JavaScript is disabled in your browser. Please enable JavaScript to view this website.
AB157185

Anti-ADRM1/ARM-1 antibody [EPR11449(B)]

  • BOND RX™ Validated
  • RabMAb
  • Recombinant
  • KO Validated
  • What is this?

5

(1 Review)

|

(4 Publications)

Rabbit Recombinant Monoclonal ADRM1/ARM-1 antibody. Suitable for IHC-P, ICC/IF, IP, Flow Cyt, WB and reacts with Human samples. Cited in 4 publications.

View Alternative Names

GP110, ADRM1, Proteasomal ubiquitin receptor ADRM1, 110 kDa cell membrane glycoprotein, Adhesion-regulating molecule 1, Proteasome regulatory particle non-ATPase 13, Rpn13 homolog, Gp110, ARM-1, hRpn13

8 Images
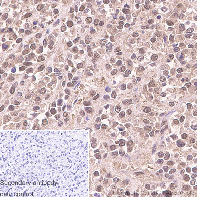
Immunohistochemistry (Formalin/PFA-fixed paraffin-embedded sections) - Anti-ADRM1/ARM-1 antibody [EPR11449(B)] (AB157185)
  • IHC-P

Lab

Immunohistochemistry (Formalin/PFA-fixed paraffin-embedded sections) - Anti-ADRM1/ARM-1 antibody [EPR11449(B)] (AB157185)

Immunohistochemistry (Formalin/PFA-fixed paraffin-embedded sections) analysis of human gastric cancer tissue sections labeling ADRM1/ARM-1 with Purified ab157185 at 1 : 9000 (0.07 μg/ml). Heat mediated antigen retrieval was performed using Heat mediated antigen retrieval using Bond™ Epitope Retrieval Solution 2 (pH 9.0) . Tissue was counterstained with Hematoxylin. Rabbit specific IHC polymer detection kit HRP/DAB (ab209101) secondary antibody was used at 1 : 0 dilution. PBS instead of the primary antibody was used as the negative control.

Flow Cytometry - Anti-ADRM1/ARM-1 antibody [EPR11449(B)] (AB157185)
  • Flow Cyt

Lab

Flow Cytometry - Anti-ADRM1/ARM-1 antibody [EPR11449(B)] (AB157185)

Flow Cytometry analysis of K-562 (Human chronic myelogenous leukemia lymphoblast) cells labelling ADRM1/ARM-1 with Purified ab157185 at 1 : 60 dilution (10 μg/ml) (Red). Cells were fixed with 4% Paraformaldehyde and permeabilised with 90% Methanol. A Goat anti rabbit IgG (Alexa Fluor® 488, ab150081) secondary antibody was used at 1 : 2000. Isotype control - Rabbit monoclonal IgG (Black). Unlabelled control - Cell without incubation with primary antibody and secondary antibody (Blue).

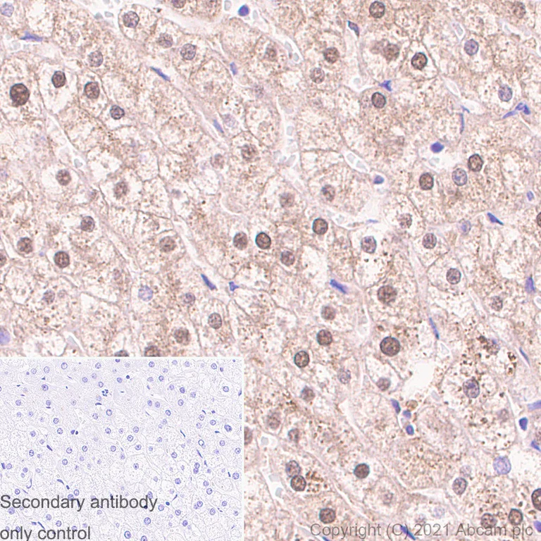
Immunohistochemistry (Formalin/PFA-fixed paraffin-embedded sections) - Anti-ADRM1/ARM-1 antibody [EPR11449(B)] (AB157185)
  • IHC-P

Lab

Immunohistochemistry (Formalin/PFA-fixed paraffin-embedded sections) - Anti-ADRM1/ARM-1 antibody [EPR11449(B)] (AB157185)

Immunohistochemistry (Formalin/PFA-fixed paraffin-embedded sections) analysis of human liver tissue sections labeling ADRM1/ARM-1 with Purified ab157185 at 1 : 9000 (0.07 μg/ml). Heat mediated antigen retrieval was performed using Heat mediated antigen retrieval using Bond™ Epitope Retrieval Solution 2 (pH 9.0) . Tissue was counterstained with Hematoxylin. Rabbit specific IHC polymer detection kit HRP/DAB (ab209101) secondary antibody was used at 1 : 0 dilution. PBS instead of the primary antibody was used as the negative control.

