JavaScript is disabled in your browser. Please enable JavaScript to view this website.
AB325846

Anti-ADGRE5 antibody [HL1925] - BSA and Azide free

Be the first to review this product! Submit a review

|

(0 Publication)

Rabbit Recombinant Monoclonal CD97 antibody. Carrier free. Suitable for WB, IP and reacts with Human, Transfected cell lysate - Human samples. Immunogen corresponding to Recombinant Fragment Protein within Human ADGRE5.

View Alternative Names

CD97, ADGRE5, Adhesion G protein-coupled receptor E5, Leukocyte antigen CD97

8 Images
Immunoprecipitation - Anti-ADGRE5 antibody [HL1925] - BSA and Azide free (AB325846)
  • IP

Supplier Data

Immunoprecipitation - Anti-ADGRE5 antibody [HL1925] - BSA and Azide free (AB325846)

Immunoprecipitation of CD97 protein from U937 using 5 μg of ab325846. Western blot analysis was performed using ab325846. Secondary : HRP-conjugated anti rabbit IgG antibody.

All lanes:

Immunoprecipitation - Anti-ADGRE5 antibody [HL1925] - BSA and Azide free (ab325846) at 5 µg

Lane 1:

Input

Lane 3:

Immunoprecipitation of CD97 protein from U937

Secondary

All lanes:

HRP-conjugated anti rabbit IgG antibody

false

Western blot - Anti-ADGRE5 antibody [HL1925] - BSA and Azide free (AB325846)
  • WB

Supplier Data

Western blot - Anti-ADGRE5 antibody [HL1925] - BSA and Azide free (AB325846)

Wild-type (WT) and ADGRE5 knockout (KO) HeLa cell extracts (30 ug) were separated by 7.5% SDS-PAGE, and the membrane was blotted with ab325846 diluted at 1 : 500. The HRP-conjugated anti-rabbit IgG antibody was used to detect the primary antibody.

All lanes:

Western blot - Anti-ADGRE5 antibody [HL1925] - BSA and Azide free (ab325846) at 1/500 dilution

Lane 1:

Wild-type (WT) HeLa cell extracts at 30 µg

Lane 2:

ADGRE5 knockout (KO) HeLa cell extracts at 30 µg

Secondary

All lanes:

HRP-conjugated anti-rabbit IgG antibody

false

Western blot - Anti-ADGRE5 antibody [HL1925] - BSA and Azide free (AB325846)
  • WB

Supplier Data

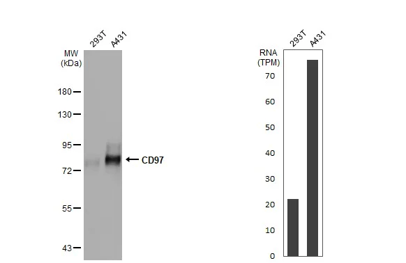
Western blot - Anti-ADGRE5 antibody [HL1925] - BSA and Azide free (AB325846)

Various whole cell extracts (30 ug) were separated by 7.5% SDS-PAGE, and the membrane was blotted with ab325846 diluted at 1 : 500. The HRP-conjugated anti-rabbit IgG antibody was used to detect the primary antibody. Corresponding RNA expression data for the same cell lines are based on Human Protein Atlas program.

All lanes:

Western blot - Anti-ADGRE5 antibody [HL1925] - BSA and Azide free (ab325846) at 1/500 dilution

Lane 1:

293T whole cell extracts at 30 µg

Lane 2:

A431 whole cell extracts at 30 µg

Secondary

All lanes:

HRP-conjugated anti-rabbit IgG antibody

false

Western blot - Anti-ADGRE5 antibody [HL1925] - BSA and Azide free (AB325846)
  • WB

Supplier Data

Western blot - Anti-ADGRE5 antibody [HL1925] - BSA and Azide free (AB325846)

U937 whole cell and membrane extracts (30 ug) were separated by 7.5% SDS-PAGE, and the membranes were blotted with ab325846 diluted at 1 : 1000 and competitor's antibody diluted at 1 : 1000. The HRP-conjugated anti-rabbit IgG antibody was used to detect the primary antibody, and the signal was developed with Trident ECL plus-Enhanced.

