JavaScript is disabled in your browser. Please enable JavaScript to view this website.
AB321900

Anti-ADX antibody [EPR29804-54] - BSA and Azide free

  • BOND RX™ Validated
  • Recombinant
  • RabMAb
  • Advanced Validation
  • What is this?

Be the first to review this product! Submit a review

|

(0 Publication)

Rabbit Recombinant Monoclonal ADX antibody. Carrier free. Suitable for Dot, IHC-P, mIHC and reacts with Recombinant fragment - Human, Human, Mouse samples.

View Alternative Names

ADX, FDX1, Adrenal ferredoxin, Ferredoxin-1, Hepatoredoxin

10 Images
Immunohistochemistry (Formalin/PFA-fixed paraffin-embedded sections) - Anti-ADX antibody [EPR29804-54] - BSA and Azide free (AB321900)
  • IHC-P

Supplier Data

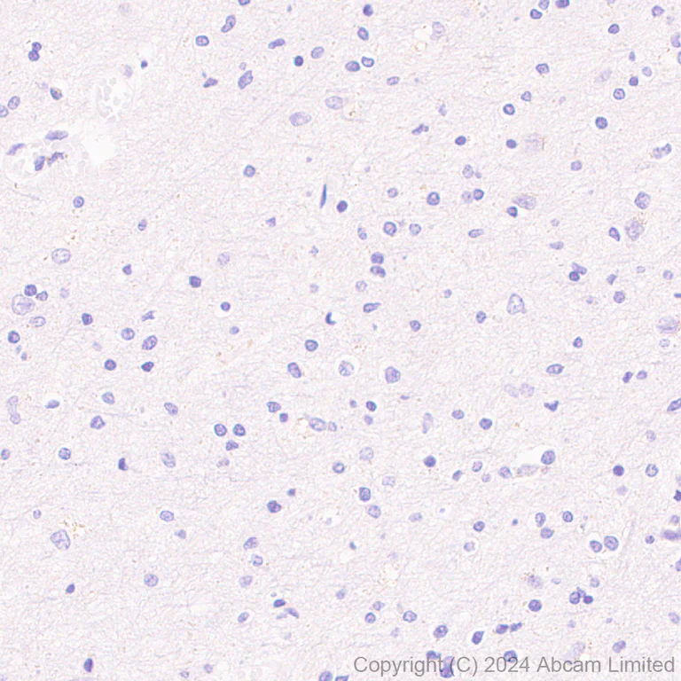
Immunohistochemistry (Formalin/PFA-fixed paraffin-embedded sections) - Anti-ADX antibody [EPR29804-54] - BSA and Azide free (AB321900)

This data was developed using ab321899, the same antibody clone in a different buffer formulation.

Immunohistochemical analysis of paraffin-embedded Human cerebrum tissue labeling ADX with ab321899 at 1/500 (0.976 ug/ml) dilution followed by a ready to use LeicaDS9800 (Bond™ Polymer Refine Detection). Negative control : no staining on human cerebrum. The section was incubated with ab321899 for 30 mins at room temperature. The immunostaining was performed on a Leica Biosystems BOND® RX instrument. Counterstained with Hematoxylin. Secondary antibody only control : Secondary antibody is a ready to use LeicaDS9800 (Bond™ Polymer Refine Detection). Heat mediated antigen retrieval was performed with Tris-EDTA buffer (pH 9.0 Epitope Retrieval Solution2) for 20 mins.

Immunohistochemistry (Formalin/PFA-fixed paraffin-embedded sections) - Anti-ADX antibody [EPR29804-54] - BSA and Azide free (AB321900)
  • IHC-P

Supplier Data

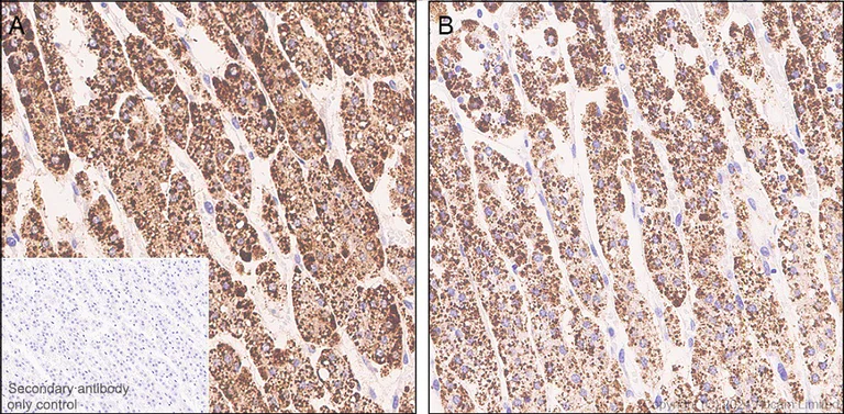
Immunohistochemistry (Formalin/PFA-fixed paraffin-embedded sections) - Anti-ADX antibody [EPR29804-54] - BSA and Azide free (AB321900)

This data was developed using ab321899, the same antibody clone in a different buffer formulation.

