JavaScript is disabled in your browser. Please enable JavaScript to view this website.
AB279721

Anti-Adropin antibody [EPR24382-57] - BSA and Azide free

Be the first to review this product! Submit a review

|

(0 Publication)

Rabbit Recombinant Monoclonal Adropin antibody. Carrier free. Suitable for IP, WB and reacts with Rat, Mouse, Human samples.

View Alternative Names

C9orf165, UNQ470/PRO830, ENHO, Adropin, Energy homeostasis-associated protein

5 Images
Immunoprecipitation - Anti-Adropin antibody [EPR24382-57] - BSA and Azide free (AB279721)
  • IP

Supplier Data

Immunoprecipitation - Anti-Adropin antibody [EPR24382-57] - BSA and Azide free (AB279721)

This data was developed using ab279716, the same antibody clone in a different buffer formulation.

Adropin was immunoprecipitated from 0.35 mg Mouse brain tissue lysate with ab279716 at 1/30 dilution (2ug in 0.35mg lysates). Western blot was performed on the immunoprecipitate using ab279716 at 1/1000 dilution. VeriBlot for IP Detection Reagent (HRP)(ab131366) was used at 1/5000 dilution.

Lane 1 : Mouse brain tissue lysate 10 ug

Lane 2 : ab279716 IP in Mouse brain tissue lysate

Lane 3 : Rabbit monoclonal IgG (ab172730) instead of ab279716 in mouse brain tissue lysate

Blocking and dilution buffer and concentration : 5% NFDM/TBST.

Exposure time : 6 seconds

All lanes:

Immunoprecipitation - Anti-Adropin antibody [EPR24382-57] (<a href='/en-us/products/primary-antibodies/adropin-antibody-epr24382-57-ab279716'>ab279716</a>)

Predicted band size: 8 kDa

Observed band size: 15 kDa

false

Immunoprecipitation - Anti-Adropin antibody [EPR24382-57] - BSA and Azide free (AB279721)
  • IP

Supplier Data

Immunoprecipitation - Anti-Adropin antibody [EPR24382-57] - BSA and Azide free (AB279721)

This data was developed using ab279716, the same antibody clone in a different buffer formulation.

Adropin was immunoprecipitated from 0.35 mg Rat brain tissue lysate with ab279716 at 1/30 dilution (2ug in 0.35mg lysates). Western blot was performed on the immunoprecipitate using ab279716 at 1/1000 dilution. VeriBlot for IP Detection Reagent (HRP)(ab131366) was used at 1/5000 dilution.

Lane 1 : Rat brain tissue lysate 10 ug

Lane 2 : ab279716 IP in Rat brain tissue lysate

Lane 3 : Rabbit monoclonal IgG (ab172730) instead of ab279716 in rat brain tissue lysate

Blocking and dilution buffer and concentration : 5% NFDM/TBST.

Exposure time : 8 seconds

All lanes:

Immunoprecipitation - Anti-Adropin antibody [EPR24382-57] (<a href='/en-us/products/primary-antibodies/adropin-antibody-epr24382-57-ab279716'>ab279716</a>)

Predicted band size: 8 kDa

Observed band size: 15 kDa

false

Western blot - Anti-Adropin antibody [EPR24382-57] - BSA and Azide free (AB279721)
  • WB

Lab

Western blot - Anti-Adropin antibody [EPR24382-57] - BSA and Azide free (AB279721)

This data was developed using ab279716, the same antibody clone in a different buffer formulation.

Blocking and diluting buffer and concentration : 5% NFDM/TBST

This blot was developed using a higher sensitivity ECL substrate.

Exposure time : 3 minutes

All lanes:

Western blot - Anti-Adropin antibody [EPR24382-57] (<a href='/en-us/products/primary-antibodies/adropin-antibody-epr24382-57-ab279716'>ab279716</a>) at 1/1000 dilution

All lanes:

Human cerebellum tissue lysate at 20 µg

Secondary

All lanes:

Western blot - VeriBlot for IP Detection Reagent (HRP) (<a href='/en-us/products/reagents/veriblot-for-ip-detection-reagent-hrp-ab131366'>ab131366</a>) at 1/1000 dilution

Predicted band size: 8 kDa

Observed band size: 15 kDa

false

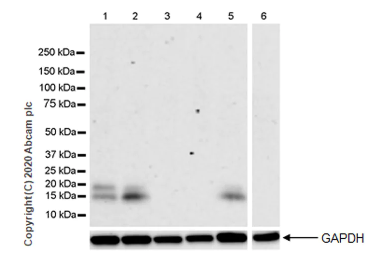
Western blot - Anti-Adropin antibody [EPR24382-57] - BSA and Azide free (AB279721)
  • WB

Lab

Western blot - Anti-Adropin antibody [EPR24382-57] - BSA and Azide free (AB279721)

This data was developed using ab279716, the same antibody clone in a different buffer formulation.

Blocking and diluting buffer and concentration : 5% NFDM/TBST

Low expression tissues : lung, kidney (PMID : 25074942).

