JavaScript is disabled in your browser. Please enable JavaScript to view this website.
AB251821

Anti-Adducin 2 antibody

Be the first to review this product! Submit a review

|

(2 Publications)

Rabbit Polyclonal ADDB antibody. Suitable for IHC-P, WB and reacts with Human samples. Cited in 2 publications. Immunogen corresponding to Recombinant Fragment Protein within Human ADD2 aa 50-200.

View Alternative Names

ADDB, ADD2, Beta-adducin, Erythrocyte adducin subunit beta

3 Images
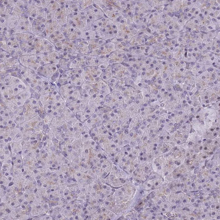
Immunohistochemistry (Formalin/PFA-fixed paraffin-embedded sections) - Anti-Adducin 2 antibody (AB251821)
  • IHC-P

Unknown

Immunohistochemistry (Formalin/PFA-fixed paraffin-embedded sections) - Anti-Adducin 2 antibody (AB251821)

Paraffin-embedded human pancreas tissue stained for Adducin 2 using ab251821 at 1/200 dilution in immunohistochemical analysis. Low expression, as expected.

Immunohistochemistry (Formalin/PFA-fixed paraffin-embedded sections) - Anti-Adducin 2 antibody (AB251821)
  • IHC-P

Unknown

Immunohistochemistry (Formalin/PFA-fixed paraffin-embedded sections) - Anti-Adducin 2 antibody (AB251821)

Paraffin-embedded human cerebral cortex tissue stained for Adducin 2 using ab251821 at 1/200 dilution in immunohistochemical analysis.

Western blot - Anti-Adducin 2 antibody (AB251821)
  • WB

Unknown

Western blot - Anti-Adducin 2 antibody (AB251821)

All lanes:

Western blot - Anti-Adducin 2 antibody (ab251821) at 0.4 µg/mL

Lane 1:

RT4 (human urinary bladder cancer cell line) whole cell lysate

Lane 2:

U-2521 MG (human brain glioma cell line) whole cell lysate

Lane 3:

Human plasma (IgG/HSA depleted)

Lane 4:

Human liver lysate

Lane 5:

Human tonsil lysate

Predicted band size: 81 kDa

false

Key facts

Host species

Rabbit

Clonality

Polyclonal

Isotype

IgG

Carrier free

No

Reacts with

Human

Applications

IHC-P, WB

applications

Immunogen

Recombinant Fragment Protein within Human ADD2 aa 50-200. The exact immunogen used to generate this antibody is proprietary information.

P35612

Reactivity data

{ "title": "Reactivity Data", "filters": { "stats": ["", "Species", "Dilution Info", "Notes"], "tabs": { "all-applications": {"fullname" : "All Applications", "shortname": "All Applications"}, "IHCP" : {"fullname" : "Immunohistochemistry (Formalin/PFA-fixed paraffin-embedded sections)", "shortname":"IHC-P"}, "WB" : {"fullname" : "Western blot", "shortname":"WB"} }, "product-promise": { "all": "all", "testedAndGuaranteed": "tested", "guaranteed": "expected", "predicted": "predicted", "notRecommended": "not-recommended" } }, "values": { "Human": { "IHCP-species-checked": "testedAndGuaranteed", "IHCP-species-dilution-info": "1/200 - 1/500", "IHCP-species-notes": "<p></p> Perform heat-mediated antigen retrieval with citrate buffer pH 6 before commencing with IHC staining protocol.", "WB-species-checked": "testedAndGuaranteed", "WB-species-dilution-info": "0.04-0.4 µg/mL", "WB-species-notes": "<p></p>" }, "Mouse": { "IHCP-species-checked": "predicted", "IHCP-species-dilution-info": "", "IHCP-species-notes": "", "WB-species-checked": "predicted", "WB-species-dilution-info": "", "WB-species-notes": "" }, "Rat": { "IHCP-species-checked": "predicted", "IHCP-species-dilution-info": "", "IHCP-species-notes": "", "WB-species-checked": "predicted", "WB-species-dilution-info": "", "WB-species-notes": "" }, "Orangutan": { "IHCP-species-checked": "predicted", "IHCP-species-dilution-info": "", "IHCP-species-notes": "", "WB-species-checked": "predicted", "WB-species-dilution-info": "", "WB-species-notes": "" } } }

Properties and storage information

Form
Liquid
Purification technique
Affinity purification Immunogen
Storage buffer
pH: 7.2 Preservative: 0.02% Sodium azide Constituents: PBS, 40% Glycerol (glycerin, glycerine)
Shipped at conditions
Blue Ice
Appropriate short-term storage duration
1-2 weeks
Appropriate short-term storage conditions
+4°C
Appropriate long-term storage conditions
-20°C
Aliquoting information
Upon delivery aliquot
Storage information
Avoid freeze / thaw cycle

Supplementary information

This supplementary information is collated from multiple sources and compiled automatically.

