JavaScript is disabled in your browser. Please enable JavaScript to view this website.
AB260032

Anti-Adenosine Receptor A2a antibody [EPR23731-50]

Be the first to review this product! Submit a review

|

(4 Publications)

Rabbit Recombinant Monoclonal Adenosine Receptor A2a antibody. Suitable for IHC-P and reacts with Mouse, Rat, Human samples. Cited in 4 publications.

View Alternative Names

ADORA2, ADORA2A, Adenosine receptor A2a

11 Images
Immunohistochemistry (Formalin/PFA-fixed paraffin-embedded sections) - Anti-Adenosine Receptor A2a antibody [EPR23731-50] (AB260032)
  • IHC-P

Supplier Data

Immunohistochemistry (Formalin/PFA-fixed paraffin-embedded sections) - Anti-Adenosine Receptor A2a antibody [EPR23731-50] (AB260032)

Immunohistochemical analysis of paraffin-embedded human spleen tissue labeling Adenosine receptor A2a with ab260032 at 1/100 dilution followed by a ready to use Rabbit specific IHC polymer detection kit HRP/DAB (ab209101). The section was incubated with ab260032 for 30 mins at room temperature. The immunostaining was performed on a Leica Biosystems BOND® RX instrument Counterstained with Hematoxylin.

Negative control : No staining observed on human spleen tissue.

Secondary antibody only control : Secondary antibody is a ready to use Rabbit specific IHC polymer detection kit HRP/DAB (ab209101).

Heat mediated antigen retrieval with Tris-EDTA buffer (pH 9.0, epitope retrieval solution2) for 20 mins.

Immunohistochemistry (Formalin/PFA-fixed paraffin-embedded sections) - Anti-Adenosine Receptor A2a antibody [EPR23731-50] (AB260032)
  • IHC-P

Supplier Data

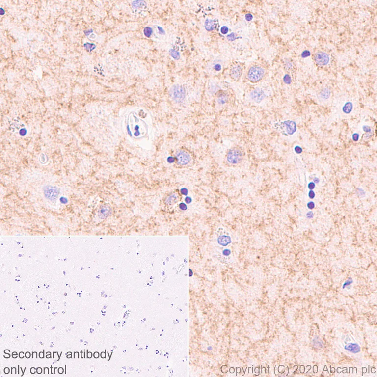
Immunohistochemistry (Formalin/PFA-fixed paraffin-embedded sections) - Anti-Adenosine Receptor A2a antibody [EPR23731-50] (AB260032)

Immunohistochemical analysis of paraffin-embedded human cerebrum (striatum) tissue labeling Adenosine receptor A2a with ab260032 at 1/100 dilution followed by a ready to use Rabbit specific IHC polymer detection kit HRP/DAB (ab209101). Positive staining on human cerebrum is observed. The section was incubated with ab260032 for 30 mins at room temperature. The immunostaining was performed on a Leica Biosystems BOND® RX instrument Counterstained with Hematoxylin.

Secondary antibody only control : Secondary antibody is a ready to use Rabbit specific IHC polymer detection kit HRP/DAB (ab209101).

Heat mediated antigen retrieval with Tris-EDTA buffer (pH 9.0, epitope retrieval solution2) for 20 mins.

Immunohistochemistry (Formalin/PFA-fixed paraffin-embedded sections) - Anti-Adenosine Receptor A2a antibody [EPR23731-50] (AB260032)
  • IHC-P

Lab

Immunohistochemistry (Formalin/PFA-fixed paraffin-embedded sections) - Anti-Adenosine Receptor A2a antibody [EPR23731-50] (AB260032)

Tissue Microarrays stained for "Anti-Adenosine Receptor A2a antibody [EPR23731-50]" using "ab260032"in immunohistochemical analysis. This table provides a detailed overview of positive (tick mark) and negative (cross mark) staining per sample type tested. The sections were pre-treated using Heat mediated antigen retrieval using Bond™ Epitope Retrieval Solution 2 (pH 9.0) for 20 minutes. The sections were incubated with ab260032 for 30 mins at room temperature followed by a ready to use Rabbit specific IHC polymer detection kit HRP/DAB (ab209101). The immunostaining was performed on a Leica Biosystems BOND® RX instrument.

