JavaScript is disabled in your browser. Please enable JavaScript to view this website.
AB198725

Anti-ADAMTS6 antibody

Be the first to review this product! Submit a review

|

(1 Publication)

Rabbit Polyclonal ADAMTS6 antibody. Suitable for IHC-P and reacts with Human samples. Cited in 1 publication. Immunogen corresponding to Synthetic Peptide within Human A disintegrin and metalloproteinase with thrombospondin motifs 6.

View Alternative Names

A disintegrin and metalloproteinase with thrombospondin motifs 6, ADAM-TS 6, ADAM-TS6, ADAMTS-6, ADAMTS6

1 Images
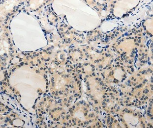
Immunohistochemistry (Formalin/PFA-fixed paraffin-embedded sections) - Anti-ADAMTS6 antibody (AB198725)
  • IHC-P

Supplier Data

Immunohistochemistry (Formalin/PFA-fixed paraffin-embedded sections) - Anti-ADAMTS6 antibody (AB198725)

Immunohistochemical analysis of paraffin-embedded Human thyroid cancer tissue labeling ADAMTS6 with ab198725 at 1/20 dilution.

Key facts

Host species

Rabbit

Clonality

Polyclonal

Isotype

IgG

Carrier free

No

Reacts with

Human

Applications

IHC-P

applications

Immunogen

Synthetic Peptide within Human A disintegrin and metalloproteinase with thrombospondin motifs 6. The exact immunogen used to generate this antibody is proprietary information.

Q9UKP5

Reactivity data

{ "title": "Reactivity Data", "filters": { "stats": ["", "Species", "Dilution Info", "Notes"], "tabs": { "all-applications": {"fullname" : "All Applications", "shortname": "All Applications"}, "IHCP" : {"fullname" : "Immunohistochemistry (Formalin/PFA-fixed paraffin-embedded sections)", "shortname":"IHC-P"} }, "product-promise": { "all": "all", "testedAndGuaranteed": "tested", "guaranteed": "expected", "predicted": "predicted", "notRecommended": "not-recommended" } }, "values": { "Human": { "IHCP-species-checked": "testedAndGuaranteed", "IHCP-species-dilution-info": "1/15 - 1/50", "IHCP-species-notes": "<p></p>" } } }

Properties and storage information

Form
Liquid
Purification technique
Affinity purification Immunogen
Storage buffer
pH: 7.4 Preservative: 0.05% Sodium azide Constituents: PBS, 50% Glycerol (glycerin, glycerine)
Shipped at conditions
Blue Ice
Appropriate short-term storage duration
1-2 weeks
Appropriate short-term storage conditions
+4°C
Appropriate long-term storage conditions
-20°C
Aliquoting information
Upon delivery aliquot
Storage information
Avoid freeze / thaw cycle

Supplementary information

This supplementary information is collated from multiple sources and compiled automatically.

ADAMTS6 is an enzyme that belongs to the ADAMTS (A Disintegrin And Metalloproteinase with Thrombospondin Motifs) family involved in processing and remodeling the extracellular matrix. It acts as a metalloproteinase utilizing metalloproteinase activity to cleave specific peptide bonds in target substrates. This enzyme with an approximate molecular mass of 230 kDa is expressed in various tissues including heart skeletal muscle and placenta. Other names for ADAMTS6 include ADAMTS-6 and a disintegrin-like and metalloproteinase with thrombospondin type 1 motif 6.
Biological function summary

ADAMTS6 modulates the matrix degradation and is involved in assembling the extracellular matrix. It plays a role in tissue development and repair by influencing cell-matrix interactions. ADAMTS6 functions as part of the ADAMTS enzyme family not forming large complexes but often acting in concert with other family members. Its activity affects processes like angiogenesis and cell migration by controlling the availability and organization of matrix components.

Pathways

ADAMTS6 participates in the extracellular matrix organization pathway and influences the inflammation pathway. The enzyme's activity helps regulate matrix integrity and turnover impacting ECM-related signaling pathways. It shares functional networks with proteins like collagen and fibronectin essential for maintaining matrix structure and signaling. ADAMTS6 interactions with these proteins modulate cellular behaviors important for wound healing.

ADAMTS6 has associations with musculoskeletal disorders such as osteoarthritis and cardiovascular diseases. Aberrant expression or dysfunction of ADAMTS6 impacts extracellular matrix dynamics potentially contributing to disease mechanisms. It often displays relationships with proteins like ADAMTS1 in these conditions which similarly modulates extracellular matrix properties. Understanding its role aids in identifying molecular targets for therapeutic interventions in related disorders.

Product protocols

For this product, it's our understanding that no specific protocols are required. You can visit:

Publications (1)

Recent publications for all applications. Explore the full list and refine your search

Scientific reports 14:31530 PubMed39732950

2024

Expression and relationship of PD-L1, CD24, and CD47 in hepatitis B virus associated hepatocellular carcinoma.

Applications

Unspecified application

Species

Unspecified reactive species

Aiping Lin,Mingxia Wang,Zhihui Wang,Juan Lin,Zhihui Lin,Shaowei Lin,Shiyun Lu,Hong Lin,Haijun Tang,Xueping Huang
View all publications

Product promise

We are committed to supporting your work with high-quality reagents, and we're here for you every step of the way. In the unlikely event that one of our products does not perform as expected, you're protected by our Product Promise.
For full details, please see our Terms & Conditions

Please note: All products are 'FOR RESEARCH USE ONLY. NOT FOR USE IN DIAGNOSTIC OR THERAPEUTIC PROCEDURES'.

For licensing inquiries, please contact partnerships@abcam.com