JavaScript is disabled in your browser. Please enable JavaScript to view this website.
AB224132

Anti-ADAMTS9 antibody

Be the first to review this product! Submit a review

|

(1 Publication)

Rabbit Polyclonal ADAMTS9 antibody. Suitable for IHC-P and reacts with Human samples. Cited in 1 publication. Immunogen corresponding to Recombinant Fragment Protein within Human ADAMTS9 aa 150-300.

View Alternative Names

KIAA1312, ADAMTS9, A disintegrin and metalloproteinase with thrombospondin motifs 9, ADAM-TS 9, ADAM-TS9, ADAMTS-9

4 Images
Immunohistochemistry (Formalin/PFA-fixed paraffin-embedded sections) - Anti-ADAMTS9 antibody (AB224132)
  • IHC-P

Supplier Data

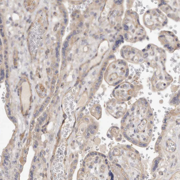
Immunohistochemistry (Formalin/PFA-fixed paraffin-embedded sections) - Anti-ADAMTS9 antibody (AB224132)

Paraffin-embedded human placenta tissue stained for ADAMTS9 using ab224132 at 1/20 dilution in immunohistochemical analysis.

Immunohistochemistry (Formalin/PFA-fixed paraffin-embedded sections) - Anti-ADAMTS9 antibody (AB224132)
  • IHC-P

Supplier Data

Immunohistochemistry (Formalin/PFA-fixed paraffin-embedded sections) - Anti-ADAMTS9 antibody (AB224132)

Paraffin-embedded human cerebellum tissue stained for ADAMTS9 using ab224132 at 1/20 dilution in immunohistochemical analysis.

Immunohistochemistry (Formalin/PFA-fixed paraffin-embedded sections) - Anti-ADAMTS9 antibody (AB224132)
  • IHC-P

Supplier Data

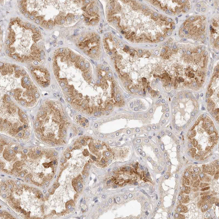
Immunohistochemistry (Formalin/PFA-fixed paraffin-embedded sections) - Anti-ADAMTS9 antibody (AB224132)

Paraffin-embedded human kidney tissue stained for ADAMTS9 using ab224132 at 1/20 dilution in immunohistochemical analysis.

Immunohistochemistry (Formalin/PFA-fixed paraffin-embedded sections) - Anti-ADAMTS9 antibody (AB224132)
  • IHC-P

Supplier Data

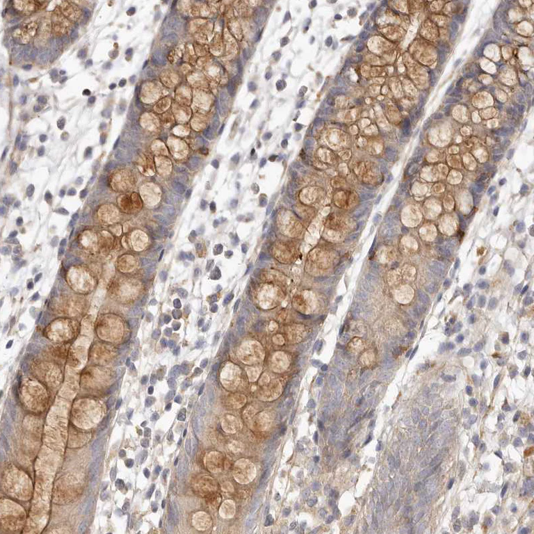
Immunohistochemistry (Formalin/PFA-fixed paraffin-embedded sections) - Anti-ADAMTS9 antibody (AB224132)

Paraffin-embedded human duodenum tissue stained for ADAMTS9 using ab224132 at 1/20 dilution in immunohistochemical analysis.

Key facts

Host species

Rabbit

Clonality

Polyclonal

Isotype

IgG

Carrier free

No

Reacts with

Human

Applications

IHC-P

applications

Immunogen

Recombinant Fragment Protein within Human ADAMTS9 aa 150-300. The exact immunogen used to generate this antibody is proprietary information.