Adducin 2 also known as ADD2 is an important cytoskeletal protein involved in the regulation of the actin-spectrin lattice an important structural component of the cell membrane. This protein has a molecular mass of approximately 83 kDa and is mainly expressed in brain and erythrocytes. Together with alpha-adducin ADD2 forms heterodimers or heterotrimers playing a significant role in maintaining cell shape and stability by promoting the association of the spectrin-actin lattice with the cell membrane.
Biological function summary

Adducin 2 influences the architecture of the cytoskeleton by binding to actin filaments and recruiting spectrin facilitating the assembly of a robust spectrin-actin network. Adducin 2 functions within a protein complex known as the spectrin-actin cytoskeletal assembly ensuring the mechanical integrity of the cell. Its function is critical in neurons where it has a role in influencing cellular shape signal transduction and stability of synaptic structures.

Pathways

The actin-associated role of Adducin 2 integrates within the Rho GTPase signaling pathway and the ERK/MAPK signaling pathway. Through these pathways Adducin 2 interacts with proteins such as RhoA and ERK orchestrating cytoskeletal arrangements and cellular dynamics. These interactions enable cellular processes like signal transduction which impact cell movement and shape alterations therefore playing a part in cell migration and neural plasticity.

Adducin 2 relates to hypertension and neurodegenerative disorders. Abnormal expression or functioning of the Adducin 2 protein impairs the cell's structural integrity potentially leading to changes in blood pressure with ADD1 being another involved protein when considering its role in blood pressure regulation. The perturbation in Adducin 2’s function also links with synaptic dysfunctions contributing to neurodegenerative conditions with cross-interactions involving proteins like spectrin notable in the pathophysiology of certain neural disorders.

Product protocols

For this product, it's our understanding that no specific protocols are required. You can visit:

Target data

Membrane-cytoskeleton-associated protein that promotes the assembly of the spectrin-actin network. Binds to the erythrocyte membrane receptor SLC2A1/GLUT1 and may therefore provide a link between the spectrin cytoskeleton to the plasma membrane. Binds to calmodulin. Calmodulin binds preferentially to the beta subunit.
See full target information ADD2

Publications (2)

Recent publications for all applications. Explore the full list and refine your search

Breast cancer (Dove Medical Press) 17:755-779 PubMed40904351

2025

Bystin is a Prognosis and Immune Biomarker: From Pan-Cancer Analysis to Validation in Breast Cancer.

Applications

Unspecified application

Species

Unspecified reactive species

Xiyidan Aimaiti,Yiyang Wang,Dilimulati Ismtula,Yongxiang Li,Haotian Ma,Junyi Wang,Dilraba Elihamu,Chenming Guo

Nature communications 12:1172 PubMed33608523

2021

20S proteasomes secreted by the malaria parasite promote its growth.

Applications

Unspecified application

Species

Unspecified reactive species

Elya Dekel,Dana Yaffe,Irit Rosenhek-Goldian,Gili Ben-Nissan,Yifat Ofir-Birin,Mattia I Morandi,Tamar Ziv,Xavier Sisquella,Matthew A Pimentel,Thomas Nebl,Eugene Kapp,Yael Ohana Daniel,Paula Abou Karam,Daniel Alfandari,Ron Rotkopf,Shimrit Malihi,Tal Block Temin,Debakshi Mullick,Or-Yam Revach,Ariel Rudik,Nir S Gov,Ido Azuri,Ziv Porat,Giulia Bergamaschi,Raya Sorkin,Gijs J L Wuite,Ori Avinoam,Teresa G Carvalho,Sidney R Cohen,Michal Sharon,Neta Regev-Rudzki
View all publications

Product promise

We are committed to supporting your work with high-quality reagents, and we're here for you every step of the way. In the unlikely event that one of our products does not perform as expected, you're protected by our Product Promise.
For full details, please see our Terms & Conditions

Please note: All products are 'FOR RESEARCH USE ONLY. NOT FOR USE IN DIAGNOSTIC OR THERAPEUTIC PROCEDURES'.

For licensing inquiries, please contact partnerships@abcam.com