JavaScript is disabled in your browser. Please enable JavaScript to view this website.
AB181281

Anti-Adiponectin antibody [EPR17019]

Be the first to review this product! Submit a review

|

(19 Publications)

Rabbit Recombinant Monoclonal Adiponectin antibody. Suitable for WB, ICC/IF, Flow Cyt (Intra), IHC-P and reacts with Mouse, Rat samples. Cited in 19 publications.

View Alternative Names

Acdc, Acrp30, Apm1, Adipoq, Adiponectin, 30 kDa adipocyte complement-related protein, Adipocyte complement-related 30 kDa protein, Adipocyte-specific protein AdipoQ, ACRP30

5 Images
Flow Cytometry (Intracellular) - Anti-Adiponectin antibody [EPR17019] (AB181281)
  • Flow Cyt (Intra)

Supplier Data

Flow Cytometry (Intracellular) - Anti-Adiponectin antibody [EPR17019] (AB181281)

Intracellular flow cytometric analysis of 4% paraformaldehyde-fixed, 90% methanol permeabilized 3T3-L1 (mouse embryonic fibroblast cell line) cell line labeling Adiponectin with ab181281 at 1/50 (red) compared with a Rabbit IgG, monoclonal [EPR25A] - Isotype Control (ab172730) (black) and an unlabeled control (cells without incubation with primary antibody and secondary antibody) (blue). Goat Anti-Rabbit IgG H&L (Alexa Fluor® 488) (ab150077) at 1/2000 dilution was used as the secondary antibody.

Immunocytochemistry/ Immunofluorescence - Anti-Adiponectin antibody [EPR17019] (AB181281)
  • ICC/IF

Supplier Data

Immunocytochemistry/ Immunofluorescence - Anti-Adiponectin antibody [EPR17019] (AB181281)

Immunofluorescent analysis of 4% paraformaldehyde-fixed, 0.1% Triton X-100 permeabilized 3T3-L1 (mouse embryonic fibroblast cell line) cells labeling Adiponectin with ab181281 at 1/1000 dilution, followed by Goat Anti-Rabbit IgG H&L (Alexa Fluor® 488) (ab150077) secondary antibody at 1/1000 dilution (green). Confocal image showing cytoplasmic staining on 3T3-L1 cell line.

The nuclear counter stain is DAPI (blue). Tubulin is detected with Anti-alpha Tubulin antibody [DM1A] - Microtubule Marker (Alexa Fluor® 594) (ab195889) (red) at 1/200 dilution.

Secondary antibody only control : Used PBS instead of primary antibody, secondary antibody is Goat Anti-Rabbit IgG H&L (Alexa Fluor® 488) (ab150077) secondary antibody at 1/1000 dilution.

Immunohistochemistry (Formalin/PFA-fixed paraffin-embedded sections) - Anti-Adiponectin antibody [EPR17019] (AB181281)
  • IHC-P

Supplier Data

Immunohistochemistry (Formalin/PFA-fixed paraffin-embedded sections) - Anti-Adiponectin antibody [EPR17019] (AB181281)

Immunohistochemical analysis of paraffin-embedded rat adipose tissue labeling Adiponectin with ab181281 at 1/4000 dilution, followed by Goat Anti-Rabbit IgG H&L (HRP) ready to use. Cytoplasmic staining on rat adipocytes (PMID : 25676879). Counter stained with Hematoxylin.

Secondary antibody only control : Used PBS instead of primary antibody, secondary antibody is Goat Anti-Rabbit IgG H&L (HRP) ready to use.

Perform heat mediated antigen retrieval with Tris/EDTA buffer pH 9.0 before commencing with IHC staining protocol.

Immunohistochemistry (Formalin/PFA-fixed paraffin-embedded sections) - Anti-Adiponectin antibody [EPR17019] (AB181281)
  • IHC-P

Supplier Data

Immunohistochemistry (Formalin/PFA-fixed paraffin-embedded sections) - Anti-Adiponectin antibody [EPR17019] (AB181281)

Immunohistochemical analysis of paraffin-embedded mouse adipose tissue labeling Adiponectin with ab181281 at 1/4000 dilution, followed by Goat Anti-Rabbit IgG H&L (HRP) ready to use. Cytoplasmic staining on mouse adipocytes (PMID : 25676879). Counter stained with Hematoxylin.

Secondary antibody only control : Used PBS instead of primary antibody, secondary antibody is Goat Anti-Rabbit IgG H&L (HRP) ready to use.

Perform heat mediated antigen retrieval with Tris/EDTA buffer pH 9.0 before commencing with IHC staining protocol.

