JavaScript is disabled in your browser. Please enable JavaScript to view this website.
AB325120

Anti-Adenine Nucleotide Translocator 2/ANT 2 antibody [EPR29813-534]

  • RabMAb
  • Recombinant
  • 20ul selling size
  • Advanced Validation
  • What is this?

Be the first to review this product! Submit a review

|

(0 Publication)

Rabbit Recombinant Monoclonal Adenine Nucleotide Translocator 2/ANT 2 antibody. Suitable for WB, ICC/IF, IHC-P, mIHC and reacts with Transfected cell lysate - Human, Human, Mouse, Rat samples.

View Alternative Names

AAC2, ANT2, SLC25A5, ADP/ATP translocase 2, Adenine nucleotide translocator 2, Solute carrier family 25 member 5, ANT 2

14 Images
Immunocytochemistry/ Immunofluorescence - Anti-Adenine Nucleotide Translocator 2/ANT 2 antibody [EPR29813-534] (AB325120)
  • ICC/IF

Supplier Data

Immunocytochemistry/ Immunofluorescence - Anti-Adenine Nucleotide Translocator 2/ANT 2 antibody [EPR29813-534] (AB325120)

Immunofluorescent analysis of 4% Paraformaldehyde-fixed, 0.1% TritonX-100 permeabilized HeLa (human cervical adenocarcinoma epithelial cell) cells labelling Adenine Nucleotide Translocator 2/ANT 2 with ab325120 at 1/50 (10.0 ug/ml) dilution, followed by ab150081 Goat Anti-Rabbit IgG H&L (Alexa Fluor® 488) preadsorbed antibody at 1/1000 dilution (Green).

Confocal image showing cytoplasmic staining in HeLa cell line, which is co-staining with mitochondrial marker (shown in magenta). The counterstain was observed in green. Nuclear DNA was labelled with DAPI (shown in blue). Image was taken with a confocal microscope (Leica-Microsystems, TCS SP8).

anti-COX IV mouse monoclonal antibody - Mitochondrial Marker was used to counterstain tubulin at 1/200 dilution (Magenta). The Nuclear counterstain was DAPI (Blue).

-ve control 1 : ab325120 at 1/50 dilution, followed by ab150120 Goat Anti-Mouse IgG H&L (Alexa Fluor® 594) at 1/1000 dilution.
-ve control 2 : anti-COX IV mouse monoclonal antibody - Mitochondrial Marker at 1/200 dilution, followed by ab150081 Goat Anti-Rabbit IgG H&L (Alexa Fluor® 488) at 1/1000 dilution.

Multiplex immunohistochemistry - Anti-Adenine Nucleotide Translocator 2/ANT 2 antibody [EPR29813-534] (AB325120)
  • mIHC

Supplier Data

Multiplex immunohistochemistry - Anti-Adenine Nucleotide Translocator 2/ANT 2 antibody [EPR29813-534] (AB325120)

Multiplex immunohistochemistry analysis of formalin/PFA-fixed paraffin-embedded human liver tissue staining Adenine Nucleotide Translocator 2/ANT 2 with ab325120 at a 1 : 100 (5.04 ug/ml) dilution, ab202554 anti-COX IV used at 1 : 500 (0.23 ug/ml) dilution.

Panel A : merged staining of anti-ANT 2 (green; Opal™520) and anti-COX IV (magenta; Opal™570) on human liver.
Panel B : anti-ANT 2 showed mitochondrial staining in human liver.
Panel C : anti-COX IV showed mitochondrial staining in human liver.
Panel D : Nuclear DNA was labeled with DAPI (shown in blue).

The section was incubated in three rounds of staining : in the order of ab325120 and ab202554 for 30 mins at room temperature. Each round was followed by a separate fluorescent tyramide signal amplification system.

The immunostaining was performed on a Leica Biosystems BOND® RX instrument with an Opal™ 4-color kit. Image acquisition was performed with Leica SP8 confocal microscope.

Nuclear counter stain with DAPI.

Heat mediated antigen retrieval with Tris-EDTA buffer (pH 9.0, epitope retrieval solution2) for 20 mins.

