JavaScript is disabled in your browser. Please enable JavaScript to view this website.
AB317847

Anti-Adiponectin antibody [RM1203]

  • BOND RX™ Validated
  • 20ul selling size
  • Recombinant
  • RabMAb
  • What is this?

Be the first to review this product! Submit a review

|

(0 Publication)

Rabbit Recombinant Multiclonal Adiponectin antibody. Suitable for WB, IHC-P and reacts with Human, Mouse, Rat samples.

View Alternative Names

ACDC, ACRP30, APM1, GBP28, ADIPOQ, Adiponectin, 30 kDa adipocyte complement-related protein, Adipocyte complement-related 30 kDa protein, Adipose most abundant gene transcript 1 protein, Gelatin-binding protein, apM-1

9 Images
Immunohistochemistry (Formalin/PFA-fixed paraffin-embedded sections) - Anti-Adiponectin antibody [RM1203] (AB317847)
  • IHC-P

Supplier Data

Immunohistochemistry (Formalin/PFA-fixed paraffin-embedded sections) - Anti-Adiponectin antibody [RM1203] (AB317847)

Immunohistochemical analysis of paraffin-embedded Mouse liver tissue labeling Adiponectin with ab317847 at 1/8000 (0.062 ug/ml) dilution, followed by a ready to use LeicaDS9800 (Bond™ Polymer Refine Detection).

Low expression tissue : positive staining on blood vessels of mouse liver. The section was incubated with ab317847 for 30 mins at room temperature.
The immunostaining was performed on a Leica Biosystems BOND® RX instrument. Incubate slides with 3% Hydrogen Peroxide for 10 mins at room temperature after secondary antibody incubation to reduce the background

Counterstained with Hematoxylin.

Secondary antibody only control : Secondary antibody is a ready to use LeicaDS9800 (Bond™ Polymer Refine Detection).

Heat mediated antigen retrieval was performed with Tris-EDTA buffer (pH 9.0, Epitope Retrieval Solution2) for 20 mins

Immunohistochemistry (Formalin/PFA-fixed paraffin-embedded sections) - Anti-Adiponectin antibody [RM1203] (AB317847)
  • IHC-P

Supplier Data

Immunohistochemistry (Formalin/PFA-fixed paraffin-embedded sections) - Anti-Adiponectin antibody [RM1203] (AB317847)

Immunohistochemical analysis of paraffin-embedded Rat cerebrum tissue labeling Adiponectin with ab317847 at 1/8000 (0.062 ug/ml) dilution, followed by a ready to use LeicaDS9800 (Bond™ Polymer Refine Detection).

Low expression tissue : positive staining on blood vessels of rat cerebrum. The section was incubated with ab317847 for 30 mins at room temperature.
The immunostaining was performed on a Leica Biosystems BOND® RX instrument. Incubate slides with 3% Hydrogen Peroxide for 10 mins at room temperature after secondary antibody incubation to reduce the background

Counterstained with Hematoxylin.

Secondary antibody only control : Secondary antibody is a ready to use LeicaDS9800 (Bond™ Polymer Refine Detection).

Heat mediated antigen retrieval was performed with Tris-EDTA buffer (pH 9.0, Epitope Retrieval Solution2) for 20 mins

Immunohistochemistry (Formalin/PFA-fixed paraffin-embedded sections) - Anti-Adiponectin antibody [RM1203] (AB317847)
  • IHC-P

Supplier Data

Immunohistochemistry (Formalin/PFA-fixed paraffin-embedded sections) - Anti-Adiponectin antibody [RM1203] (AB317847)

Immunohistochemical analysis of paraffin-embedded Rat adipose tissue tissue labeling Adiponectin with ab317847 at 1/8000 (0.062 ug/ml) dilution, followed by a ready to use LeicaDS9800 (Bond™ Polymer Refine Detection).

