JavaScript is disabled in your browser. Please enable JavaScript to view this website.
AB198881

Anti-ADAMTS17 antibody

Be the first to review this product! Submit a review

|

(1 Publication)

Rabbit Polyclonal ADAMTS17 antibody. Suitable for WB, IHC-P and reacts with Mouse, Human samples. Cited in 1 publication. Immunogen corresponding to Synthetic Peptide within Human A disintegrin and metalloproteinase with thrombospondin motifs 17.

View Alternative Names

A disintegrin and metalloproteinase with thrombospondin motifs 17, ADAM-TS 17, ADAM-TS17, ADAMTS-17, ADAMTS17

2 Images
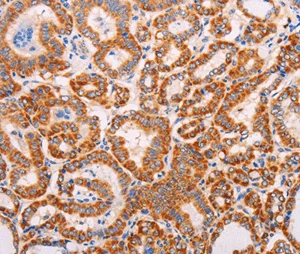
Immunohistochemistry (Formalin/PFA-fixed paraffin-embedded sections) - Anti-ADAMTS17 antibody (AB198881)
  • IHC-P

Supplier Data

Immunohistochemistry (Formalin/PFA-fixed paraffin-embedded sections) - Anti-ADAMTS17 antibody (AB198881)

Immunohistochemical analysis of paraffin-embedded Human thyroid cancer tissue labeling ADAMTS17 with ab198881 at 1/60 dilution.

Western blot - Anti-ADAMTS17 antibody (AB198881)
  • WB

Supplier Data

Western blot - Anti-ADAMTS17 antibody (AB198881)

Gel : 8% SDS-PAGE

All lanes:

Western blot - Anti-ADAMTS17 antibody (ab198881) at 1/1300 dilution

All lanes:

NIH 3T3 cell lysate at 40 µg

Predicted band size: 121 kDa

true

Exposure time: 1hr

Key facts

Host species

Rabbit

Clonality

Polyclonal

Isotype

IgG

Carrier free

No

Reacts with

Mouse, Human

Applications

WB, IHC-P

applications

Immunogen

Synthetic Peptide within Human A disintegrin and metalloproteinase with thrombospondin motifs 17. The exact immunogen used to generate this antibody is proprietary information.

Q8TE56

Reactivity data

{ "title": "Reactivity Data", "filters": { "stats": ["", "Species", "Dilution Info", "Notes"], "tabs": { "all-applications": {"fullname" : "All Applications", "shortname": "All Applications"}, "WB" : {"fullname" : "Western blot", "shortname":"WB"}, "IHCP" : {"fullname" : "Immunohistochemistry (Formalin/PFA-fixed paraffin-embedded sections)", "shortname":"IHC-P"} }, "product-promise": { "all": "all", "testedAndGuaranteed": "tested", "guaranteed": "expected", "predicted": "predicted", "notRecommended": "not-recommended" } }, "values": { "Human": { "WB-species-checked": "guaranteed", "WB-species-dilution-info": "", "WB-species-notes": "", "IHCP-species-checked": "testedAndGuaranteed", "IHCP-species-dilution-info": "1/50 - 1/200", "IHCP-species-notes": "<p></p>" }, "Mouse": { "WB-species-checked": "testedAndGuaranteed", "WB-species-dilution-info": "1/500 - 1/2000", "WB-species-notes": "<p></p>", "IHCP-species-checked": "guaranteed", "IHCP-species-dilution-info": "", "IHCP-species-notes": "" }, "Rat": { "WB-species-checked": "predicted", "WB-species-dilution-info": "", "WB-species-notes": "", "IHCP-species-checked": "predicted", "IHCP-species-dilution-info": "", "IHCP-species-notes": "" } } }

Properties and storage information

Form
Liquid
Purification technique
Affinity purification Immunogen
Storage buffer
pH: 7.4 Preservative: 0.05% Sodium azide Constituents: PBS, 50% Glycerol (glycerin, glycerine)
Shipped at conditions
Blue Ice
Appropriate short-term storage duration
1-2 weeks
Appropriate short-term storage conditions
+4°C
Appropriate long-term storage conditions
-20°C
Aliquoting information
Upon delivery aliquot
Storage information
Avoid freeze / thaw cycle

Supplementary information

This supplementary information is collated from multiple sources and compiled automatically.

ADAMTS17 also known as A Disintegrin and Metalloproteinase with Thrombospondin motifs 17 is a zinc-dependent protease with a molecular mass of approximately 128 kDa. This protein is part of the ADAMTS family which are secreted enzymes known for their roles in processing extracellular matrix components. ADAMTS17 appears in several tissues including the eyes reproductive organs and connective tissues. It mainly functions by cleaving specific substrates in the extracellular matrix affecting various physiological processes.
Biological function summary

ADAMTS17 influences extracellular matrix organization and tissue remodeling. It works by processing proteins like proteoglycans that are key components of the matrix. In particular it is part of a complex that regulates structural integrity and cellular communication within tissues. Disruptions in its function can affect normal extracellular matrix remodeling and influence development and repair processes. Its activity is essential for maintaining proper function and structure in certain tissues making it a significant point of investigation.

Pathways

The proteins related to ADAMTS17 are primarily involved in the regulation of the extracellular matrix and connective tissue development pathways. One key pathway includes extracellular matrix assembly and degradation where it interacts with substrates like collagen and aggrecan. It relates to proteins such as ADAMTS10 and ADAMTS20 which are part of the same protein family and share similar functions within these pathways. These interactions are important for the normal development and homeostasis of connective tissues.

Dysfunctions in ADAMTS17 have been linked to connective tissue disorders and certain eye diseases. Mutations or altered expression levels of ADAMTS17 can lead to conditions such as Weill-Marchesani syndrome. This protein has relations to fibrillin-1 through its impact on the extracellular matrix contributing to the pathogenesis of such connective tissue diseases. Understanding the role of ADAMTS17 in these conditions is important for developing therapeutic strategies aimed at mitigating the impacts of these disorders.

Product protocols

For this product, it's our understanding that no specific protocols are required. You can visit:

Publications (1)

Recent publications for all applications. Explore the full list and refine your search

Genes, chromosomes & cancer 63:e70007 PubMed39535842

2024

Differential Expression of Proteins and Genes at the Tumor-Brain Interface in Invasive Meningioma.

Applications

Unspecified application

Species

Unspecified reactive species

Kornwika Senglek,Chinachote Teerapakpinyo,Nutchawan Jittapiromsak,Pakrit Jittapiromsak,Irin Lertparinyaphorn,Paul Scott Thorner,Shanop Shuangshoti
View all publications

Product promise

We are committed to supporting your work with high-quality reagents, and we're here for you every step of the way. In the unlikely event that one of our products does not perform as expected, you're protected by our Product Promise.
For full details, please see our Terms & Conditions

Please note: All products are 'FOR RESEARCH USE ONLY. NOT FOR USE IN DIAGNOSTIC OR THERAPEUTIC PROCEDURES'.

For licensing inquiries, please contact partnerships@abcam.com