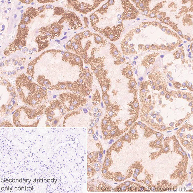
Immunohistochemistry (Formalin/PFA-fixed paraffin-embedded sections) - Anti-Adenine Nucleotide Translocator 2/ANT 2 antibody [EPR29813-534] (AB325120)
  • IHC-P

Supplier Data

Immunohistochemistry (Formalin/PFA-fixed paraffin-embedded sections) - Anti-Adenine Nucleotide Translocator 2/ANT 2 antibody [EPR29813-534] (AB325120)

Immunohistochemical analysis of paraffin-embedded Human kidney tissue labeling Adenine Nucleotide Translocator 2/ANT 2 with ab325120 at 1/100 (5.04 ug/ml) dilution, followed by a ready to use LeicaDS9800 (Bond™ Polymer Refine Detection).

Positive staining on human kidney.
The section was incubated with ab325120 for 30 mins at room temperature.
The immunostaining was performed on a Leica Biosystems BOND® RX instrument

Counterstained with Hematoxylin.

Secondary antibody only control : Secondary antibody is a ready to use LeicaDS9800 (Bond™ Polymer Refine Detection).

Heat mediated antigen retrieval was performed with Tris-EDTA buffer (pH 9.0, Epitope Retrieval Solution2) for 20 mins

Immunohistochemistry (Formalin/PFA-fixed paraffin-embedded sections) - Anti-Adenine Nucleotide Translocator 2/ANT 2 antibody [EPR29813-534] (AB325120)
  • IHC-P

Supplier Data

Immunohistochemistry (Formalin/PFA-fixed paraffin-embedded sections) - Anti-Adenine Nucleotide Translocator 2/ANT 2 antibody [EPR29813-534] (AB325120)

Immunohistochemical analysis of paraffin-embedded Human skeletal muscle tissue labeling Adenine Nucleotide Translocator 2/ANT 2 with ab325120 at 1/100 (5.04 ug/ml) dilution, followed by a ready to use LeicaDS9800 (Bond™ Polymer Refine Detection).

Low expression : weak staining on human skeletal muscle.
The section was incubated with ab325120 for 30 mins at room temperature.
The immunostaining was performed on a Leica Biosystems BOND® RX instrument

Counterstained with Hematoxylin.

Secondary antibody only control : Secondary antibody is a ready to use LeicaDS9800 (Bond™ Polymer Refine Detection).

Heat mediated antigen retrieval was performed with Tris-EDTA buffer (pH 9.0, Epitope Retrieval Solution2) for 20 mins

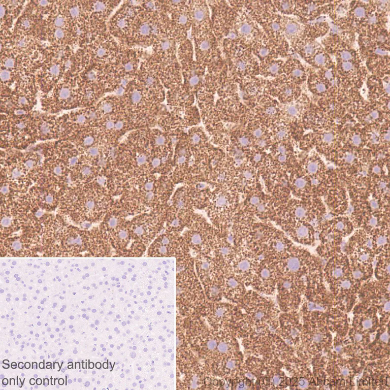
Immunohistochemistry (Formalin/PFA-fixed paraffin-embedded sections) - Anti-Adenine Nucleotide Translocator 2/ANT 2 antibody [EPR29813-534] (AB325120)
  • IHC-P

Supplier Data

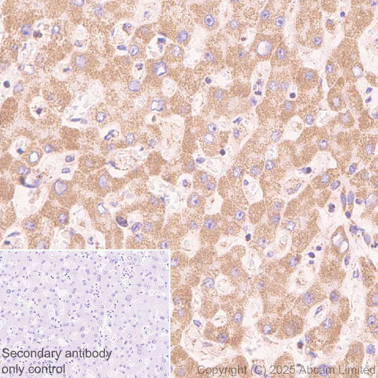
Immunohistochemistry (Formalin/PFA-fixed paraffin-embedded sections) - Anti-Adenine Nucleotide Translocator 2/ANT 2 antibody [EPR29813-534] (AB325120)

Immunohistochemical analysis of paraffin-embedded Human liver tissue labeling Adenine Nucleotide Translocator 2/ANT 2 with ab325120 at 1/100 (5.04 ug/ml) dilution, followed by a ready to use LeicaDS9800 (Bond™ Polymer Refine Detection).

