JavaScript is disabled in your browser. Please enable JavaScript to view this website.
AB248803

Anti-ADH4 antibody [EPR9483] - BSA and Azide free

Be the first to review this product! Submit a review

|

(1 Publication)

Rabbit Recombinant Monoclonal ADH4 antibody. Carrier free. Suitable for IHC-P, ICC/IF, WB and reacts with Human samples. Cited in 1 publication.

View Alternative Names

ADH2, ADH4, All-trans-retinol dehydrogenase [NAD(+)] ADH4, Alcohol dehydrogenase 2, Alcohol dehydrogenase 4, Alcohol dehydrogenase class II pi chain

3 Images
Immunocytochemistry/ Immunofluorescence - Anti-ADH4 antibody [EPR9483] - BSA and Azide free (AB248803)
  • ICC/IF

Unknown

Immunocytochemistry/ Immunofluorescence - Anti-ADH4 antibody [EPR9483] - BSA and Azide free (AB248803)

This data was developed using ab137077, the same antibody clone in a different buffer formulation.Immunofluorescent analysis of HepG2 cells labelling ADH4 with ab137077 at 1/250 dilution.

Immunohistochemistry (Formalin/PFA-fixed paraffin-embedded sections) - Anti-ADH4 antibody [EPR9483] - BSA and Azide free (AB248803)
  • IHC-P

Unknown

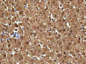
Immunohistochemistry (Formalin/PFA-fixed paraffin-embedded sections) - Anti-ADH4 antibody [EPR9483] - BSA and Azide free (AB248803)

This data was developed using ab137077, the same antibody clone in a different buffer formulation.

Immunohistochemical analysis of paraffin-embedded Human liver tissue carcinoma labelling ADH4 with ab137077 at 1/250 dilution.

Perform heat mediated antigen retrieval with citrate buffer pH 6 before commencing with IHC staining protocol.

Western blot - Anti-ADH4 antibody [EPR9483] - BSA and Azide free (AB248803)
  • WB

Unknown

Western blot - Anti-ADH4 antibody [EPR9483] - BSA and Azide free (AB248803)

This data was developed using ab137077, the same antibody clone in a different buffer formulation.

All lanes:

Western blot - Anti-ADH4 antibody [EPR9483] (<a href='/en-us/products/primary-antibodies/adh4-antibody-epr9483-ab137077'>ab137077</a>) at 1/1000 dilution

All lanes:

Human fetal liver tissue lysate at 10 µg

Secondary

All lanes:

HRP labelled goat anti-rabbit at 1/2000 dilution

Predicted band size: 40 kDa

false

Key facts

Host species

Rabbit

Clonality

Monoclonal

Clone number

EPR9483

Isotype

IgG

Carrier free

Yes

Reacts with

Human

Applications

WB, ICC/IF, IHC-P

applications

Immunogen

The exact immunogen used to generate this antibody is proprietary information.

Reactivity data

{ "title": "Reactivity Data", "filters": { "stats": ["", "Species", "Dilution Info", "Notes"], "tabs": { "all-applications": {"fullname" : "All Applications", "shortname": "All Applications"}, "IHCP" : {"fullname" : "Immunohistochemistry (Formalin/PFA-fixed paraffin-embedded sections)", "shortname":"IHC-P"}, "ICCIF" : {"fullname" : "Immunocytochemistry/ Immunofluorescence", "shortname":"ICC/IF"}, "IP" : {"fullname" : "Immunoprecipitation", "shortname":"IP"}, "WB" : {"fullname" : "Western blot", "shortname":"WB"} }, "product-promise": { "all": "all", "testedAndGuaranteed": "tested", "guaranteed": "expected", "predicted": "predicted", "notRecommended": "not-recommended" } }, "values": { "Human": { "IHCP-species-checked": "testedAndGuaranteed", "IHCP-species-dilution-info": "", "IHCP-species-notes": "<p></p>", "ICCIF-species-checked": "testedAndGuaranteed", "ICCIF-species-dilution-info": "", "ICCIF-species-notes": "<p></p>", "IP-species-checked": "notRecommended", "IP-species-dilution-info": "", "IP-species-notes": "<p></p>", "WB-species-checked": "testedAndGuaranteed", "WB-species-dilution-info": "", "WB-species-notes": "<p></p>" } } }

Product details

ab248803 is the carrier-free version of ab137077.

Species reactivity
Mouse, Rat: We have preliminary internal testing data to indicate this antibody may not react with these species.
Please contact us for more information.

Patented technology
Our RabMAb® technology is a patented hybridoma-based technology for making rabbit monoclonal antibodies. For details on our patents, please refer to RabMAb® patents.

