JavaScript is disabled in your browser. Please enable JavaScript to view this website.
AB245776

Anti-ADRA1B antibody [EPR10336] - BSA and Azide free

Be the first to review this product! Submit a review

|

(0 Publication)

Rabbit Recombinant Monoclonal ADRA1B antibody. Carrier free. Suitable for WB, IHC-P and reacts with Human, Mouse, Rat samples.

View Alternative Names

Alpha-1B adrenergic receptor, Alpha-1B adrenoreceptor, Alpha-1B adrenoceptor, ADRA1B

6 Images
Immunohistochemistry (Formalin/PFA-fixed paraffin-embedded sections) - Anti-ADRA1B antibody [EPR10336] - BSA and Azide free (AB245776)
  • IHC-P

Lab

Immunohistochemistry (Formalin/PFA-fixed paraffin-embedded sections) - Anti-ADRA1B antibody [EPR10336] - BSA and Azide free (AB245776)

This data was developed using ab169523, the same antibody clone in a different buffer formulation.

Immunohistochemical analysis of paraffin-embedded Mouse stomach tissue labeling ADRA1B with ab169523 at 1/500 (1.242 µg/mL) dilution followed by a ready to use Rabbit specific IHC polymer detection kit HRP/DAB (ab209101). Cytoplasmic staining on mouse stomach. The section was incubated with ab169523 for 30 minutes at room temperature. The immunostaining was performed on a Leica Biosystems BOND® RX instrument Counterstained with Hematoxylin.

Secondary antibody only control : Secondary antibody is a ready to use Rabbit specific IHC polymer detection kit HRP/DAB (ab209101).

Heat mediated antigen retrieval with Tris-EDTA buffer (pH 9.0, epitope retrieval solution) for 20 minutes.

Immunohistochemistry (Formalin/PFA-fixed paraffin-embedded sections) - Anti-ADRA1B antibody [EPR10336] - BSA and Azide free (AB245776)
  • IHC-P

Lab

Immunohistochemistry (Formalin/PFA-fixed paraffin-embedded sections) - Anti-ADRA1B antibody [EPR10336] - BSA and Azide free (AB245776)

This data was developed using ab169523, the same antibody clone in a different buffer formulation.

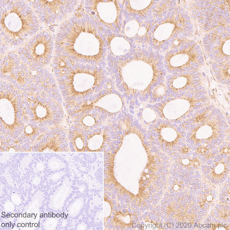
Immunohistochemical analysis of paraffin-embedded Rat stomach tissue labeling ADRA1B with ab169523 at 1/500 (1.242 µg/mL) dilution followed by a ready to use Rabbit specific IHC polymer detection kit HRP/DAB (ab209101). Cytoplasmic staining on rat stomach. The section was incubated with ab169523 for 30 minutes at room temperature. The immunostaining was performed on a Leica Biosystems BOND® RX instrument Counterstained with Hematoxylin.

Secondary antibody only control : Secondary antibody is a ready to use Rabbit specific IHC polymer detection kit HRP/DAB (ab209101).

Heat mediated antigen retrieval with Tris-EDTA buffer (pH 9.0, epitope retrieval solution) for 20 minutes.

Immunohistochemistry (Formalin/PFA-fixed paraffin-embedded sections) - Anti-ADRA1B antibody [EPR10336] - BSA and Azide free (AB245776)
  • IHC-P

Lab

Immunohistochemistry (Formalin/PFA-fixed paraffin-embedded sections) - Anti-ADRA1B antibody [EPR10336] - BSA and Azide free (AB245776)

This data was developed using ab169523, the same antibody clone in a different buffer formulation.

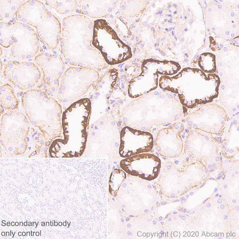
Immunohistochemical analysis of paraffin-embedded Human kidney tissue labeling ADRA1B with ab169523 at 1/500 (1.242 µg/mL) dilution followed by a ready to use Rabbit specific IHC polymer detection kit HRP/DAB (ab209101). Cytoplasmic staining predominantly on collecting duct of human kidney. The section was incubated with ab169523 for 30 minutes at room temperature. The immunostaining was performed on a Leica Biosystems BOND® RX instrument Counterstained with Hematoxylin.

Secondary antibody only control : Secondary antibody is a ready to use Rabbit specific IHC polymer detection kit HRP/DAB (ab209101).