Positive staining on human liver.
The section was incubated with ab325120 for 30 mins at room temperature.
The immunostaining was performed on a Leica Biosystems BOND® RX instrument

Counterstained with Hematoxylin.

Secondary antibody only control : Secondary antibody is a ready to use LeicaDS9800 (Bond™ Polymer Refine Detection).

Heat mediated antigen retrieval was performed with Tris-EDTA buffer (pH 9.0, Epitope Retrieval Solution2) for 20 mins

Immunohistochemistry (Formalin/PFA-fixed paraffin-embedded sections) - Anti-Adenine Nucleotide Translocator 2/ANT 2 antibody [EPR29813-534] (AB325120)
  • IHC-P

Supplier Data

Immunohistochemistry (Formalin/PFA-fixed paraffin-embedded sections) - Anti-Adenine Nucleotide Translocator 2/ANT 2 antibody [EPR29813-534] (AB325120)

Immunohistochemical analysis of paraffin-embedded Mouse liver tissue labeling Adenine Nucleotide Translocator 2/ANT 2 with ab325120 at 1/100 (5.04 ug/ml) dilution, followed by a ready to use LeicaDS9800 (Bond™ Polymer Refine Detection).

Positive staining on mouse liver (PMID : 27048932, PMID : 31489369).
The section was incubated with ab325120 for 30 mins at room temperature.
The immunostaining was performed on a Leica Biosystems BOND® RX instrument

Counterstained with Hematoxylin.

Secondary antibody only control : Secondary antibody is a ready to use LeicaDS9800 (Bond™ Polymer Refine Detection).

Heat mediated antigen retrieval was performed with Tris-EDTA buffer (pH 9.0, Epitope Retrieval Solution2) for 20 mins

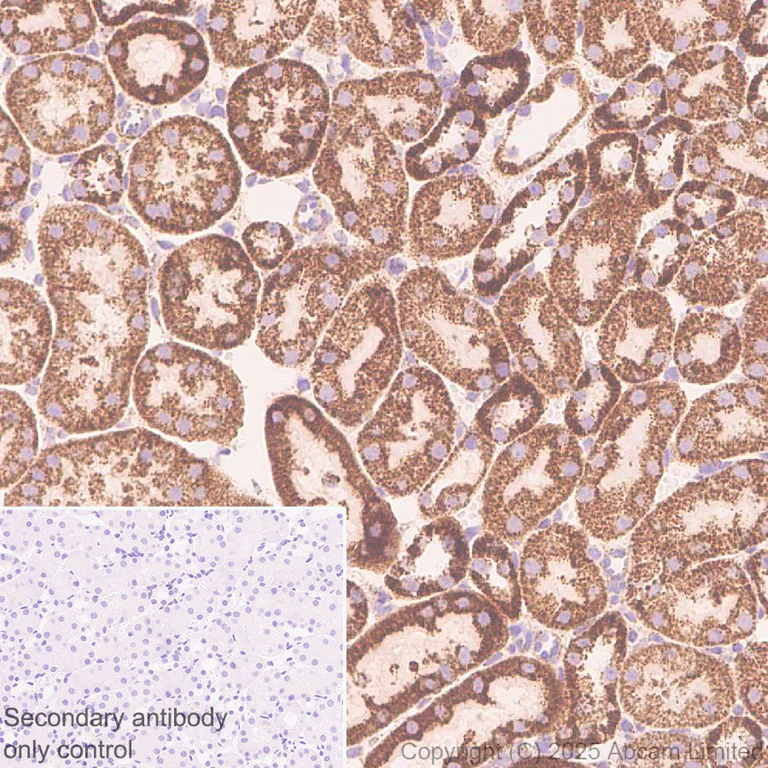
Immunohistochemistry (Formalin/PFA-fixed paraffin-embedded sections) - Anti-Adenine Nucleotide Translocator 2/ANT 2 antibody [EPR29813-534] (AB325120)
  • IHC-P

Supplier Data

Immunohistochemistry (Formalin/PFA-fixed paraffin-embedded sections) - Anti-Adenine Nucleotide Translocator 2/ANT 2 antibody [EPR29813-534] (AB325120)

Immunohistochemical analysis of paraffin-embedded Mouse kidney tissue labeling Adenine Nucleotide Translocator 2/ANT 2 with ab325120 at 1/100 (5.04 ug/ml) dilution, followed by a ready to use LeicaDS9800 (Bond™ Polymer Refine Detection).