Immunohistochemistry (Formalin/PFA-fixed paraffin-embedded sections) - Anti-Adenosine Receptor A2a antibody [EPR23731-50] (AB260032)
  • IHC-P

Supplier Data

Immunohistochemistry (Formalin/PFA-fixed paraffin-embedded sections) - Anti-Adenosine Receptor A2a antibody [EPR23731-50] (AB260032)

Immunohistochemical analysis of paraffin-embedded human cerebrum tissue labeling Adenosine receptor A2a with ab260032 at 1/100 dilution followed by a ready to use Rabbit specific IHC polymer detection kit HRP/DAB (ab209101). Positive staining on human cerebrum (PMID : 21858817, PMID : 29022877). The section was incubated with ab260032 for 30 mins at room temperature. The immunostaining was performed on a Leica Biosystems BOND® RX instrument. Counterstained with Hematoxylin.

Secondary antibody only control : Secondary antibody is a ready to use Rabbit specific IHC polymer detection kit HRP/DAB (ab209101).

Heat mediated antigen retrieval with Tris-EDTA buffer (pH 9.0, epitope retrieval solution2) for 20 mins.

Immunohistochemistry (Formalin/PFA-fixed paraffin-embedded sections) - Anti-Adenosine Receptor A2a antibody [EPR23731-50] (AB260032)
  • IHC-P

Supplier Data

Immunohistochemistry (Formalin/PFA-fixed paraffin-embedded sections) - Anti-Adenosine Receptor A2a antibody [EPR23731-50] (AB260032)

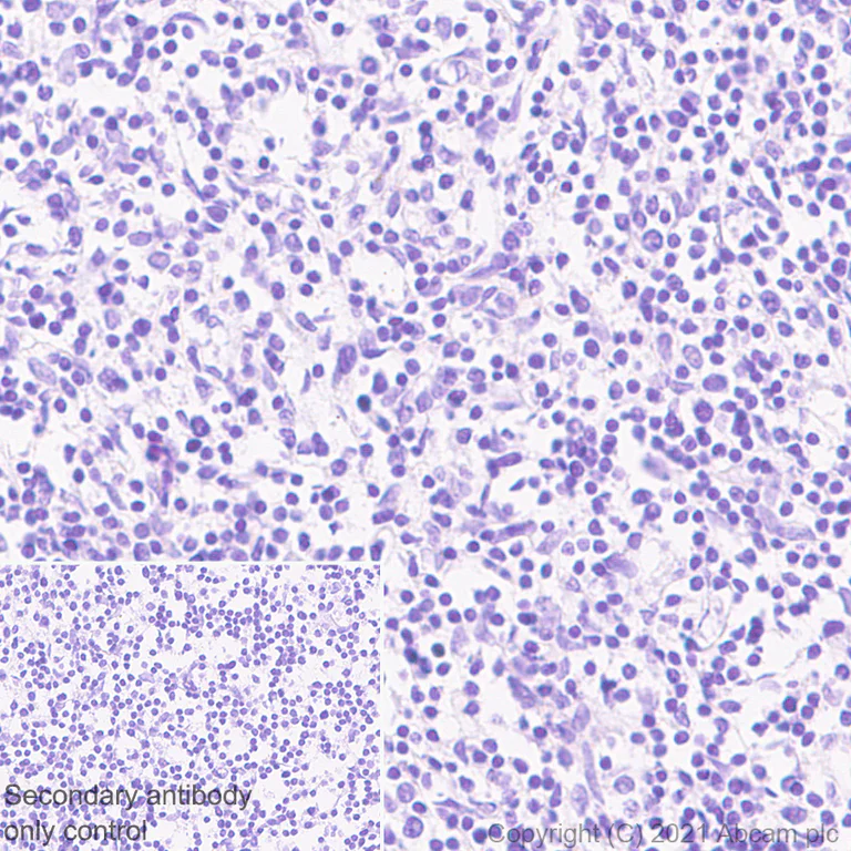
Immunohistochemical analysis of paraffin-embedded human thymoma tissue labeling Adenosine receptor A2a with ab260032 at 1/100 dilution followed by a ready to use Rabbit specific IHC polymer detection kit HRP/DAB (ab209101). The section was incubated with ab260032 for 30 mins at room temperature. The immunostaining was performed on a Leica Biosystems BOND® RX instrument Counterstained with Hematoxylin.

