JavaScript is disabled in your browser. Please enable JavaScript to view this website.
AB267400

Anti-ADK antibody [EPR23166-143] - BSA and Azide free

  • BOND RX™ Validated
  • RabMAb
  • Recombinant
  • KO Validated
  • What is this?

Be the first to review this product! Submit a review

|

(0 Publication)

Rabbit Recombinant Monoclonal ADK antibody. Carrier free. Suitable for WB, IHC-P, Flow Cyt (Intra) and reacts with Human, Mouse, Rat samples.

View Alternative Names

Adenosine kinase, AK, Adenosine 5'-phosphotransferase, ADK

6 Images
Immunohistochemistry (Formalin/PFA-fixed paraffin-embedded sections) - Anti-ADK antibody [EPR23166-143] - BSA and Azide free (AB267400)
  • IHC-P

Unknown

Immunohistochemistry (Formalin/PFA-fixed paraffin-embedded sections) - Anti-ADK antibody [EPR23166-143] - BSA and Azide free (AB267400)

Immunohistochemical analysis of paraffin-embedded human tonsil tissue labeling ADK with ab243636 at 1/1000 followed by a ready to use Rabbit specific IHC polymer detection kit HRP/DAB (ab209101). Nuclear and weak cytoplasmic staining on human tonsil is observed. The section was incubated with ab243636 for 30 mins at room temperature. The immunostaining was performed on a Leica Biosystems BOND® RX instrument. Counterstained with hematoxylin.

Secondary antibody only control : Ready to use Rabbit specific IHC polymer detection kit HRP/DAB (ab209101).

Heat mediated antigen retrieval with Tris-EDTA buffer (pH 9.0, epitope retrieval solution 2) for 20mins.

This data was developed using the same antibody clone in a different buffer formulation containing PBS, BSA, glycerol, and sodium azide (ab243636).

Flow Cytometry (Intracellular) - Anti-ADK antibody [EPR23166-143] - BSA and Azide free (AB267400)
  • Flow Cyt (Intra)

Unknown

Flow Cytometry (Intracellular) - Anti-ADK antibody [EPR23166-143] - BSA and Azide free (AB267400)

Intracellular flow cytometric analysis of 4% paraformaldehyde fixed 90% methanol permeabilized PC-3 (Human prostate adenocarcinoma epithelial cell) cells labeling ADK with ab243636 at 1\500 (Red) compared with a Rabbit monoclonal IgG (ab172730) / Black isotype control and an unlabeled control (cells without incubation with primary antibody and secondary antibody) (Blue). A Goat anti rabbit IgG (Alexa Fluor® 488, ab150077) at 1/2000 was used as the secondary antibody.

This data was developed using the same antibody clone in a different buffer formulation containing PBS, BSA, glycerol, and sodium azide (ab243636).

Immunohistochemistry (Formalin/PFA-fixed paraffin-embedded sections) - Anti-ADK antibody [EPR23166-143] - BSA and Azide free (AB267400)
  • IHC-P

Unknown

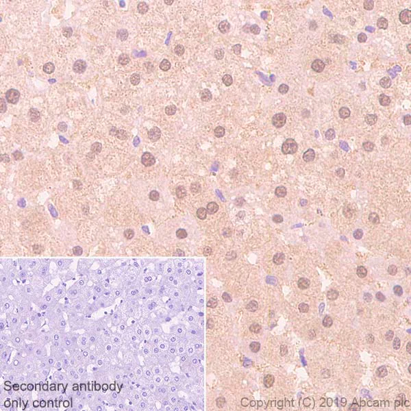
Immunohistochemistry (Formalin/PFA-fixed paraffin-embedded sections) - Anti-ADK antibody [EPR23166-143] - BSA and Azide free (AB267400)

Immunohistochemical analysis of paraffin-embedded human liver tissue labeling ADK with ab243636 at 1/1000 followed by a ready to use Rabbit specific IHC polymer detection kit HRP/DAB (ab209101). Nuclear and cytoplasmic staining on human liver is observed. The section was incubated with ab243636 for 30 mins at room temperature. The immunostaining was performed on a Leica Biosystems BOND® RX instrument. Counterstained with hematoxylin.

