JavaScript is disabled in your browser. Please enable JavaScript to view this website.
AB175406

Anti-ADH5 antibody

Be the first to review this product! Submit a review

|

(1 Publication)

Rabbit Polyclonal ADH5 antibody. Suitable for WB, IHC-P, ICC/IF and reacts with Mouse, Rat, Human samples. Cited in 1 publication. Immunogen corresponding to Recombinant Full Length Protein corresponding to Human ADH5.

View Alternative Names

ADHX, FDH, ADH5, Alcohol dehydrogenase class-3, Alcohol dehydrogenase 5, Alcohol dehydrogenase class chi chain, Alcohol dehydrogenase class-III, Glutathione-dependent formaldehyde dehydrogenase, S-(hydroxymethyl)glutathione dehydrogenase, FALDH, GSH-FDH

4 Images
Immunocytochemistry/ Immunofluorescence - Anti-ADH5 antibody (AB175406)
  • ICC/IF

Unknown

Immunocytochemistry/ Immunofluorescence - Anti-ADH5 antibody (AB175406)

Immunocytochemistry/Immunofluorescence analysis of HepG2 cells using ab175406. Blue DAPI for nuclear staining.

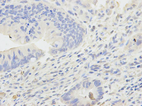
Immunohistochemistry (Formalin/PFA-fixed paraffin-embedded sections) - Anti-ADH5 antibody (AB175406)
  • IHC-P

Unknown

Immunohistochemistry (Formalin/PFA-fixed paraffin-embedded sections) - Anti-ADH5 antibody (AB175406)

Immunohistochemistry (Formalin/PFA-fixed paraffin-embedded sections) analysis of human rectal cancer tissue labelling ADH5 with ab175406 at 1/200. Magnification : 400x.

Immunohistochemistry (Formalin/PFA-fixed paraffin-embedded sections) - Anti-ADH5 antibody (AB175406)
  • IHC-P

Unknown

Immunohistochemistry (Formalin/PFA-fixed paraffin-embedded sections) - Anti-ADH5 antibody (AB175406)

Immunohistochemistry (Formalin/PFA-fixed paraffin-embedded sections) analysis of rat testis tissue labelling ADH5 with ab175406 at 1/200. Magnification : 400x.

Western blot - Anti-ADH5 antibody (AB175406)
  • WB

Supplier Data

Western blot - Anti-ADH5 antibody (AB175406)

All lanes:

Western blot - Anti-ADH5 antibody (ab175406) at 1/500 dilution

All lanes:

Mouse Kidney Cell line extract

Predicted band size: 40 kDa

false

Key facts

Host species

Rabbit

Clonality

Polyclonal

Isotype

IgG

Carrier free

No

Reacts with

Mouse, Rat, Human

Applications

WB, ICC/IF, IHC-P

applications

Immunogen

Recombinant Full Length Protein corresponding to Human ADH5.

P11766

Reactivity data

{ "title": "Reactivity Data", "filters": { "stats": ["", "Species", "Dilution Info", "Notes"], "tabs": { "all-applications": {"fullname" : "All Applications", "shortname": "All Applications"}, "WB" : {"fullname" : "Western blot", "shortname":"WB"}, "IHCP" : {"fullname" : "Immunohistochemistry (Formalin/PFA-fixed paraffin-embedded sections)", "shortname":"IHC-P"}, "ICCIF" : {"fullname" : "Immunocytochemistry/ Immunofluorescence", "shortname":"ICC/IF"} }, "product-promise": { "all": "all", "testedAndGuaranteed": "tested", "guaranteed": "expected", "predicted": "predicted", "notRecommended": "not-recommended" } }, "values": { "Human": { "WB-species-checked": "guaranteed", "WB-species-dilution-info": "", "WB-species-notes": "", "IHCP-species-checked": "testedAndGuaranteed", "IHCP-species-dilution-info": "1/50 - 1/200", "IHCP-species-notes": "<p></p>", "ICCIF-species-checked": "testedAndGuaranteed", "ICCIF-species-dilution-info": "", "ICCIF-species-notes": "<p></p>" }, "Mouse": { "WB-species-checked": "testedAndGuaranteed", "WB-species-dilution-info": "1/500 - 1/2000", "WB-species-notes": "<p></p>", "IHCP-species-checked": "guaranteed", "IHCP-species-dilution-info": "", "IHCP-species-notes": "", "ICCIF-species-checked": "guaranteed", "ICCIF-species-dilution-info": "", "ICCIF-species-notes": "" }, "Rat": { "WB-species-checked": "guaranteed", "WB-species-dilution-info": "", "WB-species-notes": "", "IHCP-species-checked": "testedAndGuaranteed", "IHCP-species-dilution-info": "1/50 - 1/200", "IHCP-species-notes": "<p></p>", "ICCIF-species-checked": "guaranteed", "ICCIF-species-dilution-info": "", "ICCIF-species-notes": "" }, "Cow": { "WB-species-checked": "predicted", "WB-species-dilution-info": "", "WB-species-notes": "", "IHCP-species-checked": "predicted", "IHCP-species-dilution-info": "", "IHCP-species-notes": "", "ICCIF-species-checked": "predicted", "ICCIF-species-dilution-info": "", "ICCIF-species-notes": "" }, "Horse": { "WB-species-checked": "predicted", "WB-species-dilution-info": "", "WB-species-notes": "", "IHCP-species-checked": "predicted", "IHCP-species-dilution-info": "", "IHCP-species-notes": "", "ICCIF-species-checked": "predicted", "ICCIF-species-dilution-info": "", "ICCIF-species-notes": "" }, "Rabbit": { "WB-species-checked": "predicted", "WB-species-dilution-info": "", "WB-species-notes": "", "IHCP-species-checked": "predicted", "IHCP-species-dilution-info": "", "IHCP-species-notes": "", "ICCIF-species-checked": "predicted", "ICCIF-species-dilution-info": "", "ICCIF-species-notes": "" } } }

