JavaScript is disabled in your browser. Please enable JavaScript to view this website.
AB249319

Anti-ADRM1/ARM-1 antibody [EPR11450(B)] - BSA and Azide free

Be the first to review this product! Submit a review

|

(0 Publication)

Rabbit Recombinant Monoclonal ADRM1/ARM-1 antibody. Carrier free. Suitable for IHC-P, WB, Flow Cyt (Intra) and reacts with Human, Mouse samples.

View Alternative Names

GP110, ADRM1, Proteasomal ubiquitin receptor ADRM1, 110 kDa cell membrane glycoprotein, Adhesion-regulating molecule 1, Proteasome regulatory particle non-ATPase 13, Rpn13 homolog, Gp110, ARM-1, hRpn13

5 Images
Immunohistochemistry (Formalin/PFA-fixed paraffin-embedded sections) - Anti-ADRM1/ARM-1 antibody [EPR11450(B)] - BSA and Azide free (AB249319)
  • IHC-P

Unknown

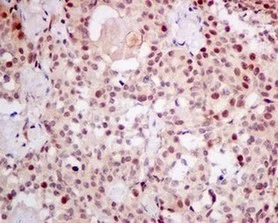
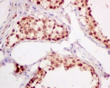
Immunohistochemistry (Formalin/PFA-fixed paraffin-embedded sections) - Anti-ADRM1/ARM-1 antibody [EPR11450(B)] - BSA and Azide free (AB249319)

This data was developed using ab157218, the same antibody clone in a different buffer formulation.

Immunohistochemical analysis of paraffin embedded Human testis tissue labeling ADRM1/ARM-1 with ab157218 at 1/50.

Perform heat mediated antigen retrieval with citrate buffer pH 6 before commencing with IHC staining protocol.

Immunohistochemistry (Formalin/PFA-fixed paraffin-embedded sections) - Anti-ADRM1/ARM-1 antibody [EPR11450(B)] - BSA and Azide free (AB249319)
  • IHC-P

Unknown

Immunohistochemistry (Formalin/PFA-fixed paraffin-embedded sections) - Anti-ADRM1/ARM-1 antibody [EPR11450(B)] - BSA and Azide free (AB249319)

This data was developed using ab157218, the same antibody clone in a different buffer formulation.

Immunohistochemical analysis of paraffin embedded Human thyroid gland carcinoma tissue labeling ADRM1/ARM-1 with ab157218 at 1/50.

Perform heat mediated antigen retrieval with citrate buffer pH 6 before commencing with IHC staining protocol.

Flow Cytometry (Intracellular) - Anti-ADRM1/ARM-1 antibody [EPR11450(B)] - BSA and Azide free (AB249319)
  • Flow Cyt (Intra)

Unknown

Flow Cytometry (Intracellular) - Anti-ADRM1/ARM-1 antibody [EPR11450(B)] - BSA and Azide free (AB249319)

This data was developed using ab157218, the same antibody clone in a different buffer formulation.

Intracellular flow cytometric analysis of permeabilized Hela cells using ab157218 at 1/10 (red) or a rabbit IgG negative (green).

Western blot - Anti-ADRM1/ARM-1 antibody [EPR11450(B)] - BSA and Azide free (AB249319)
  • WB

Unknown

Western blot - Anti-ADRM1/ARM-1 antibody [EPR11450(B)] - BSA and Azide free (AB249319)

This data was developed using ab157218, the same antibody clone in a different buffer formulation.

All lanes:

Western blot - Anti-ADRM1/ARM-1 antibody [EPR11450(B)] (<a href='/en-us/products/primary-antibodies/adrm1-arm-1-antibody-epr11450b-ab157218'>ab157218</a>) at 1/1000 dilution

Lane 1:

Raji cell lysate at 10 µg

Lane 2:

HeLa cell lysate at 10 µg

Lane 3:

RAW 264.7 cell lysate at 10 µg

Lane 4:

NIH/3T3 cell lysate at 10 µg

Predicted band size: 42 kDa

false

Western blot - Anti-ADRM1/ARM-1 antibody [EPR11450(B)] - BSA and Azide free (AB249319)
  • WB

Lab

Western blot - Anti-ADRM1/ARM-1 antibody [EPR11450(B)] - BSA and Azide free (AB249319)

This data was developed using ab157218, the same antibody clone in a different buffer formulation.