All lanes:

Western blot - Anti-ADGRE5 antibody [HL1925] - BSA and Azide free (ab325846) at 1/1000 dilution

Lane 1:

U937 whole cell extracts at 30 µg

Lane 2:

U937 membrane extracts at 30 µg

Secondary

All lanes:

HRP-conjugated anti-rabbit IgG antibody

true

Western blot - Anti-ADGRE5 antibody [HL1925] - BSA and Azide free (AB325846)
  • WB

Supplier Data

Western blot - Anti-ADGRE5 antibody [HL1925] - BSA and Azide free (AB325846)

Wild-type (WT) and CD97 knockout (KO) HeLa cell extracts (30 ug) were separated by 7.5% SDS-PAGE, and the membranes were blotted with ab325846 diluted at 1 : 1000 and the highly cited competitor's antibody diluted at 1 : 1000. The HRP-conjugated anti-rabbit IgG antibody was used to detect the primary antibody, and the signal was developed with Trident ECL plus-Enhanced.

All lanes:

Western blot - Anti-ADGRE5 antibody [HL1925] - BSA and Azide free (ab325846) at 1/1000 dilution

Lane 1:

Boiled Wild-type (WT) HeLa cell extracts at 30 µg

Lane 2:

Boiled CD97 knockout (KO) HeLa cell extracts at 30 µg

Lane 3:

Unboiled Wild-type (WT) HeLa cell extracts at 30 µg

Lane 4:

Unboiled CD97 knockout (KO) HeLa cell extracts at 30 µg

Secondary

All lanes:

HRP-conjugated anti-rabbit IgG antibody

true

Western blot - Anti-ADGRE5 antibody [HL1925] - BSA and Azide free (AB325846)
  • WB

Supplier Data

Western blot - Anti-ADGRE5 antibody [HL1925] - BSA and Azide free (AB325846)

Untreated (–) and treated (+) U937 whole cell extracts (30 ug) were separated by 7.5% SDS-PAGE, and the membrane was blotted with ab325846 diluted at 1 : 2000. The HRP-conjugated anti-rabbit IgG antibody was used to detect the primary antibody, and the signal was developed with Trident ECL plus-Enhanced.

All lanes:

Western blot - Anti-ADGRE5 antibody [HL1925] - BSA and Azide free (ab325846) at 1/2000 dilution

Lane 1:

Untreated (–) U937 whole cell extracts at 30 µg

Lane 2:

24 ug/mL Tunicamycin, 24hr treated (+) U937 whole cell extracts at 30 µg

Secondary

All lanes:

HRP-conjugated anti-rabbit IgG antibody

true

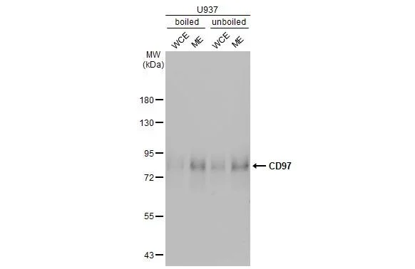
Western blot - Anti-ADGRE5 antibody [HL1925] - BSA and Azide free (AB325846)
  • WB

Supplier Data

Western blot - Anti-ADGRE5 antibody [HL1925] - BSA and Azide free (AB325846)

Boiled and unboiled U937 whole cell and membrane extracts (30 ug) were separated by 7.5% SDS-PAGE, and the membrane was blotted with ab325846 diluted at 1 : 2000. The HRP-conjugated anti-rabbit IgG antibody was used to detect the primary antibody, and the signal was developed with Trident femto Western HRP Substrate.

