JavaScript is disabled in your browser. Please enable JavaScript to view this website.
AB133347

Anti-Adiponectin antibody [EPR3218]

Be the first to review this product! Submit a review

|

(4 Publications)

Rabbit Recombinant Monoclonal Adiponectin antibody. Suitable for WB and reacts with Mouse, Human, Rat samples. Cited in 4 publications.

View Alternative Names

ACDC, ACRP30, APM1, GBP28, ADIPOQ, Adiponectin, 30 kDa adipocyte complement-related protein, Adipocyte complement-related 30 kDa protein, Adipose most abundant gene transcript 1 protein, Gelatin-binding protein, apM-1

4 Images
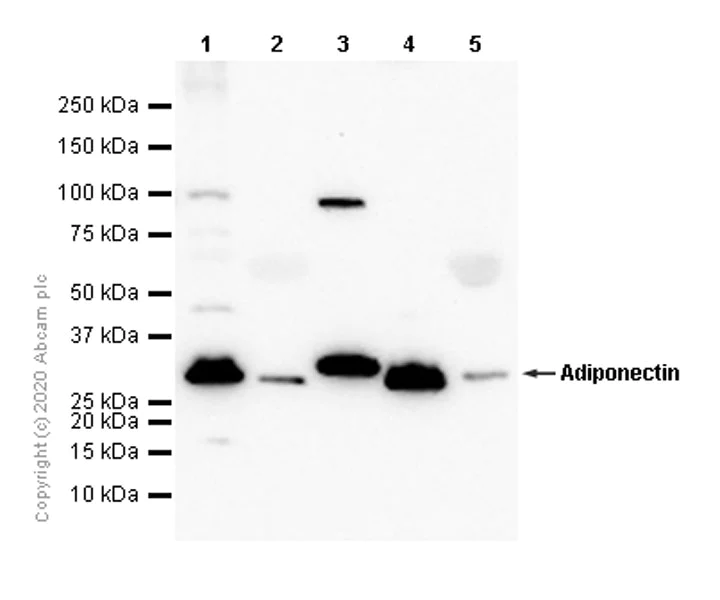
Western blot - Anti-Adiponectin antibody [EPR3218] (AB133347)
  • WB

Unknown

Western blot - Anti-Adiponectin antibody [EPR3218] (AB133347)

The expression profile and molecular weight observed are consistent with what have been described in the literatures (PMID : 15855314, 23967179).

All lanes:

Western blot - Anti-Adiponectin antibody [EPR3218] (ab133347) at 1/1000 dilution

Lane 1:

Mouse white adipose lysate at 20 µg

Lane 2:

Mouse plasma lysate at 20 µg

Lane 3:

Rat-1 (Rat embryonic fibroblast) whole cell lysate at 20 µg

Lane 4:

Rat white adipose lysate at 20 µg

Lane 5:

Rat plasma lysate at 20 µg

Secondary

All lanes:

Goat Anti-Rabbit IgG (HRP) with minimal cross-reactivity with human IgG at 1/2000 dilution

Predicted band size: 26 kDa

Observed band size: 30 kDa

false

Western blot - Anti-Adiponectin antibody [EPR3218] (AB133347)
  • WB

Unknown

Western blot - Anti-Adiponectin antibody [EPR3218] (AB133347)

The expression profile and molecular weight observed are consistent with what have been described in the literatures (PMID : 15855314, 23967179).

All lanes:

Western blot - Anti-Adiponectin antibody [EPR3218] (ab133347) at 1/1000 dilution

Lane 1:

Huh7 (Human hepatocellular carcinoma epithelial cell) whole cell lysate at 20 µg

Lane 2:

Human adipose lysate at 20 µg

Lane 3:

Human plasma lysate at 20 µg

Secondary

All lanes:

Goat Anti-Rabbit IgG (HRP) with minimal cross-reactivity with human IgG at 1/2000 dilution

Predicted band size: 26 kDa

Observed band size: 30 kDa

false

Western blot - Anti-Adiponectin antibody [EPR3218] (AB133347)
  • WB

Unknown

Western blot - Anti-Adiponectin antibody [EPR3218] (AB133347)

All lanes:

Western blot - Anti-Adiponectin antibody [EPR3218] (ab133347) at 1/1000 dilution

Lane 1:

Human fat lysate at 10 µg

Lane 2:

Human placenta lysate at 10 µg

Lane 3:

Human plasma lysate at 10 µg

Secondary

All lanes:

HRP labelled goat anti-rabbit at 1/2000 dilution

Predicted band size: 26 kDa

false

Western blot - Anti-Adiponectin antibody [EPR3218] (AB133347)
  • WB

Unknown

Western blot - Anti-Adiponectin antibody [EPR3218] (AB133347)

All lanes:

Western blot - Anti-Adiponectin antibody [EPR3218] (ab133347)

Lane 1:

Human plasma lysate treated with Beta-ME and heat at 10 µg

Lane 2:

Human plasma lysate treated with heat only at 10 µg

Lane 3:

Human plasma lysate treated with Beta-ME only at 10 µg

Lane 4:

Human plasma lysate untreated at 10 µg

Secondary

All lanes:

HRP labelled goat anti-rabbit at 1/2000 dilution

Predicted band size: 26 kDa

false

Key facts

Host species

Rabbit

Clonality

Monoclonal

Clone number

EPR3218

Isotype

IgG

Carrier free

No

Reacts with

Mouse, Rat, Human

Applications

WB

applications

Immunogen

The exact immunogen used to generate this antibody is proprietary information.

Reactivity data

{ "title": "Reactivity Data", "filters": { "stats": ["", "Species", "Dilution Info", "Notes"], "tabs": { "all-applications": {"fullname" : "All Applications", "shortname": "All Applications"}, "ICCIF" : {"fullname" : "Immunocytochemistry/ Immunofluorescence", "shortname":"ICC/IF"}, "IP" : {"fullname" : "Immunoprecipitation", "shortname":"IP"}, "FlowCyt" : {"fullname" : "Flow Cytometry", "shortname":"Flow Cyt"}, "WB" : {"fullname" : "Western blot", "shortname":"WB"}, "IHCP" : {"fullname" : "Immunohistochemistry (Formalin/PFA-fixed paraffin-embedded sections)", "shortname":"IHC-P"} }, "product-promise": { "all": "all", "testedAndGuaranteed": "tested", "guaranteed": "expected", "predicted": "predicted", "notRecommended": "not-recommended" } }, "values": { "Human": { "ICCIF-species-checked": "notRecommended", "ICCIF-species-dilution-info": "", "ICCIF-species-notes": "<p></p>", "IP-species-checked": "notRecommended", "IP-species-dilution-info": "1/50", "IP-species-notes": "<p></p>", "FlowCyt-species-checked": "notRecommended", "FlowCyt-species-dilution-info": "", "FlowCyt-species-notes": "<p></p>", "WB-species-checked": "testedAndGuaranteed", "WB-species-dilution-info": "1/1000 - 1/10000", "WB-species-notes": "<p></p>", "IHCP-species-checked": "notRecommended", "IHCP-species-dilution-info": "", "IHCP-species-notes": "<p></p>" }, "Mouse": { "ICCIF-species-checked": "notRecommended", "ICCIF-species-dilution-info": "", "ICCIF-species-notes": "<p></p>", "IP-species-checked": "notRecommended", "IP-species-dilution-info": "1/50", "IP-species-notes": "<p></p>", "FlowCyt-species-checked": "notRecommended", "FlowCyt-species-dilution-info": "", "FlowCyt-species-notes": "<p></p>", "WB-species-checked": "testedAndGuaranteed", "WB-species-dilution-info": "1/1000 - 1/10000", "WB-species-notes": "<p></p>", "IHCP-species-checked": "notRecommended", "IHCP-species-dilution-info": "", "IHCP-species-notes": "" }, "Rat": { "ICCIF-species-checked": "notRecommended", "ICCIF-species-dilution-info": "", "ICCIF-species-notes": "<p></p>", "IP-species-checked": "notRecommended", "IP-species-dilution-info": "1/50", "IP-species-notes": "<p></p>", "FlowCyt-species-checked": "notRecommended", "FlowCyt-species-dilution-info": "", "FlowCyt-species-notes": "<p></p>", "WB-species-checked": "testedAndGuaranteed", "WB-species-dilution-info": "1/1000 - 1/10000", "WB-species-notes": "<p></p>", "IHCP-species-checked": "notRecommended", "IHCP-species-dilution-info": "", "IHCP-species-notes": "<p></p>" } } }

You may be interested in:

AB102513

Adipogenesis Detection Assay Kit (Colorimetric/Fluorometric)

0

0 Reviews

View product

We recommend this product because it’s often used in the same experiment or related research.