Positive staining on mouse kidney (PMID : 27048932, PMID : 31489369).
The section was incubated with ab325120 for 30 mins at room temperature.
The immunostaining was performed on a Leica Biosystems BOND® RX instrument

Counterstained with Hematoxylin.

Secondary antibody only control : Secondary antibody is a ready to use LeicaDS9800 (Bond™ Polymer Refine Detection).

Heat mediated antigen retrieval was performed with Tris-EDTA buffer (pH 9.0, Epitope Retrieval Solution2) for 20 mins

Immunohistochemistry (Formalin/PFA-fixed paraffin-embedded sections) - Anti-Adenine Nucleotide Translocator 2/ANT 2 antibody [EPR29813-534] (AB325120)
  • IHC-P

Supplier Data

Immunohistochemistry (Formalin/PFA-fixed paraffin-embedded sections) - Anti-Adenine Nucleotide Translocator 2/ANT 2 antibody [EPR29813-534] (AB325120)

Immunohistochemical analysis of paraffin-embedded Mouse skeletal muscle tissue labeling Adenine Nucleotide Translocator 2/ANT 2 with ab325120 at 1/100 (5.04 ug/ml) dilution, followed by a ready to use LeicaDS9800 (Bond™ Polymer Refine Detection).

Low expression : weak staining on mouse skeletal muscle (PMID : 27048932, PMID : 31489369).
The section was incubated with ab325120 for 30 mins at room temperature.
The immunostaining was performed on a Leica Biosystems BOND® RX instrument

Counterstained with Hematoxylin.

Secondary antibody only control : Secondary antibody is a ready to use LeicaDS9800 (Bond™ Polymer Refine Detection).

Heat mediated antigen retrieval was performed with Tris-EDTA buffer (pH 9.0, Epitope Retrieval Solution2) for 20 mins

Multiplex immunohistochemistry - Anti-Adenine Nucleotide Translocator 2/ANT 2 antibody [EPR29813-534] (AB325120)
  • mIHC

Supplier Data

Multiplex immunohistochemistry - Anti-Adenine Nucleotide Translocator 2/ANT 2 antibody [EPR29813-534] (AB325120)

Multiplex immunohistochemistry analysis of formalin/PFA-fixed paraffin-embedded mouse kidney tissue staining Adenine Nucleotide Translocator 2/ANT 2 with ab325120 at a 1 : 100 (5.04 ug/ml) dilution, ab202554 anti-COX IV used at 1 : 500 (0.23 ug/ml) dilution.

Panel A : merged staining of anti-ANT 2 (green; Opal™520) and anti-COX IV (magenta; Opal™570) on mouse kidney.
Panel B : anti-ANT 2 showed mitochondrial staining in mouse kidney.
Panel C : anti-COX IV showed mitochondrial staining in mouse kidney.
Panel D : Nuclear DNA was labeled with DAPI (shown in blue).

The section was incubated in three rounds of staining : in the order of ab325120 and ab202554 for 30 mins at room temperature. Each round was followed by a separate fluorescent tyramide signal amplification system.

The immunostaining was performed on a Leica Biosystems BOND® RX instrument with an Opal™ 4-color kit. Image acquisition was performed with Leica SP8 confocal microscope.

Nuclear counter stain with DAPI.

Heat mediated antigen retrieval with Tris-EDTA buffer (pH 9.0, epitope retrieval solution2) for 20 mins.

Western blot - Anti-Adenine Nucleotide Translocator 2/ANT 2 antibody [EPR29813-534] (AB325120)
  • WB

Supplier Data

Western blot - Anti-Adenine Nucleotide Translocator 2/ANT 2 antibody [EPR29813-534] (AB325120)

Blocking and diluting buffer and concentration : 5% NFDM/TBST.

