JavaScript is disabled in your browser. Please enable JavaScript to view this website.
AB203027

Anti-ADAMTS7 antibody

4

(1 Review)

|

(8 Publications)

Rabbit Polyclonal ADAMTS7 antibody. Suitable for IHC-P and reacts with Rat samples. Cited in 8 publications. Immunogen corresponding to Synthetic Peptide within Mouse Adamts7.

View Alternative Names

A disintegrin and metalloproteinase with thrombospondin motifs 7, ADAM-TS 7, ADAM-TS7, ADAMTS-7, COMPase, Adamts7

2 Images
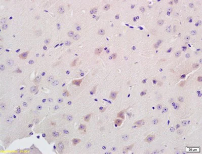
Immunohistochemistry (Formalin/PFA-fixed paraffin-embedded sections) - Anti-ADAMTS7 antibody (AB203027)
  • IHC-P

Supplier Data

Immunohistochemistry (Formalin/PFA-fixed paraffin-embedded sections) - Anti-ADAMTS7 antibody (AB203027)

Immunohistochemical analysis of Formalin-fixed, paraffin-embedded rat brain labeling ADAMTS7 with ab203027 at 1/200 dilution with DAB staining.

Immunohistochemistry (Formalin/PFA-fixed paraffin-embedded sections) - Anti-ADAMTS7 antibody (AB203027)
  • IHC-P

Supplier Data

Immunohistochemistry (Formalin/PFA-fixed paraffin-embedded sections) - Anti-ADAMTS7 antibody (AB203027)

Immunohistochemical analysis of Formalin-fixed, paraffin-embedded rat brain labeling ADAMTS7 with ab203027 at 1/200 dilution. The secondary antibody was Goat Anti-Rabbit IgG, Cy3 conjugated used at 1/200 dilution for 40 minutes at 37°C.

Key facts

Host species

Rabbit

Clonality

Polyclonal

Isotype

IgG

Carrier free

No

Reacts with

Rat

Applications

IHC-P

applications

Immunogen

Synthetic Peptide within Mouse Adamts7. The exact immunogen used to generate this antibody is proprietary information.

Q68SA9

Reactivity data

{ "title": "Reactivity Data", "filters": { "stats": ["", "Species", "Dilution Info", "Notes"], "tabs": { "all-applications": {"fullname" : "All Applications", "shortname": "All Applications"}, "IHCP" : {"fullname" : "Immunohistochemistry (Formalin/PFA-fixed paraffin-embedded sections)", "shortname":"IHC-P"} }, "product-promise": { "all": "all", "testedAndGuaranteed": "tested", "guaranteed": "expected", "predicted": "predicted", "notRecommended": "not-recommended" } }, "values": { "Rat": { "IHCP-species-checked": "testedAndGuaranteed", "IHCP-species-dilution-info": "1/100.00000 - 1/500.00000", "IHCP-species-notes": "<p>When using a fluorescent probe the recommended dilution is 1/50 – 1/200</p>" } } }

Properties and storage information

Form
Liquid
Purification technique
Affinity purification Protein A
Storage buffer
pH: 7.4 Preservative: 0.02% Proclin 300 Constituents: 50% Glycerol (glycerin, glycerine), 48.98% TBS, 1X, 1% BSA
Shipped at conditions
Blue Ice
Appropriate short-term storage duration
1-2 weeks
Appropriate short-term storage conditions
+4°C
Appropriate long-term storage conditions
-20°C
Aliquoting information
Upon delivery aliquot
Storage information
Avoid freeze / thaw cycle

Supplementary information

This supplementary information is collated from multiple sources and compiled automatically.

ADAMTS7 also known as ADAM Metallopeptidase with Thrombospondin Type 1 Motif 7 is an enzyme with a molecular mass of approximately 180 kDa. This protein is part of the ADAMTS family characterized by a disintegrin and metalloproteinase with thrombospondin motifs. ADAMTS7 is expressed mainly in the human kidney liver and skeletal muscle tissues. This protein plays a significant role in the degradation and remodeling of the extracellular matrix mediating processes such as protein processing and extracellular matrix assembly.
Biological function summary

ADAMTS7 functions as an important regulatory enzyme involved in the processing of cartilage oligomeric matrix protein (COMP). This process impacts the integrity and function of cartilage suggesting its vital role in maintaining cartilage homeostasis. Though it does not form part of a larger complex ADAMTS7 interacts closely with extracellular matrix components modulating cellular processes connected to tissue organization and structural integrity.

Pathways

ADAMTS7 is integral to the extracellular matrix organization pathway impacting its degradation and synthesis. It is also associated with the focal adhesion pathway which is critical for cell adhesion migration and signal transduction. In these pathways ADAMTS7 acts alongside proteins such as integrins and other matrix metalloproteinases coordinating cellular responses to mechanical and chemical stimuli through direct protein interactions.

