JavaScript is disabled in your browser. Please enable JavaScript to view this website.
AB122280

Anti-ADAT2 antibody

3

(2 Reviews)

|

(2 Publications)

Rabbit Polyclonal ADAT2 antibody. Suitable for IHC-P, ICC and reacts with Human samples. Cited in 2 publications. Immunogen corresponding to Recombinant Fragment Protein within Human ADAT2 aa 1-100.

View Alternative Names

DEADC1, ADAT2, tRNA-specific adenosine deaminase 2, Deaminase domain-containing protein 1, tRNA-specific adenosine-34 deaminase subunit ADAT2

5 Images
Immunocytochemistry - Anti-ADAT2 antibody (AB122280)
  • ICC

Unknown

Immunocytochemistry - Anti-ADAT2 antibody (AB122280)

Immunocytochemistry/immunofluorescence analysis of human cell line HeLa labelling with ab122280 at 2 μg/mL shows localization to cytosol & the Golgi apparatus.

Immunohistochemistry (Formalin/PFA-fixed paraffin-embedded sections) - Anti-ADAT2 antibody (AB122280)
  • IHC-P

Supplier Data

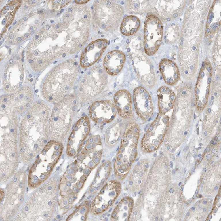
Immunohistochemistry (Formalin/PFA-fixed paraffin-embedded sections) - Anti-ADAT2 antibody (AB122280)

Immunohistochemistry (Formalin/PFA-fixed paraffin-embedded sections) analysis of human kidney tissue labelling ADAT2 with ab122280 at 1/50 dilution. Heat mediated antigen retrieval performed with citrate buffer pH 6 before commencing with IHC staining protocol.

Immunohistochemistry (Formalin/PFA-fixed paraffin-embedded sections) - Anti-ADAT2 antibody (AB122280)
  • IHC-P

Supplier Data

Immunohistochemistry (Formalin/PFA-fixed paraffin-embedded sections) - Anti-ADAT2 antibody (AB122280)

Immunohistochemistry (Formalin/PFA-fixed paraffin-embedded sections) analysis of human stomach tissue labelling ADAT2 with ab122280 at 1/50 dilution. Heat mediated antigen retrieval performed with citrate buffer pH 6 before commencing with IHC staining protocol.

Immunohistochemistry (Formalin/PFA-fixed paraffin-embedded sections) - Anti-ADAT2 antibody (AB122280)
  • IHC-P

Supplier Data

Immunohistochemistry (Formalin/PFA-fixed paraffin-embedded sections) - Anti-ADAT2 antibody (AB122280)

Immunohistochemistry (Formalin/PFA-fixed paraffin-embedded sections) analysis of human cerebellum tissue labelling ADAT2 with ab122280 at 1/50 dilution. Heat mediated antigen retrieval performed with citrate buffer pH 6 before commencing with IHC staining protocol.

Immunohistochemistry (Formalin/PFA-fixed paraffin-embedded sections) - Anti-ADAT2 antibody (AB122280)
  • IHC-P

Supplier Data

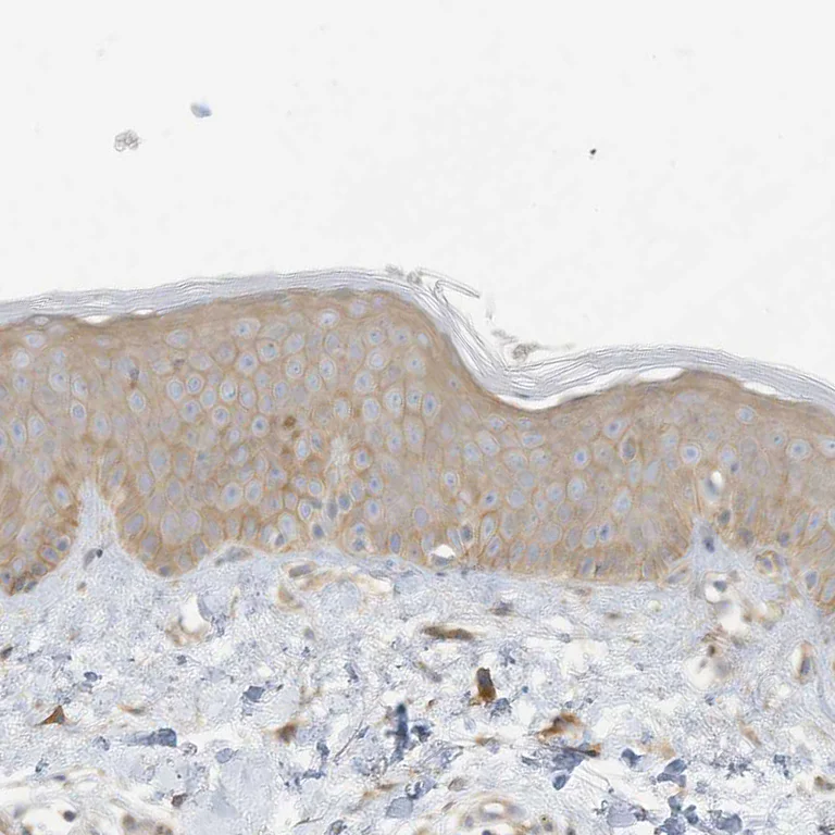
Immunohistochemistry (Formalin/PFA-fixed paraffin-embedded sections) - Anti-ADAT2 antibody (AB122280)

Immunohistochemistry (Formalin/PFA-fixed paraffin-embedded sections) analysis of human skin tissue labelling ADAT2 with ab122280 at 1/50 dilution. Heat mediated antigen retrieval performed with citrate buffer pH 6 before commencing with IHC staining protocol.

