JavaScript is disabled in your browser. Please enable JavaScript to view this website.
AB84405

Anti-ADRA1B antibody

4

(1 Review)

|

(3 Publications)

Rabbit Polyclonal ADRA1B antibody. Suitable for WB, IHC-P, ICC/IF and reacts with Human samples. Cited in 3 publications. Immunogen corresponding to Synthetic Peptide within Human ADRA1B.

View Alternative Names

Alpha-1B adrenergic receptor, Alpha-1B adrenoreceptor, Alpha-1B adrenoceptor, ADRA1B

3 Images
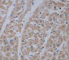
Immunohistochemistry (Formalin/PFA-fixed paraffin-embedded sections) - Anti-ADRA1B antibody (AB84405)
  • IHC-P

Unknown

Immunohistochemistry (Formalin/PFA-fixed paraffin-embedded sections) - Anti-ADRA1B antibody (AB84405)

ab84405, at a 1/100 dilution, staining ADRA1B in formalin fixed, paraffin embedded human heart tissue by Immunohistochemistry.

Immunocytochemistry/ Immunofluorescence - Anti-ADRA1B antibody (AB84405)
  • ICC/IF

Unknown

Immunocytochemistry/ Immunofluorescence - Anti-ADRA1B antibody (AB84405)

ICC/IF image of ab84450 stained HeLa cells. The cells were 4% formaldehyde fixed (10 min) and then incubated in 1%BSA / 10% normal goat serum / 0.3M glycine in 0.1% PBS-Tween for 1h to permeabilise the cells and block non-specific protein-protein interactions. The cells were then incubated with the antibody (ab84450, 1µg/ml) overnight at +4°C. The secondary antibody (green) was ab96899, DyLight® 488 goat anti-rabbit IgG (H+L) used at a 1/250 dilution for 1h. Alexa Fluor® 594 WGA was used to label plasma membranes (red) at a 1/200 dilution for 1h. DAPI was used to stain the cell nuclei (blue) at a concentration of 1.43µM.

Western blot - Anti-ADRA1B antibody (AB84405)
  • WB

Unknown

Western blot - Anti-ADRA1B antibody (AB84405)

All lanes:

Western blot - Anti-ADRA1B antibody (ab84405) at 1/500 dilution

All lanes:

human fetal brain lysates

Predicted band size: 57 kDa

Observed band size: 57 kDa

false

Key facts

Host species

Rabbit

Clonality

Polyclonal

Isotype

IgG

Carrier free

No

Reacts with

Human

Applications

IHC-P, WB, ICC/IF

applications

Immunogen

Synthetic Peptide within Human ADRA1B. The exact immunogen used to generate this antibody is proprietary information.

P35368

Reactivity data

{ "title": "Reactivity Data", "filters": { "stats": ["", "Species", "Dilution Info", "Notes"], "tabs": { "all-applications": {"fullname" : "All Applications", "shortname": "All Applications"}, "WB" : {"fullname" : "Western blot", "shortname":"WB"}, "IHCP" : {"fullname" : "Immunohistochemistry (Formalin/PFA-fixed paraffin-embedded sections)", "shortname":"IHC-P"}, "ICCIF" : {"fullname" : "Immunocytochemistry/ Immunofluorescence", "shortname":"ICC/IF"} }, "product-promise": { "all": "all", "testedAndGuaranteed": "tested", "guaranteed": "expected", "predicted": "predicted", "notRecommended": "not-recommended" } }, "values": { "Human": { "WB-species-checked": "testedAndGuaranteed", "WB-species-dilution-info": "1/200 - 1/1000", "WB-species-notes": "<p></p>", "IHCP-species-checked": "testedAndGuaranteed", "IHCP-species-dilution-info": "1/100 - 1/500", "IHCP-species-notes": "<p></p>", "ICCIF-species-checked": "testedAndGuaranteed", "ICCIF-species-dilution-info": "1 µg/mL", "ICCIF-species-notes": "<p></p>" } } }

Properties and storage information

Form
Lyophilized
Reconstitution
reconstitute with water at 200µL
Purification technique
Affinity purification Immunogen
Purification notes
ab84405 is purified by a peptide affinity column.
Storage buffer
Preservative: 0.02% Sodium azide Constituents: 1% BSA
Shipped at conditions
Blue Ice
Appropriate short-term storage conditions
+4°C
Appropriate long-term storage conditions
-20°C
Aliquoting information
Upon delivery aliquot
Storage information
Avoid freeze / thaw cycle

Supplementary information

This supplementary information is collated from multiple sources and compiled automatically.