Positive staining on rat adipose tissue. The section was incubated with ab317847 for 30 mins at room temperature.
The immunostaining was performed on a Leica Biosystems BOND® RX instrument. Incubate slides with 3% Hydrogen Peroxide for 10 mins at room temperature after secondary antibody incubation to reduce the background

Counterstained with Hematoxylin.

Secondary antibody only control : Secondary antibody is a ready to use LeicaDS9800 (Bond™ Polymer Refine Detection).

Heat mediated antigen retrieval was performed with Tris-EDTA buffer (pH 9.0, Epitope Retrieval Solution2) for 20 mins

Immunohistochemistry (Formalin/PFA-fixed paraffin-embedded sections) - Anti-Adiponectin antibody [RM1203] (AB317847)
  • IHC-P

Supplier Data

Immunohistochemistry (Formalin/PFA-fixed paraffin-embedded sections) - Anti-Adiponectin antibody [RM1203] (AB317847)

Immunohistochemical analysis of paraffin-embedded Mouse adipose tissue tissue labeling Adiponectin with ab317847 at 1/8000 (0.062 ug/ml) dilution, followed by a ready to use LeicaDS9800 (Bond™ Polymer Refine Detection).

Positive staining on mouse adipose tissue. The section was incubated with ab317847 for 30 mins at room temperature.
The immunostaining was performed on a Leica Biosystems BOND® RX instrument. Incubate slides with 3% Hydrogen Peroxide for 10 mins at room temperature after secondary antibody incubation to reduce the background

Counterstained with Hematoxylin.

Secondary antibody only control : Secondary antibody is a ready to use LeicaDS9800 (Bond™ Polymer Refine Detection).

Heat mediated antigen retrieval was performed with Tris-EDTA buffer (pH 9.0, Epitope Retrieval Solution2) for 20 mins

Immunohistochemistry (Formalin/PFA-fixed paraffin-embedded sections) - Anti-Adiponectin antibody [RM1203] (AB317847)
  • IHC-P

Supplier Data

Immunohistochemistry (Formalin/PFA-fixed paraffin-embedded sections) - Anti-Adiponectin antibody [RM1203] (AB317847)

Immunohistochemical analysis of paraffin-embedded Mouse cerebrum tissue labeling Adiponectin with ab317847 at 1/8000 (0.062 ug/ml) dilution, followed by a ready to use LeicaDS9800 (Bond™ Polymer Refine Detection).

Low expression tissue : positive staining on blood vessels of mouse cerebrum. The section was incubated with ab317847 for 30 mins at room temperature.
The immunostaining was performed on a Leica Biosystems BOND® RX instrument. Incubate slides with 3% Hydrogen Peroxide for 10 mins at room temperature after secondary antibody incubation to reduce the background

Counterstained with Hematoxylin.

Secondary antibody only control : Secondary antibody is a ready to use LeicaDS9800 (Bond™ Polymer Refine Detection).

Heat mediated antigen retrieval was performed with Tris-EDTA buffer (pH 9.0, Epitope Retrieval Solution2) for 20 mins

Immunohistochemistry (Formalin/PFA-fixed paraffin-embedded sections) - Anti-Adiponectin antibody [RM1203] (AB317847)
  • IHC-P

Supplier Data

Immunohistochemistry (Formalin/PFA-fixed paraffin-embedded sections) - Anti-Adiponectin antibody [RM1203] (AB317847)

Immunohistochemical analysis of paraffin-embedded Rat liver tissue labeling Adiponectin with ab317847 at 1/8000 (0.062 ug/ml) dilution, followed by a ready to use LeicaDS9800 (Bond™ Polymer Refine Detection).

Low expression tissue : positive staining on blood vessels of rat liver. The section was incubated with ab317847 for 30 mins at room temperature.
The immunostaining was performed on a Leica Biosystems BOND® RX instrument. Incubate slides with 3% Hydrogen Peroxide for 10 mins at room temperature after secondary antibody incubation to reduce the background

Counterstained with Hematoxylin.

