JavaScript is disabled in your browser. Please enable JavaScript to view this website.
AB57484

Anti-ADAM17 antibody [1F6]

3

(6 Reviews)

|

(22 Publications)

Mouse Monoclonal ADAM17 antibody. Suitable for Flow Cyt, IHC-P, ICC/IF and reacts with Human, Mouse samples. Cited in 22 publications. Immunogen corresponding to Recombinant Fragment Protein within Human ADAM17 aa 200-350.

View Alternative Names

CD156b, CSVP, TACE, ADAM17, Disintegrin and metalloproteinase domain-containing protein 17, ADAM 17, Snake venom-like protease, TNF-alpha convertase, TNF-alpha-converting enzyme

2 Images
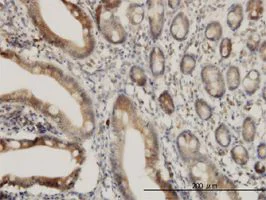
Immunohistochemistry (Formalin/PFA-fixed paraffin-embedded sections) - Anti-ADAM17 antibody [1F6] (AB57484)
  • IHC-P

Unknown

Immunohistochemistry (Formalin/PFA-fixed paraffin-embedded sections) - Anti-ADAM17 antibody [1F6] (AB57484)

ADAM17 antibody (ab57484) used in immunohistochemistry at 3ug/ml on formalin fixed and paraffin embedded human small Intestine.

This image was generated using the ascites version of the product.

Flow Cytometry - Anti-ADAM17 antibody [1F6] (AB57484)
  • Flow Cyt

Unknown

Flow Cytometry - Anti-ADAM17 antibody [1F6] (AB57484)

Overlay histogram showing HeLa cells stained with ab57484 (red line). The cells were fixed with methanol (5 min) and incubated in 1x PBS / 10% normal goat serum / 0.3M glycine to block non-specific protein-protein interactions. The cells were then incubated with the antibody (ab57484, 1μg/1x106 cells) for 30 min at 22°C. The secondary antibody used was DyLight® 488 goat anti-mouse IgG (H+L) (ab96879) at 1/500 dilution for 30 min at 22°C. Isotype control antibody (black line) was mouse IgG2b [PLPV219] (ab91366, 2μg/1x106 cells) used under the same conditions. Acquisition of >5,000 events was performed. This antibody gave a decreased signal in HeLa cells fixed with 4% paraformaldehyde (10 min) used under the same conditions.

Please note that Abcam do not have data for use of this antibody on non-fixed cells. We welcome any customer feedback.

This image was generated using the ascites version of the product.

Key facts

Host species

Mouse

Clonality

Monoclonal

Clone number

1F6

Isotype

IgG2b

Light chain type

kappa

Carrier free

No

Reacts with

Human, Mouse

Applications

Flow Cyt, ICC/IF, IHC-P

applications

Immunogen

Recombinant Fragment Protein within Human ADAM17 aa 200-350. The exact immunogen used to generate this antibody is proprietary information.

P78536

Reactivity data

{ "title": "Reactivity Data", "filters": { "stats": ["", "Species", "Dilution Info", "Notes"], "tabs": { "all-applications": {"fullname" : "All Applications", "shortname": "All Applications"}, "FlowCyt" : {"fullname" : "Flow Cytometry", "shortname":"Flow Cyt"}, "IHCP" : {"fullname" : "Immunohistochemistry (Formalin/PFA-fixed paraffin-embedded sections)", "shortname":"IHC-P"}, "ICCIF" : {"fullname" : "Immunocytochemistry/ Immunofluorescence", "shortname":"ICC/IF"} }, "product-promise": { "all": "all", "testedAndGuaranteed": "tested", "guaranteed": "expected", "predicted": "predicted", "notRecommended": "not-recommended" } }, "values": { "Human": { "FlowCyt-species-checked": "testedAndGuaranteed", "FlowCyt-species-dilution-info": "", "FlowCyt-species-notes": "<p>(methanol fixed cells)</p><p><a href='/en-us/products/primary-antibodies/mouse-igg2b-kappa-monoclonal-7e10g10-isotype-control-ab170192'>ab170192</a> - Mouse monoclonal IgG2b, is suitable for use as an isotype control with this antibody.</p>", "IHCP-species-checked": "testedAndGuaranteed", "IHCP-species-dilution-info": "", "IHCP-species-notes": "<p></p>", "ICCIF-species-checked": "guaranteed", "ICCIF-species-dilution-info": "", "ICCIF-species-notes": "<p></p>" }, "Mouse": { "FlowCyt-species-checked": "predicted", "FlowCyt-species-dilution-info": "", "FlowCyt-species-notes": "", "IHCP-species-checked": "predicted", "IHCP-species-dilution-info": "", "IHCP-species-notes": "", "ICCIF-species-checked": "guaranteed", "ICCIF-species-dilution-info": "", "ICCIF-species-notes": "<p></p>" } } }

Product details

This product was changed from ascites to tissue culture supernatant on 25/02/19. Please note that the dilutions may need to be adjusted accordingly. If you have any questions, please do not hesitate to contact our scientific support team.