The expression profile / molecular weight observed is consistent with what has been described in the literature (PMID : 25074942).

Exposure time : 3 minutes

All lanes:

Western blot - Anti-Adropin antibody [EPR24382-57] (<a href='/en-us/products/primary-antibodies/adropin-antibody-epr24382-57-ab279716'>ab279716</a>) at 1/1000 dilution

Lane 1:

Mouse brain tissue lysate at 20 µg

Lane 2:

Mouse cerebellum tissue lysate at 20 µg

Lane 3:

Mouse kidney tissue lysate at 20 µg

Lane 4:

Mouse lung tissue lysate at 20 µg

Lane 5:

Rat brain tissue lysate at 20 µg

Lane 6:

Rat lung tissue lysate at 20 µg

Secondary

All lanes:

Western blot - Goat Anti-Rabbit IgG H&L (HRP) (<a href='/en-us/products/secondary-antibodies/goat-rabbit-igg-h-l-hrp-ab97051'>ab97051</a>) at 1/50000 dilution

Predicted band size: 8 kDa

Observed band size: 15 kDa,17 kDa

false

Western blot - Anti-Adropin antibody [EPR24382-57] - BSA and Azide free (AB279721)
  • WB

Lab

Western blot - Anti-Adropin antibody [EPR24382-57] - BSA and Azide free (AB279721)

This data was developed using ab279716, the same antibody clone in a different buffer formulation.

Blocking and diluting buffer and concentration : 5% NFDM/TBST

Exposure time : 8 seconds

All lanes:

Western blot - Anti-Adropin antibody [EPR24382-57] (<a href='/en-us/products/primary-antibodies/adropin-antibody-epr24382-57-ab279716'>ab279716</a>) at 1/1000 dilution

All lanes:

Human Adropin Recombinant Protein (aa38-79) with a His6-ABP tag at 10 µg

Secondary

All lanes:

Western blot - Goat Anti-Rabbit IgG H&L (HRP) (<a href='/en-us/products/secondary-antibodies/goat-rabbit-igg-h-l-hrp-ab97051'>ab97051</a>) at 1/100000 dilution

Predicted band size: 8 kDa

Observed band size: 22 kDa

false

Key facts

Host species

Rabbit

Clonality

Monoclonal

Clone number

EPR24382-57

Isotype

IgG

Carrier free

Yes

Reacts with

Mouse, Rat, Human

Applications

IP, WB

applications

Immunogen

The exact immunogen used to generate this antibody is proprietary information.

Reactivity data

{ "title": "Reactivity Data", "filters": { "stats": ["", "Species", "Dilution Info", "Notes"], "tabs": { "all-applications": {"fullname" : "All Applications", "shortname": "All Applications"}, "ICCIF" : {"fullname" : "Immunocytochemistry/ Immunofluorescence", "shortname":"ICC/IF"}, "IP" : {"fullname" : "Immunoprecipitation", "shortname":"IP"}, "WB" : {"fullname" : "Western blot", "shortname":"WB"}, "IHCP" : {"fullname" : "Immunohistochemistry (Formalin/PFA-fixed paraffin-embedded sections)", "shortname":"IHC-P"}, "IHCFr" : {"fullname" : "Immunohistochemistry (Frozen sections)", "shortname":"IHC-Fr"}, "FlowCytIntra" : {"fullname" : "Flow Cytometry (Intracellular)", "shortname":"Flow Cyt (Intra)"} }, "product-promise": { "all": "all", "testedAndGuaranteed": "tested", "guaranteed": "expected", "predicted": "predicted", "notRecommended": "not-recommended" } }, "values": { "Human": { "ICCIF-species-checked": "notRecommended", "ICCIF-species-dilution-info": "", "ICCIF-species-notes": "<p></p>", "IP-species-checked": "notRecommended", "IP-species-dilution-info": "", "IP-species-notes": "<p></p>", "WB-species-checked": "testedAndGuaranteed", "WB-species-dilution-info": "", "WB-species-notes": "<p></p>", "IHCP-species-checked": "notRecommended", "IHCP-species-dilution-info": "", "IHCP-species-notes": "<p></p>", "IHCFr-species-checked": "notRecommended", "IHCFr-species-dilution-info": "", "IHCFr-species-notes": "<p></p>", "FlowCytIntra-species-checked": "notRecommended", "FlowCytIntra-species-dilution-info": "", "FlowCytIntra-species-notes": "<p></p>" }, "Mouse": { "ICCIF-species-checked": "notRecommended", "ICCIF-species-dilution-info": "", "ICCIF-species-notes": "<p></p>", "IP-species-checked": "testedAndGuaranteed", "IP-species-dilution-info": "", "IP-species-notes": "<p></p>", "WB-species-checked": "testedAndGuaranteed", "WB-species-dilution-info": "", "WB-species-notes": "<p></p>", "IHCP-species-checked": "notRecommended", "IHCP-species-dilution-info": "", "IHCP-species-notes": "<p></p>", "IHCFr-species-checked": "notRecommended", "IHCFr-species-dilution-info": "", "IHCFr-species-notes": "<p></p>", "FlowCytIntra-species-checked": "notRecommended", "FlowCytIntra-species-dilution-info": "", "FlowCytIntra-species-notes": "<p></p>" }, "Rat": { "ICCIF-species-checked": "notRecommended", "ICCIF-species-dilution-info": "", "ICCIF-species-notes": "<p></p>", "IP-species-checked": "testedAndGuaranteed", "IP-species-dilution-info": "", "IP-species-notes": "<p></p>", "WB-species-checked": "testedAndGuaranteed", "WB-species-dilution-info": "", "WB-species-notes": "<p></p>", "IHCP-species-checked": "notRecommended", "IHCP-species-dilution-info": "", "IHCP-species-notes": "<p></p>", "IHCFr-species-checked": "notRecommended", "IHCFr-species-dilution-info": "", "IHCFr-species-notes": "<p></p>", "FlowCytIntra-species-checked": "notRecommended", "FlowCytIntra-species-dilution-info": "", "FlowCytIntra-species-notes": "<p></p>" } } }