Secondary antibody only control : Secondary antibody is a ready to use LeicaDS9800 (Bond™ Polymer Refine Detection).

Heat mediated antigen retrieval was performed with Tris-EDTA buffer (pH 9.0, Epitope Retrieval Solution2) for 20 mins

Western blot - Anti-Adiponectin antibody [RM1203] (AB317847)
  • WB

Supplier Data

Western blot - Anti-Adiponectin antibody [RM1203] (AB317847)

Blocking and diluting buffer and concentration : 5% NFDM/TBST.

All lanes:

Western blot - Anti-Adiponectin antibody [RM1203] (ab317847) at 1/1000 dilution

Lane 1:

Huh7 (human hepatocellular carcinoma epithelial cell) whole cell lysate at 20 µg

Lane 2:

NCI-H460 (human Large Cell Lung Cancer epithelial cell) whole cell lysate at 20 µg

Lane 3:

Jurkat (human T cell leukemia T lymphocyte from peripheral blood) whole cell lysate at 20 µg

Secondary

All lanes:

Western blot - Goat Anti-Rabbit IgG H&L (HRP) (<a href='/en-us/products/secondary-antibodies/goat-rabbit-igg-h-l-hrp-ab97051'>ab97051</a>) at 1/20000 dilution

Observed band size: 30 kDa

false

Exposure time: 10s

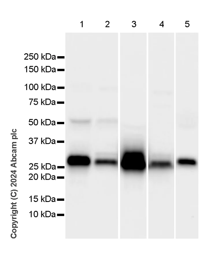
Western blot - Anti-Adiponectin antibody [RM1203] (AB317847)
  • WB

Supplier Data

Western blot - Anti-Adiponectin antibody [RM1203] (AB317847)

Exposure time : Lanes 1-2, 4-5 : 8 seconds, Lane 3 : 3 seconds

Lane 1:

Human plasma tissue lysate

Lane 2:

Human placenta tissue lysate

Lane 3:

Mouse plasma tissue lysate

Lane 4:

Mouse placenta tissue lysate

Lane 5:

Rat plasma tissue lysate

false

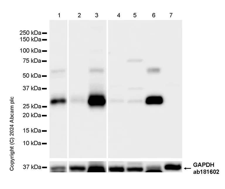
Western blot - Anti-Adiponectin antibody [RM1203] (AB317847)
  • WB

Supplier Data

Western blot - Anti-Adiponectin antibody [RM1203] (AB317847)

The molecular weight observed is consistent with what have been described in the literature (PMID : 15855314, PMID : 23967179).

Low expression : brain, liver (PMID : 29381891)

In Western blot, Anti-GAPDH antibody [EPR16891] - Loading Control (ab181602) staining at 1/200000 dilution.

Lane 1:

Human fat tissue lysate

Lane 2:

Human liver tissue lysate

Lane 3:

Mouse white fat tissue lysate

Lane 4:

Mouse brain tissue lysate

Lane 5:

Mouse liver tissue lysate

Lane 6:

Rat white fat tissue lysate

Lane 7:

Rat brain tissue lysate

false

  • Unconjugated

    Anti-Adiponectin antibody [EPR3218]

  • Unconjugated

    Anti-Adiponectin antibody [EPR17019]

  • Carrier free

    Anti-Adiponectin antibody [RM1203] - BSA and Azide free

  • Carrier free

    Anti-Adiponectin antibody [EPR3218] - BSA and Azide free

  • Carrier free

    Anti-Adiponectin antibody [EPR3218] - BSA and Azide free (Detector)

  • Carrier free

    Anti-Adiponectin antibody [EPR17019] - BSA and Azide free

Key facts

Host species

Rabbit

Clonality

Multiclonal

Clone number

RM1203

Isotype

IgG

Carrier free

No

Reacts with

Human, Mouse, Rat

Applications

WB, IHC-P

applications

Immunogen

The exact immunogen used to generate this antibody is proprietary information.

