JavaScript is disabled in your browser. Please enable JavaScript to view this website.
AB314442

Anti-ADAM22 antibody [EPR28037-56]

  • BOND RX™ Validated
  • 20ul selling size
  • RabMAb
  • Recombinant
  • What is this?

Be the first to review this product! Submit a review

|

(0 Publication)

Rabbit Recombinant Monoclonal ADAM22 antibody. Suitable for WB, IP, IHC-P and reacts with Human, Mouse, Rat samples.

View Alternative Names

MDC2, ADAM22, Disintegrin and metalloproteinase domain-containing protein 22, ADAM 22, Metalloproteinase-disintegrin ADAM22-3

9 Images
Immunohistochemistry (Formalin/PFA-fixed paraffin-embedded sections) - Anti-ADAM22 antibody [EPR28037-56] (AB314442)
  • IHC-P

Supplier Data

Immunohistochemistry (Formalin/PFA-fixed paraffin-embedded sections) - Anti-ADAM22 antibody [EPR28037-56] (AB314442)

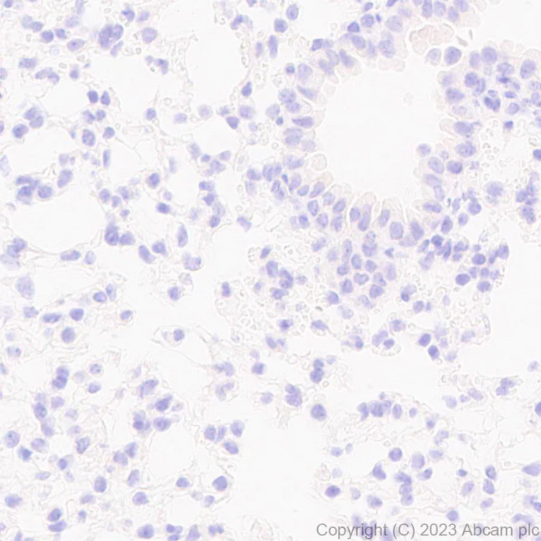
Immunohistochemical analysis of paraffin-embedded Human lung tissue labeling ADAM22 with ab314442 at 1/1000 (0.504 ug/ml) followed by a ready to use LeicaDS9800 (Bond™ Polymer Refine Detection). Negative control : No staining on human lung.The section was incubated with ab314442 for 30 mins at room temperature.The immunostaining was performed on a Leica Biosystems BOND® RX instrument Counterstained with Hematoxylin. Secondary antibody only control : Secondary antibody is a ready to use LeicaDS9800 (Bond™ Polymer Refine Detection). Heat mediated antigen retrieval was performed with Tris-EDTA buffer (pH 9.0, Epitope Retrieval Solution2) for 20 mins

Immunohistochemistry (Formalin/PFA-fixed paraffin-embedded sections) - Anti-ADAM22 antibody [EPR28037-56] (AB314442)
  • IHC-P

Supplier Data

Immunohistochemistry (Formalin/PFA-fixed paraffin-embedded sections) - Anti-ADAM22 antibody [EPR28037-56] (AB314442)