Negative control : No staining observed on human thymoma tissue.

Secondary antibody only control : Secondary antibody is a ready to use Rabbit specific IHC polymer detection kit HRP/DAB (ab209101).

Heat mediated antigen retrieval with Tris-EDTA buffer (pH 9.0, epitope retrieval solution2) for 20 mins.

Immunohistochemistry (Formalin/PFA-fixed paraffin-embedded sections) - Anti-Adenosine Receptor A2a antibody [EPR23731-50] (AB260032)
  • IHC-P

Supplier Data

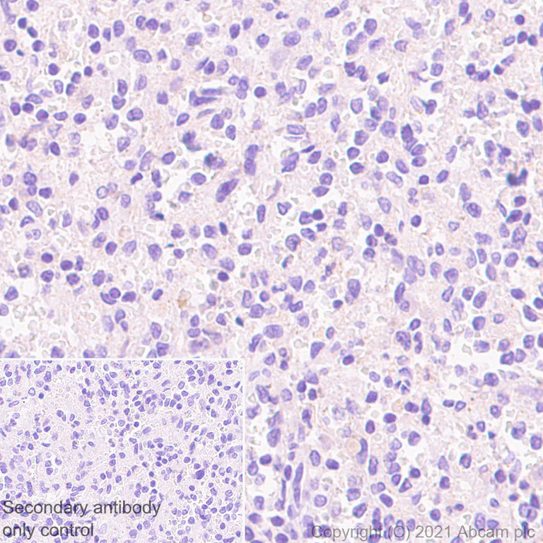
Immunohistochemistry (Formalin/PFA-fixed paraffin-embedded sections) - Anti-Adenosine Receptor A2a antibody [EPR23731-50] (AB260032)

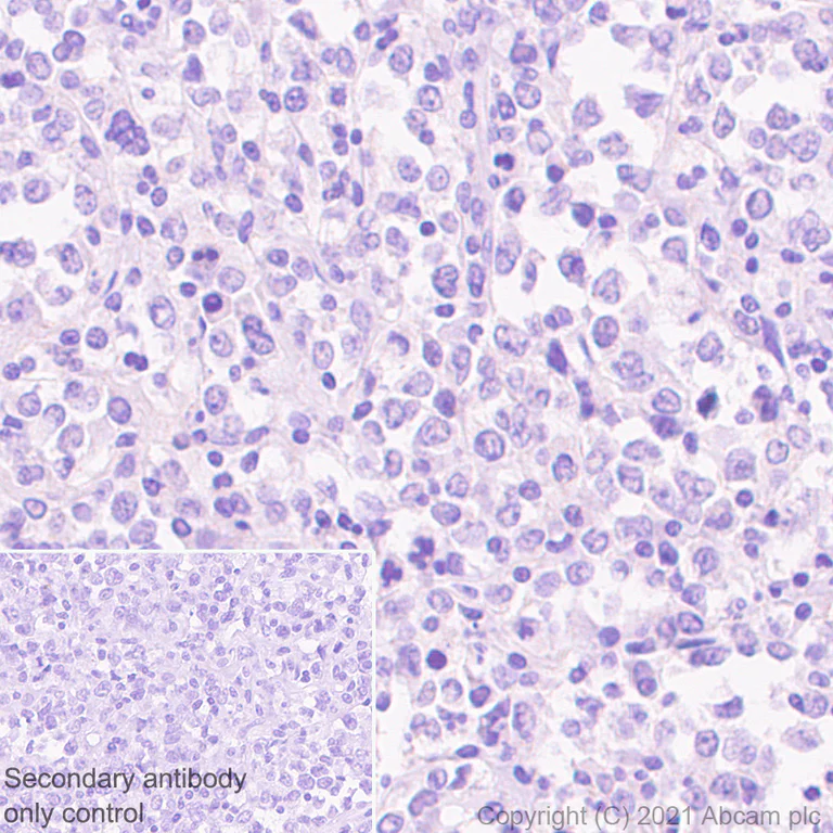
Immunohistochemical analysis of paraffin-embedded human diffuse large B-cell lymphoma tissue labeling Adenosine receptor A2a with ab260032 at 1/100 dilution followed by a ready to use Rabbit specific IHC polymer detection kit HRP/DAB (ab209101). The section was incubated with ab260032 for 30 mins at room temperature. The immunostaining was performed on a Leica Biosystems BOND® RX instrument Counterstained with Hematoxylin.