Specificity

Unsuitable for human IHC-P.

Reactivity data

{ "title": "Reactivity Data", "filters": { "stats": ["", "Species", "Dilution Info", "Notes"], "tabs": { "all-applications": {"fullname" : "All Applications", "shortname": "All Applications"}, "WB" : {"fullname" : "Western blot", "shortname":"WB"}, "IHCP" : {"fullname" : "Immunohistochemistry (Formalin/PFA-fixed paraffin-embedded sections)", "shortname":"IHC-P"}, "IP" : {"fullname" : "Immunoprecipitation", "shortname":"IP"}, "ICCIF" : {"fullname" : "Immunocytochemistry/ Immunofluorescence", "shortname":"ICC/IF"}, "FlowCytIntra" : {"fullname" : "Flow Cytometry (Intracellular)", "shortname":"Flow Cyt (Intra)"} }, "product-promise": { "all": "all", "testedAndGuaranteed": "tested", "guaranteed": "expected", "predicted": "predicted", "notRecommended": "not-recommended" } }, "values": { "Human": { "WB-species-checked": "testedAndGuaranteed", "WB-species-dilution-info": "1/1000", "WB-species-notes": "<p></p>", "IHCP-species-checked": "notRecommended", "IHCP-species-dilution-info": "", "IHCP-species-notes": "<p></p>", "IP-species-checked": "notRecommended", "IP-species-dilution-info": "", "IP-species-notes": "<p></p>", "ICCIF-species-checked": "notRecommended", "ICCIF-species-dilution-info": "", "ICCIF-species-notes": "<p></p>", "FlowCytIntra-species-checked": "notRecommended", "FlowCytIntra-species-dilution-info": "", "FlowCytIntra-species-notes": "" }, "Mouse": { "WB-species-checked": "testedAndGuaranteed", "WB-species-dilution-info": "1/1000", "WB-species-notes": "<p></p>", "IHCP-species-checked": "testedAndGuaranteed", "IHCP-species-dilution-info": "1/8000", "IHCP-species-notes": "<p></p> Perform heat-mediated antigen retrieval with Tris/EDTA buffer pH 9.0 before commencing with IHC staining protocol.", "IP-species-checked": "notRecommended", "IP-species-dilution-info": "", "IP-species-notes": "<p></p>", "ICCIF-species-checked": "notRecommended", "ICCIF-species-dilution-info": "", "ICCIF-species-notes": "", "FlowCytIntra-species-checked": "notRecommended", "FlowCytIntra-species-dilution-info": "", "FlowCytIntra-species-notes": "<p></p>" }, "Rat": { "WB-species-checked": "testedAndGuaranteed", "WB-species-dilution-info": "1/1000", "WB-species-notes": "<p></p>", "IHCP-species-checked": "testedAndGuaranteed", "IHCP-species-dilution-info": "1/8000", "IHCP-species-notes": "<p></p> Perform heat-mediated antigen retrieval with Tris/EDTA buffer pH 9.0 before commencing with IHC staining protocol.", "IP-species-checked": "notRecommended", "IP-species-dilution-info": "", "IP-species-notes": "<p></p>", "ICCIF-species-checked": "notRecommended", "ICCIF-species-dilution-info": "", "ICCIF-species-notes": "", "FlowCytIntra-species-checked": "notRecommended", "FlowCytIntra-species-dilution-info": "", "FlowCytIntra-species-notes": "" } } }

Product details

What are recombinant multiclonals?
Recombinant multiclonals are a mixture of recombinant antibodies co-expressed from a library of heavy and light chains. They offer several advantages including:

  • - The sensitivity of polyclonal antibodies by recognising multiple epitopes
  • - High batch-to-batch consistency and reproducibility
  • - Improved sensitivity and specificity
  • - Long-term security of supply
  • - Animal-free batch production

View our range of recombinant multiclonal antibodies.