Western blot - Anti-Adiponectin antibody [EPR17019] (AB181281)
  • WB

Supplier Data

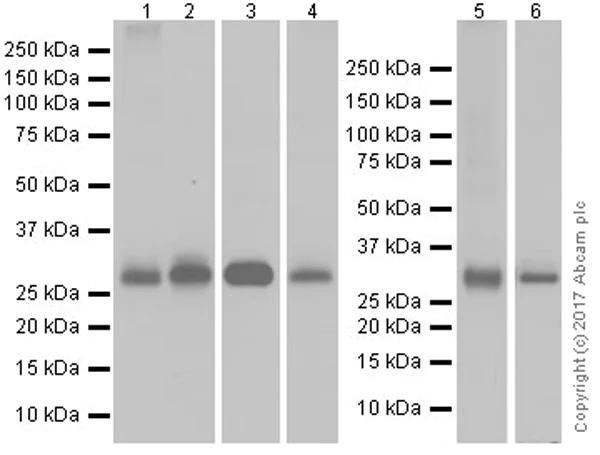
Western blot - Anti-Adiponectin antibody [EPR17019] (AB181281)

Exposure times : Lanes 1-2,4-5 : 1 second; Lane 3 : 3 minutes; Lane 6 : 3 seconds.

Blocking/Dilution buffer : 5% NFDM/TBST.

All lanes:

Western blot - Anti-Adiponectin antibody [EPR17019] (ab181281) at 1/1000 dilution

Lane 1:

Mouse plasma lysate at 20 µg

Lane 2:

Mouse serum lysate at 20 µg

Lane 3:

Mouse placenta lysate at 20 µg

Lane 4:

Mouse white adipose lysate at 20 µg

Lane 5:

Mouse kidney lysate at 20 µg

Lane 6:

Mouse liver lysate at 20 µg

Secondary

All lanes:

Western blot - Goat Anti-Rabbit IgG H&L (HRP) (<a href='/en-us/products/secondary-antibodies/goat-rabbit-igg-h-l-hrp-ab97051'>ab97051</a>) at 1/100000 dilution

Predicted band size: 26 kDa

Observed band size: 26 kDa

true

Key facts

Host species

Rabbit

Clonality

Monoclonal

Clone number

EPR17019

Isotype

IgG

Carrier free

No

Reacts with

Mouse, Rat

Applications

Flow Cyt (Intra), WB, ICC/IF, IHC-P

applications

Immunogen

The exact immunogen used to generate this antibody is proprietary information.

Reactivity data

{ "title": "Reactivity Data", "filters": { "stats": ["", "Species", "Dilution Info", "Notes"], "tabs": { "all-applications": {"fullname" : "All Applications", "shortname": "All Applications"}, "WB" : {"fullname" : "Western blot", "shortname":"WB"}, "ICCIF" : {"fullname" : "Immunocytochemistry/ Immunofluorescence", "shortname":"ICC/IF"}, "FlowCytIntra" : {"fullname" : "Flow Cytometry (Intracellular)", "shortname":"Flow Cyt (Intra)"}, "IHCP" : {"fullname" : "Immunohistochemistry (Formalin/PFA-fixed paraffin-embedded sections)", "shortname":"IHC-P"} }, "product-promise": { "all": "all", "testedAndGuaranteed": "tested", "guaranteed": "expected", "predicted": "predicted", "notRecommended": "not-recommended" } }, "values": { "Mouse": { "WB-species-checked": "testedAndGuaranteed", "WB-species-dilution-info": "1/1000", "WB-species-notes": "<p><strong>We don't recommend WB for rat species because we observed an extra band around 24 kDa in addition to adiponectin, in rat plasma and rat serum lysates.</strong></p>", "ICCIF-species-checked": "testedAndGuaranteed", "ICCIF-species-dilution-info": "1/1000", "ICCIF-species-notes": "<p></p>", "FlowCytIntra-species-checked": "testedAndGuaranteed", "FlowCytIntra-species-dilution-info": "1/50", "FlowCytIntra-species-notes": "<p></p>", "IHCP-species-checked": "testedAndGuaranteed", "IHCP-species-dilution-info": "1/4000", "IHCP-species-notes": "<p></p> Perform heat-mediated antigen retrieval with Tris/EDTA buffer pH 9.0 before commencing with IHC staining protocol." }, "Rat": { "WB-species-checked": "guaranteed", "WB-species-dilution-info": "", "WB-species-notes": "", "ICCIF-species-checked": "guaranteed", "ICCIF-species-dilution-info": "", "ICCIF-species-notes": "", "FlowCytIntra-species-checked": "guaranteed", "FlowCytIntra-species-dilution-info": "", "FlowCytIntra-species-notes": "", "IHCP-species-checked": "testedAndGuaranteed", "IHCP-species-dilution-info": "1/4000", "IHCP-species-notes": "<p></p> Perform heat-mediated antigen retrieval with Tris/EDTA buffer pH 9.0 before commencing with IHC staining protocol." } } }

Product details

Patented technology
Our RabMAb® technology is a patented hybridoma-based technology for making rabbit monoclonal antibodies. For details on our patents, please refer to RabMAb® patents.

