JavaScript is disabled in your browser. Please enable JavaScript to view this website.
AB228633

Anti-ADPGK antibody

Be the first to review this product! Submit a review

|

(1 Publication)

Rabbit Polyclonal ADPGK antibody. Suitable for WB, IHC-P and reacts with Human samples. Cited in 1 publication. Immunogen corresponding to Recombinant Fragment Protein within Human ADPGK.

View Alternative Names

PSEC0260, ADPGK, ADP-dependent glucokinase, ADP-GK, RbBP-35

2 Images
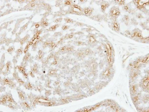
Immunohistochemistry (Formalin/PFA-fixed paraffin-embedded sections) - Anti-ADPGK antibody (AB228633)
  • IHC-P

Supplier Data

Immunohistochemistry (Formalin/PFA-fixed paraffin-embedded sections) - Anti-ADPGK antibody (AB228633)

Paraffin-embedded human breast cancer tissue stained for ADPGK using ab228633 at a 1 : 250 dilution in immunohistochemical analysis.

Western blot - Anti-ADPGK antibody (AB228633)
  • WB

Supplier Data

Western blot - Anti-ADPGK antibody (AB228633)

7.5% SDS-PAGE gel.

All lanes:

Western blot - Anti-ADPGK antibody (ab228633) at 1/500 dilution

Lane 1:

HeLa S3 (Human epithelial cell line from cervix adenocarcinoma) nuclear extract lysate. at 30 µg

Lane 2:

MOLT-4 (Human lymphoblastic leukemia cell line) whole cell lysate. at 30 µg

Predicted band size: 54 kDa

true

Key facts

Host species

Rabbit

Clonality

Polyclonal

Isotype

IgG

Carrier free

No

Reacts with

Human

Applications

IHC-P, WB

applications

Immunogen

Recombinant Fragment Protein within Human ADPGK. The exact immunogen used to generate this antibody is proprietary information.

Q9BRR6

Reactivity data

{ "title": "Reactivity Data", "filters": { "stats": ["", "Species", "Dilution Info", "Notes"], "tabs": { "all-applications": {"fullname" : "All Applications", "shortname": "All Applications"}, "WB" : {"fullname" : "Western blot", "shortname":"WB"}, "IHCP" : {"fullname" : "Immunohistochemistry (Formalin/PFA-fixed paraffin-embedded sections)", "shortname":"IHC-P"} }, "product-promise": { "all": "all", "testedAndGuaranteed": "tested", "guaranteed": "expected", "predicted": "predicted", "notRecommended": "not-recommended" } }, "values": { "Human": { "WB-species-checked": "testedAndGuaranteed", "WB-species-dilution-info": "1/500 - 1/3000", "WB-species-notes": "<p></p>", "IHCP-species-checked": "testedAndGuaranteed", "IHCP-species-dilution-info": "1/100 - 1/1000", "IHCP-species-notes": "<p></p>" }, "Mouse": { "WB-species-checked": "predicted", "WB-species-dilution-info": "", "WB-species-notes": "", "IHCP-species-checked": "predicted", "IHCP-species-dilution-info": "", "IHCP-species-notes": "" }, "Rat": { "WB-species-checked": "predicted", "WB-species-dilution-info": "", "WB-species-notes": "", "IHCP-species-checked": "predicted", "IHCP-species-dilution-info": "", "IHCP-species-notes": "" }, "Cow": { "WB-species-checked": "predicted", "WB-species-dilution-info": "", "WB-species-notes": "", "IHCP-species-checked": "predicted", "IHCP-species-dilution-info": "", "IHCP-species-notes": "" } } }

Properties and storage information

Form
Liquid
Purification technique
Affinity purification Immunogen
Storage buffer
pH: 7 Preservative: 0.01% Thimerosal (merthiolate) Constituents: 10% Glycerol (glycerin, glycerine), 1.21% Tris, 0.75% Glycine
Shipped at conditions
Blue Ice
Appropriate short-term storage duration
1-2 weeks
Appropriate short-term storage conditions
+4°C
Appropriate long-term storage conditions
-20°C
Aliquoting information
Upon delivery aliquot
Storage information
Avoid freeze / thaw cycle

Supplementary information

This supplementary information is collated from multiple sources and compiled automatically.

ADP-dependent glucokinase commonly known as ADPGK is an enzyme that catalyzes the phosphorylation of glucose. ADPGK has a molecular mass of approximately 53 kDa. This protein primarily expresses in various tissues including liver and heart where it participates in glycolytic processes. The enzyme functions under anaerobic conditions facilitating glucose utilization when oxygen levels are low.
Biological function summary

ADPGK facilitates energy production in cells by converting glucose into glucose-6-phosphate. This conversion is part of cellular energy metabolism especially in conditions with limited oxygen supply. While ADPGK generally acts independently under certain conditions it may interact with glucose transporters to optimize glucose uptake and metabolism. Its role is pivotal in enabling cells to adapt to metabolic demands by promoting glycolysis even without oxygen.

Pathways

ADPGK acts within the glycolytic pathway a central metabolic pathway that provides energy and biosynthetic precursors. It works alongside enzymes like hexokinase indicating a functional relationship in glycolysis initiation. ADPGK is also linked to the pentose phosphate pathway indirectly influencing NADPH production and ribose synthesis. These pathways interplay to balance energy production and anabolic reactions highlighting ADPGK's significance in cellular metabolism.

ADPGK influences conditions associated with impaired energy metabolism. Notably its altered function associates with certain types of cancer where abnormal glycolysis often called the Warburg effect occurs. ADPGK has connections to glucose transporters and hexokinase in these contexts impacting cancer cell metabolism. It also shows relevance in metabolic syndromes where altered glucose processing leads to various health complications. Understanding ADPGK functions helps in targeting these pathways for therapeutic interventions.

Product protocols

For this product, it's our understanding that no specific protocols are required. You can visit:

Target data

Catalyzes the phosphorylation of D-glucose to D-glucose 6-phosphate using ADP as the phosphate donor. GDP and CDP can replace ADP, but with reduced efficiency (By similarity).
See full target information ADPGK

Publications (1)

Recent publications for all applications. Explore the full list and refine your search

Molecular & cellular proteomics : MCP 20:100108 PubMed34129938

2021

Sensitive and Quantitative Detection of MHC-I Displayed Neoepitopes Using a Semiautomated Workflow and TOMAHAQ Mass Spectrometry.

Applications

Unspecified application

Species

Unspecified reactive species

Samuel B Pollock,Christopher M Rose,Martine Darwish,Romain Bouziat,Lélia Delamarre,Craig Blanchette,Jennie R Lill
View all publications

Product promise

We are committed to supporting your work with high-quality reagents, and we're here for you every step of the way. In the unlikely event that one of our products does not perform as expected, you're protected by our Product Promise.
For full details, please see our Terms & Conditions

Please note: All products are 'FOR RESEARCH USE ONLY. NOT FOR USE IN DIAGNOSTIC OR THERAPEUTIC PROCEDURES'.

For licensing inquiries, please contact partnerships@abcam.com