JavaScript is disabled in your browser. Please enable JavaScript to view this website.
AB240029

Anti-ADAR1 antibody [EPR7033] - BSA and Azide free

Be the first to review this product! Submit a review

|

(1 Publication)

Rabbit Recombinant Monoclonal ADAR1 antibody. Carrier free. Suitable for IHC-P, WB, Flow Cyt (Intra) and reacts with Human samples. Cited in 1 publication.

View Alternative Names

ADAR1, DSRAD, G1P1, IFI4, ADAR, Double-stranded RNA-specific adenosine deaminase, DRADA, 136 kDa double-stranded RNA-binding protein, Interferon-inducible protein 4, K88DSRBP, p136, IFI-4

3 Images
Flow Cytometry (Intracellular) - Anti-ADAR1 antibody [EPR7033] - BSA and Azide free (AB240029)
  • Flow Cyt (Intra)

Unknown

Flow Cytometry (Intracellular) - Anti-ADAR1 antibody [EPR7033] - BSA and Azide free (AB240029)

Intracellular flow cytometric analysis of permeabilized Ramos cells, staining ADAR1 (red) with ab126745. 1x106 cells were collected and washed with blocking buffer. Cells were fixed with 2% paraformaldehyde, permeabilized with 1X FACS permeabilizing solution and blocked with blocking buffer for 30 minutes at room temperature. Cells were incubated with primary antibody (1/10) for 30 minutes at room temperature before a Fluorescently-conjugated secondary antibody or 30 min at room temperature. A rabbit IgG was used as a negative control (green). This data was developed using the same antibody clone in a different buffer formulation containing PBS, BSA, glycerol, and sodium azide (ab126745).

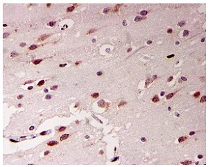
Immunohistochemistry (Formalin/PFA-fixed paraffin-embedded sections) - Anti-ADAR1 antibody [EPR7033] - BSA and Azide free (AB240029)
  • IHC-P

Unknown

Immunohistochemistry (Formalin/PFA-fixed paraffin-embedded sections) - Anti-ADAR1 antibody [EPR7033] - BSA and Azide free (AB240029)

ab126745, at 1/50 dilution, staining ADAR1 in paraffin-embedded Human brain tissue by Immunohistochemistry.

This data was developed using the same antibody clone in a different buffer formulation containing PBS, BSA, glycerol, and sodium azide (ab126745).

Perform heat mediated antigen retrieval with citrate buffer pH 6 before commencing with IHC staining protocol.

Western blot - Anti-ADAR1 antibody [EPR7033] - BSA and Azide free (AB240029)
  • WB

Lab

Western blot - Anti-ADAR1 antibody [EPR7033] - BSA and Azide free (AB240029)

This data was developed using the same antibody clone in a different buffer formulation (ab126745).

Lanes 1-3 : Merged signal (red and green). Green - ab126745 observed at 130 kDa. Red - loading control ab8245 observed at 36 kDa.

ab126745 Anti-ADAR1 antibody [EPR7033] was shown to specifically react with ADAR1 in wild-type HEK293T cells. Loss of signal was observed when knockout cell line ab266846 (knockout cell lysate ab257131) was used. Wild-type and ADAR1 knockout samples were subjected to SDS-PAGE. ab126745 and Anti-GAPDH antibody [6C5] - Loading Control (ab8245) were incubated overnight at 4°C at 1 in 1000 dilution and 1 in 20000 dilution respectively. Blots were developed with Goat anti-Rabbit IgG H&L (IRDye® 800CW) preadsorbed (ab216773) and Goat anti-Mouse IgG H&L (IRDye® 680RD) preadsorbed (ab216776) secondary antibodies at 1 in 20000 dilution for 1 hour at room temperature before imaging.

All lanes:

Western blot - Anti-ADAR1 antibody [EPR7033] (<a href='/en-us/products/primary-antibodies/adar1-antibody-epr7033-ab126745'>ab126745</a>) at 1/1000 dilution

Lane 1:

Wild-type HEK293T cell lysate at 20 µg

Lane 2:

ADAR knockout HEK293T cell lysate at 20 µg

Lane 2:

Western blot - Human ADAR (ADAR1) knockout HEK-293T cell line (<a href='/en-us/products/cell-lines/human-adar-adar1-knockout-hek-293t-cell-line-ab266846'>ab266846</a>)

Lane 3:

HeLa cell lysate at 20 µg

Secondary

All lanes:

Western blot - Goat anti-Rabbit IgG H&L (IRDye® 800CW) preadsorbed (<a href='/en-us/products/secondary-antibodies/goat-rabbit-igg-h-l-irdye-800cw-preadsorbed-ab216773'>ab216773</a>) at 1/10000 dilution

Predicted band size: 136 kDa,19 kDa,29 kDa,35 kDa,36 kDa

Observed band size: 130 kDa,20 kDa,29 kDa,35 kDa,36 kDa

false

Key facts

Host species

Rabbit

Clonality

Monoclonal

Clone number

EPR7033

Isotype

IgG

Carrier free

Yes

Reacts with

Human

Applications

Flow Cyt (Intra), IHC-P, WB

applications

Immunogen

The exact immunogen used to generate this antibody is proprietary information.