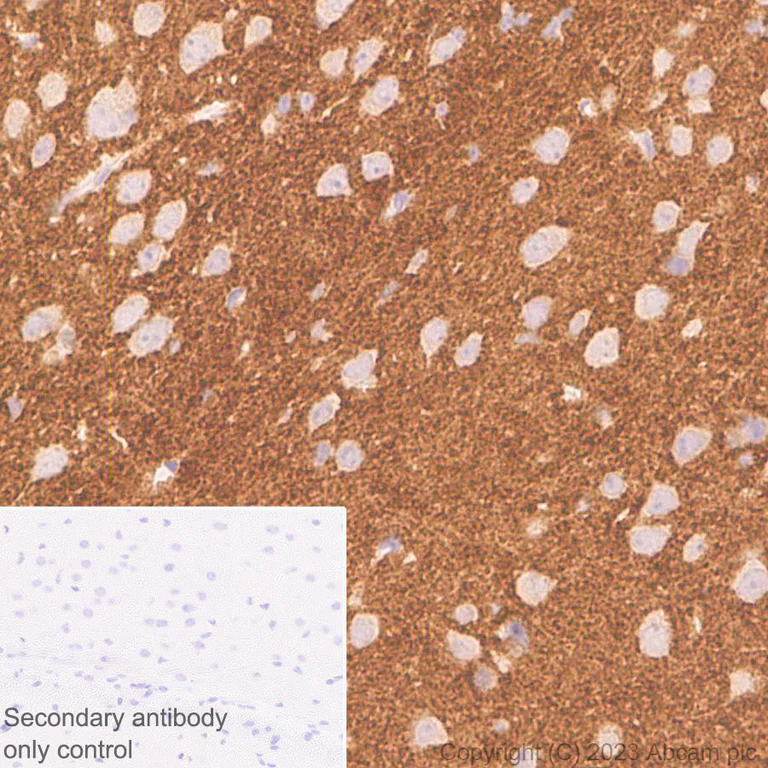
Immunohistochemical analysis of paraffin-embedded Human cerebrum tissue labeling ADAM22 with ab314442 at 1/1000 (0.504 ug/ml) followed by a ready to use LeicaDS9800 (Bond™ Polymer Refine Detection). Positive staining on human cerebrum.The section was incubated with ab314442 for 30 mins at room temperature.The immunostaining was performed on a Leica Biosystems BOND® RX instrument Counterstained with Hematoxylin. Secondary antibody only control : Secondary antibody is a ready to use LeicaDS9800 (Bond™ Polymer Refine Detection). Heat mediated antigen retrieval was performed with Tris-EDTA buffer (pH 9.0, Epitope Retrieval Solution2) for 20 mins

Immunoprecipitation - Anti-ADAM22 antibody [EPR28037-56] (AB314442)
  • IP

Supplier Data

Immunoprecipitation - Anti-ADAM22 antibody [EPR28037-56] (AB314442)

ADAM22 was immunoprecipitated from 0.35 mg SK-N-SH (human neuroblastoma epithelial cell) whole cell lysate with ab314442 at 1/30 dilution (2ug in 0.35mg lysates). Western blot was performed on the immunoprecipitate using ab314442 at 1/1000 dilution. VeriBlot for IP secondary antibody(HRP)(ab131366) was used at 1/5000 dilution. Lane 1 : SK-N-SH (human neuroblastoma epithelial cell) whole cell lysate Lane 2 : ab314442 IP in SK-N-SH (human neuroblastoma epithelial cell) whole cell lysate Lane 3 : Rabbit monoclonal IgG (ab172730) instead of ab314442 in SK-N-SH whole cell lysate Blocking and dilution buffer and concentration : 5% NFDM/TBST. Exposure time : 84s.

All lanes:

Immunoprecipitation - Anti-ADAM22 antibody [EPR28037-56] (ab314442) at 1/30 dilution

All lanes:

SK-N-SH (human neuroblastoma epithelial cell) whole cell lysate

Secondary

All lanes:

Immunoprecipitation - VeriBlot for IP Detection Reagent (HRP) (<a href='/en-us/products/reagents/veriblot-for-ip-detection-reagent-hrp-ab131366'>ab131366</a>) at 1/5000 dilution

false

Exposure time: 84s

Immunohistochemistry (Formalin/PFA-fixed paraffin-embedded sections) - Anti-ADAM22 antibody [EPR28037-56] (AB314442)
  • IHC-P

Supplier Data

Immunohistochemistry (Formalin/PFA-fixed paraffin-embedded sections) - Anti-ADAM22 antibody [EPR28037-56] (AB314442)

Immunohistochemical analysis of paraffin-embedded Mouse cerebrum tissue labeling ADAM22 with ab314442 at 1/1000 (0.504 ug/ml) followed by a ready to use LeicaDS9800 (Bond™ Polymer Refine Detection). Positive staining on mouse cerebrum.The section was incubated with ab314442 for 30 mins at room temperature.The immunostaining was performed on a Leica Biosystems BOND® RX instrument Counterstained with Hematoxylin. Secondary antibody only control : Secondary antibody is a ready to use LeicaDS9800 (Bond™ Polymer Refine Detection). Heat mediated antigen retrieval was performed with Tris-EDTA buffer (pH 9.0, Epitope Retrieval Solution2) for 20 mins

Immunohistochemistry (Formalin/PFA-fixed paraffin-embedded sections) - Anti-ADAM22 antibody [EPR28037-56] (AB314442)
  • IHC-P

Supplier Data

Immunohistochemistry (Formalin/PFA-fixed paraffin-embedded sections) - Anti-ADAM22 antibody [EPR28037-56] (AB314442)