We advise that you always check the datasheet to ensure it fits your experiments, or contact ourtechnical teamfor help.

Product details

Patented technology
Our RabMAb® technology is a patented hybridoma-based technology for making rabbit monoclonal antibodies. For details on our patents, please refer to RabMAb® patents.

What are the advantages of a recombinant monoclonal antibody?
This product is a recombinant monoclonal antibody, which offers several advantages including:

  • - High batch-to-batch consistency and reproducibility
  • - Improved sensitivity and specificity
  • - Long-term security of supply
  • - Animal-free batch production

For more information, read more on recombinant antibodies.

Properties and storage information

Form
Liquid
Purification technique
Affinity purification Protein A
Storage buffer
pH: 7.2 - 7.4 Preservative: 0.01% Sodium azide Constituents: 59% PBS, 40% Glycerol (glycerin, glycerine), 0.05% BSA
Shipped at conditions
Blue Ice
Appropriate short-term storage duration
1-2 weeks
Appropriate short-term storage conditions
+4°C
Appropriate long-term storage conditions
-20°C
Aliquoting information
Upon delivery aliquot
Storage information
Avoid freeze / thaw cycle

Supplementary information

This supplementary information is collated from multiple sources and compiled automatically.

Adiponectin also known as ADIPOQ or adipocyte complement-related protein of 30 kDa (Acrp30) is a 30 kDa protein that plays a significant mechanical role in energy homeostasis. Adiponectin is secreted predominantly by adipose tissue and circulates in the blood. This protein forms various multimeric structures including low-molecular-weight medium-molecular-weight and high-molecular-weight forms each with distinct biological functions. Its expression in adipose tissue links it closely to metabolic processes and functions related to fat storage and energy balance.
Biological function summary

Adiponectin influences glucose regulation and fatty acid oxidation. It acts as a hormone with several metabolic roles including anti-diabetic anti-atherogenic and anti-inflammatory properties. Adiponectin participates in forming a complex with other proteins such as AdipoR1 and AdipoR2 which are receptors facilitating signal transduction. The interaction of adiponectin with its receptors leads to the induction of several lipid and glucose metabolism pathways important for maintaining cellular energy balance.

Pathways

Many regulatory cascades are influenced by adiponectin. This protein is integral to the AMPK signaling pathway and the PPAR signaling pathway. In the AMPK pathway adiponectin enhances insulin sensitivity and stimulates oxidation of fatty acids in muscle tissue. Through the PPAR pathway it influences lipid metabolism and storage. Adiponectin interacts with key proteins such as leptin and resistin coordinating various metabolic pathways to balance energy and glucose levels making it a critical factor in metabolic regulation.

Reduced levels of adiponectin associate with conditions like type 2 diabetes and cardiovascular disease. Lower circulating adiponectin concentrations correlate with obesity leading to increased insulin resistance and higher risk of type 2 diabetes. In cardiovascular disease this protein's role links to its anti-inflammatory properties and ability to decrease the proliferation of vascular smooth muscle cells. Adiponectin also interacts with proteins like cytokines that play a role in these conditions affecting the body’s inflammatory responses and metabolic processes highlighting its importance in health and disease management.

Product protocols

For this product, it's our understanding that no specific protocols are required. You can visit:

Target data

Important adipokine involved in the control of fat metabolism and insulin sensitivity, with direct anti-diabetic, anti-atherogenic and anti-inflammatory activities. Stimulates AMPK phosphorylation and activation in the liver and the skeletal muscle, enhancing glucose utilization and fatty-acid combustion. Antagonizes TNF-alpha by negatively regulating its expression in various tissues such as liver and macrophages, and also by counteracting its effects. Inhibits endothelial NF-kappa-B signaling through a cAMP-dependent pathway. May play a role in cell growth, angiogenesis and tissue remodeling by binding and sequestering various growth factors with distinct binding affinities, depending on the type of complex, LMW, MMW or HMW.
See full target information ADIPOQ

Publications (4)

Recent publications for all applications. Explore the full list and refine your search

Gut microbes 15:2211501 PubMed37203220

2023

Dietary palmitoleic acid reprograms gut microbiota and improves biological therapy against colitis.

