JavaScript is disabled in your browser. Please enable JavaScript to view this website.
AB223728

Anti-ADAMTSL4 antibody

Be the first to review this product! Submit a review

|

(1 Publication)

Rabbit Polyclonal ADAMTSL4 antibody. Suitable for IHC-P, WB and reacts with Human samples. Cited in 1 publication. Immunogen corresponding to Recombinant Fragment Protein within Human ADAMTSL4 aa 550-750.

View Alternative Names

TSRC1, PP1396, UNQ2803/PRO34012, ADAMTSL4, ADAMTS-like protein 4, ADAMTSL-4, Thrombospondin repeat-containing protein 1

2 Images
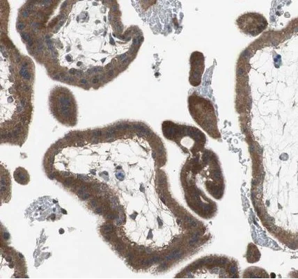
Immunohistochemistry (Formalin/PFA-fixed paraffin-embedded sections) - Anti-ADAMTSL4 antibody (AB223728)
  • IHC-P

Supplier Data

Immunohistochemistry (Formalin/PFA-fixed paraffin-embedded sections) - Anti-ADAMTSL4 antibody (AB223728)

Paraffin embedded human placenta tissue stained for ADAMTSL4 with ab223728 (1/50 dilution) in immunohistochemical analysis.

Western blot - Anti-ADAMTSL4 antibody (AB223728)
  • WB

Supplier Data

Western blot - Anti-ADAMTSL4 antibody (AB223728)

All lanes:

Western blot - Anti-ADAMTSL4 antibody (ab223728) at 1/500 dilution

All lanes:

BEWO cell lysate

Predicted band size: 117 kDa

false

Key facts

Host species

Rabbit

Clonality

Polyclonal

Isotype

IgG

Carrier free

No

Reacts with

Human

Applications

IHC-P, WB

applications

Immunogen

Recombinant Fragment Protein within Human ADAMTSL4 aa 550-750. The exact immunogen used to generate this antibody is proprietary information.

Q6UY14

Reactivity data

{ "title": "Reactivity Data", "filters": { "stats": ["", "Species", "Dilution Info", "Notes"], "tabs": { "all-applications": {"fullname" : "All Applications", "shortname": "All Applications"}, "IHCP" : {"fullname" : "Immunohistochemistry (Formalin/PFA-fixed paraffin-embedded sections)", "shortname":"IHC-P"}, "WB" : {"fullname" : "Western blot", "shortname":"WB"} }, "product-promise": { "all": "all", "testedAndGuaranteed": "tested", "guaranteed": "expected", "predicted": "predicted", "notRecommended": "not-recommended" } }, "values": { "Human": { "IHCP-species-checked": "testedAndGuaranteed", "IHCP-species-dilution-info": "1/50 - 1/200", "IHCP-species-notes": "<p></p> Perform heat-mediated antigen retrieval with citrate buffer pH 6 before commencing with IHC staining protocol.", "WB-species-checked": "testedAndGuaranteed", "WB-species-dilution-info": "0.04-0.4 µg/mL", "WB-species-notes": "<p></p>" } } }

Properties and storage information

Form
Liquid
Purification technique
Affinity purification Immunogen
Storage buffer
pH: 7.2 Preservative: 0.02% Sodium azide Constituents: PBS, 40% Glycerol (glycerin, glycerine)
Shipped at conditions
Blue Ice
Appropriate short-term storage duration
1-2 weeks
Appropriate short-term storage conditions
+4°C
Appropriate long-term storage conditions
-20°C
Aliquoting information
Upon delivery aliquot
Storage information
Avoid freeze / thaw cycle

Supplementary information

This supplementary information is collated from multiple sources and compiled automatically.

ADAMTSL4 also known as ADAMTS-like protein 4 is a glycoprotein with a molecular mass approximately 80 kDa. This protein does not contain protease activity but shares structural similarities with the ADAMTS family. It is primarily expressed in ocular tissues including the retina lens and corneal epithelium as well as in heart and skin tissues. The primary structure of ADAMTSL4 lacks the catalytic domain typical of other ADAMTS proteins but retains features important for protein interactions which influence tissue stability and extracellular matrix organization.
Biological function summary

ADAMTSL4 plays a role in maintaining the structural integrity of the extracellular matrix in tissues where it is present. It doesn’t function as part of a complex but contributes to processes that stabilize connective tissues. The protein likely interacts with other extracellular matrix proteins to regulate the proper assembly of microfibrils which are important for tissue strength and elasticity. Disruptions in this function could compromise tissue stability impacting various biological systems.

Pathways

Researchers have identified that ADAMTSL4 interacts within the extracellular matrix organization and elastic fiber formation pathways. In these pathways ADAMTSL4 regulates the assembly and turnover of microfibrillar components alongside proteins like fibrillin-1 and latent transforming growth factor-binding proteins. This ensures the appropriate composition and functionality of fibrillar structures. Understanding these interactions is important for elucidating the molecular mechanisms that maintain connective tissue architecture.

Mutations in ADAMTSL4 have a strong link to ocular pathologies such as ectopia lentis and autosomal recessive eye disorders like isolated ectopia lentis. The protein’s dysfunction often involves impaired microfibril formation or maintenance within the eye leading to lens dislocation. The impaired interaction with proteins like fibrillin-1 can exacerbate the displacement of lens fibers further contributing to these conditions. These associations emphasize the need for further study concerning therapeutic interventions targeting ADAMTSL4-related pathways.

Product protocols

For this product, it's our understanding that no specific protocols are required. You can visit:

Target data

Positive regulation of apoptosis. May facilitate FBN1 microfibril biogenesis.
See full target information ADAMTSL4

Publications (1)

Recent publications for all applications. Explore the full list and refine your search

World journal of gastrointestinal oncology 16:787-797 PubMed38577466

2024

High patatin like phospholipase domain containing 8 expression as a biomarker for poor prognosis of colorectal cancer.

Applications

Unspecified application

Species

Unspecified reactive species

Peng-Yang Zhou,De-Xiang Zhu,Yi-Jiao Chen,Qing-Yang Feng,Yi-Hao Mao,Ao-Bo Zhuang,Jian-Min Xu
View all publications

Product promise

We are committed to supporting your work with high-quality reagents, and we're here for you every step of the way. In the unlikely event that one of our products does not perform as expected, you're protected by our Product Promise.
For full details, please see our Terms & Conditions

Please note: All products are 'FOR RESEARCH USE ONLY. NOT FOR USE IN DIAGNOSTIC OR THERAPEUTIC PROCEDURES'.

For licensing inquiries, please contact partnerships@abcam.com