Heat mediated antigen retrieval with Tris-EDTA buffer (pH 9.0, epitope retrieval solution) for 20 minutes.

Immunohistochemistry (Formalin/PFA-fixed paraffin-embedded sections) - Anti-ADRA1B antibody [EPR10336] - BSA and Azide free (AB245776)
  • IHC-P

Lab

Immunohistochemistry (Formalin/PFA-fixed paraffin-embedded sections) - Anti-ADRA1B antibody [EPR10336] - BSA and Azide free (AB245776)

This data was developed using ab169523, the same antibody clone in a different buffer formulation.

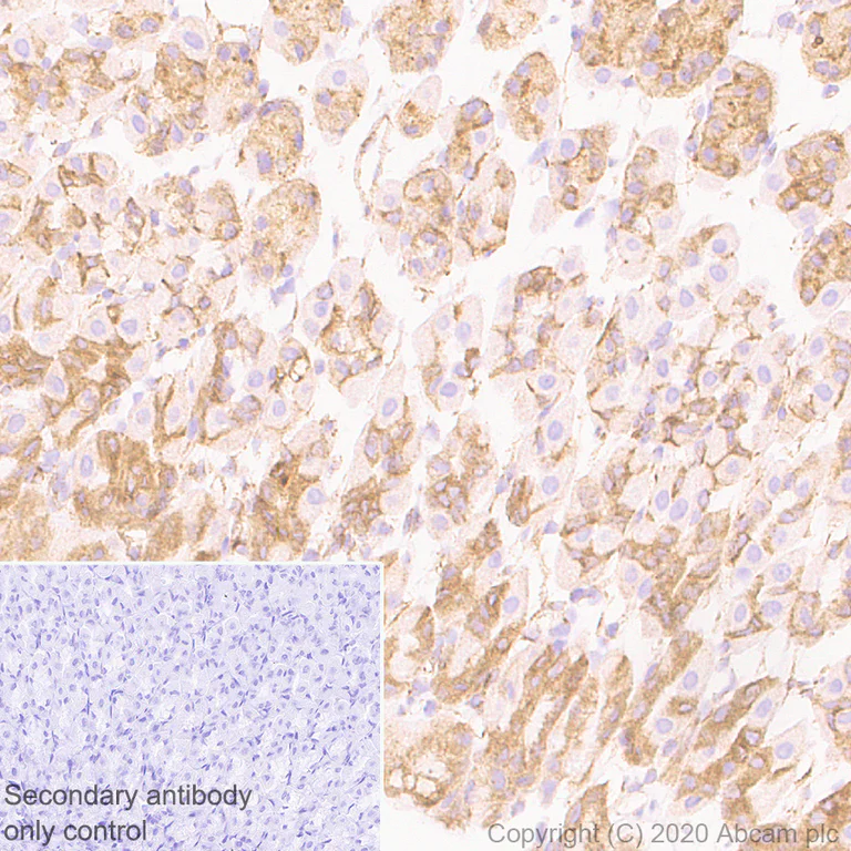
Immunohistochemical analysis of paraffin-embedded Human ovarian carcinoma tissue labeling ADRA1B with ab169523 at 1/500 (1.242 µg/mL) dilution followed by a ready to use Rabbit specific IHC polymer detection kit HRP/DAB (ab209101). Cytoplasmic staining on human ovarian carcinoma. The section was incubated with ab169523 for 30 minutes at room temperature. The immunostaining was performed on a Leica Biosystems BOND® RX instrument Counterstained with Hematoxylin.

Secondary antibody only control : Secondary antibody is a ready to use Rabbit specific IHC polymer detection kit HRP/DAB (ab209101).

Heat mediated antigen retrieval with Tris-EDTA buffer (pH 9.0, epitope retrieval solution) for 20 minutes.

Western blot - Anti-ADRA1B antibody [EPR10336] - BSA and Azide free (AB245776)
  • WB

Unknown

Western blot - Anti-ADRA1B antibody [EPR10336] - BSA and Azide free (AB245776)

This data was developed using ab169523, the same antibody clone in a different buffer formulation.