What are the advantages of a recombinant monoclonal antibody?
This product is a recombinant monoclonal antibody, which offers several advantages including:

  • - High batch-to-batch consistency and reproducibility
  • - Improved sensitivity and specificity
  • - Long-term security of supply
  • - Animal-free batch production

For more information, read more on recombinant antibodies.

Properties and storage information

Form
Liquid
Purification technique
Affinity purification Protein A
Storage buffer
Preservative: 0.01% Sodium azide Constituents: PBS, 40% Glycerol (glycerin, glycerine), 0.05% BSA
Shipped at conditions
Blue Ice
Appropriate short-term storage duration
1-2 weeks
Appropriate short-term storage conditions
+4°C
Appropriate long-term storage conditions
-20°C
Aliquoting information
Upon delivery aliquot
Storage information
Avoid freeze / thaw cycle

Supplementary information

This supplementary information is collated from multiple sources and compiled automatically.

Adiponectin also known as ADIPOQ or adipocyte complement-related protein of 30 kDa (Acrp30) is a 30 kDa protein that plays a significant mechanical role in energy homeostasis. Adiponectin is secreted predominantly by adipose tissue and circulates in the blood. This protein forms various multimeric structures including low-molecular-weight medium-molecular-weight and high-molecular-weight forms each with distinct biological functions. Its expression in adipose tissue links it closely to metabolic processes and functions related to fat storage and energy balance.
Biological function summary

Adiponectin influences glucose regulation and fatty acid oxidation. It acts as a hormone with several metabolic roles including anti-diabetic anti-atherogenic and anti-inflammatory properties. Adiponectin participates in forming a complex with other proteins such as AdipoR1 and AdipoR2 which are receptors facilitating signal transduction. The interaction of adiponectin with its receptors leads to the induction of several lipid and glucose metabolism pathways important for maintaining cellular energy balance.

Pathways

Many regulatory cascades are influenced by adiponectin. This protein is integral to the AMPK signaling pathway and the PPAR signaling pathway. In the AMPK pathway adiponectin enhances insulin sensitivity and stimulates oxidation of fatty acids in muscle tissue. Through the PPAR pathway it influences lipid metabolism and storage. Adiponectin interacts with key proteins such as leptin and resistin coordinating various metabolic pathways to balance energy and glucose levels making it a critical factor in metabolic regulation.

Reduced levels of adiponectin associate with conditions like type 2 diabetes and cardiovascular disease. Lower circulating adiponectin concentrations correlate with obesity leading to increased insulin resistance and higher risk of type 2 diabetes. In cardiovascular disease this protein's role links to its anti-inflammatory properties and ability to decrease the proliferation of vascular smooth muscle cells. Adiponectin also interacts with proteins like cytokines that play a role in these conditions affecting the body’s inflammatory responses and metabolic processes highlighting its importance in health and disease management.

Product protocols

For this product, it's our understanding that no specific protocols are required. You can visit:

Target data

Important adipokine involved in the control of fat metabolism and insulin sensitivity, with direct anti-diabetic, anti-atherogenic and anti-inflammatory activities. Stimulates AMPK phosphorylation and activation in the liver and the skeletal muscle, enhancing glucose utilization and fatty-acid combustion. Antagonizes TNF-alpha by negatively regulating its expression in various tissues such as liver and macrophages, and also by counteracting its effects. Inhibits endothelial NF-kappa-B signaling through a cAMP-dependent pathway. May play a role in cell growth, angiogenesis and tissue remodeling by binding and sequestering various growth factors with distinct binding affinities, depending on the type of complex, LMW, MMW or HMW.
See full target information Adipoq

Publications (19)

Recent publications for all applications. Explore the full list and refine your search

Advanced science (Weinheim, Baden-Wurttemberg, Germany) 12:e2417715 PubMed40285575

2025

LncRNA-MEG3 Regulates Muscle Mass and Metabolic Homeostasis by Facilitating SUZ12 Liquid-Liquid Phase Separation.