Properties and storage information

Form
Liquid
Purification technique
Affinity purification Immunogen
Storage buffer
pH: 7.3 Preservative: 0.02% Sodium azide Constituents: 50% Glycerol (glycerin, glycerine), 49% PBS
Shipped at conditions
Blue Ice
Appropriate short-term storage duration
1-2 weeks
Appropriate short-term storage conditions
+4°C
Appropriate long-term storage conditions
-20°C
Aliquoting information
Upon delivery aliquot
Storage information
Avoid freeze / thaw cycle

Supplementary information

This supplementary information is collated from multiple sources and compiled automatically.

ADH5 also known as alcohol dehydrogenase class-3 or glutathione-dependent formaldehyde dehydrogenase is an enzyme with a mass of approximately 42 kDa. It plays a role in alcohol metabolism specifically in the detoxification of formaldehyde. The protein is expressed in many tissues including the liver kidney and lung. ADH5 belongs to the alcohol dehydrogenase protein family and distinguishes itself by its ability to metabolize both aliphatic and aromatic compounds.
Biological function summary

Alcohol metabolism involves more than one enzyme and ADH5 functions within a network of metabolic reactions. This enzyme contributes to formaldehyde detoxification where it oxidizes formaldehyde to formic acid. The ADH5 enzyme operates in the cytosol and takes part in the catabolism of harmful aldehydes. Its action supports cellular protection reducing toxicity from chemical exposure and ensuring normal cellular metabolism.

Pathways

ADH5 plays significant roles in methanol and formaldehyde metabolic pathways. It acts alongside enzymes like alcohol dehydrogenase 1 (ADH1) and aldehyde dehydrogenase (ALDH) in processing formaldehyde into less toxic substances. In the methanol metabolism pathway interactions with ADH1 highlight its role in ethanol to acetaldehyde conversion. The pathway interactions emphasize its importance in reducing oxidative stress and preventing damage from reactive aldehydes.

ADH5's function aligns with conditions related to alcohol metabolism like formaldehyde sensitivity and methanol poisoning. Abnormal ADH5 activity can contribute to such conditions implicating oxidative stress responses. Associations also exist with other diseases related to aldehyde toxicity such as alcohol-related liver damage. Alongside ADH1 and ALDH ADH5 aids in maintaining homeostasis in cellular environments and disruptions can lead to pathological conditions.

Product protocols

For this product, it's our understanding that no specific protocols are required. You can visit:

Target data

Catalyzes the oxidation of long-chain primary alcohols and the oxidation of S-(hydroxymethyl) glutathione (PubMed : 8460164). Also oxidizes long chain omega-hydroxy fatty acids, such as 20-HETE, producing both the intermediate aldehyde, 20-oxoarachidonate and the end product, a dicarboxylic acid, (5Z,8Z,11Z,14Z)-eicosatetraenedioate (PubMed : 16081420). Class-III ADH is remarkably ineffective in oxidizing ethanol (PubMed : 8460164). Required for clearance of cellular formaldehyde, a cytotoxic and carcinogenic metabolite that induces DNA damage (PubMed : 33355142). Also acts as a S-nitroso-glutathione reductase by catalyzing the NADH-dependent reduction of S-nitrosoglutathione, thereby regulating protein S-nitrosylation (By similarity).
See full target information ADH5

Publications (1)

Recent publications for all applications. Explore the full list and refine your search

Redox biology 47:102172 PubMed34678655

2021

GSNOR facilitates antiviral innate immunity by restricting TBK1 cysteine S-nitrosation.

Applications

Unspecified application

Species

Unspecified reactive species

Qianjin Liu,Tianle Gu,Ling-Yan Su,Lijin Jiao,Xinhua Qiao,Min Xu,Ting Xie,Lu-Xiu Yang,Dandan Yu,Ling Xu,Chang Chen,Yong-Gang Yao
View all publications

Product promise

We are committed to supporting your work with high-quality reagents, and we're here for you every step of the way. In the unlikely event that one of our products does not perform as expected, you're protected by our Product Promise.
For full details, please see our Terms & Conditions

Please note: All products are 'FOR RESEARCH USE ONLY. NOT FOR USE IN DIAGNOSTIC OR THERAPEUTIC PROCEDURES'.

For licensing inquiries, please contact partnerships@abcam.com