ADRA1B also known as alpha-1B adrenergic receptor is a G protein-coupled receptor (GPCR) involved in various cellular processes. It has a molecular mass of approximately 56 kDa. ADRA1B mainly expresses in smooth muscle cells particularly within arterial walls and cardiac tissues which suggests its involvement in cardiovascular function. It also expresses in the central nervous system reflecting a broader physiological role.
Biological function summary

Alpha-1B adrenergic receptor mediates vasoconstriction and regulates blood pressure by interacting with catecholamines like norepinephrine. This receptor participates in forming a homodimer or a heterodimer complex with other adrenergic receptors which affects its signaling capabilities and functional outcomes. The receptor's activation influences smooth muscle contraction cardiac output and alpha-adrenergic signaling.

Pathways

ADRA1B actively participates in the adrenergic signaling pathway influencing cardiovascular regulation and smooth muscle contraction. The receptor interacts with proteins such as G proteins which are central to signal transduction. It also relates to the mitogen-activated protein kinase (MAPK) pathway promoting cell proliferation and survival linking its function to both cardiac and neural activities.

ADRA1B associates with hypertension and heart failure where its overexpression or dysregulation affects vascular resistance and cardiac workload. It connects to proteins like phospholipase C which further modulate intracellular calcium levels linked to these cardiovascular conditions. Additionally changes in this receptor's function may relate to psychiatric disorders reflecting its role in the central nervous system and interactions with noradrenergic pathways.

Product protocols

For this product, it's our understanding that no specific protocols are required. You can visit:

Target data

This alpha-adrenergic receptor mediates its action by association with G proteins that activate a phosphatidylinositol-calcium second messenger system. Its effect is mediated by G(q) and G(11) proteins. Nuclear ADRA1A-ADRA1B heterooligomers regulate phenylephrine (PE)-stimulated ERK signaling in cardiac myocytes.
See full target information ADRA1B

Publications (3)

Recent publications for all applications. Explore the full list and refine your search

Frontiers in molecular biosciences 9:807931 PubMed35372518

2022

Identification of a 3-Gene Prognostic Index for Papillary Thyroid Carcinoma.

Applications

Unspecified application

Species

Unspecified reactive species

Lin-Kun Zhong,Xing-Yan Deng,Fei Shen,Wen-Song Cai,Jian-Hua Feng,Xiao-Xiong Gan,Shan Jiang,Chi-Zhuai Liu,Ming-Guang Zhang,Jiang-Wei Deng,Bing-Xing Zheng,Xiao-Zhang Xie,Li-Qing Ning,Hui Huang,Shan-Shan Chen,Jian-Hang Miao,Bo Xu

Neuroscience 371:126-137 PubMed29229557

2017

α1b-Adrenergic Receptor Localization and Relationship to the D1-Dopamine Receptor in the Rat Nucleus Accumbens.

Applications

Unspecified application

Species

Unspecified reactive species

Darlene A Mitrano,Kelsey Jackson,Samantha Finley,Allison Seeley

Neuroscience 258:90-100 PubMed24231738

2013

D1-dopamine and α1-adrenergic receptors co-localize in dendrites of the rat prefrontal cortex.

Applications

ICC/IF

Species

Human

D A Mitrano,J-F Pare,Y Smith,D Weinshenker
View all publications

Product promise

We are committed to supporting your work with high-quality reagents, and we're here for you every step of the way. In the unlikely event that one of our products does not perform as expected, you're protected by our Product Promise.
For full details, please see our Terms & Conditions

Please note: All products are 'FOR RESEARCH USE ONLY. NOT FOR USE IN DIAGNOSTIC OR THERAPEUTIC PROCEDURES'.

For licensing inquiries, please contact partnerships@abcam.com