Immunocytochemistry/ Immunofluorescence - Anti-ADRM1/ARM-1 antibody [EPR11449(B)] (AB157185)
  • ICC/IF

Lab

Immunocytochemistry/ Immunofluorescence - Anti-ADRM1/ARM-1 antibody [EPR11449(B)] (AB157185)

Immunocytochemistry analysis of K-562 (Human chronic myelogenous leukemia lymphoblast) cells labeling ADRM1/ARM-1 with Purified ab157185 at 1 : 1000 dilution (0.6 μg/ml). Cells were fixed in 100% Methanol and permeabilized with 0.1% tritonX-100. Cells were counterstained with ab195889 Anti-alpha Tubulin antibody [DM1A]+H21 : L21 - Microtubule Marker (Alexa Fluor® 594) 1 : 200 (2.5 μg/ml). Goat anti rabbit IgG (Alexa Fluor® 488, ab150077) was used as the secondary antibody at 1 : 1000 (2 μg/ml) dilution. DAPI (blue) was used as nuclear counterstain. PBS instead of the primary antibody was used as the secondary antibody only control.

Immunoprecipitation - Anti-ADRM1/ARM-1 antibody [EPR11449(B)] (AB157185)
  • IP

Lab

Immunoprecipitation - Anti-ADRM1/ARM-1 antibody [EPR11449(B)] (AB157185)

ADRM1/ARM-1 was immunoprecipitated from 0.35 mg Raji (Human Burkitt's lymphoma B lymphocyte) whole cell lysate 10 μg with 157185 at 1/100 dilution (2μg). VeriBlot for IP Detection Reagent (HRP)(ab131366) was used at 1/5000 dilution.

Lane 1 : Raji (Human Burkitt's lymphoma B lymphocyte) whole cell lysate 10 μg

Lane 2 : ab157185 IP in Raji whole cell lysate

Lane 3 : Rabbit monoclonal IgG (ab172730) instead of ab157185 in Raji whole cell lysate

Blocking and dilution buffer and concentration : 5% NFDM/TBST.

All lanes:

Immunoprecipitation - Anti-ADRM1/ARM-1 antibody [EPR11449(B)] (ab157185)

Predicted band size: 42 kDa

Observed band size: 42 kDa

false

Western blot - Anti-ADRM1/ARM-1 antibody [EPR11449(B)] (AB157185)
  • WB

Unknown

Western blot - Anti-ADRM1/ARM-1 antibody [EPR11449(B)] (AB157185)

All lanes:

Western blot - Anti-ADRM1/ARM-1 antibody [EPR11449(B)] (ab157185) at 1/10000 dilution

Lane 1:

Ramos (Human Burkitt's lymphoma B lymphocyte) whole cell lysate at 15 µg

Lane 2:

HeLa (Human cervix adenocarcinoma epithelial cell) whole cell lysate at 15 µg

Lane 3:

K-562 (Human chronic myelogenous leukemia lymphoblast) whole cell lysate at 15 µg

Secondary

All lanes:

Western blot - Goat Anti-Rabbit IgG H&L (HRP) (<a href='/en-us/products/secondary-antibodies/goat-rabbit-igg-h-l-hrp-ab97051'>ab97051</a>) at 1/20000 dilution

Predicted band size: 42 kDa

false

Western blot - Anti-ADRM1/ARM-1 antibody [EPR11449(B)] (AB157185)
  • WB

Lab

Western blot - Anti-ADRM1/ARM-1 antibody [EPR11449(B)] (AB157185)

Lanes 1-4 : Merged signal (red and green). Green - ab157185 observed at 42 kDa. Red - loading control ab8245 observed at 36 kDa.

ab157185 Anti-ADRM1/ARM-1 antibody [EPR11449(B)] was shown to specifically react with ADRM1/ARM-1 in wild-type HEK293T cells. Loss of signal was observed when knockout cell line ab266765 (knockout cell lysate ab257816) was used. Wild-type and ADRM1/ARM-1 knockout samples were subjected to SDS-PAGE. ab157185 and Anti-GAPDH antibody [6C5] - Loading Control (ab8245) were incubated overnight at 4°C at 1 in 1000 dilution and 1 in 20000 dilution respectively. Blots were developed with Goat anti-Rabbit IgG H&L (IRDye® 800CW) preadsorbed (ab216773) and Goat anti-Mouse IgG H&L (IRDye® 680RD) preadsorbed (ab216776) secondary antibodies at 1 in 20000 dilution for 1 hour at room temperature before imaging.