Applications

Unspecified application

Species

Unspecified reactive species

Yilong Yao,Chao Yan,Haibo Huang,Shilong Wang,Jiaying Li,Yun Chen,Xiaolu Qu,Qi Bao,Lingna Xu,Yuanyuan Zhang,Danyang Fan,Xia He,Yanwen Liu,Yongsheng Zhang,Yalan Yang,Zhonglin Tang

Cell death discovery 11:88 PubMed40044676

2025

Targeting Caveolin-1 for enhanced rotator cuff repair: findings from single-cell RNA sequencing.

Applications

Unspecified application

Species

Unspecified reactive species

Shanhong Fang,Songye Wu,Peng Chen

iScience 27:110245 PubMed39055939

2024

Blockade of mesenteric and omental adipose tissue sensory neurons improves cardiac remodeling through sympathetic pathway.

Applications

Unspecified application

Species

Unspecified reactive species

Jiaxing Huang,Xinyu Liu,Qinfang Qiu,Wuping Tan,Rui Li,Haosong Xi,Chen Peng,Liping Zhou,Xiaoya Zhou,Yueyi Wang,Hong Jiang

International journal of molecular sciences 25: PubMed38791193

2024

Regulation and Role of Adiponectin Secretion in Rat Ovarian Granulosa Cells.

Applications

Unspecified application

Species

Unspecified reactive species

Yue Zhou,Shuhao Zhang,Yurong Jia,Xi Wang,Yuning Liu,Haolin Zhang,Zhengrong Yuan,Yingying Han,Qiang Weng

Molecular therapy. Methods & clinical development 31:101152 PubMed38027061

2023

Mitochondrial transplantation reduces lower limb ischemia-reperfusion injury by increasing skeletal muscle energy and adipocyte browning.

Applications

Unspecified application

Species

Unspecified reactive species

Jiaqi Zeng,Jianing Liu,Haiya Ni,Ling Zhang,Jun Wang,Yazhou Li,Wentao Jiang,Ziyu Wu,Min Zhou

Nature communications 14:5360 PubMed37660071

2023

FAM3A reshapes VSMC fate specification in abdominal aortic aneurysm by regulating KLF4 ubiquitination.

Applications

Unspecified application

Species

Unspecified reactive species

Chuxiang Lei,Haoxuan Kan,Xiangyu Xian,Wenlin Chen,Wenxuan Xiang,Xiaohong Song,Jianqiang Wu,Dan Yang,Yuehong Zheng

Molecular medicine reports 28: PubMed37449516

2023

METTL14 mediates ma modification on osteogenic proliferation and differentiation of bone marrow mesenchymal stem cells by regulating the processing of pri-miR-873.

Applications

Unspecified application

Species

Unspecified reactive species

Xin Dong,Bo Liao,Jian Zhao,Xiaoxiang Li,Kang Yan,Kun Ren,Xiaoping Zhang,Xiaoming Bao,Weidong Guo

Biotechnology and applied biochemistry 70:1128-1136 PubMed36517965

2022

N-acetyl-L-cysteine ameliorates gestational diabetes mellitus by inhibiting oxidative stress.

Applications

Unspecified application

Species

Unspecified reactive species

Pei Wang,Hehong Ma,Xiuzhen Hou,Lili Song,Miaoxiao Feng

Annals of translational medicine 10:1172 PubMed36467351

2022

Cathepsin S inhibitor reduces high-fat-induced adipogenesis, inflammatory infiltration, and hepatic lipid accumulation in obese mice.

Applications

Unspecified application

Species

Unspecified reactive species

Jing Zheng,Huijun Zhuang,Tian Zhang,Yanni Wang,Ting Ran,Juan He,Na Han,Juan Duan

Frontiers in medicine 9:922347 PubMed35924034

2022

A rare case of arrhythmogenic right ventricular cardiomyopathy associated with mutation: A case report and literature review.

Applications

Unspecified application

Species

Unspecified reactive species

Yue Wang,Yibing Fang,Dan Zhang,Yifei Li,Shuhua Luo
View all publications

Product promise

We are committed to supporting your work with high-quality reagents, and we're here for you every step of the way. In the unlikely event that one of our products does not perform as expected, you're protected by our Product Promise.
For full details, please see our Terms & Conditions

Please note: All products are 'FOR RESEARCH USE ONLY. NOT FOR USE IN DIAGNOSTIC OR THERAPEUTIC PROCEDURES'.

For licensing inquiries, please contact partnerships@abcam.com