Product details

ab279721 is the carrier-free version of ab279716.

Patented technology
Our RabMAb® technology is a patented hybridoma-based technology for making rabbit monoclonal antibodies. For details on our patents, please refer to RabMAb® patents.

What are the advantages of a recombinant monoclonal antibody?
This product is a recombinant monoclonal antibody, which offers several advantages including:

  • - High batch-to-batch consistency and reproducibility
  • - Improved sensitivity and specificity
  • - Long-term security of supply
  • - Animal-free batch production

For more information, read more on recombinant antibodies.

Conjugation ready
Our carrier-free antibodies are typically supplied in a PBS-only formulation, purified and free of BSA, sodium azide and glycerol. This conjugation-ready format is designed for use with fluorochromes, metal isotopes, oligonucleotides, and enzymes, which makes them ideal for antibody labelling, functional and cell-based assays, flow-based assays (e.g. mass cytometry) and Multiplex Imaging applications.

Use our conjugation kits for antibody conjugates that are ready-to-use in as little as 20 minutes with 1 minute hands-on-time and 100% antibody recovery: available for fluorescent dyes, HRP, biotin and gold.

Compatibility
This product is compatible with the Maxpar® Antibody Labeling Kit from Fluidigm, without the need for antibody preparation. Maxpar® is a trademark of Fluidigm Canada Inc.

Properties and storage information

Form
Liquid
Purification technique
Affinity purification Protein A
Storage buffer
Constituents: PBS
Shipped at conditions
Blue Ice
Appropriate short-term storage conditions
+4°C
Appropriate long-term storage conditions
+4°C

Supplementary information

This supplementary information is collated from multiple sources and compiled automatically.

Adropin is a secreted peptide hormone also known as Energy Homeostasis Associated (ENHO) gene product. This protein has a mass of approximately 4.5 kDa and is primarily expressed in the liver and brain but also in the pancreas and various peripheral tissues. Adropin plays a role in regulating metabolic homeostasis influencing lipid metabolism and glucose levels through its action. It facilitates communication within cells to maintain energy balance and research shows its involvement in modulating insulin sensitivity.
Biological function summary

Adropin influences glucose homeostasis and fatty acid metabolism. It does not form part of a larger complex but functions as a solitary signaling molecule. The protein impacts cellular processes by increasing glucose oxidation and reducing fatty acid oxidation contributing to energy balance. Studies have demonstrated its role in influencing cardiovascular functions and central nervous systems processes which link it to various metabolic conditions.

Pathways

Adropin is involved in the regulation of energy balance through the insulin signaling pathway and the AMPK pathway. Both pathways help manage glucose uptake and energy expenditure. In the insulin signaling pathway adropin works alongside other proteins like PPARγ and GLUT4 to control glucose levels. Adropin's role in the AMPK pathway relates to cellular energy charge and helps maintain metabolic health by modulating lipid and glucose metabolism.

Adropin has potential links to obesity and type 2 diabetes where it might contribute to pathophysiologies. Its reduced levels are often observed in patients with these conditions. The association to disorders involves interaction with proteins such as insulin receptor substrate (IRS) and adiponectin which mediate metabolic responses affecting glucose and lipid homeostasis. Understanding adropin's actions in these contexts could assist in the development of novel therapeutic strategies targeting metabolic disorders.

Product protocols

For this product, it's our understanding that no specific protocols are required. You can visit:

Target data

Involved in the regulation of glucose homeostasis and lipid metabolism.
See full target information ENHO

Product promise

We are committed to supporting your work with high-quality reagents, and we're here for you every step of the way. In the unlikely event that one of our products does not perform as expected, you're protected by our Product Promise.
For full details, please see our Terms & Conditions

Please note: All products are 'FOR RESEARCH USE ONLY. NOT FOR USE IN DIAGNOSTIC OR THERAPEUTIC PROCEDURES'.

For licensing inquiries, please contact partnerships@abcam.com