Lane 1 is incubated with Goat Anti-Rabbit IgG, (H+L), Peroxidase conjugated (ab97051) at 1/100000 and lanes 2-4 are incubated with Goat Anti-Rabbit IgG (HRP) with minimal cross-reactivity with human IgG at 1/2000.

Exposure time : Lane1 : 169 seconds, lanes2-4 : 10 seconds

All lanes:

Western blot - Anti-Adenine Nucleotide Translocator 2/ANT 2 antibody [EPR29813-534] (ab325120) at 1/1000 dilution

Lane 1:

Rat kidney tissue lysate at 40 µg

Lane 2:

Human colon tissue lysate at 40 µg

Lane 3:

Human lung tissue lysate at 40 µg

Lane 4:

Human placenta tissue lysate at 40 µg

Secondary

Lane 1:

Western blot - Goat Anti-Rabbit IgG H&L (HRP) (<a href='/en-us/products/secondary-antibodies/goat-rabbit-igg-h-l-hrp-ab97051'>ab97051</a>) at 1/100000 dilution

Lanes 2 - 4:

Goat Anti-Rabbit IgG (HRP) with minimal cross-reactivity with human IgG at 1/2000 dilution

Observed band size: 32 kDa

false

Western blot - Anti-Adenine Nucleotide Translocator 2/ANT 2 antibody [EPR29813-534] (AB325120)
  • WB

Supplier Data

Western blot - Anti-Adenine Nucleotide Translocator 2/ANT 2 antibody [EPR29813-534] (AB325120)

Blocking and diluting buffer and concentration : 5% NFDM/TBST.

In Western blot, Anti-GAPDH antibody [EPR16891] - Loading Control (ab181602) staining at 1/200000 dilution.

All lanes:

Western blot - Anti-Adenine Nucleotide Translocator 2/ANT 2 antibody [EPR29813-534] (ab325120) at 1/1000 dilution

Lane 1:

HeLa (human cervical adenocarcinoma epithelial cell) whole lysate at 20 µg

Lane 2:

HeLa non-mitochondrial fraction at 20 µg

Lane 3:

HeLa mitochondrial fraction at 20 µg

Secondary

All lanes:

Western blot at 1/100000 dilution

Observed band size: 32 kDa,36 kDa,16 kDa

false

Exposure time: 125s

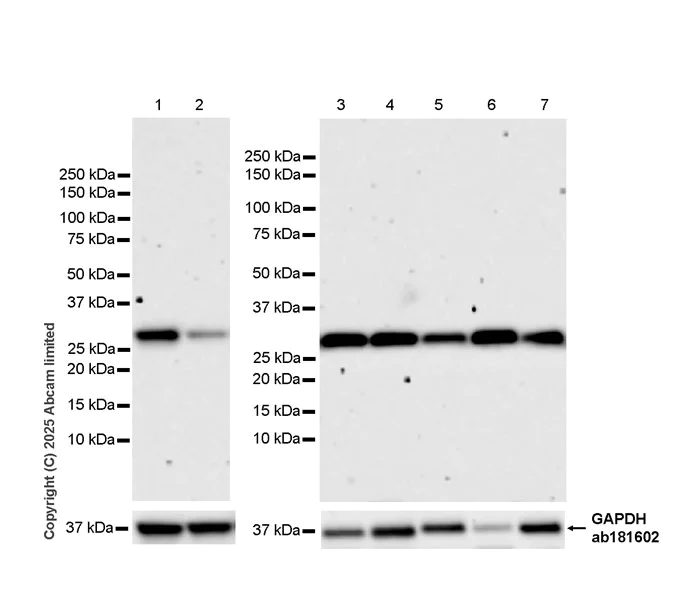
Western blot - Anti-Adenine Nucleotide Translocator 2/ANT 2 antibody [EPR29813-534] (AB325120)
  • WB

Supplier Data

Western blot - Anti-Adenine Nucleotide Translocator 2/ANT 2 antibody [EPR29813-534] (AB325120)

Blocking and diluting buffer and concentration : 5% NFDM/TBST.