Q9P2N4

Reactivity data

{ "title": "Reactivity Data", "filters": { "stats": ["", "Species", "Dilution Info", "Notes"], "tabs": { "all-applications": {"fullname" : "All Applications", "shortname": "All Applications"}, "IHCP" : {"fullname" : "Immunohistochemistry (Formalin/PFA-fixed paraffin-embedded sections)", "shortname":"IHC-P"} }, "product-promise": { "all": "all", "testedAndGuaranteed": "tested", "guaranteed": "expected", "predicted": "predicted", "notRecommended": "not-recommended" } }, "values": { "Human": { "IHCP-species-checked": "testedAndGuaranteed", "IHCP-species-dilution-info": "1/20 - 1/50", "IHCP-species-notes": "<p></p> Perform heat-mediated antigen retrieval with citrate buffer pH 6 before commencing with IHC staining protocol." } } }

Properties and storage information

Form
Liquid
Purification technique
Affinity purification Immunogen
Storage buffer
pH: 7.2 Preservative: 0.02% Sodium azide Constituents: PBS, 40% Glycerol (glycerin, glycerine)
Shipped at conditions
Blue Ice
Appropriate short-term storage duration
1-2 weeks
Appropriate short-term storage conditions
+4°C
Appropriate long-term storage conditions
-20°C
Aliquoting information
Upon delivery aliquot
Storage information
Avoid freeze / thaw cycle

Supplementary information

This supplementary information is collated from multiple sources and compiled automatically.

The ADAMTS9 protein also known as A Disintegrin and Metalloproteinase with Thrombospondin motifs 9 plays a mechanical role as a metalloproteinase enzyme. It features a molecular weight of approximately 193 kDa. ADAMTS9 is expressed in various tissues including the heart pancreas and kidney among others. This protein undergoes post-translational modifications that impact its mechanical functions offering unique regulation mechanisms for tissue remodeling and extracellular matrix degradation.
Biological function summary

ADAMTS9 influences processes associated with maintaining extracellular matrix integrity and remodeling. It participates in the cleavage of proteoglycans hence modulating cellular environments. This protein does not typically form large complexes but it interacts with substrates that are part of the complex networks found in connective tissues. Its enzymatic activity is subject to intervention by specific inhibitors which can significantly affect tissue homeostasis.

Pathways

ADAMTS9 is involved in the TGF-beta signaling and inflammatory response pathways. The TGF-beta signaling pathway is integral to regulating cellular growth and differentiation. In the inflammatory response ADAMTS9 interacts with proteins like aggrecan playing a part in inflammation-related tissue devastation. These pathways demonstrate the multifunctional nature of ADAMTS9 in cellular and physiological contexts.

ADAMTS9 is notably associated with arthritis and cancer progression. In arthritis the enzymatic activity leads to tissue degradation by breaking down cartilage components linking it to disease progression. In tumors its altered expression may influence cancer cell invasion and metastasis. In these conditions ADAMTS9 interacts with proteins such as versican contributing to pathological changes in tissue architecture and cellular behavior.

Product protocols

For this product, it's our understanding that no specific protocols are required. You can visit:

Target data

Cleaves the large aggregating proteoglycans, aggrecan (at the '1838-Glu-|-Ala-1839' site) and versican (at the '1428-Glu-|-Ala-1429' site). Has a protease-independent function in promoting the transport from the endoplasmic reticulum to the Golgi apparatus of a variety of secretory cargos.
See full target information ADAMTS9

Publications (1)

Recent publications for all applications. Explore the full list and refine your search

Cellular and molecular life sciences : CMLS 79:459 PubMed35913515

2022

Myocardin regulates exon usage in smooth muscle cells through induction of splicing regulatory factors.

Applications

Unspecified application

Species

Unspecified reactive species

Li Liu,Dmytro Kryvokhyzha,Catarina Rippe,Aishwarya Jacob,Andrea Borreguero-Muñoz,Karin G Stenkula,Ola Hansson,Christopher W J Smith,Steven A Fisher,Karl Swärd
View all publications

Product promise

We are committed to supporting your work with high-quality reagents, and we're here for you every step of the way. In the unlikely event that one of our products does not perform as expected, you're protected by our Product Promise.
For full details, please see our Terms & Conditions

Please note: All products are 'FOR RESEARCH USE ONLY. NOT FOR USE IN DIAGNOSTIC OR THERAPEUTIC PROCEDURES'.

For licensing inquiries, please contact partnerships@abcam.com