5000 dilution.

Lane 1 : Jurkat (human T cell leukemia T lymphocyte) whole cell lysate 10 µg (Input)

Lane 2 : ab300050 IP in Jurkat whole cell lysate

Lane 3 : Rabbit monoclonal IgG (ab172730) instead of ab300050 in Jurkat whole cell lysate

Blocking and dilution buffer and concentration : 5% NFDM/TBST.

All lanes:

Immunoprecipitation - Anti-ADA antibody [EPR25429-117] (ab300050) at 1/1000 dilution

Lane 1:

Jurkat (human T cell leukemia T lymphocyte) whole cell lysate (Input) at 10 µg

Lane 2:

ab300050 IP in Jurkat whole cell lysate

Lane 3:

Rabbit monoclonal IgG (<a href='/en-us/products/primary-antibodies/rabbit-igg-monoclonal-epr25a-isotype-control-ab172730'>ab172730</a>) instead of ab300050 in Jurkat whole cell lysate

Secondary

All lanes:

Immunoprecipitation - VeriBlot for IP Detection Reagent (HRP) (<a href='/en-us/products/reagents/veriblot-for-ip-detection-reagent-hrp-ab131366'>ab131366</a>) at 1/5000 dilution

Predicted band size: 40 kDa

false

Exposure time: 10s

Western blot - Anti-ADA antibody [EPR25429-117] (AB300050)
  • WB

Supplier Data

Western blot - Anti-ADA antibody [EPR25429-117] (AB300050)

Blocking and dilution buffer and concentration : 5% NFDM/TBST.

Exposure time :

Lane1 : 3.25 second;

Lane2 : 37 seconds.

All lanes:

Western blot - Anti-ADA antibody [EPR25429-117] (ab300050) at 1/1000 dilution

Lane 1:

Human thymus tissue lysate at 20 µg

Lane 2:

Human tonsil tissue lysate at 20 µg

Secondary

All lanes:

Goat Anti-Rabbit IgG (HRP) with minimal cross-reactivity with human IgG at 1/2000 dilution

Predicted band size: 40 kDa

Observed band size: 41 kDa

false

Western blot - Anti-ADA antibody [EPR25429-117] (AB300050)
  • WB

Lab

Western blot - Anti-ADA antibody [EPR25429-117] (AB300050)

Western blot : Anti-Ada antibody [EPR25429-117] (ab300050) staining at 1/1000 dilution, shown in green; Mouse anti-CANX [CANX/1543] (ab238078) loading control staining at 1/20000 dilution, shown in magenta. In Western blot, ab300050 was shown to bind specifically to Ada. A band was observed at 41 kDa in wild-type A549 cell lysates with no signal observed at this size in Ada knockout cell line. To generate this image, wild-type and Ada knockout A549 cell lysates were analysed. First, samples were run on an SDS-PAGE gel then transferred onto a nitrocellulose membrane. Membranes were blocked in 5 % milk in TBS-0.1 % Tween® 20 (TBS-T) before incubation with primary antibodies overnight at 4 °C. Blots were washed four times in TBS-T, incubated with secondary antibodies for 1 h at room temperature, washed again four times then imaged. Secondary antibodies used were Goat anti-Rabbit IgG H&L 800CW and Goat anti-Mouse IgG H&L 680RD at 1/20000 dilution.

All lanes:

Western blot - Anti-ADA antibody [EPR25429-117] (ab300050) at 1/1000 dilution

Lane 1:

Wild-type A549 cell lysate at 20 µg

Lane 2:

Ada knockout A549 cell lysate at 20 µg

Lane 3:

Jurkat cell lysate at 20 µg

Lane 4:

A549 Nuclear cell lysate at 20 µg

Secondary

All lanes:

Goat anti-Rabbit IgG H&L 800CW and Goat anti-Mouse IgG H&L 680RD at 1/20000 dilution

Observed band size: 41 kDa

false

Western blot - Anti-ADA antibody [EPR25429-117] (AB300050)
  • WB

Supplier Data

Western blot - Anti-ADA antibody [EPR25429-117] (AB300050)

Blocking and dilution buffer and concentration : 5% NFDM/TBST.

Exposure time :

Lane1-2 : 1 second;

Lane3-4 : 3.25 seconds.

