JavaScript is disabled in your browser. Please enable JavaScript to view this website.
AB3460

Anti-Adenosine A1 Receptor antibody

Be the first to review this product! Submit a review

|

(8 Publications)

Rabbit Polyclonal Adenosine A1 Receptor antibody. Suitable for ICC, WB, IHC-P and reacts with Human, Rat samples. Cited in 8 publications. Immunogen corresponding to Synthetic Peptide within Rat Adora1 aa 300 to C-terminus.

View Alternative Names

Adenosine receptor A1

3 Images
Immunocytochemistry - Anti-Adenosine A1 Receptor antibody (AB3460)
  • ICC

Supplier Data

Immunocytochemistry - Anti-Adenosine A1 Receptor antibody (AB3460)

Immunocytochemical analysis of 4% paraformaldehyde-fixed, 0.1% Triton™ X-100 permeabilized HeLa cells staining adenosine A1 receptor with ab3460 at 2 μg/ml and labeled with Goat anti-Rabbit IgG (H+L) Superclonal™ Secondary Antibody, Alexa Fluor® 488 conjugate at 1/2000 dilution (green). Nuclei are stained with SlowFade® Gold Antifade Mountant with DAPI (blue) and F-actin is stained with Alexa Fluor® 555 Rhodamine Phalloidin (red). Negative control contains no primary anibody.

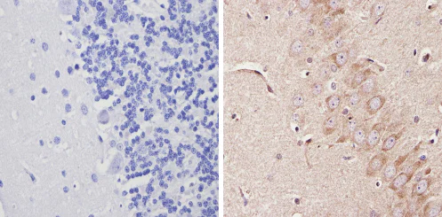
Immunohistochemistry (Formalin/PFA-fixed paraffin-embedded sections) - Anti-Adenosine A1 Receptor antibody (AB3460)
  • IHC-P

Supplier Data

Immunohistochemistry (Formalin/PFA-fixed paraffin-embedded sections) - Anti-Adenosine A1 Receptor antibody (AB3460)

ab3460 labelling Adenosine A1 receptor in the cytoplasm of Rat brain tissue (right) compared with a negative control (left) by Immunohistochemistry (formalin/PFA-fixed paraffin embedded sections). To expose target proteins, antigen retrieval method was performed using 10mM sodium citrate (pH 6.0) microwaved for 8-15 min. Following antigen retrieval, tissues were blocked in 3% H2O2-methanol for 15 min at room temperature. Tissue sections were incubated with the primary antibody (1 : 100 in 3% BSA-PBS) overnight at 4°C. A HRP-conjugated anti-rabbit IgG was used as the secondary antibody, followed by colorimetric detection using a DAB kit. Tissues were counterstained with hematoxylin and dehydrated with ethanol and xylene to prep for mounting.

Western blot - Anti-Adenosine A1 Receptor antibody (AB3460)
  • WB

Supplier Data

Western blot - Anti-Adenosine A1 Receptor antibody (AB3460)

All lanes:

Western blot - Anti-Adenosine A1 Receptor antibody (ab3460) at 1/250 dilution

Lane 1:

PC-12 whole cell extract at 30 µg

Lane 2:

SH-SY5Y whole cell extract at 30 µg

Lane 3:

U-87 MG whole cell extract at 30 µg

Lane 4:

A549 whole cell extract at 30 µg

Lane 5:

K-562 whole cell extract at 30 µg

Secondary

All lanes:

Goat Anti-Rabbit IgG Secondary Antibody, HRP conjugate at 1/5000 dilution

Predicted band size: 37 kDa

true

Key facts

Host species

Rabbit

Clonality

Polyclonal

Isotype

IgG

Carrier free

No

Reacts with

Rat, Human

Applications

ICC, WB, IHC-P

applications

Immunogen

Synthetic Peptide within Rat Adora1 aa 300 to C-terminus. The exact immunogen used to generate this antibody is proprietary information.

P25099

Specificity

Detects Adenosine Receptor A1. This antibody does not detect other AR subtypes.