Properties and storage information

Form
Liquid
Purity
Tissue culture supernatant
Storage buffer
pH: 7.4 Constituents: 91% Water, 8% Sodium chloride, 0.6% Disodium hydrogenorthophosphate, 0.2% Potassium chloride, 0.2% Potassium phosphate monobasic
Shipped at conditions
Blue Ice
Appropriate short-term storage conditions
+4°C
Appropriate long-term storage conditions
-20°C
Aliquoting information
Upon delivery aliquot
Storage information
Avoid freeze / thaw cycle

Supplementary information

This supplementary information is collated from multiple sources and compiled automatically.

ADAM17 also known as TACE (tumor necrosis factor-alpha converting enzyme) is a metalloprotease belonging to the ADAM (a disintegrin and metalloprotease) family. This protein functions by cleaving and shedding extracellular portions of cell surface proteins. It weighs approximately 93 kDa. ADAM17 is expressed in a range of tissues including the heart liver kidney and brain. The protein plays a role in the regulation of various biological processes through the activation and inactivation of membrane-bound precursor proteins.
Biological function summary

The ADAM17 protein regulates a multitude of cellular responses such as inflammation and growth factor signaling. It is not part of a complex but interacts with various substrates in the cell membrane. ADAM17 cleaves precursors to release soluble cytokines and growth factors like tumor necrosis factor-alpha (TNF-alpha) and epidermal growth factor receptor (EGFR) ligands which modulate cell proliferation migration and apoptosis.

Pathways

ADAM17 plays an integral role in both the TNF and EGFR signaling pathways. These pathways are important in maintaining normal cellular homeostasis. ADAM17 interacts with proteins like TNF receptors and ligands of the EGFR family integrating signaling that affects immune response and cell growth. The regulatory function of ADAM17 in these pathways makes it an important target for modulating cellular responses triggered by external stimuli.

ADAM17 has significant implications in conditions such as rheumatoid arthritis and cancer. In rheumatoid arthritis the protein's shedding activity influences inflammatory cytokines contributing to the disease’s pathogenesis alongside proteins like TNF-alpha. In cancer ADAM17's ability to release EGFR ligands affects tumor cell proliferation and metastasis with interactions involving EGFR proteins. It is a target of therapeutic interest with research focused on developing inhibitors to manage these diseases effectively.

Product protocols

For this product, it's our understanding that no specific protocols are required. You can visit:

Target data

Transmembrane metalloprotease which mediates the ectodomain shedding of a myriad of transmembrane proteins including adhesion proteins, growth factor precursors and cytokines important for inflammation and immunity (PubMed : 24226769, PubMed : 24227843, PubMed : 28060820, PubMed : 28923481). Cleaves the membrane-bound precursor of TNF-alpha to its mature soluble form (PubMed : 36078095, PubMed : 9034191). Responsible for the proteolytical release of soluble JAM3 from endothelial cells surface (PubMed : 20592283). Responsible for the proteolytic release of several other cell-surface proteins, including p75 TNF-receptor, interleukin 1 receptor type II, p55 TNF-receptor, transforming growth factor-alpha, L-selectin, growth hormone receptor, MUC1 and the amyloid precursor protein (PubMed : 12441351). Acts as an activator of Notch pathway by mediating cleavage of Notch, generating the membrane-associated intermediate fragment called Notch extracellular truncation (NEXT) (PubMed : 24226769). Plays a role in the proteolytic processing of ACE2 (PubMed : 24227843). Plays a role in hemostasis through shedding of GP1BA, the platelet glycoprotein Ib alpha chain (By similarity). Mediates the proteolytic cleavage of LAG3, leading to release the secreted form of LAG3 (By similarity). Mediates the proteolytic cleavage of IL6R, leading to the release of secreted form of IL6R (PubMed : 26876177, PubMed : 28060820). Mediates the proteolytic cleavage and shedding of FCGR3A upon NK cell stimulation, a mechanism that allows for increased NK cell motility and detachment from opsonized target cells. Cleaves TREM2, resulting in shedding of the TREM2 ectodomain (PubMed : 28923481).
See full target information ADAM17

Publications (22)

Recent publications for all applications. Explore the full list and refine your search

Biochemistry and biophysics reports 39:101811 PubMed39253056

2024

Targeting iRhom2/ADAM17 attenuates COVID-19-induced cytokine release from cultured lung epithelial cells.