Negative control : No staining observed on human diffuse large B-cell lymphoma tissue .

Secondary antibody only control : Secondary antibody is a ready to use Rabbit specific IHC polymer detection kit HRP/DAB (ab209101).

Heat mediated antigen retrieval with Tris-EDTA buffer (pH 9.0, epitope retrieval solution2) for 20 mins.

Immunohistochemistry (Formalin/PFA-fixed paraffin-embedded sections) - Anti-Adenosine Receptor A2a antibody [EPR23731-50] (AB260032)
  • IHC-P

Supplier Data

Immunohistochemistry (Formalin/PFA-fixed paraffin-embedded sections) - Anti-Adenosine Receptor A2a antibody [EPR23731-50] (AB260032)

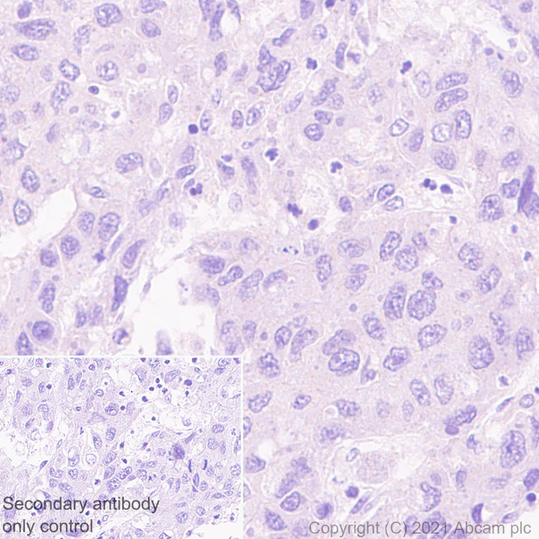
Immunohistochemical analysis of paraffin-embedded human hepatocellular carcinoma tissue labeling Adenosine receptor A2a with ab260032 at 1/100 dilution followed by a ready to use Rabbit specific IHC polymer detection kit HRP/DAB (ab209101). The section was incubated with ab260032 for 30 mins at room temperature. The immunostaining was performed on a Leica Biosystems BOND® RX instrument Counterstained with Hematoxylin.

Negative control : No staining observed on human hepatocellular carcinoma tissue.

Secondary antibody only control : Secondary antibody is a ready to use Rabbit specific IHC polymer detection kit HRP/DAB (ab209101).

Heat mediated antigen retrieval with Tris-EDTA buffer (pH 9.0, epitope retrieval solution2) for 20 mins.

Immunohistochemistry (Formalin/PFA-fixed paraffin-embedded sections) - Anti-Adenosine Receptor A2a antibody [EPR23731-50] (AB260032)
  • IHC-P

Lab

Immunohistochemistry (Formalin/PFA-fixed paraffin-embedded sections) - Anti-Adenosine Receptor A2a antibody [EPR23731-50] (AB260032)

Tissue Microarrays stained for "Anti-Adenosine Receptor A2a antibody [EPR23731-50]" using "ab260032"in immunohistochemical analysis. This table provides a detailed overview of positive (tick mark) and negative (cross mark) staining per sample type tested. The sections were pre-treated using Heat mediated antigen retrieval using Bond™ Epitope Retrieval Solution 2 (pH 9.0) for 20 minutes. The sections were incubated with ab260032 for 30 mins at room temperature followed by a ready to use Rabbit specific IHC polymer detection kit HRP/DAB (ab209101). The immunostaining was performed on a Leica Biosystems BOND® RX instrument.