Lanes 1-4 : Merged signal (red and green). Green - ab157218 observed at 42 kDa. Red - loading control ab8245 observed at 36 kDa.

ab157218 Anti-ADRM1/ARM-1 antibody [EPR11450(B)] was shown to specifically react with ADRM1/ARM-1 in wild-type HEK293T cells. Loss of signal was observed when knockout cell line ab266765 (knockout cell lysate ab257816) was used. Wild-type and ADRM1/ARM-1 knockout samples were subjected to SDS-PAGE. ab157218 and Anti-GAPDH antibody [6C5] - Loading Control (ab8245) were incubated overnight at 4°C at 1 in 1000 dilution and 1 in 20000 dilution respectively. Blots were developed with Goat anti-Rabbit IgG H&L (IRDye® 800CW) preadsorbed (ab216773) and Goat anti-Mouse IgG H&L (IRDye® 680RD) preadsorbed (ab216776) secondary antibodies at 1 in 20000 dilution for 1 hour at room temperature before imaging.

All lanes:

Western blot - Anti-ADRM1/ARM-1 antibody [EPR11450(B)] (<a href='/en-us/products/primary-antibodies/adrm1-arm-1-antibody-epr11450b-ab157218'>ab157218</a>) at 1/1000 dilution

Lane 1:

Wild-type HEK293T cell lysate at 20 µg

Lane 2:

ADRM1 knockout HEK293T cell lysate at 20 µg

Lane 2:

Western blot - Human ADRM1 (ARM-1) knockout HEK-293T cell line (<a href='/en-us/products/cell-lines/human-adrm1-arm-1-knockout-hek-293t-cell-line-ab266765'>ab266765</a>)

Lane 3:

K-562 cell lysate at 20 µg

Lane 4:

Raji cell lysate at 20 µg

Secondary

All lanes:

Western blot - Goat anti-Rabbit IgG H&L (IRDye® 800CW) preadsorbed (<a href='/en-us/products/secondary-antibodies/goat-rabbit-igg-h-l-irdye-800cw-preadsorbed-ab216773'>ab216773</a>) at 1/10000 dilution

Predicted band size: 42 kDa

Observed band size: 42 kDa

false

Key facts

Host species

Rabbit

Clonality

Monoclonal

Clone number

EPR11450(B)

Isotype

IgG

Carrier free

Yes

Reacts with

Mouse, Human

Applications

IHC-P, WB, Flow Cyt (Intra)

applications

Immunogen

The exact immunogen used to generate this antibody is proprietary information.

Reactivity data

{ "title": "Reactivity Data", "filters": { "stats": ["", "Species", "Dilution Info", "Notes"], "tabs": { "all-applications": {"fullname" : "All Applications", "shortname": "All Applications"}, "IHCP" : {"fullname" : "Immunohistochemistry (Formalin/PFA-fixed paraffin-embedded sections)", "shortname":"IHC-P"}, "IP" : {"fullname" : "Immunoprecipitation", "shortname":"IP"}, "WB" : {"fullname" : "Western blot", "shortname":"WB"}, "FlowCytIntra" : {"fullname" : "Flow Cytometry (Intracellular)", "shortname":"Flow Cyt (Intra)"} }, "product-promise": { "all": "all", "testedAndGuaranteed": "tested", "guaranteed": "expected", "predicted": "predicted", "notRecommended": "not-recommended" } }, "values": { "Human": { "IHCP-species-checked": "testedAndGuaranteed", "IHCP-species-dilution-info": "", "IHCP-species-notes": "<p></p>", "IP-species-checked": "notRecommended", "IP-species-dilution-info": "", "IP-species-notes": "<p></p>", "WB-species-checked": "testedAndGuaranteed", "WB-species-dilution-info": "", "WB-species-notes": "<p></p>", "FlowCytIntra-species-checked": "testedAndGuaranteed", "FlowCytIntra-species-dilution-info": "", "FlowCytIntra-species-notes": "<p></p>" }, "Mouse": { "IHCP-species-checked": "guaranteed", "IHCP-species-dilution-info": "", "IHCP-species-notes": "", "IP-species-checked": "notRecommended", "IP-species-dilution-info": "", "IP-species-notes": "<p></p>", "WB-species-checked": "testedAndGuaranteed", "WB-species-dilution-info": "", "WB-species-notes": "<p></p>", "FlowCytIntra-species-checked": "guaranteed", "FlowCytIntra-species-dilution-info": "", "FlowCytIntra-species-notes": "" } } }

Product details

ab249319 is the carrier-free version of ab157218.

Patented technology
Our RabMAb® technology is a patented hybridoma-based technology for making rabbit monoclonal antibodies. For details on our patents, please refer to RabMAb® patents.

What are the advantages of a recombinant monoclonal antibody?
This product is a recombinant monoclonal antibody, which offers several advantages including:

  • - High batch-to-batch consistency and reproducibility
  • - Improved sensitivity and specificity
  • - Long-term security of supply
  • - Animal-free batch production

For more information, read more on recombinant antibodies.

Species reactivity
Rat: We have preliminary internal testing data to indicate this antibody may not react with this species.
Please contact us for more information.