Low expression : human liver(PMID : 2606352)

All lanes:

Western blot - Anti-ADA antibody [EPR25429-117] (ab300050) at 1/1000 dilution

Lane 1:

Jurkat (human T cell leukemia T lymphocyte) whole cell lysate at 20 µg

Lane 2:

MOLT-4 (human lymphoblastic leukemia T lymphoblast) whole cell lysate at 20 µg

Lane 3:

Human stomach tissue lysate at 20 µg

Lane 4:

Human liver tissue lysate at 20 µg

Secondary

All lanes:

Goat Anti-Rabbit IgG (HRP) with minimal cross-reactivity with human IgG at 1/2000 dilution

Predicted band size: 40 kDa

Observed band size: 41 kDa,36 kDa

false

  • Carrier free

    Anti-ADA antibody [EPR25429-117] (BSA and Azide free)

Key facts

Host species

Rabbit

Clonality

Monoclonal

Clone number

EPR25429-117

Isotype

IgG

Carrier free

No

Reacts with

Human

Applications

IP, IHC-P, ICC/IF, WB

applications

Immunogen

The exact immunogen used to generate this antibody is proprietary information.

Reactivity data

{ "title": "Reactivity Data", "filters": { "stats": ["", "Species", "Dilution Info", "Notes"], "tabs": { "all-applications": {"fullname" : "All Applications", "shortname": "All Applications"}, "WB" : {"fullname" : "Western blot", "shortname":"WB"}, "IHCP" : {"fullname" : "Immunohistochemistry (Formalin/PFA-fixed paraffin-embedded sections)", "shortname":"IHC-P"}, "ICCIF" : {"fullname" : "Immunocytochemistry/ Immunofluorescence", "shortname":"ICC/IF"}, "IP" : {"fullname" : "Immunoprecipitation", "shortname":"IP"}, "FlowCytIntra" : {"fullname" : "Flow Cytometry (Intracellular)", "shortname":"Flow Cyt (Intra)"} }, "product-promise": { "all": "all", "testedAndGuaranteed": "tested", "guaranteed": "expected", "predicted": "predicted", "notRecommended": "not-recommended" } }, "values": { "Human": { "WB-species-checked": "testedAndGuaranteed", "WB-species-dilution-info": "1/1000", "WB-species-notes": "<p></p>", "IHCP-species-checked": "testedAndGuaranteed", "IHCP-species-dilution-info": "1/2000", "IHCP-species-notes": "<p></p> Perform heat-mediated antigen retrieval with Tris/EDTA buffer pH 9.0 before commencing with IHC staining protocol.", "ICCIF-species-checked": "testedAndGuaranteed", "ICCIF-species-dilution-info": "1/50", "ICCIF-species-notes": "<p></p>", "IP-species-checked": "testedAndGuaranteed", "IP-species-dilution-info": "1/30", "IP-species-notes": "<p></p>", "FlowCytIntra-species-checked": "notRecommended", "FlowCytIntra-species-dilution-info": "", "FlowCytIntra-species-notes": "" }, "Mouse": { "WB-species-checked": "notRecommended", "WB-species-dilution-info": "1/1000", "WB-species-notes": "<p></p>", "IHCP-species-checked": "notRecommended", "IHCP-species-dilution-info": "1/2000", "IHCP-species-notes": "<p></p> Perform heat-mediated antigen retrieval with Tris/EDTA buffer pH 9.0 before commencing with IHC staining protocol.", "ICCIF-species-checked": "notRecommended", "ICCIF-species-dilution-info": "1/50", "ICCIF-species-notes": "<p></p>", "IP-species-checked": "notRecommended", "IP-species-dilution-info": "1/30", "IP-species-notes": "<p></p>", "FlowCytIntra-species-checked": "notRecommended", "FlowCytIntra-species-dilution-info": "", "FlowCytIntra-species-notes": "<p></p>" }, "Rat": { "WB-species-checked": "notRecommended", "WB-species-dilution-info": "1/1000", "WB-species-notes": "<p></p>", "IHCP-species-checked": "notRecommended", "IHCP-species-dilution-info": "1/2000", "IHCP-species-notes": "<p></p> Perform heat-mediated antigen retrieval with Tris/EDTA buffer pH 9.0 before commencing with IHC staining protocol.", "ICCIF-species-checked": "notRecommended", "ICCIF-species-dilution-info": "", "ICCIF-species-notes": "", "IP-species-checked": "notRecommended", "IP-species-dilution-info": "", "IP-species-notes": "", "FlowCytIntra-species-checked": "notRecommended", "FlowCytIntra-species-dilution-info": "", "FlowCytIntra-species-notes": "" } } }

Product details

Patented technology
Our RabMAb® technology is a patented hybridoma-based technology for making rabbit monoclonal antibodies. For details on our patents, please refer to RabMAb® patents.

