JavaScript is disabled in your browser. Please enable JavaScript to view this website.
AB236767

Anti-ADH7 antibody

Be the first to review this product! Submit a review

|

(1 Publication)

Rabbit Polyclonal ADH7 antibody. Suitable for WB, IHC-P and reacts with Mouse, Human samples. Cited in 1 publication. Immunogen corresponding to Recombinant Full Length Protein corresponding to Human ADH7.

View Alternative Names

All-trans-retinol dehydrogenase [NAD(+)] ADH7, Alcohol dehydrogenase class 4 mu/sigma chain, Alcohol dehydrogenase class IV mu/sigma chain, Gastric alcohol dehydrogenase, Omega-hydroxydecanoate dehydrogenase ADH7, Retinol dehydrogenase, ADH7

4 Images
Immunohistochemistry (Formalin/PFA-fixed paraffin-embedded sections) - Anti-ADH7 antibody (AB236767)
  • IHC-P

Supplier Data

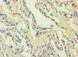
Immunohistochemistry (Formalin/PFA-fixed paraffin-embedded sections) - Anti-ADH7 antibody (AB236767)

Paraffin-embedded human lung tissue stained for ADH7 with ab236767 at 1/100 dilution in immunohistochemical analysis.

Immunohistochemistry (Formalin/PFA-fixed paraffin-embedded sections) - Anti-ADH7 antibody (AB236767)
  • IHC-P

Supplier Data

Immunohistochemistry (Formalin/PFA-fixed paraffin-embedded sections) - Anti-ADH7 antibody (AB236767)

Paraffin-embedded human gastric cancer tissue stained for ADH7 with ab236767 at 1/100 dilution in immunohistochemical analysis.

Immunohistochemistry (Formalin/PFA-fixed paraffin-embedded sections) - Anti-ADH7 antibody (AB236767)
  • IHC-P

Supplier Data

Immunohistochemistry (Formalin/PFA-fixed paraffin-embedded sections) - Anti-ADH7 antibody (AB236767)

Paraffin-embedded human lung cancer tissue stained for ADH7 with ab236767 at 1/100 dilution in immunohistochemical analysis.

Western blot - Anti-ADH7 antibody (AB236767)
  • WB

Supplier Data

Western blot - Anti-ADH7 antibody (AB236767)

All lanes:

Western blot - Anti-ADH7 antibody (ab236767) at 1/1000 dilution

All lanes:

Mouse liver tissue lysate

Secondary

All lanes:

Goat polyclonal to rabbit IgG at 1/10000 dilution

Predicted band size: 41 kDa

false

Key facts

Host species

Rabbit

Clonality

Polyclonal

Isotype

IgG

Carrier free

No

Reacts with

Mouse, Human

Applications

WB, IHC-P

applications

Immunogen

Recombinant Full Length Protein corresponding to Human ADH7.

P40394

Reactivity data

{ "title": "Reactivity Data", "filters": { "stats": ["", "Species", "Dilution Info", "Notes"], "tabs": { "all-applications": {"fullname" : "All Applications", "shortname": "All Applications"}, "WB" : {"fullname" : "Western blot", "shortname":"WB"}, "IHCP" : {"fullname" : "Immunohistochemistry (Formalin/PFA-fixed paraffin-embedded sections)", "shortname":"IHC-P"} }, "product-promise": { "all": "all", "testedAndGuaranteed": "tested", "guaranteed": "expected", "predicted": "predicted", "notRecommended": "not-recommended" } }, "values": { "Human": { "WB-species-checked": "guaranteed", "WB-species-dilution-info": "", "WB-species-notes": "", "IHCP-species-checked": "testedAndGuaranteed", "IHCP-species-dilution-info": "1/20 - 1/200", "IHCP-species-notes": "<p></p>" }, "Mouse": { "WB-species-checked": "testedAndGuaranteed", "WB-species-dilution-info": "1/1000 - 1/5000", "WB-species-notes": "<p></p>", "IHCP-species-checked": "guaranteed", "IHCP-species-dilution-info": "", "IHCP-species-notes": "" } } }

Properties and storage information

Form
Liquid
Purification technique
Affinity purification Protein G
Purification notes
Purity >95%
Storage buffer
pH: 7.4 Preservative: 0.03% Proclin 300 Constituents: PBS, 50% Glycerol (glycerin, glycerine)
Shipped at conditions
Blue Ice
Appropriate short-term storage duration
1-2 weeks
Appropriate short-term storage conditions
+4°C
Appropriate long-term storage conditions
-20°C
Aliquoting information
Upon delivery aliquot
Storage information
Avoid freeze / thaw cycle

Supplementary information

This supplementary information is collated from multiple sources and compiled automatically.