Conjugation ready
Our carrier-free antibodies are typically supplied in a PBS-only formulation, purified and free of BSA, sodium azide and glycerol. This conjugation-ready format is designed for use with fluorochromes, metal isotopes, oligonucleotides, and enzymes, which makes them ideal for antibody labelling, functional and cell-based assays, flow-based assays (e.g. mass cytometry) and Multiplex Imaging applications.

Use our conjugation kits for antibody conjugates that are ready-to-use in as little as 20 minutes with 1 minute hands-on-time and 100% antibody recovery: available for fluorescent dyes, HRP, biotin and gold.

Compatibility
This product is compatible with the Maxpar® Antibody Labeling Kit from Fluidigm, without the need for antibody preparation. Maxpar® is a trademark of Fluidigm Canada Inc.

Properties and storage information

Form
Liquid
Purification technique
Affinity purification Protein A
Storage buffer
pH: 7.2 - 7.4 Constituents: PBS
Shipped at conditions
Blue Ice
Appropriate short-term storage conditions
+4°C
Appropriate long-term storage conditions
+4°C
Storage information
Do Not Freeze

Supplementary information

This supplementary information is collated from multiple sources and compiled automatically.

ADRM1 known also as ARM-1 or arm protein is an essential component of the proteasome system playing an important role in ubiquitin-proteasome pathway. Its molecular mass is about 42-46 kDa. ADRM1 protein is expressed across various tissues with significant presence in tissues requiring active protein degradation such as liver muscle and neurons. This protein interacts with other subunits in large protein complexes contributing to the regulation of protein turnover.
Biological function summary

The ADRM1/ARM-1 protein binds ubiquitinated substrates and shuttles them to the 26S proteasome for degradation. It acts as a receptor on the regulatory particle of the proteasome complex where it recruits deubiquitinating enzymes. This positions ADRM1 as an integral part of the protein degradation machinery ensuring removal of damaged misfolded or unnecessary proteins and maintaining cellular protein homeostasis.

Pathways

ADRM1 plays a significant role within the ubiquitin-proteasome pathway which is important for protein catabolism. It partners with regulatory proteins like Rpn13 to mediate the recognition and processing of polyubiquitinated substrates. The efficient functioning of this pathway highlights its importance in regulating the cell cycle and various signaling pathways including NF-kB signaling which affects immune response and apoptosis.

Dysfunction of ADRM1 can lead to pathological consequences. Its aberrant activity links to cancer particularly in solid tumors due to its role in controlling the degradation of cell cycle proteins. Additionally alterations in ADRM1 functionality can affect Alzheimer's disease as proper protein turnover is important in preventing accumulation of protein aggregates. Interactions with proteins like USP14 and UCHL5 further illustrate ADRM1's involvement in these pathologies marking it as a potential therapeutic target.

Product protocols

For this product, it's our understanding that no specific protocols are required. You can visit:

Target data

Component of the 26S proteasome, a multiprotein complex involved in the ATP-dependent degradation of ubiquitinated proteins (PubMed : 16815440, PubMed : 16906146, PubMed : 16990800, PubMed : 17139257, PubMed : 18497817, PubMed : 24752541, PubMed : 25702870, PubMed : 25702872). This complex plays a key role in the maintenance of protein homeostasis by removing misfolded or damaged proteins, which could impair cellular functions, and by removing proteins whose functions are no longer required (PubMed : 16815440, PubMed : 16906146, PubMed : 16990800, PubMed : 17139257, PubMed : 18497817, PubMed : 24752541, PubMed : 25702870, PubMed : 25702872). Therefore, the proteasome participates in numerous cellular processes, including cell cycle progression, apoptosis, or DNA damage repair (PubMed : 16815440, PubMed : 16906146, PubMed : 16990800, PubMed : 17139257, PubMed : 18497817, PubMed : 24752541, PubMed : 25702870, PubMed : 25702872). Within the complex, functions as a proteasomal ubiquitin receptor (PubMed : 18497817). Engages and activates 19S-associated deubiquitinases UCHL5 and PSMD14 during protein degradation (PubMed : 16906146, PubMed : 16990800, PubMed : 17139257, PubMed : 24752541). UCHL5 reversibly associate with the 19S regulatory particle whereas PSMD14 is an intrinsic subunit of the proteasome lid subcomplex (PubMed : 16906146, PubMed : 16990800, PubMed : 17139257, PubMed : 24752541).
See full target information ADRM1

Product promise

We are committed to supporting your work with high-quality reagents, and we're here for you every step of the way. In the unlikely event that one of our products does not perform as expected, you're protected by our Product Promise.
For full details, please see our Terms & Conditions

Please note: All products are 'FOR RESEARCH USE ONLY. NOT FOR USE IN DIAGNOSTIC OR THERAPEUTIC PROCEDURES'.

For licensing inquiries, please contact partnerships@abcam.com