In Western blot, Anti-GAPDH antibody [EPR16891] - Loading Control (ab181602) staining at 1/200000 dilution.

All lanes:

Western blot - Anti-Adenine Nucleotide Translocator 2/ANT 2 antibody [EPR29813-534] (ab325120) at 1/1000 dilution

Lane 1:

HeLa (human cervical adenocarcinoma epithelial cell) transfected with scrambled siRNA control whole cell lysate at 20 µg

Lane 2:

HeLa transfected with siRNA specifically targeting SLC25A5 whole cell lysate at 20 µg

Lane 3:

Neuro-2a (mouse neuroblastoma neuroblast) whole cell lysate at 20 µg

Lane 4:

NIH/3T3 (mouse embryonic fibroblast) whole cell lysate at 20 µg

Lane 5:

C6 (rat glial tumor glial cell) whole cell lysate at 20 µg

Lane 6:

PANC-1 (human pancreatic epithelioid carcinoma epithelial cell) whole cell lysate at 20 µg

Lane 7:

MCF7 (human breast adenocarcinoma epithelial cell) whole cell lysate at 20 µg

Secondary

All lanes:

Western blot at 1/100000 dilution

Observed band size: 32 kDa,36 kDa

false

Exposure time: 125s

Western blot - Anti-Adenine Nucleotide Translocator 2/ANT 2 antibody [EPR29813-534] (AB325120)
  • WB

Supplier Data

Western blot - Anti-Adenine Nucleotide Translocator 2/ANT 2 antibody [EPR29813-534] (AB325120)

Blocking and diluting buffer and concentration : 5% NFDM/TBST.

Low expression : skeletal muscle(PMID : 27048932)

In Western blot, Anti-GAPDH antibody [EPR16891] - Loading Control (ab181602) staining at 1/200000 dilution.

All lanes:

Western blot - Anti-Adenine Nucleotide Translocator 2/ANT 2 antibody [EPR29813-534] (ab325120) at 1/1000 dilution

Lane 1:

Mouse colon tissue lysate at 40 µg

Lane 2:

Mouse kidney tissue lysate at 40 µg

Lane 3:

Mouse skeletal muscle tissue lysate at 40 µg

Secondary

All lanes:

Western blot at 1/100000 dilution

Observed band size: 32 kDa,36 kDa

false

Exposure time: 169s

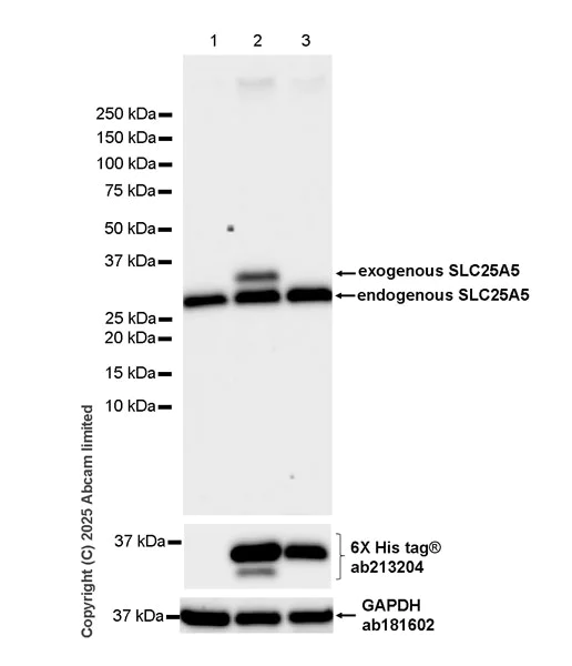
Western blot - Anti-Adenine Nucleotide Translocator 2/ANT 2 antibody [EPR29813-534] (AB325120)
  • WB

Supplier Data

Western blot - Anti-Adenine Nucleotide Translocator 2/ANT 2 antibody [EPR29813-534] (AB325120)

Blocking and diluting buffer and concentration : 5% NFDM/TBST.

293T cells express endogenously SLC25A5. This antibody does not cross-react with human SLC25A4 by WB.

In Western blot, Anti-GAPDH antibody [EPR16891] - Loading Control (ab181602) staining at 1/200000 dilution.

