JavaScript is disabled in your browser. Please enable JavaScript to view this website.
AB276133

Anti-ADAMTS1 antibody [EPR23324-45]

Be the first to review this product! Submit a review

|

(1 Publication)

Rabbit Recombinant Monoclonal ADAMTS1 antibody. Suitable for WB, Flow Cyt (Intra) and reacts with Mouse samples. Cited in 1 publication.

View Alternative Names

A disintegrin and metalloproteinase with thrombospondin motifs 1, ADAM-TS 1, ADAM-TS1, ADAMTS-1, Adamts1

3 Images
Flow Cytometry (Intracellular) - Anti-ADAMTS1 antibody [EPR23324-45] (AB276133)
  • Flow Cyt (Intra)

Unknown

Flow Cytometry (Intracellular) - Anti-ADAMTS1 antibody [EPR23324-45] (AB276133)

Intracellular flow cytometric analysis of 4% paraformaldehyde-fixed, 90% methanol-permeabilized 4T1 (mouse mammary gland carcinoma epithelial cell) cells labelling ADAMTS1 with ab276133 at 1/500 dilution (0.1ug) (Red) compared with a Rabbit monoclonal IgG (ab172730) isotype control (Black) and an unlabelled control (cells without incubation with primary antibody and secondary antibody) (Blue).

A Goat anti rabbit IgG (Alexa Fluor® 488, ab150077) at 1/2000 dilution was used as the secondary antibody.

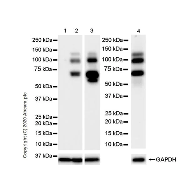
Western blot - Anti-ADAMTS1 antibody [EPR23324-45] (AB276133)
  • WB

Lab

Western blot - Anti-ADAMTS1 antibody [EPR23324-45] (AB276133)

Blocking and diluting buffer and concentration : 5% NFDM/TBST.

The molecular weight observed are consistent with what have been described in literatures (PMID : 17560840, 23289900, 15184385, 12907688).

Low expression : mouse brain (PMID : 11108265).

Exposure time : 15 seconds.

All lanes:

Western blot - Anti-ADAMTS1 antibody [EPR23324-45] (ab276133) at 1/1000 dilution

Lane 1:

Mouse brain tissue lysate at 20 µg

Lane 2:

Mouse E17 embryo tissue lysate at 20 µg

Lane 3:

Mouse kidney tissue lysate at 20 µg

Lane 4:

Mouse lung tissue lysate at 20 µg

Secondary

All lanes:

Western blot - Goat Anti-Rabbit IgG H&L (HRP) (<a href='/en-us/products/secondary-antibodies/goat-rabbit-igg-h-l-hrp-ab97051'>ab97051</a>) at 1/20000 dilution

Predicted band size: 105 kDa

Observed band size: 100 kDa,120 kDa,60-70 kDa

false

Western blot - Anti-ADAMTS1 antibody [EPR23324-45] (AB276133)
  • WB

Lab

Western blot - Anti-ADAMTS1 antibody [EPR23324-45] (AB276133)

Blocking and diluting buffer and concentration : 5% NFDM/TBST.

The molecular weight observed are consistent with what have been described in literatures (PMID : 17560840, 23289900, 15184385, 12907688).

4T1 whole cell lysate is made freshly and used in WB test immediately to minimize protein degradation.

Exposure time : 92 seconds.

All lanes:

Western blot - Anti-ADAMTS1 antibody [EPR23324-45] (ab276133) at 1/1000 dilution

All lanes:

4T1 (mouse mammary gland carcinoma epithelial cell) whole cell fresh lysate at 20 µg

Secondary

All lanes:

Western blot - Goat Anti-Rabbit IgG H&L (HRP) (<a href='/en-us/products/secondary-antibodies/goat-rabbit-igg-h-l-hrp-ab97051'>ab97051</a>) at 1/20000 dilution

Predicted band size: 105 kDa

Observed band size: 100 kDa,120 kDa

false

  • Carrier free

    Anti-ADAMTS1 antibody [EPR23324-45] - BSA and Azide free

Key facts

Host species

Rabbit

Clonality

Monoclonal

Clone number

EPR23324-45

Isotype

IgG

Carrier free

No

Reacts with

Mouse

Applications

Flow Cyt (Intra), WB

applications

Immunogen

The exact immunogen used to generate this antibody is proprietary information.