Applications

Unspecified application

Species

Unspecified reactive species

Vitoria Mattos Pereira,Amit Thakar,Sreejayan Nair

Oncology letters 26:297 PubMed37274476

2023

Soluble NKG2D ligands impair CD8 T cell antitumor function dependent of NKG2D downregulation in neuroblastoma.

Applications

Unspecified application

Species

Unspecified reactive species

Yi Zhang,Feifei Luo,Kuiran Dong

International journal of molecular sciences 23: PubMed35216240

2022

NGF/TRKA Promotes ADAM17-Dependent Cleavage of P75 in Ovarian Cells: Elucidating a Pro-Tumoral Mechanism.

Applications

Unspecified application

Species

Unspecified reactive species

Maritza P Garrido,Christopher Vallejos,Silvanna Girardi,Fernando Gabler,Alberto Selman,Fernanda López,Margarita Vega,Carmen Romero

Frontiers in cell and developmental biology 9:781172 PubMed34957110

2021

The Glypican-1/HGF/C-Met and Glypican-1/VEGF/VEGFR2 Ternary Complexes Regulate Hair Follicle Angiogenesis.

Applications

Unspecified application

Species

Unspecified reactive species

Charlie Colin-Pierre,Nicolas Berthélémy,Nicolas Belloy,Louis Danoux,Vincent Bardey,Romain Rivet,Solène Mine,Christine Jeanmaire,François-Xavier Maquart,Laurent Ramont,Stéphane Brézillon

American journal of physiology. Lung cellular and molecular physiology 321:L787-L801 PubMed34405715

2021

TLR4 is required for macrophage efferocytosis during resolution of ventilator-induced lung injury.

Applications

Unspecified application

Species

Unspecified reactive species

Kai Su,Lulong Bo,Chunling Jiang,Xiaoming Deng,You-Yang Zhao,Richard D Minshall,Guochang Hu

Cell reports 36:109363 PubMed34260934

2021

Extracellular domain shedding of the ALK receptor mediates neuroblastoma cell migration.

Applications

Unspecified application

Species

Unspecified reactive species

Hao Huang,Alexander Gont,Lynn Kee,Ruben Dries,Kathrin Pfeifer,Bandana Sharma,David N Debruyne,Matthew Harlow,Satyaki Sengupta,Jikui Guan,Caleb M Yeung,Wenchao Wang,Bengt Hallberg,Ruth H Palmer,Meredith S Irwin,Rani E George

Bioengineered 12:3065-3076 PubMed34224305

2021

Rosmarinic acid inhibits proliferation and migration, promotes apoptosis and enhances cisplatin sensitivity of melanoma cells through inhibiting ADAM17/EGFR/AKT/GSK3β axis.

Applications

Unspecified application

Species

Unspecified reactive species

Lin Huang,Jiangyan Chen,Jin Quan,Debing Xiang

Journal of immunology (Baltimore, Md. : 1950) 205:2806-2820 PubMed33055281

2020

An Allosteric Shift in CD11c Affinity Activates a Proatherogenic State in Arrested Intermediate Monocytes.

Applications

Unspecified application

Species

Unspecified reactive species

Alfredo A Hernandez,Greg A Foster,Stephanie R Soderberg,Andrea Fernandez,Mack B Reynolds,Mable K Orser,Keith A Bailey,Jason H Rogers,Gagan D Singh,Huaizhu Wu,Anthony G Passerini,Scott I Simon

Science advances 6: PubMed32998896

2020

Inhibition of two-pore channels in antigen-presenting cells promotes the expansion of TNFR2-expressing CD4Foxp3 regulatory T cells.

Applications

Unspecified application

Species

Unspecified reactive species

Tianzhen He,De Yang,Xiao-Qing Li,Mengmeng Jiang,Md Sahidul Islam,Shaokui Chen,Yibo Chen,Yang Yang,Chon-Kit Chou,Anna L Trivett,Joost J Oppenheim,Xin Chen

The Journal of pathology 252:274-289 PubMed32715474

2020

ADAM10 mediates ectopic proximal tubule development and renal fibrosis through Notch signalling.

Applications

Unspecified application

Species

Unspecified reactive species

Bingjue Li,Chaohong Zhu,Lihua Dong,Jing Qin,Wenyu Xiang,Alan J Davidson,Shi Feng,Yucheng Wang,Xiujin Shen,Chunhua Weng,Cuili Wang,Tingting Zhu,Lisha Teng,Junwen Wang,Christoph Englert,Jianghua Chen,Hong Jiang
View all publications

Product promise

We are committed to supporting your work with high-quality reagents, and we're here for you every step of the way. In the unlikely event that one of our products does not perform as expected, you're protected by our Product Promise.
For full details, please see our Terms & Conditions

Please note: All products are 'FOR RESEARCH USE ONLY. NOT FOR USE IN DIAGNOSTIC OR THERAPEUTIC PROCEDURES'.

For licensing inquiries, please contact partnerships@abcam.com