All lanes:

Western blot - Anti-ADRM1/ARM-1 antibody [EPR11449(B)] (ab157185) at 1/1000 dilution

Lane 1:

Wild-type HEK293T cell lysate at 20 µg

Lane 2:

ADRM1 knockout HEK293T cell lysate at 20 µg

Lane 2:

Western blot - Human ADRM1 (ARM-1) knockout HEK-293T cell line (<a href='/en-us/products/cell-lines/human-adrm1-arm-1-knockout-hek-293t-cell-line-ab266765'>ab266765</a>)

Lane 3:

K-562 cell lysate at 20 µg

Lane 4:

Raji cell lysate at 20 µg

Secondary

All lanes:

Western blot - Goat anti-Rabbit IgG H&L (IRDye® 800CW) preadsorbed (<a href='/en-us/products/secondary-antibodies/goat-rabbit-igg-h-l-irdye-800cw-preadsorbed-ab216773'>ab216773</a>) at 1/10000 dilution

Predicted band size: 42 kDa

Observed band size: 42 kDa

false

Western blot - Anti-ADRM1/ARM-1 antibody [EPR11449(B)] (AB157185)
  • WB

Unknown

Western blot - Anti-ADRM1/ARM-1 antibody [EPR11449(B)] (AB157185)

All lanes:

Western blot - Anti-ADRM1/ARM-1 antibody [EPR11449(B)] (ab157185) at 1/1000 dilution

All lanes:

Raji (Human Burkitt's lymphoma B lymphocyte) whole cell lysate

Secondary

All lanes:

Western blot - Goat Anti-Rabbit IgG H&L (HRP) (<a href='/en-us/products/secondary-antibodies/goat-rabbit-igg-h-l-hrp-ab97051'>ab97051</a>) at 1/20000 dilution

Predicted band size: 42 kDa

false

  • Carrier free

    Anti-ADRM1/ARM-1 antibody [EPR11449(B)] - BSA and Azide free

  • 519 Alexa Fluor® 488

    Alexa Fluor® 488 Anti-ADRM1/ARM-1 antibody [EPR11449(B)]

  • 565 Alexa Fluor® 555

    Alexa Fluor® 555 Anti-ADRM1/ARM-1 antibody [EPR11449(B)]

  • 617 Alexa Fluor® 594

    Alexa Fluor® 594 Anti-ADRM1/ARM-1 antibody [EPR11449(B)]

  • 660 APC

    APC Anti-ADRM1/ARM-1 antibody [EPR11449(B)]

  • 775 Alexa Fluor® 750

    Alexa Fluor® 750 Anti-ADRM1/ARM-1 antibody [EPR11449(B)]

Key facts

Host species

Rabbit

Clonality

Monoclonal

Clone number

EPR11449(B)

Isotype

IgG

Carrier free

No

Reacts with

Human

Applications

WB, IP, Flow Cyt, IHC-P, ICC/IF

applications

Immunogen

The exact immunogen used to generate this antibody is proprietary information.

Specificity

The mouse and rat recommendation is based on the WB results. We do not guarantee IHC-P for mouse and rat.