Reactivity data

{ "title": "Reactivity Data", "filters": { "stats": ["", "Species", "Dilution Info", "Notes"], "tabs": { "all-applications": {"fullname" : "All Applications", "shortname": "All Applications"}, "ICC" : {"fullname" : "Immunocytochemistry", "shortname":"ICC"}, "WB" : {"fullname" : "Western blot", "shortname":"WB"}, "IHCP" : {"fullname" : "Immunohistochemistry (Formalin/PFA-fixed paraffin-embedded sections)", "shortname":"IHC-P"} }, "product-promise": { "all": "all", "testedAndGuaranteed": "tested", "guaranteed": "expected", "predicted": "predicted", "notRecommended": "not-recommended" } }, "values": { "Human": { "ICC-species-checked": "testedAndGuaranteed", "ICC-species-dilution-info": "2 µg/mL", "ICC-species-notes": "<p></p>", "WB-species-checked": "testedAndGuaranteed", "WB-species-dilution-info": "1/500", "WB-species-notes": "<p></p>", "IHCP-species-checked": "guaranteed", "IHCP-species-dilution-info": "", "IHCP-species-notes": "" }, "Rat": { "ICC-species-checked": "guaranteed", "ICC-species-dilution-info": "", "ICC-species-notes": "", "WB-species-checked": "testedAndGuaranteed", "WB-species-dilution-info": "1/500", "WB-species-notes": "<p></p>", "IHCP-species-checked": "testedAndGuaranteed", "IHCP-species-dilution-info": "1/50 - 1/200", "IHCP-species-notes": "<p></p>" }, "Cow": { "ICC-species-checked": "predicted", "ICC-species-dilution-info": "", "ICC-species-notes": "", "WB-species-checked": "predicted", "WB-species-dilution-info": "", "WB-species-notes": "", "IHCP-species-checked": "predicted", "IHCP-species-dilution-info": "", "IHCP-species-notes": "" } } }

Properties and storage information

Form
Liquid
Purification technique
Affinity purification Immunogen
Storage buffer
Preservative: 0.05% Sodium azide Constituents: 99% PBS, 0.1% BSA
Shipped at conditions
Blue Ice
Appropriate short-term storage duration
1-2 weeks
Appropriate short-term storage conditions
+4°C
Appropriate long-term storage conditions
-20°C
Aliquoting information
Upon delivery aliquot
Storage information
Avoid freeze / thaw cycle

Supplementary information

This supplementary information is collated from multiple sources and compiled automatically.

The Adenosine A1 Receptor also called A1 adenosine receptor is a G protein-coupled receptor (GPCR) with a mass of approximately 37 kDa. This receptor is primarily responsible for binding adenosine a nucleoside involved in numerous physiological processes. Mechanically the A1 receptor inhibits adenylyl cyclase activity via the Gi/o proteins resulting in decreased intracellular cyclic AMP levels. This receptor is expressed in various tissues including the brain heart and kidneys indicating its widespread physiological roles.
Biological function summary

The A1 receptor plays a significant role in mediating the inhibitory effects of adenosine on neurotransmitter release. It regulates synaptic transmission modulates excitability and protects tissues from excessive stimulation. This receptor does not function alone but is part of complex networks interacting with other proteins such as A2A receptors. A1 adenosine receptor signaling contributes to cardioprotection neuroprotection and regulation of renal blood flow reflecting its importance in maintaining homeostasis.

Pathways

The A1 receptor is essential in the adenosine signaling pathway and myocardial protection pathway. Through these pathways it influences important physiological responses like heart rate and blood flow. It interacts with proteins such as adenosine kinase and adenosine deaminase which regulate adenosine concentration influencing the availability of adenosine for receptor binding. The pathways involved illustrate the receptor's role in balancing energy supply and demand.

The A1 adenosine receptor is implicated in conditions like cardiac arrhythmias and epilepsy. Its role in reducing excitability and modulating synaptic transmission makes it a potential target for epilepsy treatment. In cardiac arrhythmias it helps regulate heart rate and protects against ischemic damage. The receptor's interactions with A2B receptors emphasize its role in complex disease mechanisms where it balances excitatory and inhibitory signals providing opportunities for therapeutic interventions.

Product protocols

For this product, it's our understanding that no specific protocols are required. You can visit:

Target data

Receptor for adenosine. The activity of this receptor is mediated by G proteins which inhibit adenylyl cyclase.
See full target information Adora1

Publications (8)

Recent publications for all applications. Explore the full list and refine your search

Frontiers in oncology 15:1545780 PubMed40376586

2025

Inhibiting ADORA1 enhances glioma apoptosis and increases its sensitivity to anti-PD1 therapy.