What are the advantages of a recombinant monoclonal antibody?
This product is a recombinant monoclonal antibody, which offers several advantages including:

  • - High batch-to-batch consistency and reproducibility
  • - Improved sensitivity and specificity
  • - Long-term security of supply
  • - Animal-free batch production

For more information, read more on recombinant antibodies.

Properties and storage information

Form
Liquid
Purification technique
Affinity purification Protein A
Storage buffer
pH: 7.2 - 7.4 Preservative: 0.01% Sodium azide Constituents: PBS, 40% Glycerol (glycerin, glycerine), 0.05% BSA
Shipped at conditions
Blue Ice
Appropriate short-term storage duration
1-2 weeks
Appropriate short-term storage conditions
+4°C
Appropriate long-term storage conditions
-20°C
Aliquoting information
Upon delivery aliquot
Storage information
Avoid freeze / thaw cycle

Supplementary information

This supplementary information is collated from multiple sources and compiled automatically.

Adenosine deaminase (ADA) sometimes known as deaminase is an enzyme that plays a critical mechanical role in cellular metabolism. This enzyme catalyzes the deamination of adenosine converting it into inosine. ADA is a 41 kDa protein primarily expressed in most tissues including the thymus and spleen. Various ADA assays and ADA protocols exist to study its functionality and quantification often using ADA ELISA kits to measure ADA activity in biological samples. In cell lines such as HeLa ADA expression is also present and significant for studying its regulation and function.
Biological function summary

Adenosine deaminase activity influences purine metabolism playing an important role in the breakdown of adenosine. It is not part of a complex but interacts closely with other components of the purine salvage pathway to maintain nucleotide balance. This enzyme is important for the proper function of immune cells as it prevents toxic accumulations of adenosine which can be detrimental to lymphocyte proliferation and function. ADA's activity ensures the proper management of nucleotides within cells sustaining cellular health and functionality.

Pathways

Adenosine deaminase plays significant roles in the immune and purine catabolism pathways. Within these pathways ADA is closely related to proteins such as purine nucleoside phosphorylase (PNP) which together orchestrate the steps necessary for adenine and guanine nucleotide turnover. These proteins facilitate the conversion processes needed for cellular nucleic acid synthesis and energy regulation. By managing adenosine levels ADA's function ensures the smooth operation of cellular signaling and metabolic balance.

Adenosine deaminase deficiency is linked to severe combined immunodeficiency (SCID) and can also be associated with pulmonary disorders like asthma. A lack of ADA activity leads to the accumulation of toxic metabolites impairing immune function and contributing to the pathogenesis of SCID. In some patients with pulmonary disorders altered ADA activity impacts the inflammatory response. ADA's mechanistic interactions with other proteins such as PNP highlight its importance in maintaining immune competence and metabolic homeostasis emphasizing the enzyme's role in these clinical conditions.

Product protocols

For this product, it's our understanding that no specific protocols are required. You can visit:

Target data

Catalyzes the hydrolytic deamination of adenosine and 2-deoxyadenosine (PubMed : 16670267, PubMed : 23193172, PubMed : 26166670, PubMed : 8452534, PubMed : 9361033). Plays an important role in purine metabolism and in adenosine homeostasis. Modulates signaling by extracellular adenosine, and so contributes indirectly to cellular signaling events. Acts as a positive regulator of T-cell coactivation, by binding DPP4 (PubMed : 20959412). Its interaction with DPP4 regulates lymphocyte-epithelial cell adhesion (PubMed : 11772392). Enhances dendritic cell immunogenicity by affecting dendritic cell costimulatory molecule expression and cytokines and chemokines secretion (By similarity). Enhances CD4+ T-cell differentiation and proliferation (PubMed : 20959412). Acts as a positive modulator of adenosine receptors ADORA1 and ADORA2A, by enhancing their ligand affinity via conformational change (PubMed : 23193172). Stimulates plasminogen activation (PubMed : 15016824). Plays a role in male fertility (PubMed : 21919946, PubMed : 26166670). Plays a protective role in early postimplantation embryonic development (By similarity). Also responsible for the deamination of cordycepin (3'-deoxyadenosine), a fungal natural product that shows antitumor, antibacterial, antifungal, antivirus, and immune regulation properties (PubMed : 26038697).
See full target information ADA

Product promise

We are committed to supporting your work with high-quality reagents, and we're here for you every step of the way. In the unlikely event that one of our products does not perform as expected, you're protected by our Product Promise.
For full details, please see our Terms & Conditions

Please note: All products are 'FOR RESEARCH USE ONLY. NOT FOR USE IN DIAGNOSTIC OR THERAPEUTIC PROCEDURES'.

For licensing inquiries, please contact partnerships@abcam.com