Reactivity data

{ "title": "Reactivity Data", "filters": { "stats": ["", "Species", "Dilution Info", "Notes"], "tabs": { "all-applications": {"fullname" : "All Applications", "shortname": "All Applications"}, "IHCP" : {"fullname" : "Immunohistochemistry (Formalin/PFA-fixed paraffin-embedded sections)", "shortname":"IHC-P"}, "ICCIF" : {"fullname" : "Immunocytochemistry/ Immunofluorescence", "shortname":"ICC/IF"}, "IP" : {"fullname" : "Immunoprecipitation", "shortname":"IP"}, "FlowCyt" : {"fullname" : "Flow Cytometry", "shortname":"Flow Cyt"}, "WB" : {"fullname" : "Western blot", "shortname":"WB"} }, "product-promise": { "all": "all", "testedAndGuaranteed": "tested", "guaranteed": "expected", "predicted": "predicted", "notRecommended": "not-recommended" } }, "values": { "Human": { "IHCP-species-checked": "testedAndGuaranteed", "IHCP-species-dilution-info": "1/50 - 1/100", "IHCP-species-notes": "<p>The mouse and rat recommendation is based on the WB results. We do not guarantee IHC-P for mouse and rat.</p> Perform heat-mediated antigen retrieval with citrate buffer pH 6 before commencing with IHC staining protocol.", "ICCIF-species-checked": "testedAndGuaranteed", "ICCIF-species-dilution-info": "1/1000", "ICCIF-species-notes": "<p></p>", "IP-species-checked": "testedAndGuaranteed", "IP-species-dilution-info": "1/10 - 1/100", "IP-species-notes": "<p></p>", "FlowCyt-species-checked": "testedAndGuaranteed", "FlowCyt-species-dilution-info": "1/60", "FlowCyt-species-notes": "<p></p>", "WB-species-checked": "testedAndGuaranteed", "WB-species-dilution-info": "1/10000 - 1/50000", "WB-species-notes": "<p></p>" } } }

Product details

Species reactivity
Mouse, Rat: We have preliminary internal testing data to indicate this antibody may not react with these species.
Please contact us for more information.

Patented technology
Our RabMAb® technology is a patented hybridoma-based technology for making rabbit monoclonal antibodies. For details on our patents, please refer to RabMAb® patents.

What are the advantages of a recombinant monoclonal antibody?
This product is a recombinant monoclonal antibody, which offers several advantages including:

  • - High batch-to-batch consistency and reproducibility
  • - Improved sensitivity and specificity
  • - Long-term security of supply
  • - Animal-free batch production

For more information, read more on recombinant antibodies.

Properties and storage information

Form
Liquid
Purity
Tissue culture supernatant
Storage buffer
pH: 7.2 - 7.4 Preservative: 0.01% Sodium azide Constituents: 50% Tissue culture supernatant, 40% Glycerol (glycerin, glycerine), 9% PBS, 0.05% BSA
Shipped at conditions
Blue Ice
Appropriate short-term storage conditions
+4°C
Appropriate long-term storage conditions
-20°C

Supplementary information

This supplementary information is collated from multiple sources and compiled automatically.

ADRM1 known also as ARM-1 or arm protein is an essential component of the proteasome system playing an important role in ubiquitin-proteasome pathway. Its molecular mass is about 42-46 kDa. ADRM1 protein is expressed across various tissues with significant presence in tissues requiring active protein degradation such as liver muscle and neurons. This protein interacts with other subunits in large protein complexes contributing to the regulation of protein turnover.
Biological function summary

The ADRM1/ARM-1 protein binds ubiquitinated substrates and shuttles them to the 26S proteasome for degradation. It acts as a receptor on the regulatory particle of the proteasome complex where it recruits deubiquitinating enzymes. This positions ADRM1 as an integral part of the protein degradation machinery ensuring removal of damaged misfolded or unnecessary proteins and maintaining cellular protein homeostasis.

Pathways

ADRM1 plays a significant role within the ubiquitin-proteasome pathway which is important for protein catabolism. It partners with regulatory proteins like Rpn13 to mediate the recognition and processing of polyubiquitinated substrates. The efficient functioning of this pathway highlights its importance in regulating the cell cycle and various signaling pathways including NF-kB signaling which affects immune response and apoptosis.

Dysfunction of ADRM1 can lead to pathological consequences. Its aberrant activity links to cancer particularly in solid tumors due to its role in controlling the degradation of cell cycle proteins. Additionally alterations in ADRM1 functionality can affect Alzheimer's disease as proper protein turnover is important in preventing accumulation of protein aggregates. Interactions with proteins like USP14 and UCHL5 further illustrate ADRM1's involvement in these pathologies marking it as a potential therapeutic target.

