JavaScript is disabled in your browser. Please enable JavaScript to view this website.
AB250008

Anti-ADH5 antibody [EPR12885(B)] - BSA and Azide free

Be the first to review this product! Submit a review

|

(1 Publication)

Rabbit Recombinant Monoclonal ADH5 antibody. Carrier free. Suitable for IHC-P, WB and reacts with Human, Mouse, Rat samples. Cited in 1 publication.

View Alternative Names

ADHX, FDH, ADH5, Alcohol dehydrogenase class-3, Alcohol dehydrogenase 5, Alcohol dehydrogenase class chi chain, Alcohol dehydrogenase class-III, Glutathione-dependent formaldehyde dehydrogenase, S-(hydroxymethyl)glutathione dehydrogenase, FALDH, GSH-FDH

1 Images
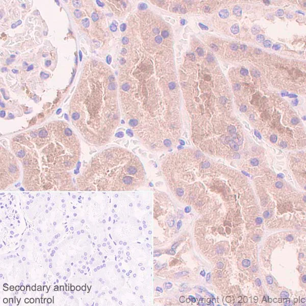
Immunohistochemistry (Formalin/PFA-fixed paraffin-embedded sections) - Anti-ADH5 antibody [EPR12885(B)] - BSA and Azide free (AB250008)
  • IHC-P

Unknown

Immunohistochemistry (Formalin/PFA-fixed paraffin-embedded sections) - Anti-ADH5 antibody [EPR12885(B)] - BSA and Azide free (AB250008)

Immunohistochemistry (Formalin/PFA-fixed paraffin-embedded sections) analysis of human kidney tissue sections labeling ADH5 with purified ab177932 at 1/8000 dilution (0.06 µg/ml). Perform heat mediated antigen retrieval using ab93684 (Tris/EDTA buffer, pH 9.0). ImmunoHistoProbe one step HRP Polymer (ready to use) was used as the secondary antibody. Negative control : PBS instead of the primary antibody. Hematoxylin was used as a counterstain.
This data was developed using the same antibody clone in a different buffer formulation containing PBS, BSA, glycerol, and sodium azide (ab177932)

Key facts

Host species

Rabbit

Clonality

Monoclonal

Clone number

EPR12885(B)

Isotype

IgG

Carrier free

Yes

Reacts with

Mouse, Rat, Human

Applications

IHC-P, WB

applications

Immunogen

The exact immunogen used to generate this antibody is proprietary information.

Specificity

The mouse and rat recommendation is based on the WB results. We do not guarantee IHC-P for mouse and rat.

Reactivity data

{ "title": "Reactivity Data", "filters": { "stats": ["", "Species", "Dilution Info", "Notes"], "tabs": { "all-applications": {"fullname" : "All Applications", "shortname": "All Applications"}, "IHCP" : {"fullname" : "Immunohistochemistry (Formalin/PFA-fixed paraffin-embedded sections)", "shortname":"IHC-P"}, "IP" : {"fullname" : "Immunoprecipitation", "shortname":"IP"}, "FlowCyt" : {"fullname" : "Flow Cytometry", "shortname":"Flow Cyt"}, "WB" : {"fullname" : "Western blot", "shortname":"WB"}, "ICCIF" : {"fullname" : "Immunocytochemistry/ Immunofluorescence", "shortname":"ICC/IF"} }, "product-promise": { "all": "all", "testedAndGuaranteed": "tested", "guaranteed": "expected", "predicted": "predicted", "notRecommended": "not-recommended" } }, "values": { "Human": { "IHCP-species-checked": "testedAndGuaranteed", "IHCP-species-dilution-info": "", "IHCP-species-notes": "<p>The mouse and rat recommendation is based on the WB results. We do not guarantee IHC-P for mouse and rat.</p>", "IP-species-checked": "notRecommended", "IP-species-dilution-info": "", "IP-species-notes": "<p></p>", "FlowCyt-species-checked": "notRecommended", "FlowCyt-species-dilution-info": "", "FlowCyt-species-notes": "<p></p>", "WB-species-checked": "guaranteed", "WB-species-dilution-info": "", "WB-species-notes": "<p></p>", "ICCIF-species-checked": "notRecommended", "ICCIF-species-dilution-info": "", "ICCIF-species-notes": "<p></p>" }, "Mouse": { "IHCP-species-checked": "predicted", "IHCP-species-dilution-info": "", "IHCP-species-notes": "", "IP-species-checked": "notRecommended", "IP-species-dilution-info": "", "IP-species-notes": "<p></p>", "FlowCyt-species-checked": "notRecommended", "FlowCyt-species-dilution-info": "", "FlowCyt-species-notes": "<p></p>", "WB-species-checked": "guaranteed", "WB-species-dilution-info": "", "WB-species-notes": "<p></p>", "ICCIF-species-checked": "notRecommended", "ICCIF-species-dilution-info": "", "ICCIF-species-notes": "<p></p>" }, "Rat": { "IHCP-species-checked": "predicted", "IHCP-species-dilution-info": "", "IHCP-species-notes": "", "IP-species-checked": "notRecommended", "IP-species-dilution-info": "", "IP-species-notes": "<p></p>", "FlowCyt-species-checked": "notRecommended", "FlowCyt-species-dilution-info": "", "FlowCyt-species-notes": "<p></p>", "WB-species-checked": "guaranteed", "WB-species-dilution-info": "", "WB-species-notes": "<p></p>", "ICCIF-species-checked": "notRecommended", "ICCIF-species-dilution-info": "", "ICCIF-species-notes": "<p></p>" } } }

Product details

ab250008 is the carrier-free version of ab177932.