Immunohistochemistry (Formalin/PFA-fixed paraffin-embedded sections) - Anti-Adenosine Receptor A2a antibody [EPR23731-50] (AB260032)
  • IHC-P

Supplier Data

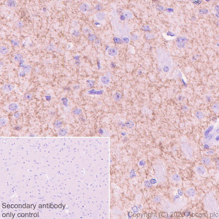
Immunohistochemistry (Formalin/PFA-fixed paraffin-embedded sections) - Anti-Adenosine Receptor A2a antibody [EPR23731-50] (AB260032)

Immunohistochemical analysis of paraffin-embedded Rat cerebrum tissue labeling Adenosine receptor A2a with ab260032 at 1/100 dilution followed by a ready to use Rabbit specific IHC polymer detection kit HRP/DAB (ab209101). Positive staining on rat cerebrum (PMID : 21858817, PMID : 29022877). The section was incubated with ab260032 for 30 mins at room temperature. The immunostaining was performed on a Leica Biosystems BOND® RX instrument.Counterstained with Hematoxylin.

Secondary antibody only control : Secondary antibody is a ready to use Rabbit specific IHC polymer detection kit HRP/DAB (ab209101).

Heat mediated antigen retrieval with Tris-EDTA buffer (pH 9.0, epitope retrieval solution2) for 20 mins.

Immunohistochemistry (Formalin/PFA-fixed paraffin-embedded sections) - Anti-Adenosine Receptor A2a antibody [EPR23731-50] (AB260032)
  • IHC-P

Supplier Data

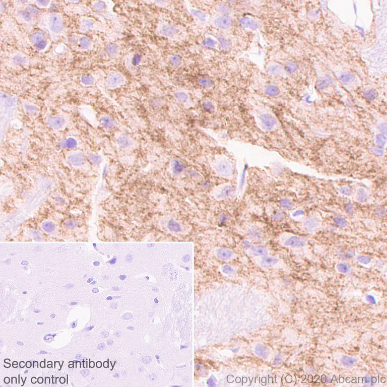
Immunohistochemistry (Formalin/PFA-fixed paraffin-embedded sections) - Anti-Adenosine Receptor A2a antibody [EPR23731-50] (AB260032)

Immunohistochemical analysis of paraffin-embedded Mouse cerebrum tissue labeling Adenosine receptor A2a with ab260032 at 1/100 dilution followed by a ready to use Rabbit specific IHC polymer detection kit HRP/DAB (ab209101). Positive staining on mouse cerebrum (PMID : 21858817, PMID : 29022877). The section was incubated with ab260032 for 30 mins at room temperature. The immunostaining was performed on a Leica Biosystems BOND® RX instrument Counterstained with Hematoxylin.

Secondary antibody only control : Secondary antibody is a ready to use Rabbit specific IHC polymer detection kit HRP/DAB (ab209101).

Heat mediated antigen retrieval with Tris-EDTA buffer (pH 9.0, epitope retrieval solution2) for 20 mins.

Immunohistochemistry (Formalin/PFA-fixed paraffin-embedded sections) - Anti-Adenosine Receptor A2a antibody [EPR23731-50] (AB260032)
  • IHC-P

Supplier Data

Immunohistochemistry (Formalin/PFA-fixed paraffin-embedded sections) - Anti-Adenosine Receptor A2a antibody [EPR23731-50] (AB260032)

Immunohistochemical analysis of paraffin-embedded Mouse cerebrum tissue labeling Adenosine receptor A2a with ab260032 at 1/100 dilutionfollowed by a ready to use Rabbit specific IHC polymer detection kit HRP/DAB (ab209101). Positive staining on the striatum of the mouse cerebrum (PMID : 21858817). The section was incubated with ab260032 for 30 mins at room temperature. The immunostaining was performed on a Leica Biosystems BOND® RX instrument. Counterstained with Hematoxylin.

Secondary antibody only control : Secondary antibody is a ready to use Rabbit specific IHC polymer detection kit HRP/DAB (ab209101).