Immunohistochemical analysis of paraffin-embedded Mouse lung tissue labeling ADAM22 with ab314442 at 1/1000 (0.504 ug/ml) followed by a ready to use LeicaDS9800 (Bond™ Polymer Refine Detection). Negative control : No staining on mouse lung.The section was incubated with ab314442 for 30 mins at room temperature.The immunostaining was performed on a Leica Biosystems BOND® RX instrument Counterstained with Hematoxylin. Secondary antibody only control : Secondary antibody is a ready to use LeicaDS9800 (Bond™ Polymer Refine Detection). Heat mediated antigen retrieval was performed with Tris-EDTA buffer (pH 9.0, Epitope Retrieval Solution2) for 20 mins

Immunohistochemistry (Formalin/PFA-fixed paraffin-embedded sections) - Anti-ADAM22 antibody [EPR28037-56] (AB314442)
  • IHC-P

Supplier Data

Immunohistochemistry (Formalin/PFA-fixed paraffin-embedded sections) - Anti-ADAM22 antibody [EPR28037-56] (AB314442)

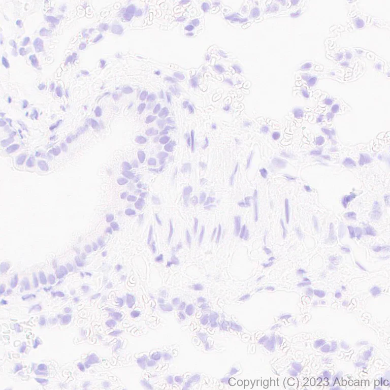
Immunohistochemical analysis of paraffin-embedded Rat lung tissue labeling ADAM22 with ab314442 at 1/1000 (0.504 ug/ml) followed by a ready to use LeicaDS9800 (Bond™ Polymer Refine Detection). Negative control : No staining on rat lung.The section was incubated with ab314442 for 30 mins at room temperature.The immunostaining was performed on a Leica Biosystems BOND® RX instrument Counterstained with Hematoxylin. Secondary antibody only control : Secondary antibody is a ready to use LeicaDS9800 (Bond™ Polymer Refine Detection). Heat mediated antigen retrieval was performed with Tris-EDTA buffer (pH 9.0, Epitope Retrieval Solution2) for 20 mins

Immunohistochemistry (Formalin/PFA-fixed paraffin-embedded sections) - Anti-ADAM22 antibody [EPR28037-56] (AB314442)
  • IHC-P

Supplier Data

Immunohistochemistry (Formalin/PFA-fixed paraffin-embedded sections) - Anti-ADAM22 antibody [EPR28037-56] (AB314442)

Immunohistochemical analysis of paraffin-embedded Rat cerebrum tissue labeling ADAM22 with ab314442 at 1/1000 (0.504 ug/ml) followed by a ready to use LeicaDS9800 (Bond™ Polymer Refine Detection). Positive staining on rat cerebrum.The section was incubated with ab314442 for 30 mins at room temperature.The immunostaining was performed on a Leica Biosystems BOND® RX instrument Counterstained with Hematoxylin. Secondary antibody only control : Secondary antibody is a ready to use LeicaDS9800 (Bond™ Polymer Refine Detection). Heat mediated antigen retrieval was performed with Tris-EDTA buffer (pH 9.0, Epitope Retrieval Solution2) for 20 mins

Western blot - Anti-ADAM22 antibody [EPR28037-56] (AB314442)
  • WB

Supplier Data

Western blot - Anti-ADAM22 antibody [EPR28037-56] (AB314442)

Blocking and diluting buffer and concentration : 5% NFDM/TBST Negative control : lung, testis The expression profile/ molecular weight observed is consistent with what has been described in the literature (PMID : 22608556). In Western blot, Anti-GAPDH antibody [EPR16891] - Loading Control (ab181602) staining at 1/200000 dilution.