Patented technology
Our RabMAb® technology is a patented hybridoma-based technology for making rabbit monoclonal antibodies. For details on our patents, please refer to RabMAb® patents.

What are the advantages of a recombinant monoclonal antibody?
This product is a recombinant monoclonal antibody, which offers several advantages including:

  • - High batch-to-batch consistency and reproducibility
  • - Improved sensitivity and specificity
  • - Long-term security of supply
  • - Animal-free batch production

For more information, read more on recombinant antibodies.

Conjugation ready
Our carrier-free antibodies are typically supplied in a PBS-only formulation, purified and free of BSA, sodium azide and glycerol. This conjugation-ready format is designed for use with fluorochromes, metal isotopes, oligonucleotides, and enzymes, which makes them ideal for antibody labelling, functional and cell-based assays, flow-based assays (e.g. mass cytometry) and Multiplex Imaging applications.

Use our conjugation kits for antibody conjugates that are ready-to-use in as little as 20 minutes with 1 minute hands-on-time and 100% antibody recovery: available for fluorescent dyes, HRP, biotin and gold.

Compatibility
This product is compatible with the Maxpar® Antibody Labeling Kit from Fluidigm, without the need for antibody preparation. Maxpar® is a trademark of Fluidigm Canada Inc.

Properties and storage information

Form
Liquid
Purification technique
Affinity purification Protein A
Storage buffer
pH: 7.2 - 7.4 Constituents: PBS
Shipped at conditions
Blue Ice
Appropriate short-term storage conditions
+4°C
Appropriate long-term storage conditions
+4°C
Storage information
Do Not Freeze

Supplementary information

This supplementary information is collated from multiple sources and compiled automatically.

ADH5 also known as alcohol dehydrogenase class-3 or glutathione-dependent formaldehyde dehydrogenase is an enzyme with a mass of approximately 42 kDa. It plays a role in alcohol metabolism specifically in the detoxification of formaldehyde. The protein is expressed in many tissues including the liver kidney and lung. ADH5 belongs to the alcohol dehydrogenase protein family and distinguishes itself by its ability to metabolize both aliphatic and aromatic compounds.
Biological function summary

Alcohol metabolism involves more than one enzyme and ADH5 functions within a network of metabolic reactions. This enzyme contributes to formaldehyde detoxification where it oxidizes formaldehyde to formic acid. The ADH5 enzyme operates in the cytosol and takes part in the catabolism of harmful aldehydes. Its action supports cellular protection reducing toxicity from chemical exposure and ensuring normal cellular metabolism.

Pathways

ADH5 plays significant roles in methanol and formaldehyde metabolic pathways. It acts alongside enzymes like alcohol dehydrogenase 1 (ADH1) and aldehyde dehydrogenase (ALDH) in processing formaldehyde into less toxic substances. In the methanol metabolism pathway interactions with ADH1 highlight its role in ethanol to acetaldehyde conversion. The pathway interactions emphasize its importance in reducing oxidative stress and preventing damage from reactive aldehydes.

ADH5's function aligns with conditions related to alcohol metabolism like formaldehyde sensitivity and methanol poisoning. Abnormal ADH5 activity can contribute to such conditions implicating oxidative stress responses. Associations also exist with other diseases related to aldehyde toxicity such as alcohol-related liver damage. Alongside ADH1 and ALDH ADH5 aids in maintaining homeostasis in cellular environments and disruptions can lead to pathological conditions.

Product protocols

For this product, it's our understanding that no specific protocols are required. You can visit:

Target data

Catalyzes the oxidation of long-chain primary alcohols and the oxidation of S-(hydroxymethyl) glutathione (PubMed : 8460164). Also oxidizes long chain omega-hydroxy fatty acids, such as 20-HETE, producing both the intermediate aldehyde, 20-oxoarachidonate and the end product, a dicarboxylic acid, (5Z,8Z,11Z,14Z)-eicosatetraenedioate (PubMed : 16081420). Class-III ADH is remarkably ineffective in oxidizing ethanol (PubMed : 8460164). Required for clearance of cellular formaldehyde, a cytotoxic and carcinogenic metabolite that induces DNA damage (PubMed : 33355142). Also acts as a S-nitroso-glutathione reductase by catalyzing the NADH-dependent reduction of S-nitrosoglutathione, thereby regulating protein S-nitrosylation (By similarity).
See full target information ADH5

Publications (1)

Recent publications for all applications. Explore the full list and refine your search

Molecular medicine (Cambridge, Mass.) 31:65 PubMed39972431

2025

Mechanism of histone demethylase KDM5A in osteoporotic fracture healing through epigenetic regulation of the miR-495/SKP2/Runx2 axis.

Applications

Unspecified application

Species

Unspecified reactive species

Zhuoran Li,Junyan Zhang,Tingting Xu,Zhiying Hao,Yadong Li
View all publications

Product promise

We are committed to supporting your work with high-quality reagents, and we're here for you every step of the way. In the unlikely event that one of our products does not perform as expected, you're protected by our Product Promise.
For full details, please see our Terms & Conditions

Please note: All products are 'FOR RESEARCH USE ONLY. NOT FOR USE IN DIAGNOSTIC OR THERAPEUTIC PROCEDURES'.

For licensing inquiries, please contact partnerships@abcam.com