Secondary antibody only control : Ready to use Rabbit specific IHC polymer detection kit HRP/DAB (ab209101).

Heat mediated antigen retrieval with Tris-EDTA buffer (pH 9.0, epitope retrieval solution 2) for 20mins.

This data was developed using the same antibody clone in a different buffer formulation containing PBS, BSA, glycerol, and sodium azide (ab243636).

Immunohistochemistry (Formalin/PFA-fixed paraffin-embedded sections) - Anti-ADK antibody [EPR23166-143] - BSA and Azide free (AB267400)
  • IHC-P

Unknown

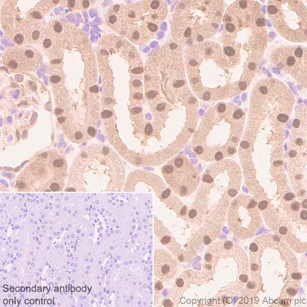
Immunohistochemistry (Formalin/PFA-fixed paraffin-embedded sections) - Anti-ADK antibody [EPR23166-143] - BSA and Azide free (AB267400)

Immunohistochemical analysis of paraffin-embedded rat kidney tissue labeling ADK with ab243636 at 1/1000 followed by a ready to use Rabbit specific IHC polymer detection kit HRP/DAB (ab209101). Nuclear and cytoplasmic staining on rat kidney is observed. The section was incubated with ab243636 for 30 mins at room temperature. The immunostaining was performed on a Leica Biosystems BOND® RX instrument. Counterstained with hematoxylin.

Secondary antibody only control : Ready to use Rabbit specific IHC polymer detection kit HRP/DAB (ab209101).

Heat mediated antigen retrieval with Tris-EDTA buffer (pH 9.0, epitope retrieval solution 2) for 20mins.

This data was developed using the same antibody clone in a different buffer formulation containing PBS, BSA, glycerol, and sodium azide (ab243636).

Immunohistochemistry (Formalin/PFA-fixed paraffin-embedded sections) - Anti-ADK antibody [EPR23166-143] - BSA and Azide free (AB267400)
  • IHC-P

Unknown

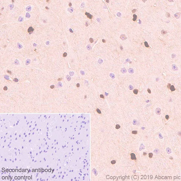
Immunohistochemistry (Formalin/PFA-fixed paraffin-embedded sections) - Anti-ADK antibody [EPR23166-143] - BSA and Azide free (AB267400)

Immunohistochemical analysis of paraffin-embedded mouse cerebrum tissue labeling ADK with ab243636 at 1/1000 followed by a ready to use Rabbit specific IHC polymer detection kit HRP/DAB (ab209101). Nuclear and cytoplasmic staining on mouse cerebrum is observed. The section was incubated with ab243636 for 30 mins at room temperature. The immunostaining was performed on a Leica Biosystems BOND® RX instrument. Counterstained with hematoxylin.

Secondary antibody only control : Ready to use Rabbit specific IHC polymer detection kit HRP/DAB (ab209101).

Heat mediated antigen retrieval with Tris-EDTA buffer (pH 9.0, epitope retrieval solution 2) for 20mins.

This data was developed using the same antibody clone in a different buffer formulation containing PBS, BSA, glycerol, and sodium azide (ab243636).

Western blot - Anti-ADK antibody [EPR23166-143] - BSA and Azide free (AB267400)
  • WB

Lab

Western blot - Anti-ADK antibody [EPR23166-143] - BSA and Azide free (AB267400)

This data was developed using the same antibody clone in a different buffer formulation (ab243636).

Lanes 1- 2 : Merged signal (red and green). Green - ab243636 observed at 41 kDa. Red - Anti-GAPDH antibody [6C5] - Loading Control (ab8245) observed at 37 kDa.

ab243636 was shown to react with Adenosine kinase in wild-type HeLa cells in western blot. Loss of signal was observed when knockout cell line ab265646 (knockout cell lysate ab257343) was used. Wild-type HeLa and ADK knockout HeLa cell lysates were subjected to SDS-PAGE. Membrane was blocked for 1 hour at room temperature in 0.1% TBST with 3% non-fat dried milk. ab243636 and Anti-GAPDH antibody [6C5] - Loading Control (ab8245) overnight at 4°C at a 1 in 1000 dilution and a 1 in 20000 dilution respectively. Blots were developed with Goat anti-Rabbit IgG H&L (IRDye®800CW) preadsorbed (ab216773) and Goat anti-Mouse IgG H&L (IRDye®680RD) preadsorbed (ab216776) secondary antibodies at 1 in 20000 dilution for 1 hour at room temperature before imaging.