All lanes:

Western blot - Anti-ADAM22 antibody [EPR28037-56] (ab314442) at 1/1000 dilution

Lane 1:

Human hippocampus tissue lysate at 20 µg

Lane 2:

Human cerebellum tissue lysate at 20 µg

Lane 3:

Human lung tissue lysate at 20 µg

Lane 4:

Human testis tissue lysate at 20 µg

Secondary

All lanes:

Western blot - Goat Anti-Rabbit IgG H&L (HRP) (<a href='/en-us/products/secondary-antibodies/goat-rabbit-igg-h-l-hrp-ab97051'>ab97051</a>) at 1/100000 dilution

Observed band size: 75-90 kDa

false

Exposure time: 10s

Western blot - Anti-ADAM22 antibody [EPR28037-56] (AB314442)
  • WB

Supplier Data

Western blot - Anti-ADAM22 antibody [EPR28037-56] (AB314442)

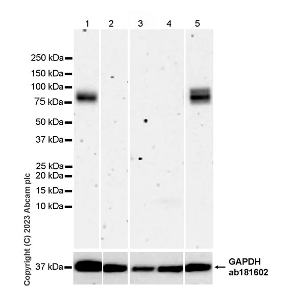
Blocking and diluting buffer and concentration : 5% NFDM/TBST Negative control : liver, lung, spleen The expression profile/ molecular weight observed is consistent with what has been described in the literature (PMID : 22608556). In Western blot, Anti-GAPDH antibody [EPR16891] - Loading Control (ab181602) staining at 1/200000 dilution.

All lanes:

Western blot - Anti-ADAM22 antibody [EPR28037-56] (ab314442) at 1/1000 dilution

Lane 1:

Mouse brain tissue lysate at 20 µg

Lane 2:

Mouse liver tissue lysate at 20 µg

Lane 3:

Mouse lung tissue lysate at 20 µg

Lane 4:

Mouse spleen tissue lysate at 20 µg

Lane 5:

Rat cerebellum tissue lysate at 20 µg

Secondary

All lanes:

Western blot - Goat Anti-Rabbit IgG H&L (HRP) (<a href='/en-us/products/secondary-antibodies/goat-rabbit-igg-h-l-hrp-ab97051'>ab97051</a>) at 1/100000 dilution

Observed band size: 75-90 kDa

false

Exposure time: 180s

Key facts

Host species

Rabbit

Clonality

Monoclonal

Clone number

EPR28037-56

Isotype

IgG

Carrier free

No

Reacts with

Human, Mouse, Rat

Applications

IP, WB, IHC-P

applications

Immunogen

The exact immunogen used to generate this antibody is proprietary information.

Reactivity data

{ "title": "Reactivity Data", "filters": { "stats": ["", "Species", "Dilution Info", "Notes"], "tabs": { "all-applications": {"fullname" : "All Applications", "shortname": "All Applications"}, "WB" : {"fullname" : "Western blot", "shortname":"WB"}, "IP" : {"fullname" : "Immunoprecipitation", "shortname":"IP"}, "IHCP" : {"fullname" : "Immunohistochemistry (Formalin/PFA-fixed paraffin-embedded sections)", "shortname":"IHC-P"}, "ICCIF" : {"fullname" : "Immunocytochemistry/ Immunofluorescence", "shortname":"ICC/IF"}, "FlowCyt" : {"fullname" : "Flow Cytometry", "shortname":"Flow Cyt"} }, "product-promise": { "all": "all", "testedAndGuaranteed": "tested", "guaranteed": "expected", "predicted": "predicted", "notRecommended": "not-recommended" } }, "values": { "Human": { "WB-species-checked": "testedAndGuaranteed", "WB-species-dilution-info": "1/1000", "WB-species-notes": "<p></p>", "IP-species-checked": "testedAndGuaranteed", "IP-species-dilution-info": "1/30", "IP-species-notes": "<p></p>", "IHCP-species-checked": "testedAndGuaranteed", "IHCP-species-dilution-info": "1/1000", "IHCP-species-notes": "<p></p>", "ICCIF-species-checked": "notRecommended", "ICCIF-species-dilution-info": "", "ICCIF-species-notes": "<p></p>", "FlowCyt-species-checked": "notRecommended", "FlowCyt-species-dilution-info": "", "FlowCyt-species-notes": "<p></p>" }, "Mouse": { "WB-species-checked": "testedAndGuaranteed", "WB-species-dilution-info": "1/1000", "WB-species-notes": "<p></p>", "IP-species-checked": "guaranteed", "IP-species-dilution-info": "", "IP-species-notes": "", "IHCP-species-checked": "testedAndGuaranteed", "IHCP-species-dilution-info": "1/1000", "IHCP-species-notes": "<p></p>", "ICCIF-species-checked": "notRecommended", "ICCIF-species-dilution-info": "", "ICCIF-species-notes": "<p></p>", "FlowCyt-species-checked": "notRecommended", "FlowCyt-species-dilution-info": "", "FlowCyt-species-notes": "<p></p>" }, "Rat": { "WB-species-checked": "testedAndGuaranteed", "WB-species-dilution-info": "1/1000", "WB-species-notes": "<p></p>", "IP-species-checked": "guaranteed", "IP-species-dilution-info": "", "IP-species-notes": "", "IHCP-species-checked": "testedAndGuaranteed", "IHCP-species-dilution-info": "1/1000", "IHCP-species-notes": "<p></p>", "ICCIF-species-checked": "notRecommended", "ICCIF-species-dilution-info": "", "ICCIF-species-notes": "", "FlowCyt-species-checked": "notRecommended", "FlowCyt-species-dilution-info": "", "FlowCyt-species-notes": "" } } }