All lanes:

Western blot - Anti-ADRA1B antibody [EPR10336] (<a href='/en-us/products/primary-antibodies/adra1b-antibody-epr10336-ab169523'>ab169523</a>) at 1/1000 dilution

Lane 1:

Fetal brain lysate at 10 µg

Lane 2:

PC-3 lysate at 10 µg

Lane 3:

HeLa cell lysate at 10 µg

Secondary

All lanes:

HRP labelled goat anti-rabbit at 1/2000 dilution

Predicted band size: 57 kDa

false

Western blot - Anti-ADRA1B antibody [EPR10336] - BSA and Azide free (AB245776)
  • WB

Lab

Western blot - Anti-ADRA1B antibody [EPR10336] - BSA and Azide free (AB245776)

This data was developed using ab169523, the same antibody clone in a different buffer formulation.

All lanes:

Western blot - Anti-ADRA1B antibody [EPR10336] (<a href='/en-us/products/primary-antibodies/adra1b-antibody-epr10336-ab169523'>ab169523</a>) at 1/2000 dilution

Lane 1:

Human fetal brain lysates at 20 µg

Lane 2:

PC-3 (Human prostate adenocarcinoma epithelial cell) whole cell lysates at 20 µg

Lane 3:

Mouse brain lysates at 20 µg

Lane 4:

NIH/3T3 (Mouse embryonic fibroblast) whole cell lysates at 20 µg

Lane 5:

Rat brain lysates at 20 µg

Lane 6:

Mouse stomach lysates at 20 µg

Lane 7:

Rat stomach lysates at 20 µg

Lane 8:

HeLa (Human cervix adenocarcinoma epithelial cell) whole cell lysates at 20 µg

Secondary

All lanes:

Goat Anti-Rabbit IgG (HRP) with minimal cross-reactivity with human IgG at 1/2000 dilution

Predicted band size: 57 kDa

Observed band size: 57 kDa

false

  • Unconjugated

    Anti-ADRA1B antibody [EPR10336]

  • HRP

    HRP Anti-ADRA1B antibody [EPR10336]

Key facts

Host species

Rabbit

Clonality

Monoclonal

Clone number

EPR10336

Isotype

IgG

Carrier free

Yes

Reacts with

Mouse, Rat, Human

Applications

WB, IHC-P

applications

Immunogen

The exact immunogen used to generate this antibody is proprietary information.

Reactivity data

{ "title": "Reactivity Data", "filters": { "stats": ["", "Species", "Dilution Info", "Notes"], "tabs": { "all-applications": {"fullname" : "All Applications", "shortname": "All Applications"}, "FlowCyt" : {"fullname" : "Flow Cytometry", "shortname":"Flow Cyt"}, "WB" : {"fullname" : "Western blot", "shortname":"WB"}, "ICCIF" : {"fullname" : "Immunocytochemistry/ Immunofluorescence", "shortname":"ICC/IF"}, "IHCP" : {"fullname" : "Immunohistochemistry (Formalin/PFA-fixed paraffin-embedded sections)", "shortname":"IHC-P"} }, "product-promise": { "all": "all", "testedAndGuaranteed": "tested", "guaranteed": "expected", "predicted": "predicted", "notRecommended": "not-recommended" } }, "values": { "Human": { "FlowCyt-species-checked": "notRecommended", "FlowCyt-species-dilution-info": "", "FlowCyt-species-notes": "<p><a href='/en-us/products/primary-antibodies/rabbit-igg-monoclonal-epr25a-isotype-control-ab172730'>ab172730</a> - Rabbit monoclonal IgG, is suitable for use as an isotype control with this antibody.</p>", "WB-species-checked": "testedAndGuaranteed", "WB-species-dilution-info": "", "WB-species-notes": "<p></p>", "ICCIF-species-checked": "notRecommended", "ICCIF-species-dilution-info": "", "ICCIF-species-notes": "<p></p>", "IHCP-species-checked": "testedAndGuaranteed", "IHCP-species-dilution-info": "", "IHCP-species-notes": "<p></p> Perform heat-mediated antigen retrieval with Tris/EDTA buffer pH 9.0 before commencing with IHC staining protocol." }, "Mouse": { "FlowCyt-species-checked": "notRecommended", "FlowCyt-species-dilution-info": "", "FlowCyt-species-notes": "<p><a href='/en-us/products/primary-antibodies/rabbit-igg-monoclonal-epr25a-isotype-control-ab172730'>ab172730</a> - Rabbit monoclonal IgG, is suitable for use as an isotype control with this antibody.</p> Perform heat-mediated antigen retrieval with Tris/EDTA buffer pH 9.0 before commencing with IHC staining protocol.", "WB-species-checked": "testedAndGuaranteed", "WB-species-dilution-info": "", "WB-species-notes": "<p></p>", "ICCIF-species-checked": "notRecommended", "ICCIF-species-dilution-info": "", "ICCIF-species-notes": "<p></p>", "IHCP-species-checked": "testedAndGuaranteed", "IHCP-species-dilution-info": "", "IHCP-species-notes": "<p></p> Perform heat-mediated antigen retrieval with Tris/EDTA buffer pH 9.0 before commencing with IHC staining protocol." }, "Rat": { "FlowCyt-species-checked": "notRecommended", "FlowCyt-species-dilution-info": "", "FlowCyt-species-notes": "<p><a href='/en-us/products/primary-antibodies/rabbit-igg-monoclonal-epr25a-isotype-control-ab172730'>ab172730</a> - Rabbit monoclonal IgG, is suitable for use as an isotype control with this antibody.</p>", "WB-species-checked": "testedAndGuaranteed", "WB-species-dilution-info": "", "WB-species-notes": "<p></p>", "ICCIF-species-checked": "notRecommended", "ICCIF-species-dilution-info": "", "ICCIF-species-notes": "<p></p>", "IHCP-species-checked": "testedAndGuaranteed", "IHCP-species-dilution-info": "", "IHCP-species-notes": "<p></p> Perform heat-mediated antigen retrieval with Tris/EDTA buffer pH 9.0 before commencing with IHC staining protocol." } } }