What are the advantages of a recombinant monoclonal antibody?
This product is a recombinant monoclonal antibody, which offers several advantages including:

  • - High batch-to-batch consistency and reproducibility
  • - Improved sensitivity and specificity
  • - Long-term security of supply
  • - Animal-free batch production

For more information, read more on recombinant antibodies.

Conjugation ready
Our carrier-free antibodies are typically supplied in a PBS-only formulation, purified and free of BSA, sodium azide and glycerol. This conjugation-ready format is designed for use with fluorochromes, metal isotopes, oligonucleotides, and enzymes, which makes them ideal for antibody labelling, functional and cell-based assays, flow-based assays (e.g. mass cytometry) and Multiplex Imaging applications.

Use our conjugation kits for antibody conjugates that are ready-to-use in as little as 20 minutes with 1 minute hands-on-time and 100% antibody recovery: available for fluorescent dyes, HRP, biotin and gold.

Compatibility
This product is compatible with the Maxpar® Antibody Labeling Kit from Fluidigm, without the need for antibody preparation. Maxpar® is a trademark of Fluidigm Canada Inc.

Properties and storage information

Form
Liquid
Purification technique
Affinity purification Protein A
Storage buffer
pH: 7.2 - 7.4 Constituents: PBS
Shipped at conditions
Blue Ice
Appropriate short-term storage conditions
+4°C
Appropriate long-term storage conditions
+4°C
Storage information
Do Not Freeze

Supplementary information

This supplementary information is collated from multiple sources and compiled automatically.

ADH4 also known as alcohol dehydrogenase 4 is an enzyme with a mass of approximately 40 kDa. This enzyme plays a role in the oxidation of alcohols within the digestive system. Not just limited to the digestive system ADH4 also shows expression in the liver and kidneys where it contributes to the metabolic processes. Its action involves converting ethanol and other alcohols to their corresponding aldehydes which are then further metabolized.
Biological function summary

The enzyme participates in the oxidation of retinol to retinoic acid a process essential for diverse biological functions. While ADH4 operates primarily as a standalone enzyme it still interacts with other members of the alcohol dehydrogenase family within the liver. These interactions facilitate intermediary metabolism and help maintain homeostasis. The enzyme's role extends beyond simple alcohol metabolism implicating it in broader metabolic contexts.

Pathways

ADH4 occupies a definite position in the ethanol metabolism pathway. It cooperates with enzymes like aldehyde dehydrogenase to process ethanol into acetic acid a step important for energy production and detoxification. Additionally its activity relates to the retinoic acid signaling pathway. Through this pathway it interacts indirectly with enzymes that process retinoids connecting it to cellular differentiation and vision.

ADH4 has associations with alcohol-related liver disease and fetal alcohol syndrome. In liver disease ADH4's excessive ethanol oxidation can lead to toxic aldehyde accumulation contributing to tissue damage. Its interaction with aldehyde dehydrogenase becomes significant as any dysfunction in this relation might exacerbate disease severity. Moreover disruptions in retinoic acid metabolism where ADH4 plays a part can link to disorders affecting embryonic development highlighting its role in conditions like fetal alcohol syndrome.

Product protocols

For this product, it's our understanding that no specific protocols are required. You can visit:

Target data

Catalyzes the NAD-dependent oxidation of either all-trans-retinol or 9-cis-retinol (PubMed : 17279314). Also oxidizes long chain omega-hydroxy fatty acids, such as 20-HETE, producing both the intermediate aldehyde, 20-oxoarachidonate and the end product, a dicarboxylic acid, (5Z,8Z,11Z,14Z)-eicosatetraenedioate (PubMed : 16081420). Also catalyzes the reduction of benzoquinones (PubMed : 10514444).
See full target information ADH4

Publications (1)

Recent publications for all applications. Explore the full list and refine your search

NPJ precision oncology 7:95 PubMed37723227

2023

Targeted single-cell proteomic analysis identifies new liquid biopsy biomarkers associated with multiple myeloma.

Applications

Unspecified application

Species

Unspecified reactive species

Sonia M Setayesh,Libere J Ndacayisaba,Kate E Rappard,Valerie Hennes,Luz Yurany Moreno Rueda,Guilin Tang,Pei Lin,Robert Z Orlowski,David E Symer,Elisabet E Manasanch,Stephanie N Shishido,Peter Kuhn
View all publications

Product promise

We are committed to supporting your work with high-quality reagents, and we're here for you every step of the way. In the unlikely event that one of our products does not perform as expected, you're protected by our Product Promise.
For full details, please see our Terms & Conditions

Please note: All products are 'FOR RESEARCH USE ONLY. NOT FOR USE IN DIAGNOSTIC OR THERAPEUTIC PROCEDURES'.

For licensing inquiries, please contact partnerships@abcam.com