Specificity

The immunogen is designed to detect the p150 isoform and not the p110.

Reactivity data

{ "title": "Reactivity Data", "filters": { "stats": ["", "Species", "Dilution Info", "Notes"], "tabs": { "all-applications": {"fullname" : "All Applications", "shortname": "All Applications"}, "IHCP" : {"fullname" : "Immunohistochemistry (Formalin/PFA-fixed paraffin-embedded sections)", "shortname":"IHC-P"}, "IP" : {"fullname" : "Immunoprecipitation", "shortname":"IP"}, "WB" : {"fullname" : "Western blot", "shortname":"WB"}, "ICCIF" : {"fullname" : "Immunocytochemistry/ Immunofluorescence", "shortname":"ICC/IF"}, "FlowCytIntra" : {"fullname" : "Flow Cytometry (Intracellular)", "shortname":"Flow Cyt (Intra)"} }, "product-promise": { "all": "all", "testedAndGuaranteed": "tested", "guaranteed": "expected", "predicted": "predicted", "notRecommended": "not-recommended" } }, "values": { "Human": { "IHCP-species-checked": "testedAndGuaranteed", "IHCP-species-dilution-info": "", "IHCP-species-notes": "<p></p>", "IP-species-checked": "notRecommended", "IP-species-dilution-info": "", "IP-species-notes": "<p></p>", "WB-species-checked": "testedAndGuaranteed", "WB-species-dilution-info": "", "WB-species-notes": "<p></p>", "ICCIF-species-checked": "notRecommended", "ICCIF-species-dilution-info": "", "ICCIF-species-notes": "<p></p>", "FlowCytIntra-species-checked": "testedAndGuaranteed", "FlowCytIntra-species-dilution-info": "", "FlowCytIntra-species-notes": "<p><a href='/en-us/products/primary-antibodies/rabbit-igg-monoclonal-epr25a-isotype-control-low-endotoxin-azide-free-ab199376'>ab199376</a> - Rabbit monoclonal IgG, is suitable for use as an isotype control with this antibody.</p>" } } }

Product details

ab240029 is the carrier-free version of ab126745.

Species reactivity
Mouse, Rat: We have preliminary internal testing data to indicate this antibody may not react with these species.
Please contact us for more information.

Patented technology
Our RabMAb® technology is a patented hybridoma-based technology for making rabbit monoclonal antibodies. For details on our patents, please refer to RabMAb® patents.

What are the advantages of a recombinant monoclonal antibody?
This product is a recombinant monoclonal antibody, which offers several advantages including:

  • - High batch-to-batch consistency and reproducibility
  • - Improved sensitivity and specificity
  • - Long-term security of supply
  • - Animal-free batch production

For more information, read more on recombinant antibodies.

Conjugation ready
Our carrier-free antibodies are typically supplied in a PBS-only formulation, purified and free of BSA, sodium azide and glycerol. This conjugation-ready format is designed for use with fluorochromes, metal isotopes, oligonucleotides, and enzymes, which makes them ideal for antibody labelling, functional and cell-based assays, flow-based assays (e.g. mass cytometry) and Multiplex Imaging applications.

Use our conjugation kits for antibody conjugates that are ready-to-use in as little as 20 minutes with 1 minute hands-on-time and 100% antibody recovery: available for fluorescent dyes, HRP, biotin and gold.

Compatibility
This product is compatible with the Maxpar® Antibody Labeling Kit from Fluidigm, without the need for antibody preparation. Maxpar® is a trademark of Fluidigm Canada Inc.

Properties and storage information

Form
Liquid
Purification technique
Affinity purification Protein A
Storage buffer
pH: 7.2 - 7.4 Constituents: PBS
Shipped at conditions
Blue Ice
Appropriate short-term storage conditions
+4°C
Appropriate long-term storage conditions
+4°C
Storage information
Do Not Freeze

Supplementary information

This supplementary information is collated from multiple sources and compiled automatically.