All lanes:

Western blot - Anti-ADGRE5 antibody [HL1925] - BSA and Azide free (ab325846) at 1/2000 dilution

Lane 1:

Boiled U937 whole cell extracts at 30 µg

Lane 2:

Boiled U937 membrane extracts at 30 µg

Lane 3:

Unboiled U937 whole cell extracts at 30 µg

Lane 4:

Unboiled U937 membrane extracts at 30 µg

Secondary

All lanes:

HRP-conjugated anti-rabbit IgG antibody

true

Western blot - Anti-ADGRE5 antibody [HL1925] - BSA and Azide free (AB325846)
  • WB

Supplier Data

Western blot - Anti-ADGRE5 antibody [HL1925] - BSA and Azide free (AB325846)

Non-transfected (–) and transfected (+) 293T whole cell extracts (30 ug) were separated by 7.5% SDS-PAGE, and the membrane was blotted with ab325846 diluted at 1 : 2000. The HRP-conjugated anti-rabbit IgG antibody was used to detect the primary antibody.

All lanes:

Western blot - Anti-ADGRE5 antibody [HL1925] - BSA and Azide free (ab325846) at 1/2000 dilution

Lane 1:

Non-transfected (–) 293T whole cell extracts at 30 µg

Lane 2:

DDDDK-tagged ADGRE5 transfected (+) 293T whole cell extracts at 30 µg

Secondary

All lanes:

HRP-conjugated anti-rabbit IgG antibody

false

Key facts

Host species

Rabbit

Clonality

Monoclonal

Clone number

HL1925

Isotype

IgG

Carrier free

Yes

Reacts with

Human

Applications

IP, WB

applications

Immunogen

Recombinant Fragment Protein within Human ADGRE5.

P48960

Reactivity data

{ "title": "Reactivity Data", "filters": { "stats": ["", "Species", "Dilution Info", "Notes"], "tabs": { "all-applications": {"fullname" : "All Applications", "shortname": "All Applications"}, "WB" : {"fullname" : "Western blot", "shortname":"WB"}, "IP" : {"fullname" : "Immunoprecipitation", "shortname":"IP"} }, "product-promise": { "all": "all", "testedAndGuaranteed": "tested", "guaranteed": "expected", "predicted": "predicted", "notRecommended": "not-recommended" } }, "values": { "Human": { "WB-species-checked": "testedAndGuaranteed", "WB-species-dilution-info": "1/500 - 1/2000", "WB-species-notes": "<p></p>", "IP-species-checked": "testedAndGuaranteed", "IP-species-dilution-info": "5 µg", "IP-species-notes": "<p></p>" }, "Transfected cell lysate - Human": { "WB-species-checked": "testedAndGuaranteed", "WB-species-dilution-info": "1/2000", "WB-species-notes": "<p></p>", "IP-species-checked": "notRecommended", "IP-species-dilution-info": "", "IP-species-notes": "" } } }

Properties and storage information

Form
Liquid
Purification technique
Affinity purification Protein A
Storage buffer
pH: 7.4 Constituents: PBS
Shipped at conditions
Blue Ice
Appropriate short-term storage duration
1-2 weeks
Appropriate short-term storage conditions
+4°C
Appropriate long-term storage conditions
-20°C
Aliquoting information
Upon delivery aliquot
Storage information
Avoid freeze / thaw cycle

Product protocols

For this product, it's our understanding that no specific protocols are required. You can visit:

Target data

Receptor potentially involved in both adhesion and signaling processes early after leukocyte activation. Plays an essential role in leukocyte migration.
See full target information ADGRE5

Product promise

We are committed to supporting your work with high-quality reagents, and we're here for you every step of the way. In the unlikely event that one of our products does not perform as expected, you're protected by our Product Promise.
For full details, please see our Terms & Conditions

Please note: All products are 'FOR RESEARCH USE ONLY. NOT FOR USE IN DIAGNOSTIC OR THERAPEUTIC PROCEDURES'.

For licensing inquiries, please contact partnerships@abcam.com