Applications

Unspecified application

Species

Unspecified reactive species

Yiwei Chen,Qiongdan Mai,Zixu Chen,Tao Lin,Yongjie Cai,Jing Han,Ying Wang,Mudan Zhang,Shimin Tan,Zhiying Wu,Lingming Chen,Zhiyi Zhang,Yi Yang,Taimei Cui,Beiyin Ouyang,Yue Sun,Lijia Yang,Lin Xu,Sien Zhang,Jian Li,Hongbo Shen,Linna Liu,Lingchan Zeng,Shenghong Zhang,Gucheng Zeng

Journal of enzyme inhibition and medicinal chemistry 37:1327-1339 PubMed35514167

2022

Design, synthesis, biological evaluation and QSAR analysis of novel -substituted benzimidazole derived carboxamides.

Applications

Unspecified application

Species

Unspecified reactive species

Anja Beč,Marija Mioč,Branimir Bertoša,Marija Kos,Patricia Debogović,Marijeta Kralj,Kristina Starčević,Marijana Hranjec

Antioxidants (Basel, Switzerland) 10: PubMed34943108

2021

Low Dietary n6/n3 Ratio Attenuates Changes in the NRF 2 Gene Expression, Lipid Peroxidation, and Inflammatory Markers Induced by Fructose Overconsumption in the Rat Abdominal Adipose Tissue.

Applications

Unspecified application

Species

Unspecified reactive species

Petra Roškarić,Marcela Šperanda,Tomislav Mašek,Donatella Verbanac,Kristina Starčević

Journal of biomedical science 25:24 PubMed29540173

2018

Adiponectin and adiponectin receptor 1 overexpression enhance inflammatory bowel disease.

Applications

Unspecified application

Species

Unspecified reactive species

Yu-Ju Peng,Tang-Long Shen,Yu-Shan Chen,Harry John Mersmann,Bing-Hsien Liu,Shih-Torng Ding
View all publications

Product promise

We are committed to supporting your work with high-quality reagents, and we're here for you every step of the way. In the unlikely event that one of our products does not perform as expected, you're protected by our Product Promise.
For full details, please see our Terms & Conditions

Associated Products

Select an associated product type
Alternative Product
Primary Antibodies

AB62551

Anti-Adiponectin antibody

primary-antibodies

adiponectin-antibody-ab62551

4

(1 reviews)

Alternative Product
Primary Antibodies

AB25891

Anti-Adiponectin antibody

primary-antibodies

adiponectin-antibody-ab25891

0

(0 reviews)

Alternative Product
Primary Antibodies

AB181699

Anti-Adiponectin antibody - C-terminal

primary-antibodies

adiponectin-antibody-c-terminal-ab181699

0

(0 reviews)

Alternative Product
Primary Antibodies

AB22554

Anti-Adiponectin antibody [19F1]

primary-antibodies

adiponectin-antibody-19f1-ab22554

4

(16 reviews)

Alternative Product
Primary Antibodies

AB47852

Biotin Anti-Adiponectin antibody

primary-antibodies

biotin-adiponectin-antibody-ab47852

0

(0 reviews)

Alternative Product
Primary Antibodies

AB231100

Anti-Adiponectin antibody

primary-antibodies

adiponectin-antibody-ab231100

0

(0 reviews)

Alternative Product
Primary Antibodies

AB231088

Anti-Adiponectin antibody

primary-antibodies

adiponectin-antibody-ab231088

0

(0 reviews)

Alternative Product
Primary Antibodies

AB181281

Anti-Adiponectin antibody [EPR17019]

primary-antibodies

adiponectin-antibody-epr17019-ab181281

0

(0 reviews)

Alternative Product
Primary Antibodies

AB75989

Anti-Adiponectin antibody [EPR3217]

primary-antibodies

adiponectin-antibody-epr3217-ab75989

0

(0 reviews)

Alternative Product
Primary Antibodies

AB227051

Anti-Adiponectin antibody [EPR17019] - BSA and Azide free

primary-antibodies

adiponectin-antibody-epr17019-bsa-and-azide-free-ab227051

0

(0 reviews)

Alternative Product
Primary Antibodies

AB3455

Anti-Adiponectin antibody

primary-antibodies

adiponectin-antibody-ab3455

0

(0 reviews)

Alternative Product
Primary Antibodies

AB216502

Anti-Adiponectin antibody

primary-antibodies

adiponectin-antibody-ab216502

0

(0 reviews)

Please note: All products are 'FOR RESEARCH USE ONLY. NOT FOR USE IN DIAGNOSTIC OR THERAPEUTIC PROCEDURES'.

For licensing inquiries, please contact partnerships@abcam.com