Applications

Unspecified application

Species

Unspecified reactive species

Hong-Jiang Li,Zhi-Yun Yu,Hua-Ping Gao,Yi-Ran Xu,Xue-Yuan Li,Wei Jiang,Di Chen,Dong-Ming Yan,Chao Yang,Xian-Zhi Liu

Cell discovery 10:81 PubMed39103336

2024

40 Hz light flickering facilitates the glymphatic flow via adenosine signaling in mice.

Applications

Unspecified application

Species

Unspecified reactive species

Xiaoting Sun,Liliana Dias,Chenlei Peng,Ziyi Zhang,Haoting Ge,Zejun Wang,Jiayi Jin,Manli Jia,Tao Xu,Wei Guo,Wu Zheng,Yan He,Youru Wu,Xiaohong Cai,Paula Agostinho,Jia Qu,Rodrigo A Cunha,Xuzhao Zhou,Ruiliang Bai,Jiang-Fan Chen

EMBO reports 25:2610-2634 PubMed38698221

2024

Synaptotagmin-11 facilitates assembly of a presynaptic signaling complex in post-Golgi cargo vesicles.

Applications

Unspecified application

Species

Unspecified reactive species

Luca Trovò,Stylianos Kouvaros,Jochen Schwenk,Diego Fernandez-Fernandez,Thorsten Fritzius,Pascal Dominic Rem,Simon Früh,Martin Gassmann,Bernd Fakler,Josef Bischofberger,Bernhard Bettler

Neuropathology and applied neurobiology 49:e12926 PubMed37483117

2023

Ectopic expression of neuronal adenosine kinase, a biomarker in mesial temporal lobe epilepsy without hippocampal sclerosis.

Applications

Unspecified application

Species

Unspecified reactive species

Mengyi Guo,Jing Wang,Zhonghua Xiong,Xiongfei Wang,Yujiao Yang,Yifan Zhang,Chongyang Tang,Jing Zhang,Yuguang Guan,Fan Chen,Kun Yao,Pengfei Teng,Jian Zhou,Feng Zhai,Detlev Boison,Guoming Luan,Tianfu Li

Molecular neurobiology 56:797-811 PubMed29797183

2018

Adenosine A-Dopamine D Receptor Heteromers Control the Excitability of the Spinal Motoneuron.

Applications

Unspecified application

Species

Unspecified reactive species

Marla Rivera-Oliver,Estefanía Moreno,Yocasta Álvarez-Bagnarol,Christian Ayala-Santiago,Nicole Cruz-Reyes,Gian Carlo Molina-Castro,Stefan Clemens,Enric I Canela,Sergi Ferré,Vicent Casadó,Manuel Díaz-Ríos

Development (Cambridge, England) 139:215-24 PubMed22147955

2011

Engrailed homeoprotein recruits the adenosine A1 receptor to potentiate ephrin A5 function in retinal growth cones.

Applications

Unspecified application

Species

Unspecified reactive species

Olivier Stettler,Rajiv L Joshi,Andrea Wizenmann,Jürgen Reingruber,David Holcman,Colette Bouillot,François Castagner,Alain Prochiantz,Kenneth L Moya

Circulation 121:963-72 PubMed20159830

2010

Mechanisms by which adenosine restores conduction in dormant canine pulmonary veins.

Applications

WB

Species

Dog

Tomás Datino,Laurent Macle,Xiao-Yan Qi,Ange Maguy,Philippe Comtois,Denis Chartier,Peter G Guerra,Angel Arenal,Francisco Fernández-Avilés,Stanley Nattel

American journal of physiology. Renal physiology 295:F108-17 PubMed18448594

2008

Acute inhibition of the betaine transporter by ATP and adenosine in renal MDCK cells.

Applications

WB

Species

Dog

Stephen A Kempson,Jason M Edwards,Alyssa Osborn,Michael Sturek
View all publications

Product promise

We are committed to supporting your work with high-quality reagents, and we're here for you every step of the way. In the unlikely event that one of our products does not perform as expected, you're protected by our Product Promise.
For full details, please see our Terms & Conditions

Please note: All products are 'FOR RESEARCH USE ONLY. NOT FOR USE IN DIAGNOSTIC OR THERAPEUTIC PROCEDURES'.

For licensing inquiries, please contact partnerships@abcam.com