Heat mediated antigen retrieval with Tris-EDTA buffer (pH 9.0, epitope retrieval solution2) for 20 mins.

  • Carrier free

    Anti-Adenosine Receptor A2a antibody [EPR23731-50] - BSA and Azide free

  • 665 Alexa Fluor® 647

    Alexa Fluor® 647 Anti-Adenosine Receptor A2a antibody [EPR23731-50]

Key facts

Host species

Rabbit

Clonality

Monoclonal

Clone number

EPR23731-50

Isotype

IgG

Carrier free

No

Reacts with

Mouse, Rat, Human

Applications

IHC-P

applications

Immunogen

The exact immunogen used to generate this antibody is proprietary information.

Specificity

Expression levels of the target protein vary with sample type and optimisation may be required. In our hands we are only able to detect ADORA2A in relevant neurological samples and do not recommend this product for use in other samples.

Reactivity data

{ "title": "Reactivity Data", "filters": { "stats": ["", "Species", "Dilution Info", "Notes"], "tabs": { "all-applications": {"fullname" : "All Applications", "shortname": "All Applications"}, "IP" : {"fullname" : "Immunoprecipitation", "shortname":"IP"}, "WB" : {"fullname" : "Western blot", "shortname":"WB"}, "IHCP" : {"fullname" : "Immunohistochemistry (Formalin/PFA-fixed paraffin-embedded sections)", "shortname":"IHC-P"} }, "product-promise": { "all": "all", "testedAndGuaranteed": "tested", "guaranteed": "expected", "predicted": "predicted", "notRecommended": "not-recommended" } }, "values": { "Human": { "IP-species-checked": "notRecommended", "IP-species-dilution-info": "", "IP-species-notes": "<p></p>", "WB-species-checked": "notRecommended", "WB-species-dilution-info": "", "WB-species-notes": "<p></p>", "IHCP-species-checked": "testedAndGuaranteed", "IHCP-species-dilution-info": "1/100", "IHCP-species-notes": "<p></p>" }, "Mouse": { "IP-species-checked": "notRecommended", "IP-species-dilution-info": "", "IP-species-notes": "", "WB-species-checked": "notRecommended", "WB-species-dilution-info": "", "WB-species-notes": "<p></p>", "IHCP-species-checked": "testedAndGuaranteed", "IHCP-species-dilution-info": "1/100", "IHCP-species-notes": "<p></p>" }, "Rat": { "IP-species-checked": "notRecommended", "IP-species-dilution-info": "", "IP-species-notes": "", "WB-species-checked": "notRecommended", "WB-species-dilution-info": "", "WB-species-notes": "<p></p>", "IHCP-species-checked": "testedAndGuaranteed", "IHCP-species-dilution-info": "1/100", "IHCP-species-notes": "<p></p>" } } }

Product details

Patented technology
Our RabMAb® technology is a patented hybridoma-based technology for making rabbit monoclonal antibodies. For details on our patents, please refer to RabMAb® patents.

What are the advantages of a recombinant monoclonal antibody?
This product is a recombinant monoclonal antibody, which offers several advantages including:

  • - High batch-to-batch consistency and reproducibility
  • - Improved sensitivity and specificity
  • - Long-term security of supply
  • - Animal-free batch production

For more information, read more on recombinant antibodies.

Properties and storage information

Form
Liquid
Purification technique
Affinity purification Protein A
Storage buffer
pH: 7.2 - 7.4 Preservative: 0.01% Sodium azide Constituents: PBS, 40% Glycerol (glycerin, glycerine), 0.05% BSA
Shipped at conditions
Blue Ice
Appropriate short-term storage duration
1-2 weeks
Appropriate short-term storage conditions
+4°C
Appropriate long-term storage conditions
-20°C
Aliquoting information
Upon delivery aliquot
Storage information
Avoid freeze / thaw cycle

Supplementary information

This supplementary information is collated from multiple sources and compiled automatically.