Reactivity data

{ "title": "Reactivity Data", "filters": { "stats": ["", "Species", "Dilution Info", "Notes"], "tabs": { "all-applications": {"fullname" : "All Applications", "shortname": "All Applications"}, "ICCIF" : {"fullname" : "Immunocytochemistry/ Immunofluorescence", "shortname":"ICC/IF"}, "WB" : {"fullname" : "Western blot", "shortname":"WB"}, "IHCP" : {"fullname" : "Immunohistochemistry (Formalin/PFA-fixed paraffin-embedded sections)", "shortname":"IHC-P"}, "FlowCytIntra" : {"fullname" : "Flow Cytometry (Intracellular)", "shortname":"Flow Cyt (Intra)"} }, "product-promise": { "all": "all", "testedAndGuaranteed": "tested", "guaranteed": "expected", "predicted": "predicted", "notRecommended": "not-recommended" } }, "values": { "Human": { "ICCIF-species-checked": "notRecommended", "ICCIF-species-dilution-info": "", "ICCIF-species-notes": "<p></p>", "WB-species-checked": "notRecommended", "WB-species-dilution-info": "1/1000", "WB-species-notes": "<p></p>", "IHCP-species-checked": "notRecommended", "IHCP-species-dilution-info": "", "IHCP-species-notes": "<p></p>", "FlowCytIntra-species-checked": "notRecommended", "FlowCytIntra-species-dilution-info": "", "FlowCytIntra-species-notes": "<p></p>" }, "Mouse": { "ICCIF-species-checked": "notRecommended", "ICCIF-species-dilution-info": "1/50", "ICCIF-species-notes": "<p></p>", "WB-species-checked": "testedAndGuaranteed", "WB-species-dilution-info": "1/1000", "WB-species-notes": "<p></p>", "IHCP-species-checked": "notRecommended", "IHCP-species-dilution-info": "1/100", "IHCP-species-notes": "<p></p>", "FlowCytIntra-species-checked": "testedAndGuaranteed", "FlowCytIntra-species-dilution-info": "1/500", "FlowCytIntra-species-notes": "<p></p>" }, "Rat": { "ICCIF-species-checked": "notRecommended", "ICCIF-species-dilution-info": "", "ICCIF-species-notes": "", "WB-species-checked": "notRecommended", "WB-species-dilution-info": "1/1000", "WB-species-notes": "<p></p>", "IHCP-species-checked": "notRecommended", "IHCP-species-dilution-info": "", "IHCP-species-notes": "<p></p>", "FlowCytIntra-species-checked": "notRecommended", "FlowCytIntra-species-dilution-info": "", "FlowCytIntra-species-notes": "" } } }

Product details

Patented technology
Our RabMAb® technology is a patented hybridoma-based technology for making rabbit monoclonal antibodies. For details on our patents, please refer to RabMAb® patents.

What are the advantages of a recombinant monoclonal antibody?
This product is a recombinant monoclonal antibody, which offers several advantages including:

  • - High batch-to-batch consistency and reproducibility
  • - Improved sensitivity and specificity
  • - Long-term security of supply
  • - Animal-free batch production

For more information, read more on recombinant antibodies.

Properties and storage information

Form
Liquid
Purification technique
Affinity purification Protein A
Storage buffer
Preservative: 0.01% Sodium azide Constituents: PBS, 40% Glycerol (glycerin, glycerine), 0.05% BSA
Shipped at conditions
Blue Ice
Appropriate short-term storage duration
1-2 weeks
Appropriate short-term storage conditions
+4°C
Appropriate long-term storage conditions
-20°C
Aliquoting information
Upon delivery aliquot
Storage information
Avoid freeze / thaw cycle

Supplementary information

This supplementary information is collated from multiple sources and compiled automatically.

ADAMTS1 short for a disintegrin and metalloproteinase with thrombospondin motifs 1 is an enzyme with a mass of around 110 kDa. Researchers often study this enzyme for its role in protein degradation and modification. ADAMTS1 is found in various tissues including the heart lungs and kidneys. This protein has several aliases sometimes referred to as ADAMTS-1 or ADAM-TS1. Its primary function involves processing extracellular matrix components such as aggrecan and versican which contribute to tissue remodeling.
Biological function summary

The influence of ADAMTS1 extends to various physiological and developmental processes. This enzyme participates in the modulation of angiogenesis inflammation and reproductive functions. It operates within a complex of metalloproteinases coordinating the breakdown of matrix proteins. Through these activities ADAMTS1 maintains tissue integrity and homeostasis. It particularly plays an essential role in the regulation of proteoglycans which are critical in cellular communication and structure.

Pathways

The actions of ADAMTS1 intersect within the extracellular matrix organization and integrin signaling pathways. These pathways are important for cell adhesion and migration contributing to tissue morphogenesis and repair. ADAMTS1 shows interaction with proteins like integrins and other matrix metalloproteinases establishing a network critical for cellular structural changes and signal transduction. These interactions ensure balanced tissue development and response to environmental changes.

The dysfunction of ADAMTS1 has links to conditions like osteoarthritis and cancer. In osteoarthritis inadequate regulation of matrix components by ADAMTS1 can lead to joint degradation. In cancer its dysregulation may influence tumor growth and metastasis. ADAMTS1 interacts with other proteins implicated in these diseases such as aggrecanases in osteoarthritis and integrins in cancer. These connections highlight the potential role of ADAMTS1 as a therapeutic target in managing these complex diseases.

Product protocols

For this product, it's our understanding that no specific protocols are required. You can visit:

Target data

Cleaves aggrecan, a cartilage proteoglycan, at the '1691-Glu-|-Leu-1692' site (within the chondroitin sulfate attachment domain), and may be involved in its turnover. Has angiogenic inhibitor activity (By similarity). Active metalloprotease, which may be associated with various inflammatory processes as well as development of cancer cachexia. May play a critical role in follicular rupture (By similarity).
See full target information A disintegrin and metalloproteinase with thrombospondin motifs 1

Publications (1)

Recent publications for all applications. Explore the full list and refine your search

Frontiers in aging neuroscience 14:896522 PubMed36016856

2022

Induction of by a rare variant or cognitive activities reduces hippocampal amyloid-β and consequent Alzheimer's disease risk.

Applications

Unspecified application

Species

Unspecified reactive species

Yunjie Qiu,Longze Sha,Xiuneng Zhang,Guanjun Li,Wanwan Zhu,Qi Xu
View all publications

Product promise

We are committed to supporting your work with high-quality reagents, and we're here for you every step of the way. In the unlikely event that one of our products does not perform as expected, you're protected by our Product Promise.
For full details, please see our Terms & Conditions

Please note: All products are 'FOR RESEARCH USE ONLY. NOT FOR USE IN DIAGNOSTIC OR THERAPEUTIC PROCEDURES'.

For licensing inquiries, please contact partnerships@abcam.com