All lanes:

Western blot - Anti-Adenine Nucleotide Translocator 2/ANT 2 antibody [EPR29813-534] (ab325120) at 1/1000 dilution

Lane 1:

293T (human embryonic kidney epithelial cell) transfected with an empty vector containing a myc-His-tag® whole cell lysate at 20 µg

Lane 2:

293T transfected with human SLC25A5 expression vector containing a myc-His-tag® whole cell lysate at 20 µg

Lane 3:

293T transfected with human SLC25A4 expression vector containing a myc-His-tag® whole cell lysate at 20 µg

Secondary

All lanes:

Western blot at 1/100000 dilution

Observed band size: 32 kDa,34 kDa,36 kDa

false

Exposure time: 125s

Key facts

Host species

Rabbit

Clonality

Monoclonal

Clone number

EPR29813-534

Isotype

IgG

Carrier free

No

Reacts with

Human, Mouse, Rat

Applications

WB, ICC/IF, IHC-P, mIHC

applications

Immunogen

The exact immunogen used to generate this antibody is proprietary information.

Reactivity data

{ "title": "Reactivity Data", "filters": { "stats": ["", "Species", "Dilution Info", "Notes"], "tabs": { "all-applications": {"fullname" : "All Applications", "shortname": "All Applications"}, "WB" : {"fullname" : "Western blot", "shortname":"WB"}, "ICCIF" : {"fullname" : "Immunocytochemistry/ Immunofluorescence", "shortname":"ICC/IF"}, "IHCP" : {"fullname" : "Immunohistochemistry (Formalin/PFA-fixed paraffin-embedded sections)", "shortname":"IHC-P"}, "mIHC" : {"fullname" : "Multiplex immunohistochemistry", "shortname":"mIHC"} }, "product-promise": { "all": "all", "testedAndGuaranteed": "tested", "guaranteed": "expected", "predicted": "predicted", "notRecommended": "not-recommended" } }, "values": { "Human": { "WB-species-checked": "testedAndGuaranteed", "WB-species-dilution-info": "1/1000", "WB-species-notes": "<p></p>", "ICCIF-species-checked": "testedAndGuaranteed", "ICCIF-species-dilution-info": "1/50", "ICCIF-species-notes": "<p></p>", "IHCP-species-checked": "testedAndGuaranteed", "IHCP-species-dilution-info": "1/100", "IHCP-species-notes": "<p></p> Perform heat-mediated antigen retrieval with Tris/EDTA buffer pH 9.0 before commencing with IHC staining protocol.", "mIHC-species-checked": "testedAndGuaranteed", "mIHC-species-dilution-info": "1/100", "mIHC-species-notes": "<p></p> Perform heat-mediated antigen retrieval with Tris/EDTA buffer pH 9.0 before commencing with IHC staining protocol." }, "Mouse": { "WB-species-checked": "testedAndGuaranteed", "WB-species-dilution-info": "1/1000", "WB-species-notes": "<p></p>", "ICCIF-species-checked": "guaranteed", "ICCIF-species-dilution-info": "", "ICCIF-species-notes": "", "IHCP-species-checked": "testedAndGuaranteed", "IHCP-species-dilution-info": "1/100", "IHCP-species-notes": "<p></p> Perform heat-mediated antigen retrieval with Tris/EDTA buffer pH 9.0 before commencing with IHC staining protocol.", "mIHC-species-checked": "testedAndGuaranteed", "mIHC-species-dilution-info": "1/100", "mIHC-species-notes": "<p></p> Perform heat-mediated antigen retrieval with Tris/EDTA buffer pH 9.0 before commencing with IHC staining protocol." }, "Rat": { "WB-species-checked": "testedAndGuaranteed", "WB-species-dilution-info": "1/1000", "WB-species-notes": "<p></p>", "ICCIF-species-checked": "guaranteed", "ICCIF-species-dilution-info": "", "ICCIF-species-notes": "", "IHCP-species-checked": "guaranteed", "IHCP-species-dilution-info": "", "IHCP-species-notes": "", "mIHC-species-checked": "guaranteed", "mIHC-species-dilution-info": "", "mIHC-species-notes": "" }, "Transfected cell lysate - Human": { "WB-species-checked": "testedAndGuaranteed", "WB-species-dilution-info": "1/1000", "WB-species-notes": "<p></p>", "ICCIF-species-checked": "notRecommended", "ICCIF-species-dilution-info": "", "ICCIF-species-notes": "", "IHCP-species-checked": "notRecommended", "IHCP-species-dilution-info": "", "IHCP-species-notes": "", "mIHC-species-checked": "notRecommended", "mIHC-species-dilution-info": "", "mIHC-species-notes": "" } } }