All lanes:

Western blot - Anti-ADK antibody [EPR23166-143] (<a href='/en-us/products/primary-antibodies/adk-antibody-epr23166-143-ab243636'>ab243636</a>) at 1/1000 dilution

Lane 1:

Wild-type HeLa cell lysate at 20 µg

Lane 2:

ADK knockout HeLa cell lysate at 20 µg

Lane 2:

Western blot - Human ADK knockout HeLa cell line (<a href='/en-us/products/cell-lines/human-adk-knockout-hela-cell-line-ab265646'>ab265646</a>)

Predicted band size: 41 kDa

Observed band size: 41 kDa

false

Key facts

Host species

Rabbit

Clonality

Monoclonal

Clone number

EPR23166-143

Isotype

IgG

Carrier free

Yes

Reacts with

Rat, Human, Mouse

Applications

WB, IHC-P, Flow Cyt (Intra)

applications

Immunogen

The exact immunogen used to generate this antibody is proprietary information.

Reactivity data

{ "title": "Reactivity Data", "filters": { "stats": ["", "Species", "Dilution Info", "Notes"], "tabs": { "all-applications": {"fullname" : "All Applications", "shortname": "All Applications"}, "IP" : {"fullname" : "Immunoprecipitation", "shortname":"IP"}, "WB" : {"fullname" : "Western blot", "shortname":"WB"}, "IHCP" : {"fullname" : "Immunohistochemistry (Formalin/PFA-fixed paraffin-embedded sections)", "shortname":"IHC-P"}, "ICCIF" : {"fullname" : "Immunocytochemistry/ Immunofluorescence", "shortname":"ICC/IF"}, "FlowCytIntra" : {"fullname" : "Flow Cytometry (Intracellular)", "shortname":"Flow Cyt (Intra)"} }, "product-promise": { "all": "all", "testedAndGuaranteed": "tested", "guaranteed": "expected", "predicted": "predicted", "notRecommended": "not-recommended" } }, "values": { "Human": { "IP-species-checked": "notRecommended", "IP-species-dilution-info": "", "IP-species-notes": "<p></p>", "WB-species-checked": "testedAndGuaranteed", "WB-species-dilution-info": "", "WB-species-notes": "<p></p>", "IHCP-species-checked": "testedAndGuaranteed", "IHCP-species-dilution-info": "", "IHCP-species-notes": "<p></p>", "ICCIF-species-checked": "notRecommended", "ICCIF-species-dilution-info": "", "ICCIF-species-notes": "<p></p>", "FlowCytIntra-species-checked": "testedAndGuaranteed", "FlowCytIntra-species-dilution-info": "", "FlowCytIntra-species-notes": "<p></p>" }, "Mouse": { "IP-species-checked": "notRecommended", "IP-species-dilution-info": "", "IP-species-notes": "<p></p>", "WB-species-checked": "testedAndGuaranteed", "WB-species-dilution-info": "", "WB-species-notes": "<p></p>", "IHCP-species-checked": "testedAndGuaranteed", "IHCP-species-dilution-info": "", "IHCP-species-notes": "<p></p>", "ICCIF-species-checked": "notRecommended", "ICCIF-species-dilution-info": "", "ICCIF-species-notes": "<p></p>", "FlowCytIntra-species-checked": "guaranteed", "FlowCytIntra-species-dilution-info": "", "FlowCytIntra-species-notes": "" }, "Rat": { "IP-species-checked": "notRecommended", "IP-species-dilution-info": "", "IP-species-notes": "<p></p>", "WB-species-checked": "testedAndGuaranteed", "WB-species-dilution-info": "", "WB-species-notes": "<p></p>", "IHCP-species-checked": "testedAndGuaranteed", "IHCP-species-dilution-info": "", "IHCP-species-notes": "<p></p>", "ICCIF-species-checked": "notRecommended", "ICCIF-species-dilution-info": "", "ICCIF-species-notes": "<p></p>", "FlowCytIntra-species-checked": "guaranteed", "FlowCytIntra-species-dilution-info": "", "FlowCytIntra-species-notes": "" } } }

Product details

ab267400 is the carrier-free version of ab243636.