ADAR1 also known as RNA-specific adenosine deaminase 1 or ADAR is an enzyme with a mass of approximately 150 kDa. This protein targets double-stranded RNA (dsRNA) and acts mechanistically to convert adenosine to inosine in pre-mRNA sequences a process known as A-to-I RNA editing. ADAR1 is expressed in numerous tissues with high levels in the brain liver and lungs. Its localization within cells can vary often found in both the nucleus and cytoplasm which influences its function.
Biological function summary

ADAR1 plays a role in the regulation of RNA molecules affecting their stability and translation. It is linked to the editosome complex working alongside other proteins to perform RNA editing tasks. By modifying the coding potential of mRNAs ADAR1 contributes to the diversity of proteomes and helps manage the responses to viral RNAs giving the immune system tools to recognize endogenous and exogenous RNA.

Pathways

ADAR1 is significant in the interferon signaling pathway and RNA processing pathways. It operates in coordination with proteins like PKR which is involved in the response to viral infections. ADAR1 ensures that the immune response is not directed against the self highlighting its role in the regulation of the innate immune system. These pathways are critical in maintaining homeostasis and preventing unchecked immune responses.

Mutations or dysregulation of ADAR1 have associations with autoimmune diseases like Aicardi-Goutieres syndrome and certain cancers. The enzyme's role in editing RNA makes it essential in preventing inappropriate immune attacks against the body's own cells highlighting its interaction with MDA5 another protein involved in immune regulation. Understanding ADAR1 and its related pathways may offer potential therapeutic targets for these conditions including exploration into ADAR1 inhibitors as interventions.

Product protocols

For this product, it's our understanding that no specific protocols are required. You can visit:

Target data

Catalyzes the hydrolytic deamination of adenosine to inosine in double-stranded RNA (dsRNA) referred to as A-to-I RNA editing (PubMed : 12618436, PubMed : 7565688, PubMed : 7972084). This may affect gene expression and function in a number of ways that include mRNA translation by changing codons and hence the amino acid sequence of proteins since the translational machinery read the inosine as a guanosine; pre-mRNA splicing by altering splice site recognition sequences; RNA stability by changing sequences involved in nuclease recognition; genetic stability in the case of RNA virus genomes by changing sequences during viral RNA replication; and RNA structure-dependent activities such as microRNA production or targeting or protein-RNA interactions. Can edit both viral and cellular RNAs and can edit RNAs at multiple sites (hyper-editing) or at specific sites (site-specific editing). Its cellular RNA substrates include : bladder cancer-associated protein (BLCAP), neurotransmitter receptors for glutamate (GRIA2) and serotonin (HTR2C) and GABA receptor (GABRA3). Site-specific RNA editing of transcripts encoding these proteins results in amino acid substitutions which consequently alters their functional activities. Exhibits low-level editing at the GRIA2 Q/R site, but edits efficiently at the R/G site and HOTSPOT1. Its viral RNA substrates include : hepatitis C virus (HCV), vesicular stomatitis virus (VSV), measles virus (MV), hepatitis delta virus (HDV), and human immunodeficiency virus type 1 (HIV-1). Exhibits either a proviral (HDV, MV, VSV and HIV-1) or an antiviral effect (HCV) and this can be editing-dependent (HDV and HCV), editing-independent (VSV and MV) or both (HIV-1). Impairs HCV replication via RNA editing at multiple sites. Enhances the replication of MV, VSV and HIV-1 through an editing-independent mechanism via suppression of EIF2AK2/PKR activation and function. Stimulates both the release and infectivity of HIV-1 viral particles by an editing-dependent mechanism where it associates with viral RNAs and edits adenosines in the 5'UTR and the Rev and Tat coding sequence. Can enhance viral replication of HDV via A-to-I editing at a site designated as amber/W, thereby changing an UAG amber stop codon to an UIG tryptophan (W) codon that permits synthesis of the large delta antigen (L-HDAg) which has a key role in the assembly of viral particles. However, high levels of ADAR1 inhibit HDV replication.
See full target information ADAR

Publications (1)

Recent publications for all applications. Explore the full list and refine your search

Brain sciences 12: PubMed35625066

2022

Distribution of Adiponectin Receptors in the Brain of Adult Mouse: Effect of a Single Dose of the Adiponectin Receptor Agonist, AdipoRON, on Ischemic Stroke.

Applications

Unspecified application

Species

Unspecified reactive species

Julien Clain,David Couret,Cynthia Planesse,Pascale Krejbich-Trotot,Olivier Meilhac,Christian Lefebvre d'Hellencourt,Wildriss Viranaicken,Nicolas Diotel
View all publications

Product promise

We are committed to supporting your work with high-quality reagents, and we're here for you every step of the way. In the unlikely event that one of our products does not perform as expected, you're protected by our Product Promise.
For full details, please see our Terms & Conditions

Please note: All products are 'FOR RESEARCH USE ONLY. NOT FOR USE IN DIAGNOSTIC OR THERAPEUTIC PROCEDURES'.

For licensing inquiries, please contact partnerships@abcam.com