Patented technology
Our RabMAb® technology is a patented hybridoma-based technology for making rabbit monoclonal antibodies. For details on our patents, please refer to RabMAb® patents.

Properties and storage information

Form
Liquid
Purification technique
Affinity purification Protein A
Storage buffer
pH: 7.2 - 7.4 Preservative: 0.01% Sodium azide Constituents: PBS, 40% Glycerol (glycerin, glycerine), 0.05% BSA
Shipped at conditions
Blue Ice
Appropriate short-term storage duration
1-2 weeks
Appropriate short-term storage conditions
+4°C
Appropriate long-term storage conditions
-20°C
Aliquoting information
Upon delivery aliquot
Storage information
Avoid freeze / thaw cycle

Supplementary information

This supplementary information is collated from multiple sources and compiled automatically.

Adiponectin also known as ADIPOQ or adipocyte complement-related protein of 30 kDa (Acrp30) is a 30 kDa protein that plays a significant mechanical role in energy homeostasis. Adiponectin is secreted predominantly by adipose tissue and circulates in the blood. This protein forms various multimeric structures including low-molecular-weight medium-molecular-weight and high-molecular-weight forms each with distinct biological functions. Its expression in adipose tissue links it closely to metabolic processes and functions related to fat storage and energy balance.
Biological function summary

Adiponectin influences glucose regulation and fatty acid oxidation. It acts as a hormone with several metabolic roles including anti-diabetic anti-atherogenic and anti-inflammatory properties. Adiponectin participates in forming a complex with other proteins such as AdipoR1 and AdipoR2 which are receptors facilitating signal transduction. The interaction of adiponectin with its receptors leads to the induction of several lipid and glucose metabolism pathways important for maintaining cellular energy balance.

Pathways

Many regulatory cascades are influenced by adiponectin. This protein is integral to the AMPK signaling pathway and the PPAR signaling pathway. In the AMPK pathway adiponectin enhances insulin sensitivity and stimulates oxidation of fatty acids in muscle tissue. Through the PPAR pathway it influences lipid metabolism and storage. Adiponectin interacts with key proteins such as leptin and resistin coordinating various metabolic pathways to balance energy and glucose levels making it a critical factor in metabolic regulation.

Reduced levels of adiponectin associate with conditions like type 2 diabetes and cardiovascular disease. Lower circulating adiponectin concentrations correlate with obesity leading to increased insulin resistance and higher risk of type 2 diabetes. In cardiovascular disease this protein's role links to its anti-inflammatory properties and ability to decrease the proliferation of vascular smooth muscle cells. Adiponectin also interacts with proteins like cytokines that play a role in these conditions affecting the body’s inflammatory responses and metabolic processes highlighting its importance in health and disease management.

Product protocols

For this product, it's our understanding that no specific protocols are required. You can visit:

Target data

Important adipokine involved in the control of fat metabolism and insulin sensitivity, with direct anti-diabetic, anti-atherogenic and anti-inflammatory activities. Stimulates AMPK phosphorylation and activation in the liver and the skeletal muscle, enhancing glucose utilization and fatty-acid combustion. Antagonizes TNF-alpha by negatively regulating its expression in various tissues such as liver and macrophages, and also by counteracting its effects. Inhibits endothelial NF-kappa-B signaling through a cAMP-dependent pathway. May play a role in cell growth, angiogenesis and tissue remodeling by binding and sequestering various growth factors with distinct binding affinities, depending on the type of complex, LMW, MMW or HMW.
See full target information ADIPOQ

Additional targets

Adipoq

Product promise

We are committed to supporting your work with high-quality reagents, and we're here for you every step of the way. In the unlikely event that one of our products does not perform as expected, you're protected by our Product Promise.
For full details, please see our Terms & Conditions

Please note: All products are 'FOR RESEARCH USE ONLY. NOT FOR USE IN DIAGNOSTIC OR THERAPEUTIC PROCEDURES'.

For licensing inquiries, please contact partnerships@abcam.com