Key facts

Host species

Rabbit

Clonality

Polyclonal

Isotype

IgG

Carrier free

No

Reacts with

Human

Applications

ICC, IHC-P

applications

Immunogen

Recombinant Fragment Protein within Human ADAT2 aa 1-100. The exact immunogen used to generate this antibody is proprietary information.

Q7Z6V5

Reactivity data

{ "title": "Reactivity Data", "filters": { "stats": ["", "Species", "Dilution Info", "Notes"], "tabs": { "all-applications": {"fullname" : "All Applications", "shortname": "All Applications"}, "IHCP" : {"fullname" : "Immunohistochemistry (Formalin/PFA-fixed paraffin-embedded sections)", "shortname":"IHC-P"}, "ICC" : {"fullname" : "Immunocytochemistry", "shortname":"ICC"} }, "product-promise": { "all": "all", "testedAndGuaranteed": "tested", "guaranteed": "expected", "predicted": "predicted", "notRecommended": "not-recommended" } }, "values": { "Human": { "IHCP-species-checked": "testedAndGuaranteed", "IHCP-species-dilution-info": "1/50 - 1/200", "IHCP-species-notes": "<p></p> Perform heat-mediated antigen retrieval with citrate buffer pH 6 before commencing with IHC staining protocol.", "ICC-species-checked": "testedAndGuaranteed", "ICC-species-dilution-info": "", "ICC-species-notes": "<p></p>" } } }

Properties and storage information

Form
Liquid
Purification technique
Affinity purification Immunogen
Storage buffer
pH: 7.2 Preservative: 0.02% Sodium azide Constituents: PBS, 40% Glycerol (glycerin, glycerine)
Shipped at conditions
Blue Ice
Appropriate short-term storage conditions
+4°C
Appropriate long-term storage conditions
-20°C
Aliquoting information
Upon delivery aliquot
Storage information
Avoid freeze / thaw cycle

Supplementary information

This supplementary information is collated from multiple sources and compiled automatically.

ADAT2 also known as ADAT2 deaminase plays an important role in RNA editing by converting adenosines to inosines in tRNA molecules. This deaminase has a mass of roughly 50 kDa and is widely expressed in various tissues. Its presence is important for maintaining RNA stability and accurate coding which together plays pivotal part in protein synthesis.
Biological function summary

ADAT2 works as part of the ADAT complex that includes ADAT3. This complex specifically targets anticodon regions of tRNAs. The conversion of adenosine to inosine by ADAT2 changes the reading of certain codons allowing for proper interpretation of genetic code elements important for cell function and viability. ADAT2’s activity impacts the modification process essential for accurate protein translation.

Pathways

Four important mechanisms involve ADAT2 in RNA metabolic processes. It plays an integral role in the post-transcriptional modification of RNA particularly within the tRNA maturation pathway. This pathway collaborates with proteins such as ADAT3 and their interaction governs fidelity in transcribing genetic information into proteins. The editing by ADAT2 ensures that tRNA molecules can correctly interpret codons during translation.

Four recognized conditions involve faulty ADAT2 activity: one is neurodevelopmental disorders where genetic mutations affecting its function impact brain development. Another is some types of cancer where RNA editing disruptions play part in tumorigenic processes. These diseases can involve interactions with other proteins like ADAT3 that need for proper RNA editing balance. Understanding these interactions may help in developing therapeutic strategies targeting RNA editing mechanisms.

Product protocols

For this product, it's our understanding that no specific protocols are required. You can visit:

Target data

Probably participates in deamination of adenosine-34 to inosine in many tRNAs.
See full target information ADAT2

Publications (2)

Recent publications for all applications. Explore the full list and refine your search

Cell stem cell 30:300-311.e11 PubMed36764294

2023

Epitranscriptomic regulation of cortical neurogenesis via Mettl8-dependent mitochondrial tRNA mC modification.

Applications

Unspecified application

Species

Unspecified reactive species

Feng Zhang,Kijun Yoon,Daniel Y Zhang,Nam-Shik Kim,Guo-Li Ming,Hongjun Song

Evolution; international journal of organic evolution 74:2451-2464 PubMed32989734

2020

Short-term heritable variation overwhelms 200 generations of mutational variance for metabolic traits in Caenorhabditis elegans.

Applications

Unspecified application

Species

Unspecified reactive species

Lindsay M Johnson,Olivia J Smith,Daniel A Hahn,Charles F Baer
View all publications

Product promise

We are committed to supporting your work with high-quality reagents, and we're here for you every step of the way. In the unlikely event that one of our products does not perform as expected, you're protected by our Product Promise.
For full details, please see our Terms & Conditions

Please note: All products are 'FOR RESEARCH USE ONLY. NOT FOR USE IN DIAGNOSTIC OR THERAPEUTIC PROCEDURES'.

For licensing inquiries, please contact partnerships@abcam.com