Product details

Properties and storage information

Form
Liquid
Purification technique
Affinity purification Protein A
Storage buffer
pH: 7.2 - 7.4 Constituents: PBS
Shipped at conditions
Blue Ice
Appropriate short-term storage conditions
+4°C
Appropriate long-term storage conditions
+4°C
Storage information
Do Not Freeze

Supplementary information

This supplementary information is collated from multiple sources and compiled automatically.

ADRA1B also known as alpha-1B adrenergic receptor is a G protein-coupled receptor (GPCR) involved in various cellular processes. It has a molecular mass of approximately 56 kDa. ADRA1B mainly expresses in smooth muscle cells particularly within arterial walls and cardiac tissues which suggests its involvement in cardiovascular function. It also expresses in the central nervous system reflecting a broader physiological role.
Biological function summary

Alpha-1B adrenergic receptor mediates vasoconstriction and regulates blood pressure by interacting with catecholamines like norepinephrine. This receptor participates in forming a homodimer or a heterodimer complex with other adrenergic receptors which affects its signaling capabilities and functional outcomes. The receptor's activation influences smooth muscle contraction cardiac output and alpha-adrenergic signaling.

Pathways

ADRA1B actively participates in the adrenergic signaling pathway influencing cardiovascular regulation and smooth muscle contraction. The receptor interacts with proteins such as G proteins which are central to signal transduction. It also relates to the mitogen-activated protein kinase (MAPK) pathway promoting cell proliferation and survival linking its function to both cardiac and neural activities.

ADRA1B associates with hypertension and heart failure where its overexpression or dysregulation affects vascular resistance and cardiac workload. It connects to proteins like phospholipase C which further modulate intracellular calcium levels linked to these cardiovascular conditions. Additionally changes in this receptor's function may relate to psychiatric disorders reflecting its role in the central nervous system and interactions with noradrenergic pathways.

Product protocols

For this product, it's our understanding that no specific protocols are required. You can visit:

Target data

This alpha-adrenergic receptor mediates its action by association with G proteins that activate a phosphatidylinositol-calcium second messenger system. Its effect is mediated by G(q) and G(11) proteins. Nuclear ADRA1A-ADRA1B heterooligomers regulate phenylephrine (PE)-stimulated ERK signaling in cardiac myocytes.
See full target information ADRA1B

Product promise

We are committed to supporting your work with high-quality reagents, and we're here for you every step of the way. In the unlikely event that one of our products does not perform as expected, you're protected by our Product Promise.
For full details, please see our Terms & Conditions

Associated Products

Select an associated product type
Alternative Product
Primary Antibodies

AB84405

Anti-ADRA1B antibody

primary-antibodies

adra1b-antibody-ab84405

4

(1 reviews)

Alternative Version
Primary Antibodies

AB202936

HRP Anti-ADRA1B antibody [EPR10336]

primary-antibodies

hrp-adra1b-antibody-epr10336-ab202936

0

(0 reviews)

Please note: All products are 'FOR RESEARCH USE ONLY. NOT FOR USE IN DIAGNOSTIC OR THERAPEUTIC PROCEDURES'.

For licensing inquiries, please contact partnerships@abcam.com