JavaScript is disabled in your browser. Please enable JavaScript to view this website.
AB288296

Anti-ADA2 antibody [EPR25430-131]

  • BOND RX™ Validated
  • 20ul selling size
  • RabMAb
  • Recombinant
  • What is this?

Be the first to review this product! Submit a review

|

(2 Publications)

Rabbit Recombinant Monoclonal CECR1 antibody. Suitable for Flow Cyt (Intra), WB, IHC-P and reacts with Human samples. Cited in 2 publications.

View Alternative Names

ADGF, CECR1, IDGFL, ADA2, Adenosine deaminase 2, Cat eye syndrome critical region protein 1

6 Images
Immunohistochemistry (Formalin/PFA-fixed paraffin-embedded sections) - Anti-ADA2 antibody [EPR25430-131] (AB288296)
  • IHC-P

Supplier Data

Immunohistochemistry (Formalin/PFA-fixed paraffin-embedded sections) - Anti-ADA2 antibody [EPR25430-131] (AB288296)

Immunohistochemical analysis of paraffin-embedded Human skeletal muscle tissue labelling ADA2 with ab288296 (0.259 μg/ml) at 1/2000 dilution followed by a ready to use LeicaDS9800 (Bond®, Polymer Refine Detection). Negative control : No staining on human skeletal muscle. The section was incubated with ab288296 for 30 mins at room temperature. The immunostaining was performed on a Leica Biosystems BOND® RX instrument. Counterstained with Hematoxylin.

Secondary antibody only control : Secondary antibody is a ready to use LeicaDS9800 (Bond®, Polymer Refine Detection) was used.

Antigen Retrieval : Heat mediated antigen retrieval with Tris-EDTA buffer (pH 9.0, epitope retrieval solution2) for 20 mins

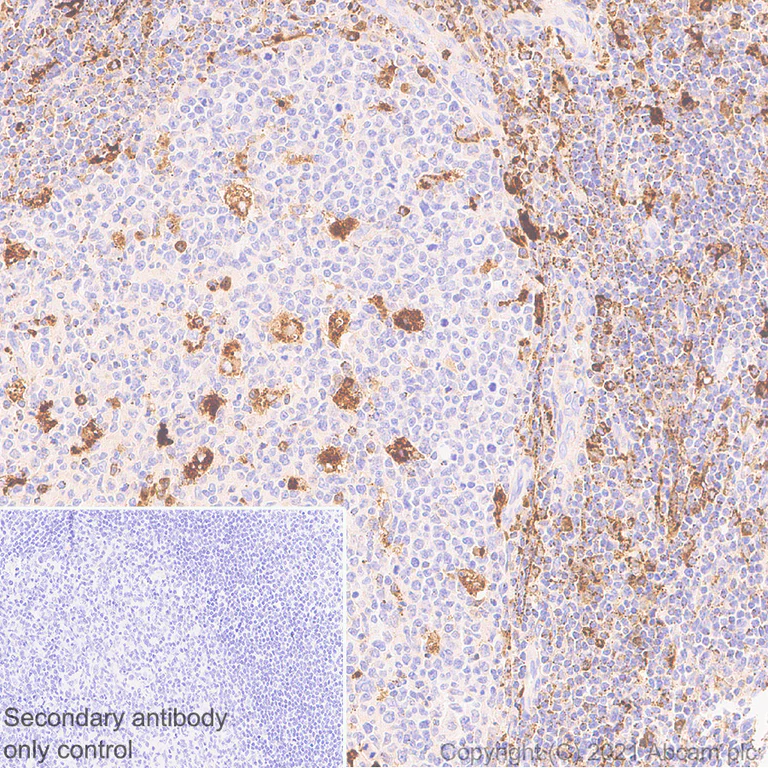
Immunohistochemistry (Formalin/PFA-fixed paraffin-embedded sections) - Anti-ADA2 antibody [EPR25430-131] (AB288296)
  • IHC-P

Supplier Data

Immunohistochemistry (Formalin/PFA-fixed paraffin-embedded sections) - Anti-ADA2 antibody [EPR25430-131] (AB288296)

Immunohistochemical analysis of paraffin-embedded Human tonsil tissue labelling ADA2 with ab288296 at 1/2000 dilution followed by a ready to use LeicaDS9800 (Bond®, Polymer Refine Detection). Cytoplasmic staining on human tonsil. The section was incubated with ab288296 for 30 mins at room temperature. The immunostaining was performed on a Leica Biosystems BOND® RX instrument. Counterstained with Hematoxylin.