Product details

Patented technology
Our RabMAb® technology is a patented hybridoma-based technology for making rabbit monoclonal antibodies. For details on our patents, please refer to RabMAb® patents.

What are the advantages of a recombinant monoclonal antibody?
This product is a recombinant monoclonal antibody, which offers several advantages including:

  • - High batch-to-batch consistency and reproducibility
  • - Improved sensitivity and specificity
  • - Long-term security of supply
  • - Animal-free batch production

For more information, read more on recombinant antibodies.

Properties and storage information

Form
Liquid
Purification technique
Affinity purification Protein A
Storage buffer
pH: 7.2 - 7.4 Preservative: 0.01% Sodium azide Constituents: PBS, 40% Glycerol (glycerin, glycerine), 0.05% BSA
Shipped at conditions
Blue Ice
Appropriate short-term storage duration
1-2 weeks
Appropriate short-term storage conditions
+4°C
Appropriate long-term storage conditions
-20°C
Aliquoting information
Upon delivery aliquot
Storage information
Avoid freeze / thaw cycle

Product protocols

For this product, it's our understanding that no specific protocols are required. You can visit:

Target data

ADP : ATP antiporter that mediates import of ADP into the mitochondrial matrix for ATP synthesis, and export of ATP out to fuel the cell (By similarity). Cycles between the cytoplasmic-open state (c-state) and the matrix-open state (m-state) : operates by the alternating access mechanism with a single substrate-binding site intermittently exposed to either the cytosolic (c-state) or matrix (m-state) side of the inner mitochondrial membrane (By similarity). In addition to its ADP : ATP antiporter activity, also involved in mitochondrial uncoupling and mitochondrial permeability transition pore (mPTP) activity (By similarity). Plays a role in mitochondrial uncoupling by acting as a proton transporter : proton transport uncouples the proton flows via the electron transport chain and ATP synthase to reduce the efficiency of ATP production and cause mitochondrial thermogenesis (By similarity). Proton transporter activity is inhibited by ADP : ATP antiporter activity, suggesting that SLC25A5/ANT2 acts as a master regulator of mitochondrial energy output by maintaining a delicate balance between ATP production (ADP : ATP antiporter activity) and thermogenesis (proton transporter activity) (By similarity). Proton transporter activity requires free fatty acids as cofactor, but does not transport it (By similarity). Probably mediates mitochondrial uncoupling in tissues that do not express UCP1 (By similarity). Also plays a key role in mPTP opening, a non-specific pore that enables free passage of the mitochondrial membranes to solutes of up to 1.5 kDa, and which contributes to cell death (PubMed : 31883789). It is however unclear if SLC25A5/ANT2 constitutes a pore-forming component of mPTP or regulates it (By similarity). Acts as a regulator of mitophagy independently of ADP : ATP antiporter activity : promotes mitophagy via interaction with TIMM44, leading to inhibit the presequence translocase TIMM23, thereby promoting stabilization of PINK1 (By similarity). As part of the mitotic spindle-associated MMXD complex it may play a role in chromosome segregation (PubMed : 20797633).
See full target information SLC25A5

Product promise

We are committed to supporting your work with high-quality reagents, and we're here for you every step of the way. In the unlikely event that one of our products does not perform as expected, you're protected by our Product Promise.
For full details, please see our Terms & Conditions

Please note: All products are 'FOR RESEARCH USE ONLY. NOT FOR USE IN DIAGNOSTIC OR THERAPEUTIC PROCEDURES'.

For licensing inquiries, please contact partnerships@abcam.com