Adenosine Receptor A2A also known as A2AR is a G protein-coupled receptor with a molecular mass of approximately 45 kDa. This receptor is widely expressed in various body tissues including the brain heart spleen and immune cells. A2A receptors play a mechanical role in mediating physiological responses to adenosine a purine nucleoside that acts as a signaling molecule in the body. Through binding to adenosine A2A receptors activate intracellular pathways that modulate cellular responses.
Biological function summary

The A2A adenosine receptor functions as an important regulator of neurotransmission and immune response. It does not form part of a larger protein complex but rather independently influences processes such as vasodilation heart rate regulation and cytokine release. The A2A receptor contributes to the modulation of dopamine and glutamate signaling in the central nervous system playing a significant role in maintaining neural balance. Its activity in immune cells helps in controlling inflammation and immune cell proliferation.

Pathways

The A2A adenosine receptor engages in critical signaling cascades particularly the cAMP-PKA pathway and the MAPK pathway. Through the cAMP-PKA pathway A2A R influences various cellular processes by increasing cyclic AMP levels which activate protein kinase A. The receptor is also involved in the MAPK pathway impacting cellular growth and differentiation. It interacts with proteins such as Gs alpha subunit which couples to the receptor to promote downstream signaling events.

The A2A receptor has connections to conditions like Parkinson's disease and ischemia-reperfusion injury. In Parkinson's disease the activity of A2A receptors affects dopaminergic signaling where it interacts with proteins such as dopamine D2 receptors suggesting potential for therapeutic targeting. During ischemia-reperfusion injury the receptor's modulation of immune responses and vasodilation can influence tissue damage and repair mechanisms linking it with proteins involved in inflammatory pathways.

Product protocols

For this product, it's our understanding that no specific protocols are required. You can visit:

Target data

Receptor for adenosine (By similarity). The activity of this receptor is mediated by G proteins which activate adenylyl cyclase (By similarity).
See full target information ADORA2A

Publications (4)

Recent publications for all applications. Explore the full list and refine your search

Psychopharmacology 241:2073-2101 PubMed38842700

2024

Chronic Caffeine Consumption, Alone or Combined with Agomelatine or Quetiapine, Reduces the Maximum EEG Peak, As Linked to Cortical Neurodegeneration, Ovarian Estrogen Receptor Alpha, and Melatonin Receptor 2.

Applications

Unspecified application

Species

Unspecified reactive species

Sherine Abdelmissih,Sara Adel Hosny,Heba M Elwi,Walaa Mohamed Sayed,Mohamed Ali Eshra,Olfat Gamil Shaker,Nancy F Samir

Molecular medicine reports 27: PubMed36960871

2023

Mechanism of dioscin ameliorating renal fibrosis through NF‑κB signaling pathway‑mediated inflammatory response.

Applications

Unspecified application

Species

Unspecified reactive species

Yang Wang,Peng Liu,Guijie Ma,Chenguang Wu,Wenhui Zhu,Pengce Sun,Wenya Lu,Xinyu Yang,Yilun Zhang,Na Liu,Ping Li

Translational andrology and urology 11:1691-1705 PubMed36632155

2023

A lncRNA-immune checkpoint-related gene signature predicts metastasis-free survival in prostate adenocarcinoma.

Applications

Unspecified application

Species

Unspecified reactive species

Chen Ye,Shengfei Qin,Shuang Qiu,Lin Zhao,Jiaying Miao,Yuangui Chen,Tie Zhou

International journal of molecular sciences 22: PubMed34445661

2021

Anti-Inflammatory Effects of Endogenously Released Adenosine in Synovial Cells of Osteoarthritis and Rheumatoid Arthritis Patients.

Applications

Unspecified application

Species

Unspecified reactive species

Rebecca Sohn,Marius Junker,Andrea Meurer,Frank Zaucke,Rainer H Straub,Zsuzsa Jenei-Lanzl
View all publications

Product promise

We are committed to supporting your work with high-quality reagents, and we're here for you every step of the way. In the unlikely event that one of our products does not perform as expected, you're protected by our Product Promise.
For full details, please see our Terms & Conditions

Please note: All products are 'FOR RESEARCH USE ONLY. NOT FOR USE IN DIAGNOSTIC OR THERAPEUTIC PROCEDURES'.

For licensing inquiries, please contact partnerships@abcam.com