ADAMTS7 has a connection to atherosclerosis and osteoarthritis. In atherosclerosis ADAMTS7 influences the remodeling of vascular tissues with effects on arterial stiffness and plaque stability. It interacts with proteins like low-density lipoprotein receptor-related protein 1 (LRP1) affecting lipid accumulation and inflammatory responses. In osteoarthritis ADAMTS7 contributes to cartilage degradation linking with other matrix-degrading enzymes to influence the progression of joint degeneration and inflammation.

Product protocols

For this product, it's our understanding that no specific protocols are required. You can visit:

Target data

Metalloprotease that may play a role in the degradation of COMP.
See full target information Adamts7

Publications (8)

Recent publications for all applications. Explore the full list and refine your search

Cellular and molecular biology (Noisy-le-Grand, France) 69:139-245 PubMed38015515

2023

Ghrelin alleviates hypoxia/reoxygenation-induced H9C2 injury by activating autophagy and AMPK/ULK1 pathway.

Applications

Unspecified application

Species

Unspecified reactive species

Hui Liu,Wei Lv,Li Ouyang,Li Xu

Cells, tissues, organs 212:285-292 PubMed35462367

2022

miR-654-5p Suppresses Migration and Proliferation of Vascular Smooth Muscle Cells by Targeting ADAMTS-7.

Applications

Unspecified application

Species

Unspecified reactive species

Liu Li,Shuo Wang,Ming Wang,Gang Liu,Zhiyu Yang,Le Wang

FEBS open bio 10:1856-1867 PubMed32692461

2020

ADAMTS7 degrades Comp to fuel BMP2-dependent osteogenic differentiation and ameliorate oncogenic potential in osteosarcomas.

Applications

Unspecified application

Species

Unspecified reactive species

Chao Wang,Yunqing Chen,Hongfei Xiang,Xiaolin Wu,Qian Tang,Xuexiao Ma,Lu Zhang

International journal of molecular medicine 45:532-542 PubMed31894258

2020

Upregulation of miR‑423 improves autologous vein graft restenosis via targeting ADAMTS‑7.

Applications

Unspecified application

Species

Unspecified reactive species

Wenjun Ren,Liwen Liang,Yongwu Li,Fei-Yu Wei,Ninghui Mu,Libin Zhang,Wei He,Yu Cao,Da Xiong,Hongrong Li

American journal of translational research 11:2232-2244 PubMed31105831

2019

MicroRNA-495 enhances chondrocyte apoptosis, senescence and promotes the progression of osteoarthritis by targeting AKT1.

Applications

Unspecified application

Species

Unspecified reactive species

Xingyu Zhao,Tiejun Wang,Bo Cai,Xiaoning Wang,Wei Feng,Yu Han,Dongsong Li,Shuqiang Li,Jianguo Liu

RNA (New York, N.Y.) 24:865-879 PubMed29540511

2018

Transmission of microRNA antimiRs to mouse offspring via the maternal-placental-fetal unit.

Applications

Unspecified application

Species

Unspecified reactive species

Jonas Hönig,Ivana Mižíková,Claudio Nardiello,David E Surate Solaligue,Maximilian J Daume,István Vadász,Konstantin Mayer,Susanne Herold,Stefan Günther,Werner Seeger,Rory E Morty

Molecular medicine reports 16:5459-5463 PubMed28849199

2017

Upregulation of ADAMTS‑7 and downregulation of COMP are associated with aortic aneurysm.

Applications

Unspecified application

Species

Unspecified reactive species

Wei Qin,Yide Cao,Liangpeng Li,Wen Chen,Xin Chen

Journal of cellular and molecular medicine 21:3347-3359 PubMed28609022

2017

MiR-29b-3p promotes chondrocyte apoptosis and facilitates the occurrence and development of osteoarthritis by targeting PGRN.

Applications

WB

Species

Unspecified reactive species

Lingqiang Chen,Qin Li,Jing Wang,Song Jin,Hongmei Zheng,Jun Lin,Fang He,Hong Zhang,Sha Ma,Jian Mei,Juan Yu
View all publications

Product promise

We are committed to supporting your work with high-quality reagents, and we're here for you every step of the way. In the unlikely event that one of our products does not perform as expected, you're protected by our Product Promise.
For full details, please see our Terms & Conditions

Associated Products

Select an associated product type
Alternative Product
Primary Antibodies

AB201083

Anti-ADAMTS7 antibody

primary-antibodies

adamts7-antibody-ab201083

0

(0 reviews)

Alternative Product
Primary Antibodies

AB45044

Anti-ADAMTS7 antibody

primary-antibodies

adamts7-antibody-ab45044

0

(0 reviews)

Alternative Product
Primary Antibodies

AB28557

Anti-ADAMTS7 antibody

primary-antibodies

adamts7-antibody-ab28557

4

(1 reviews)

Alternative Product
Primary Antibodies

AB222383

Anti-ADAMTS7 antibody

primary-antibodies

adamts7-antibody-ab222383

0

(0 reviews)

Please note: All products are 'FOR RESEARCH USE ONLY. NOT FOR USE IN DIAGNOSTIC OR THERAPEUTIC PROCEDURES'.

For licensing inquiries, please contact partnerships@abcam.com