Product protocols

For this product, it's our understanding that no specific protocols are required. You can visit:

Target data

Component of the 26S proteasome, a multiprotein complex involved in the ATP-dependent degradation of ubiquitinated proteins (PubMed : 16815440, PubMed : 16906146, PubMed : 16990800, PubMed : 17139257, PubMed : 18497817, PubMed : 24752541, PubMed : 25702870, PubMed : 25702872). This complex plays a key role in the maintenance of protein homeostasis by removing misfolded or damaged proteins, which could impair cellular functions, and by removing proteins whose functions are no longer required (PubMed : 16815440, PubMed : 16906146, PubMed : 16990800, PubMed : 17139257, PubMed : 18497817, PubMed : 24752541, PubMed : 25702870, PubMed : 25702872). Therefore, the proteasome participates in numerous cellular processes, including cell cycle progression, apoptosis, or DNA damage repair (PubMed : 16815440, PubMed : 16906146, PubMed : 16990800, PubMed : 17139257, PubMed : 18497817, PubMed : 24752541, PubMed : 25702870, PubMed : 25702872). Within the complex, functions as a proteasomal ubiquitin receptor (PubMed : 18497817). Engages and activates 19S-associated deubiquitinases UCHL5 and PSMD14 during protein degradation (PubMed : 16906146, PubMed : 16990800, PubMed : 17139257, PubMed : 24752541). UCHL5 reversibly associate with the 19S regulatory particle whereas PSMD14 is an intrinsic subunit of the proteasome lid subcomplex (PubMed : 16906146, PubMed : 16990800, PubMed : 17139257, PubMed : 24752541).
See full target information ADRM1

Publications (4)

Recent publications for all applications. Explore the full list and refine your search

Molecular cell 84:522-537.e8 PubMed38151017

2023

hRpn13 shapes the proteome and transcriptome through epigenetic factors HDAC8, PADI4, and transcription factor NF-κB p50.

Applications

Unspecified application

Species

Unspecified reactive species

Vasty Osei-Amponsa,Monika Chandravanshi,Xiuxiu Lu,Valentin Magidson,Sudipto Das,Thorkell Andresson,Marzena Dyba,Venkata R Sabbasani,Rolf E Swenson,Caroline Fromont,Biraj Shrestha,Yongmei Zhao,Michelle E Clapp,Raj Chari,Kylie J Walters

Nature communications 12:7318 PubMed34916494

2021

Structure-guided bifunctional molecules hit a DEUBAD-lacking hRpn13 species upregulated in multiple myeloma.

Applications

Unspecified application

Species

Unspecified reactive species

Xiuxiu Lu,Venkata R Sabbasani,Vasty Osei-Amponsa,Christine N Evans,Julianna C King,Sergey G Tarasov,Marzena Dyba,Sudipto Das,King C Chan,Charles D Schwieters,Sulbha Choudhari,Caroline Fromont,Yongmei Zhao,Bao Tran,Xiang Chen,Hiroshi Matsuo,Thorkell Andresson,Raj Chari,Rolf E Swenson,Nadya I Tarasova,Kylie J Walters

Molecular and cellular biology 40: PubMed32631902

2020

Impact of Losing hRpn13 Pru or UCHL5 on Proteasome Clearance of Ubiquitinated Proteins and RA190 Cytotoxicity.

Applications

Unspecified application

Species

Unspecified reactive species

Vasty Osei-Amponsa,Vinidhra Sridharan,Mayank Tandon,Christine N Evans,Kimberly Klarmann,Kwong Tai Cheng,Justin Lack,Raj Chari,Kylie J Walters

Nature communications 8:15540 PubMed28598414

2017

Structure of the Rpn13-Rpn2 complex provides insights for Rpn13 and Uch37 as anticancer targets.

Applications

Unspecified application

Species

Unspecified reactive species

Xiuxiu Lu,Urszula Nowicka,Vinidhra Sridharan,Fen Liu,Leah Randles,David Hymel,Marzena Dyba,Sergey G Tarasov,Nadya I Tarasova,Xue Zhi Zhao,Jun Hamazaki,Shigeo Murata,Terrence R Burke,Kylie J Walters
View all publications

Product promise

We are committed to supporting your work with high-quality reagents, and we're here for you every step of the way. In the unlikely event that one of our products does not perform as expected, you're protected by our Product Promise.
For full details, please see our Terms & Conditions

Please note: All products are 'FOR RESEARCH USE ONLY. NOT FOR USE IN DIAGNOSTIC OR THERAPEUTIC PROCEDURES'.

For licensing inquiries, please contact partnerships@abcam.com