Patented technology
Our RabMAb® technology is a patented hybridoma-based technology for making rabbit monoclonal antibodies. For details on our patents, please refer to RabMAb® patents.

What are the advantages of a recombinant monoclonal antibody?
This product is a recombinant monoclonal antibody, which offers several advantages including:

  • - High batch-to-batch consistency and reproducibility
  • - Improved sensitivity and specificity
  • - Long-term security of supply
  • - Animal-free batch production

For more information, read more on recombinant antibodies.

Conjugation ready
Our carrier-free antibodies are typically supplied in a PBS-only formulation, purified and free of BSA, sodium azide and glycerol. This conjugation-ready format is designed for use with fluorochromes, metal isotopes, oligonucleotides, and enzymes, which makes them ideal for antibody labelling, functional and cell-based assays, flow-based assays (e.g. mass cytometry) and Multiplex Imaging applications.

Use our conjugation kits for antibody conjugates that are ready-to-use in as little as 20 minutes with 1 minute hands-on-time and 100% antibody recovery: available for fluorescent dyes, HRP, biotin and gold.

Compatibility
This product is compatible with the Maxpar® Antibody Labeling Kit from Fluidigm, without the need for antibody preparation. Maxpar® is a trademark of Fluidigm Canada Inc.

Properties and storage information

Form
Liquid
Purification technique
Affinity purification Protein A
Storage buffer
pH: 7.2 - 7.4 Constituents: PBS
Shipped at conditions
Blue Ice
Appropriate short-term storage conditions
+4°C
Appropriate long-term storage conditions
+4°C
Storage information
Do Not Freeze

Supplementary information

This supplementary information is collated from multiple sources and compiled automatically.

Adenosine kinase (ADK) also known by its alternative name ATP:adenosine 5'-phosphotransferase is an enzyme with a molecular mass of approximately 40 kDa. This enzyme catalyzes the transfer of a phosphate group from ATP to adenosine forming AMP. ADK is expressed in several tissues with significant presence in the liver brain and lungs. This distribution suggests its versatile role in organ-specific metabolism and regulatory processes.
Biological function summary

The enzyme modulates cellular adenosine levels which influences various physiological functions such as sleep regulation and immune responses. ADK does not operate as part of a larger protein complex but acts independently to maintain intracellular energy balance by regulating the pools of adenosine and AMP. The enzyme activity affects purine metabolism important in diverse cellular activities.

Pathways

The activity of adenosine kinase fits prominently into the purine metabolism and energy homeostasis pathways. Its function maintains the cellular concentrations of adenosine a nucleotide affecting cellular signaling pathways including the AMP-activated protein kinase (AMPK) pathway. ADK interacts with enzymes like adenosine deaminase which collectively orchestrate the purine salvage pathway—pivotal in nucleotide recycling.

Irregularities in ADK function have implications in neurological disorders and liver diseases. Abnormal ADK activity links to epilepsy due to its role in controlling adenosine concentrations affecting neurotransmitter release. Liver diseases such as hepatic steatosis have shown associations with altered ADK function impacting energy balance. The interplay with proteins such as AMP-activated protein kinase indicates potential therapeutic targets in disorders where metabolic regulation is compromised.

Product protocols

For this product, it's our understanding that no specific protocols are required. You can visit:

Target data

Catalyzes the phosphorylation of the purine nucleoside adenosine at the 5' position in an ATP-dependent manner. Serves as a potential regulator of concentrations of extracellular adenosine and intracellular adenine nucleotides.
See full target information ADK

Product promise

We are committed to supporting your work with high-quality reagents, and we're here for you every step of the way. In the unlikely event that one of our products does not perform as expected, you're protected by our Product Promise.
For full details, please see our Terms & Conditions

Please note: All products are 'FOR RESEARCH USE ONLY. NOT FOR USE IN DIAGNOSTIC OR THERAPEUTIC PROCEDURES'.

For licensing inquiries, please contact partnerships@abcam.com