Secondary antibody only control : Secondary antibody is a ready to use LeicaDS9800 (Bond®, Polymer Refine Detection).

Antigen Retrieval : Heat mediated antigen retrieval with Tris-EDTA buffer (pH 9.0, epitope retrieval solution2) for 20 mins

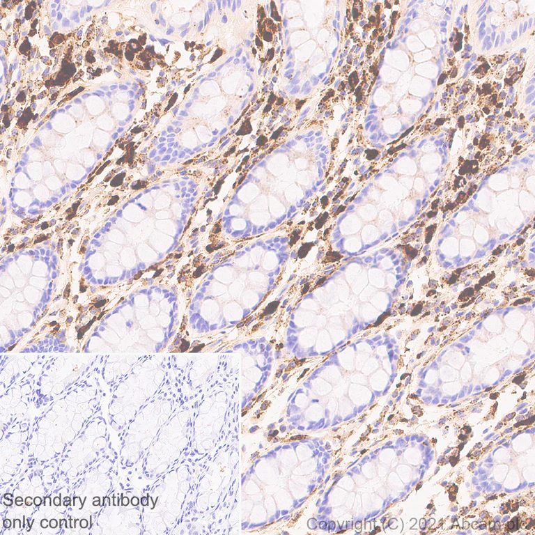
Immunohistochemistry (Formalin/PFA-fixed paraffin-embedded sections) - Anti-ADA2 antibody [EPR25430-131] (AB288296)
  • IHC-P

Supplier Data

Immunohistochemistry (Formalin/PFA-fixed paraffin-embedded sections) - Anti-ADA2 antibody [EPR25430-131] (AB288296)

Immunohistochemical analysis of paraffin-embedded Human colon tissue labelling ADA2 with ab288296 (0.259 μg/ml) at 1/2000 dilution followed by a ready to use LeicaDS9800 (Bond®, Polymer Refine Detection). Cytoplasmic staining on human colon. The section was incubated with ab288296 for 30 mins at room temperature. The immunostaining was performed on a Leica Biosystems BOND® RX instrument. Counterstained with Hematoxylin.

Secondary antibody only control : Secondary antibody is a ready to use LeicaDS9800 (Bond®, Polymer Refine Detection).

Antigen Retrieval : Heat mediated antigen retrieval with Tris-EDTA buffer (pH 9.0, epitope retrieval solution2) for 20 mins

Flow Cytometry (Intracellular) - Anti-ADA2 antibody [EPR25430-131] (AB288296)
  • Flow Cyt (Intra)

Supplier Data

Flow Cytometry (Intracellular) - Anti-ADA2 antibody [EPR25430-131] (AB288296)

Flow cytometric analysis of 4% paraformaldehyde fixed 90% methanol permeabilized HUVEC (human umbilical vein endothelial cell, Left) / MOLT-4 (human lymphoblastic leukemia T lymphoblast, Right) cells labelling ADA2 with ab288296 at 1/50 dilution (1μg)(Red) compared with a Rabbit monoclonal IgG (ab172730) (Black) isotype control and an unlabeled control (cells without incubation with primary antibody and secondary antibody) (Blue). A Goat Anti-Rabbit IgG (Alexa Fluor® 488, ab150081) at 1/2000 dilution was used as the secondary antibody.

Low expression : HUVEC (PMID : 24552284, 32743071).

