JavaScript is disabled in your browser. Please enable JavaScript to view this website.
AB204085

Anti-ADGB/Androglobin antibody

Be the first to review this product! Submit a review

|

(2 Publications)

Rabbit Polyclonal ADGB/Androglobin antibody. Suitable for IHC-P, ICC/IF and reacts with Human samples. Cited in 2 publications. Immunogen corresponding to Recombinant Fragment Protein within Human ADGB aa 550-700.

View Alternative Names

C6orf103, ADGB, CAPN7L, Androglobin

2 Images
Immunocytochemistry/ Immunofluorescence - Anti-ADGB/Androglobin antibody (AB204085)
  • ICC/IF

Supplier Data

Immunocytochemistry/ Immunofluorescence - Anti-ADGB/Androglobin antibody (AB204085)

Immunofluorescent analysis of paraformaldehyde-fixed, 0.1% Triton X-100 permeabilized A431 cells labeling ADGB/Androglobin with ab204085 at 4 μg/ml (green).

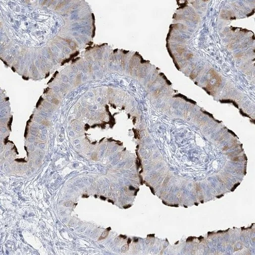
Immunohistochemistry (Formalin/PFA-fixed paraffin-embedded sections) - Anti-ADGB/Androglobin antibody (AB204085)
  • IHC-P

Supplier Data

Immunohistochemistry (Formalin/PFA-fixed paraffin-embedded sections) - Anti-ADGB/Androglobin antibody (AB204085)

Immunohistochemical analysis of paraffin-embedded Human fallopian tube tissue labeling ADGB/Androglobin with ab204085 at 1/200 dilution.

Key facts

Host species

Rabbit

Clonality

Polyclonal

Isotype

IgG

Carrier free

No

Reacts with

Human

Applications

ICC/IF, IHC-P

applications

Immunogen

Recombinant Fragment Protein within Human ADGB aa 550-700. The exact immunogen used to generate this antibody is proprietary information.

Q8N7X0

Reactivity data

{ "title": "Reactivity Data", "filters": { "stats": ["", "Species", "Dilution Info", "Notes"], "tabs": { "all-applications": {"fullname" : "All Applications", "shortname": "All Applications"}, "IHCP" : {"fullname" : "Immunohistochemistry (Formalin/PFA-fixed paraffin-embedded sections)", "shortname":"IHC-P"}, "ICCIF" : {"fullname" : "Immunocytochemistry/ Immunofluorescence", "shortname":"ICC/IF"} }, "product-promise": { "all": "all", "testedAndGuaranteed": "tested", "guaranteed": "expected", "predicted": "predicted", "notRecommended": "not-recommended" } }, "values": { "Human": { "IHCP-species-checked": "testedAndGuaranteed", "IHCP-species-dilution-info": "1/200 - 1/500", "IHCP-species-notes": "<p></p> Perform heat-mediated antigen retrieval with citrate buffer pH 6 before commencing with IHC staining protocol.", "ICCIF-species-checked": "testedAndGuaranteed", "ICCIF-species-dilution-info": "1-4 µg/mL", "ICCIF-species-notes": "<p>Fixation/Permeabilization: PFA/Triton X-100,</p>" } } }

Properties and storage information

Form
Liquid
Purification technique
Affinity purification Immunogen
Storage buffer
pH: 7.2 Preservative: 0.02% Sodium azide Constituents: PBS, 40% Glycerol (glycerin, glycerine)
Shipped at conditions
Blue Ice
Appropriate short-term storage duration
1-2 weeks
Appropriate short-term storage conditions
+4°C
Appropriate long-term storage conditions
-20°C
Aliquoting information
Upon delivery aliquot
Storage information
Avoid freeze / thaw cycle

Supplementary information

This supplementary information is collated from multiple sources and compiled automatically.

Androglobin also known as ADGB is a protein with a mass of approximately 180 kDa. It has a unique structure that includes a globin domain which is less common among other globin proteins. Androglobin is expressed primarily in testis tissue but researchers have also found it in the brain and smooth muscle. This expression pattern suggests it may have specialized roles in these tissues particularly relating to its mechanical action in oxygen binding and regulation.
Biological function summary

ADGB may function as a monomer as it does not form part of a larger protein complex known so far. It seems involved in tissue development and differentiation potentially influencing processes such as sperm maturation due to its expression in testis. The presence of the globin domain might suggest a role in sensing or transferring oxygen although this specific function in ADGB is less defined compared to traditional globins like hemoglobin or myoglobin.

Pathways

The involvement of Androglobin in distinct biological pathways is not fully understood but researchers suspect it might interplay in pathways related to cellular respiration or apoptosis. In these processes proteins such as cytochrome c and caspases are important and perhaps could be influenced or regulated by ADGB's functions due to its potential oxygen-binding characteristics.

Researchers are beginning to explore connections between Androglobin and conditions such as male infertility and certain types of muscular disorders. Alterations or mutations in ADGB could impair normal sperm development or function in testicular tissues. Additionally due to its expression in smooth muscle it may relate to muscle function pathologies although conclusive evidence is still lacking. Further study could reveal links to specific proteins like FSH receptor or actin involved in these disorders.

Product protocols

For this product, it's our understanding that no specific protocols are required. You can visit:

Target data

Probable chimeric globin with a bis-histidyl six-coordinate heme-iron atom through which it could bind dioxygen, carbon monoxide and nitric oxide (PubMed : 22115833). Required for sperm flagellum formation and maturation of elongating spermatids, thus playing an essential role in male fertility (PubMed : 36995441).
See full target information ADGB

Publications (2)

Recent publications for all applications. Explore the full list and refine your search

Nucleic acids research 53: PubMed40557872

2025

Nonredundant roles of topoisomerase 2α and 2β in the cytosolic replication of vaccinia virus.

Applications

Unspecified application

Species

Unspecified reactive species

Ilaria Dalla Rosa,Lois Kent,Michael Way

Clinical epigenetics 12:168 PubMed33160411

2020

LncRNA STXBP5-AS1 suppresses stem cell-like properties of pancreatic cancer by epigenetically inhibiting neighboring androglobin gene expression.

Applications

Unspecified application

Species

Unspecified reactive species

Shi Chen,Long Huang,Ge Li,Funan Qiu,Yaodong Wang,Can Yang,Jingjing Pan,Zhangwei Wu,Jiangzhi Chen,Yifeng Tian
View all publications

Product promise

We are committed to supporting your work with high-quality reagents, and we're here for you every step of the way. In the unlikely event that one of our products does not perform as expected, you're protected by our Product Promise.
For full details, please see our Terms & Conditions

Please note: All products are 'FOR RESEARCH USE ONLY. NOT FOR USE IN DIAGNOSTIC OR THERAPEUTIC PROCEDURES'.

For licensing inquiries, please contact partnerships@abcam.com