JavaScript is disabled in your browser. Please enable JavaScript to view this website.
AB193668

Anti-ADAM2 antibody [EP15281]

Be the first to review this product! Submit a review

|

(1 Publication)

Rabbit Monoclonal ADAM2 antibody. Suitable for WB, IHC-P and reacts with Human samples. Cited in 1 publication.

View Alternative Names

FTNB, ADAM2, Disintegrin and metalloproteinase domain-containing protein 2, ADAM 2, Cancer/testis antigen 15, Fertilin subunit beta, PH-30, PH30-beta, CT15, PH30

2 Images
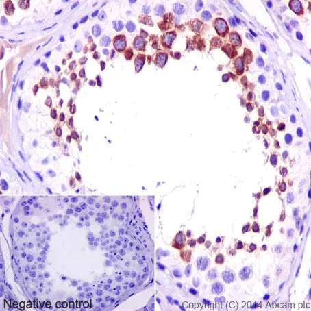
Immunohistochemistry (Formalin/PFA-fixed paraffin-embedded sections) - Anti-ADAM2 antibody [EP15281] (AB193668)
  • IHC-P

Supplier Data

Immunohistochemistry (Formalin/PFA-fixed paraffin-embedded sections) - Anti-ADAM2 antibody [EP15281] (AB193668)

Immunohistochemical analysis of paraffin-embedded Human testis tissue labeling ADAM2 with ab193668 at 1/1000 dilution (1μg/ml), followed by prediluted HRP Polymer for Rabbit/Mouse IgG. Counter stained with Hematoxylin.

Perform heat mediated antigen retrieval with Tris/EDTA buffer pH 9.0 before commencing with IHC staining protocol.

Western blot - Anti-ADAM2 antibody [EP15281] (AB193668)
  • WB

Supplier Data

Western blot - Anti-ADAM2 antibody [EP15281] (AB193668)

Blocking/Dilution buffer : 5% NFDM/TBST.

All lanes:

Western blot - Anti-ADAM2 antibody [EP15281] (ab193668) at 1/1000 dilution

All lanes:

Human testis lysate at 20 µg

Secondary

All lanes:

Goat Anti-Rabbit IgG, (H+L), Peroxidase conjugated at 1/1000 dilution

Predicted band size: 82 kDa

Observed band size: 100 kDa

false

  • Carrier free

    Anti-ADAM2 antibody [EP15281] - BSA and Azide free

Key facts

Host species

Rabbit

Clonality

Monoclonal

Clone number

EP15281

Isotype

IgG

Carrier free

No

Reacts with

Human

Applications

IHC-P, WB

applications

Immunogen

The exact immunogen used to generate this antibody is proprietary information.

Reactivity data

{ "title": "Reactivity Data", "filters": { "stats": ["", "Species", "Dilution Info", "Notes"], "tabs": { "all-applications": {"fullname" : "All Applications", "shortname": "All Applications"}, "WB" : {"fullname" : "Western blot", "shortname":"WB"}, "IHCP" : {"fullname" : "Immunohistochemistry (Formalin/PFA-fixed paraffin-embedded sections)", "shortname":"IHC-P"} }, "product-promise": { "all": "all", "testedAndGuaranteed": "tested", "guaranteed": "expected", "predicted": "predicted", "notRecommended": "not-recommended" } }, "values": { "Human": { "WB-species-checked": "testedAndGuaranteed", "WB-species-dilution-info": "1/1000 - 1/2000", "WB-species-notes": "<p></p>", "IHCP-species-checked": "testedAndGuaranteed", "IHCP-species-dilution-info": "1/500 - 1/1000", "IHCP-species-notes": "<p></p> Perform heat-mediated antigen retrieval with Tris/EDTA buffer pH 9.0 before commencing with IHC staining protocol." } } }

Product details

Patented technology
Our RabMAb® technology is a patented hybridoma-based technology for making rabbit monoclonal antibodies. For details on our patents, please refer to RabMAb® patents.

Properties and storage information

Form
Liquid
Purification technique
Affinity purification Protein A
Storage buffer
pH: 7.2 - 7.4 Preservative: 0.01% Sodium azide Constituents: PBS, 40% Glycerol (glycerin, glycerine), 0.05% BSA
Shipped at conditions
Blue Ice
Appropriate short-term storage duration
1-2 weeks
Appropriate short-term storage conditions
+4°C
Appropriate long-term storage conditions
-20°C
Aliquoting information
Upon delivery aliquot
Storage information
Avoid freeze / thaw cycle

Supplementary information

This supplementary information is collated from multiple sources and compiled automatically.

ADAM2 also known as fertilin beta is a member of the ADAM (a disintegrin and metalloprotease) family. It is a protein with a mass of approximately 100 kDa. ADAM2 contains a disintegrin and metalloproteinase domain which are responsible for its adhesive and protease activities. Expression of ADAM2 occurs mainly in the testis especially in mature spermatozoa where it plays essential roles in reproduction processes.
Biological function summary

The ADAM2 protein functions in sperm-egg interactions facilitating sperm binding to the egg's surface during fertilization. It is part of a multi-protein complex that also includes ADAM1 which enhances the binding efficiency to the egg zona pellucida. ADAM2's disintegrin domain is thought to interact with integrins on the egg membrane while the metalloproteinase domain might process surrounding proteins to prepare for fertilization.

Pathways

ADAM2 actively participates in reproduction-related signaling pathways particularly the integrin-mediated cell adhesion pathway. It collaborates with other ADAM family proteins and integrins to ensure successful fertilization. Another important pathway is the gamete fusion pathway where ADAM2 assists in the fusion process alongside other proteins such as ADAM3 ensuring gamete membrane fusion and subsequent fertilization.

Abnormalities in ADAM2 expression or function can lead to male infertility making this protein a biomarker of reproductive health concerns. It has a known association with other ADAM proteins such as ADAM3 which also plays a role in sperm maturation and fertility. Researchers are interested in how alterations in ADAM2 and these related proteins contribute to infertility offering potential insights for therapeutic interventions.

Product protocols

For this product, it's our understanding that no specific protocols are required. You can visit:

Target data

Sperm surface membrane protein that may be involved in sperm-egg plasma membrane adhesion and fusion during fertilization. Could have a direct role in sperm-zona binding or migration of sperm from the uterus into the oviduct. Interactions with egg membrane could be mediated via binding between its disintegrin-like domain to one or more integrins receptors on the egg. This is a non catalytic metalloprotease-like protein.
See full target information ADAM2

Publications (1)

Recent publications for all applications. Explore the full list and refine your search

Experimental and therapeutic medicine 14:1487-1490 PubMed28810614

2017

Evolution of correlation between infection and autoimmune liver disease.

Applications

Unspecified application

Species

Unspecified reactive species

Xin-Guo Peng,Yu-Yuan Li,Hui-Ting Chen,Yan Zhou,Jian-Guo Ma,Hong-Min Yin
View all publications

Product promise

We are committed to supporting your work with high-quality reagents, and we're here for you every step of the way. In the unlikely event that one of our products does not perform as expected, you're protected by our Product Promise.
For full details, please see our Terms & Conditions

Please note: All products are 'FOR RESEARCH USE ONLY. NOT FOR USE IN DIAGNOSTIC OR THERAPEUTIC PROCEDURES'.

For licensing inquiries, please contact partnerships@abcam.com