Western blot - Anti-ADA2 antibody [EPR25430-131] (AB288296)
  • WB

Supplier Data

Western blot - Anti-ADA2 antibody [EPR25430-131] (AB288296)

Blocking and diluting buffer and concentration : 5% NFDM/TBST

Exposure time : Lane 1-2 : 70 seconds; Lane 3 : 7.75 seconds

All lanes:

Western blot - Anti-ADA2 antibody [EPR25430-131] (ab288296) at 1/1000 dilution

Lane 1:

Human plasma at 20 µL

Lane 2:

Human heart tissue lysate at 20 µg

Lane 3:

Human lung tissue lysate at 20 µg

Secondary

All lanes:

Goat Anti-Rabbit IgG (HRP) with minimal cross-reactivity with human IgG at 1/2000 dilution

Predicted band size: 58 kDa

Observed band size: 58 kDa

false

Western blot - Anti-ADA2 antibody [EPR25430-131] (AB288296)
  • WB

Supplier Data

Western blot - Anti-ADA2 antibody [EPR25430-131] (AB288296)

Blocking and diluting buffer and concentration : 5% NFDM/TBST

Low expression : HUVEC(PMID : 24552284, 32743071)

Exposure time : 5.5 seconds

All lanes:

Western blot - Anti-ADA2 antibody [EPR25430-131] (ab288296) at 1/1000 dilution

Lane 1:

MOLT-4 (human lymphoblastic leukemia T lymphoblast) whole cell lysate at 20 µg

Lane 2:

THP-1 (human monocytic leukemia monocyte) whole cell lysate at 20 µg

Lane 3:

U937 (human histiocytic lymphoma monocyte) whole cell lysate at 20 µg

Lane 4:

HUVEC (human umbilical vein endothelial cell) whole cell lysate at 20 µg

Secondary

All lanes:

Goat Anti-Rabbit IgG (HRP) with minimal cross-reactivity with human IgG at 1/2000 dilution

Predicted band size: 58 kDa

Observed band size: 58 kDa

false

  • Carrier free

    Anti-ADA2 antibody [EPR25430-131] - BSA and Azide free

Key facts

Host species

Rabbit

Clonality

Monoclonal

Clone number

EPR25430-131

Isotype

IgG

Carrier free

No

Reacts with

Human

Applications

WB, IHC-P, Flow Cyt (Intra)

applications

Immunogen

The exact immunogen used to generate this antibody is proprietary information.

Reactivity data

{ "title": "Reactivity Data", "filters": { "stats": ["", "Species", "Dilution Info", "Notes"], "tabs": { "all-applications": {"fullname" : "All Applications", "shortname": "All Applications"}, "FlowCytIntra" : {"fullname" : "Flow Cytometry (Intracellular)", "shortname":"Flow Cyt (Intra)"}, "WB" : {"fullname" : "Western blot", "shortname":"WB"}, "IHCP" : {"fullname" : "Immunohistochemistry (Formalin/PFA-fixed paraffin-embedded sections)", "shortname":"IHC-P"}, "ICCIF" : {"fullname" : "Immunocytochemistry/ Immunofluorescence", "shortname":"ICC/IF"}, "IP" : {"fullname" : "Immunoprecipitation", "shortname":"IP"} }, "product-promise": { "all": "all", "testedAndGuaranteed": "tested", "guaranteed": "expected", "predicted": "predicted", "notRecommended": "not-recommended" } }, "values": { "Human": { "FlowCytIntra-species-checked": "testedAndGuaranteed", "FlowCytIntra-species-dilution-info": "1/50", "FlowCytIntra-species-notes": "<p></p>", "WB-species-checked": "testedAndGuaranteed", "WB-species-dilution-info": "1/1000", "WB-species-notes": "<p></p>", "IHCP-species-checked": "testedAndGuaranteed", "IHCP-species-dilution-info": "1/2000", "IHCP-species-notes": "<p></p>", "ICCIF-species-checked": "notRecommended", "ICCIF-species-dilution-info": "", "ICCIF-species-notes": "<p></p>", "IP-species-checked": "notRecommended", "IP-species-dilution-info": "", "IP-species-notes": "<p></p>" } } }

Product details

Patented technology
Our RabMAb® technology is a patented hybridoma-based technology for making rabbit monoclonal antibodies. For details on our patents, please refer to RabMAb® patents.

What are the advantages of a recombinant monoclonal antibody?
This product is a recombinant monoclonal antibody, which offers several advantages including:

  • - High batch-to-batch consistency and reproducibility
  • - Improved sensitivity and specificity
  • - Long-term security of supply
  • - Animal-free batch production

For more information, read more on recombinant antibodies.