Product details

Patented technology
Our RabMAb® technology is a patented hybridoma-based technology for making rabbit monoclonal antibodies. For details on our patents, please refer to RabMAb® patents.

What are the advantages of a recombinant monoclonal antibody?
This product is a recombinant monoclonal antibody, which offers several advantages including:

  • - High batch-to-batch consistency and reproducibility
  • - Improved sensitivity and specificity
  • - Long-term security of supply
  • - Animal-free batch production

For more information, read more on recombinant antibodies.

Properties and storage information

Form
Liquid
Purification technique
Affinity purification Protein A
Storage buffer
pH: 7.2 - 7.4 Preservative: 0.01% Sodium azide Constituents: PBS, 40% Glycerol (glycerin, glycerine), 0.05% BSA
Shipped at conditions
Blue Ice
Appropriate short-term storage duration
1-2 weeks
Appropriate short-term storage conditions
+4°C
Appropriate long-term storage conditions
-20°C
Aliquoting information
Upon delivery aliquot
Storage information
Avoid freeze / thaw cycle

Supplementary information

This supplementary information is collated from multiple sources and compiled automatically.

ADAM22 also known as ADAM 22 or ADAM 2 is a protein that functions mechanically as a transmembrane receptor involved in cell-cell and cell-matrix interactions. This protein does not exhibit protease activity unlike other members of the ADAM family which distinguishes its functional role. ADAM22 has a mass of approximately 100 kDa. It is expressed predominantly in the central nervous system particularly in brain tissues where it plays a significant role in neuronal signaling.
Biological function summary

ADAM22 affects the nervous system's development and function by mediating synaptic formation and maintenance. It belongs to a protein complex with LGI1 which also interacts with other proteins on the synaptic membrane facilitating communication between neurons. The LGI1-ADAM22 complex reportedly regulates ion channels and other synaptic proteins impacting neurotransmission and synaptic plasticity essential for cognitive processes.

Pathways

ADAM22 acts within the neuropharmacological and synaptogenesis pathways. It interacts closely with LGI1 and PSD95 pivotal proteins in developing synaptic signaling platforms. These pathways influence neurotransmitter release and receptor clustering fundamental for effective neural circuit function. The disruption of this pathway or its elements can lead to neurological impairments and highlight ADAM22's role in maintaining neural integrity.

ADAM22 connects to neurological conditions such as epilepsy and glioma. Mutations or deficiencies in the LGI1-ADAM22 interaction have been linked to epilepsy affecting ion channel regulatory actions. In glioma altered expression of ADAM22 may play a role in tumor progression influenced by interactions with integrins and growth factors. Therefore ADAM22's presence and regulatory actions contribute to neurological and oncological disease models.

Product protocols

For this product, it's our understanding that no specific protocols are required. You can visit:

Target data

Probable ligand for integrin in the brain. This is a non catalytic metalloprotease-like protein (PubMed : 19692335). Involved in regulation of cell adhesion and spreading and in inhibition of cell proliferation. Neuronal receptor for LGI1.
See full target information ADAM22

Product promise

We are committed to supporting your work with high-quality reagents, and we're here for you every step of the way. In the unlikely event that one of our products does not perform as expected, you're protected by our Product Promise.
For full details, please see our Terms & Conditions

Please note: All products are 'FOR RESEARCH USE ONLY. NOT FOR USE IN DIAGNOSTIC OR THERAPEUTIC PROCEDURES'.

For licensing inquiries, please contact partnerships@abcam.com