The biological target ADH7 also known as alcohol dehydrogenase 7 or class IV ADH is an enzyme with a molecular mass of approximately 38 kDa. ADH7 belongs to the alcohol dehydrogenase family and participates in the oxidative reduction of alcohols to aldehydes or ketones. This enzyme is expressed mainly in the stomach and to a lesser extent in the liver and other tissues. The expression levels depend on genetic variation among different populations.
Biological function summary

ADH7 plays a role in metabolizing retinoids and ethanol in the body. It does not form a complex but acts as a monomer in enzymatic reactions. By converting alcohols to their aldehyde forms ADH7 participates in detoxification processes and helps maintain homeostasis of retinoid metabolites. This function involves the interaction of ADH7 with other alcohol dehydrogenases that process overlapping substrate types.

Pathways

ADH7 is involved in the retinol metabolism pathway and ethanol degradation pathway. In the retinol metabolism pathway it works alongside other enzymes such as retinol dehydrogenase to maintain vitamin A homeostasis. These pathways are important for detoxifying alcohols and maintaining cell signaling processes. Through some metabolic connections ADH7 interacts with proteins like CYP2E1 in ethanol degradation highlighting a collaborative yet distinct pathway environment.

ADH7 shows a connection to alcoholism and gastric cancer. Genetic variations in ADH7 may influence individual susceptibility to alcohol dependence due to altered alcohol metabolism. Additionally owing to its presence in gastric tissues ADH7's interaction with aldehyde dehydrogenase can modulate the development of gastric cancer under certain conditions emphasizing its relevance in disease etiology and potential therapeutic exploration.

Product protocols

For this product, it's our understanding that no specific protocols are required. You can visit:

Target data

Catalyzes the NAD-dependent oxidation of all-trans-retinol, alcohol, and omega-hydroxy fatty acids and their derivatives (PubMed : 15369820, PubMed : 16787387, PubMed : 9600267). Oxidizes preferentially all trans-retinol, all-trans-4-hydroxyretinol, 9-cis-retinol, 2-hexenol, and long chain omega-hydroxy fatty acids such as juniperic acid (PubMed : 15369820, PubMed : 16787387, PubMed : 9600267). In vitro can also catalyze the NADH-dependent reduction of all-trans-retinal and aldehydes and their derivatives (PubMed : 15369820, PubMed : 16787387, PubMed : 9600267). Reduces preferentially all trans-retinal, all-trans-4-oxoretinal and hexanal (PubMed : 15369820, PubMed : 16787387). Catalyzes in the oxidative direction with higher efficiency (PubMed : 15369820, PubMed : 16787387). Therefore may participate in retinoid metabolism, fatty acid omega-oxidation, and elimination of cytotoxic aldehydes produced by lipid peroxidation (PubMed : 15369820, PubMed : 16787387, PubMed : 9600267).
See full target information ADH7

Publications (1)

Recent publications for all applications. Explore the full list and refine your search

International journal of general medicine 17:3673-3687 PubMed39206267

2024

Phosphoglycerate Dehydrogenase Overexpression Inhibits Ferroptosis to Repress Calcification of Human Coronary Artery Vascular Smooth Muscle Cells via the P53/SLC7A11 Pathway.

Applications

Unspecified application

Species

Unspecified reactive species

Yuhai Zou,Dongdong Li,Ge Guan,Wenting Liu
View all publications

Product promise

We are committed to supporting your work with high-quality reagents, and we're here for you every step of the way. In the unlikely event that one of our products does not perform as expected, you're protected by our Product Promise.
For full details, please see our Terms & Conditions

Please note: All products are 'FOR RESEARCH USE ONLY. NOT FOR USE IN DIAGNOSTIC OR THERAPEUTIC PROCEDURES'.

For licensing inquiries, please contact partnerships@abcam.com