Properties and storage information

Form
Liquid
Purification technique
Affinity purification Protein A
Storage buffer
pH: 7.4 Preservative: 0.01% Sodium azide Constituents: PBS, 40% Glycerol (glycerin, glycerine), 0.05% BSA
Shipped at conditions
Blue Ice
Appropriate short-term storage duration
1-2 weeks
Appropriate short-term storage conditions
+4°C
Appropriate long-term storage conditions
-20°C
Aliquoting information
Upon delivery aliquot
Storage information
Avoid freeze / thaw cycle

Supplementary information

This supplementary information is collated from multiple sources and compiled automatically.

Adenosine deaminase 2 (ADA2) also known as ADA002 ADA-DUA or ADA2 is a protein involved in immune regulation and inflammation. ADA2 has a molecular mass of approximately 59 kDa. This enzyme expresses mainly in monocytes macrophages and dendritic cells. Its function involves the conversion of adenosine to inosine a critical step in purine metabolism that impacts cell signaling and immune responses.
Biological function summary

ADA2 plays an important role in modulating immune system activity and inflammation. Unlike its counterpart ADA1 ADA2 does not function as a monomer but as part of a larger protein complex. It participates in the maturation and differentiation of monocytes into macrophages and dendritic cells influencing both innate and adaptive immune responses. ADA2's functions suggest it has an effect on the vascular and immune system health.

Pathways

ADA2 holds a significant place in the adenosine signaling pathway where it regulates the balance between adenosine and inosine levels. This balance affects the extracellular signaling pathways that influence immune cell activity. ADA2 also interacts with other proteins in the inflammatory pathways notably influencing cytokine activity. Through these pathways it shows regulatory connections with proteins like CD39 and CD73 which also engage in purinergic signaling.

ADA2 plays an essential role in pathologies involving inflammation and immune dysregulation. Deficiency in ADA2 links to rare genetic disorders such as deficiency of ADA2 (DADA2) which presents with systemic inflammation vasculopathy and hematological abnormalities. In addition ADA2 shows involvement in conditions like rheumatoid arthritis where inflammation is a central feature. Its interaction with TNF-alpha and other pro-inflammatory cytokines positions ADA2 as a potential therapeutic target in inflammation-related diseases.

Product protocols

For this product, it's our understanding that no specific protocols are required. You can visit:

Target data

Adenosine deaminase that may contribute to the degradation of extracellular adenosine, a signaling molecule that controls a variety of cellular responses. Requires elevated adenosine levels for optimal enzyme activity. Binds to cell surfaces via proteoglycans and may play a role in the regulation of cell proliferation and differentiation, independently of its enzyme activity.
See full target information ADA2

Publications (2)

Recent publications for all applications. Explore the full list and refine your search

The Journal of experimental medicine 222: PubMed40864493

2025

Dominant negative ADA2 mutations cause ADA2 deficiency in heterozygous carriers.

Applications

Unspecified application

Species

Unspecified reactive species

Marjon Wouters,Lisa Ehlers,Wout Van Eynde,Meltem Ece Kars,Selket Delafontaine,Verena Kienapfel,Mariia Dzhus,Rik Schrijvers,Petra De Haes,Sofie Struyf,Giorgia Bucciol,Yuval Itan,Alexandre Bolze,Arnout Voet,Anneleen Hombrouck,Leen Moens,Benson Ogunjimi,Isabelle Meyts

International journal of molecular sciences 26: PubMed40332245

2025

Novel Link Between Myeloid-Specific Adenosine Deaminase 2 and CXCL10-CXCR3 Axis in Infectious ARDS.

Applications

Unspecified application

Species

Unspecified reactive species

Shilpa Tiwari-Heckler,Yered Pita-Juarez,Lisa Vierbaum,Patrick Michl,Ioannis S Vlachos,Uta Merle,Z Gordon Jiang
View all publications

Product promise

We are committed to supporting your work with high-quality reagents, and we're here for you every step of the way. In the unlikely event that one of our products does not perform as expected, you're protected by our Product Promise.
For full details, please see our Terms & Conditions

Please note: All products are 'FOR RESEARCH USE ONLY. NOT FOR USE IN DIAGNOSTIC OR THERAPEUTIC PROCEDURES'.

For licensing inquiries, please contact partnerships@abcam.com