JavaScript is disabled in your browser. Please enable JavaScript to view this website.
AB198902

Anti-ADAM28 antibody

Be the first to review this product! Submit a review

|

(2 Publications)

Rabbit Polyclonal ADAM28 antibody. Suitable for IHC-P and reacts with Human samples. Cited in 2 publications. Immunogen corresponding to Synthetic Peptide within Human ADAM28.

View Alternative Names

ADAM23, MDCL, ADAM28, Disintegrin and metalloproteinase domain-containing protein 28, ADAM 28, eMDC II, MDC-L

2 Images
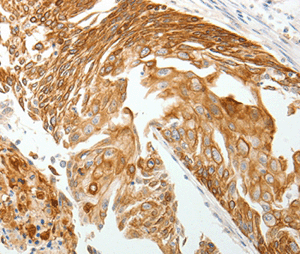
Immunohistochemistry (Formalin/PFA-fixed paraffin-embedded sections) - Anti-ADAM28 antibody (AB198902)
  • IHC-P

Supplier Data

Immunohistochemistry (Formalin/PFA-fixed paraffin-embedded sections) - Anti-ADAM28 antibody (AB198902)

Immunohistochemical analysis of paraffin-embedded Human colon cancer tissue labeling ADAM28 with ab198902 at 1/30 dilution.

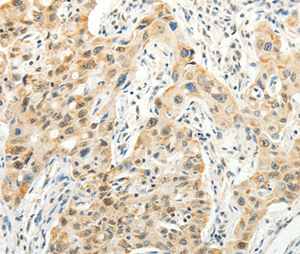
Immunohistochemistry (Formalin/PFA-fixed paraffin-embedded sections) - Anti-ADAM28 antibody (AB198902)
  • IHC-P

Supplier Data

Immunohistochemistry (Formalin/PFA-fixed paraffin-embedded sections) - Anti-ADAM28 antibody (AB198902)

Immunohistochemical analysis of paraffin-embedded Human breast cancer tissue labeling ADAM28 with ab198902 at 1/30 dilution.

Key facts

Host species

Rabbit

Clonality

Polyclonal

Isotype

IgG

Carrier free

No

Reacts with

Human

Applications

IHC-P

applications

Immunogen

Synthetic Peptide within Human ADAM28. The exact immunogen used to generate this antibody is proprietary information.

Q9UKQ2

Reactivity data

{ "title": "Reactivity Data", "filters": { "stats": ["", "Species", "Dilution Info", "Notes"], "tabs": { "all-applications": {"fullname" : "All Applications", "shortname": "All Applications"}, "IHCP" : {"fullname" : "Immunohistochemistry (Formalin/PFA-fixed paraffin-embedded sections)", "shortname":"IHC-P"} }, "product-promise": { "all": "all", "testedAndGuaranteed": "tested", "guaranteed": "expected", "predicted": "predicted", "notRecommended": "not-recommended" } }, "values": { "Human": { "IHCP-species-checked": "testedAndGuaranteed", "IHCP-species-dilution-info": "1/25 - 1/100", "IHCP-species-notes": "<p></p>" } } }

Properties and storage information

Form
Liquid
Purification technique
Affinity purification Immunogen
Storage buffer
pH: 7.4 Preservative: 0.05% Sodium azide Constituents: PBS, 50% Glycerol (glycerin, glycerine)
Shipped at conditions
Blue Ice
Appropriate short-term storage duration
1-2 weeks
Appropriate short-term storage conditions
+4°C
Appropriate long-term storage conditions
-20°C
Aliquoting information
Upon delivery aliquot
Storage information
Avoid freeze / thaw cycle

Supplementary information

This supplementary information is collated from multiple sources and compiled automatically.

ADAM28 also known as a disintegrin and metalloproteinase domain-containing protein 28 is a member of the ADAM family of proteins. It has a molecular mass of approximately 103 kDa. This protein performs proteolytic functions which means it can break down other proteins. You can find ADAM28 expressed in various tissues but it shows significant expression in lymphoid tissue including the spleen and thymus as well as in the lungs. Its localization suggests a possible connection to immune system functions.
Biological function summary

ADAM28 participates in processes related to cell adhesion and migration. This protein can influence the immune response by regulating leukocyte trafficking. ADAM28 is part of a larger family of ADAM proteins that share a conserved metalloproteinase domain and an integrin-binding disintegrin-like domain which help in cellular interactions and proteolytic activities. Because of these roles it affects the dynamics of the extracellular matrix and modulates cellular environments.

Pathways

ADAM28 is involved in key pathways such as the Notch signaling pathway and the shedding of membrane proteins. It interacts with several important proteins including integrins and other ADAM family members to exert influence on signal transduction processes. Through the Notch signaling pathway ADAM28 can regulate cell differentiation proliferation and apoptosis. Its role in protein shedding contributes to the modulation of cell surface receptors and shedding of cytokine receptors.

ADAM28 has links to cancer and inflammatory diseases. In cancer its proteolytic activity can affect tumor cell proliferation and metastasis interacting with proteins like integrins and cytokines to promote an invasive phenotype. ADAM28 also associates with inflammatory processes which can lead to its involvement in disorders like rheumatoid arthritis. In such conditions it can interact with matrix metalloproteinases enhancing degradation of the extracellular matrix and contributing to tissue damage.

Product protocols

For this product, it's our understanding that no specific protocols are required. You can visit:

Target data

May play a role in the adhesive and proteolytic events that occur during lymphocyte emigration or may function in ectodomain shedding of lymphocyte surface target proteins, such as FASL and CD40L. May be involved in sperm maturation.
See full target information ADAM28

Publications (2)

Recent publications for all applications. Explore the full list and refine your search

Journal of cellular and molecular medicine 29:e70621 PubMed40461943

2025

Evaluating the Potential of COL8A1 as a Therapeutic Target for Chemoresistance, Disease Progression, and a Prognostic Marker in Gastric Cancer.

Applications

Unspecified application

Species

Unspecified reactive species

Chao Xu,MuZhen He,HongYuan Chen,LiangJie Chi,XiangYu Wang,ShuYuan Li,QingShui Wang,Yao Lin,FangQin Xue

The FEBS journal 283:1574-94 PubMed26918856

2016

ADAM28 is expressed by epithelial cells in human normal tissues and protects from C1q-induced cell death.

Applications

Unspecified application

Species

Unspecified reactive species

Yuka Miyamae,Satsuki Mochizuki,Masayuki Shimoda,Kentaro Ohara,Hitoshi Abe,Shuji Yamashita,Saiko Kazuno,Takashi Ohtsuka,Hiroki Ochiai,Yuko Kitagawa,Yasunori Okada
View all publications

Product promise

We are committed to supporting your work with high-quality reagents, and we're here for you every step of the way. In the unlikely event that one of our products does not perform as expected, you're protected by our Product Promise.
For full details, please see our Terms & Conditions

Please note: All products are 'FOR RESEARCH USE ONLY. NOT FOR USE IN DIAGNOSTIC OR THERAPEUTIC PROCEDURES'.

For licensing inquiries, please contact partnerships@abcam.com