Immunohistochemical analysis of paraffin-embedded Human adrenal gland tissue labeling ADX with ab321899 at 1/2000 (0.244 ug/ml) dilution followed by a ready to use LeicaDS9800 (Bond™ Polymer Refine Detection). Positive staining on human adrenal gland (A) at 1/500 dilution (0.976 ug/mL) and (B) at 1/2000 dilution (0.244 ug/mL). The section was incubated with ab321899 for 30 mins at room temperature. The immunostaining was performed on a Leica Biosystems BOND® RX instrument. Counterstained with Hematoxylin. Secondary antibody only control : Secondary antibody is a ready to use LeicaDS9800 (Bond™ Polymer Refine Detection). Heat mediated antigen retrieval was performed with Tris-EDTA buffer (pH 9.0 Epitope Retrieval Solution2) for 20 mins.

Immunohistochemistry (Formalin/PFA-fixed paraffin-embedded sections) - Anti-ADX antibody [EPR29804-54] - BSA and Azide free (AB321900)
  • IHC-P

Supplier Data

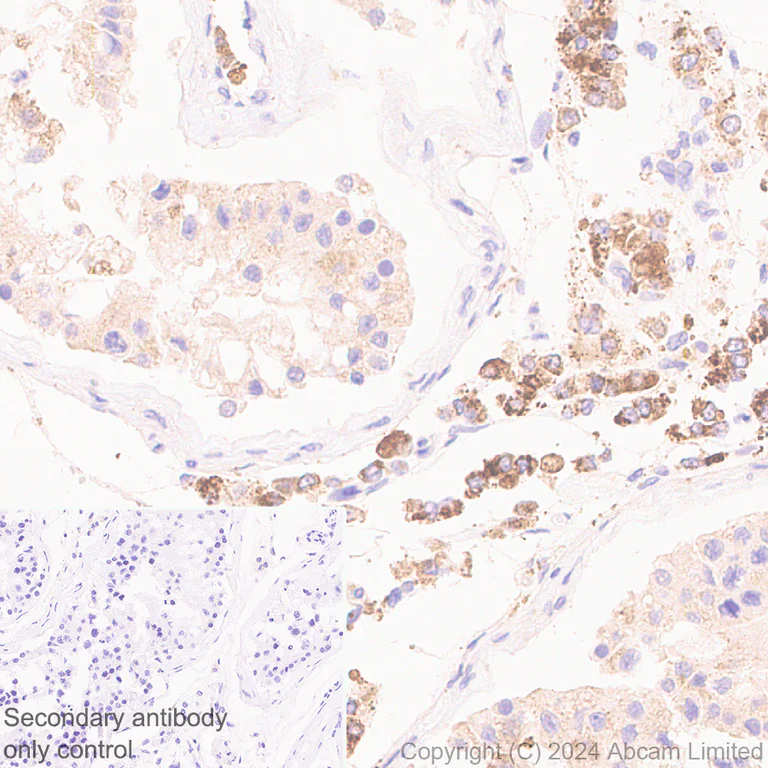
Immunohistochemistry (Formalin/PFA-fixed paraffin-embedded sections) - Anti-ADX antibody [EPR29804-54] - BSA and Azide free (AB321900)

This data was developed using ab321899, the same antibody clone in a different buffer formulation.

Immunohistochemical analysis of paraffin-embedded Human testis tissue labeling ADX with ab321899 at 1/500 (0.976 ug/ml) dilution followed by a ready to use LeicaDS9800 (Bond™ Polymer Refine Detection). Positive staining on human testis. The section was incubated with ab321899 for 30 mins at room temperature. The immunostaining was performed on a Leica Biosystems BOND® RX instrument. Counterstained with Hematoxylin. Secondary antibody only control : Secondary antibody is a ready to use LeicaDS9800 (Bond™ Polymer Refine Detection). Heat mediated antigen retrieval was performed with Tris-EDTA buffer (pH 9.0 Epitope Retrieval Solution2) for 20 mins.

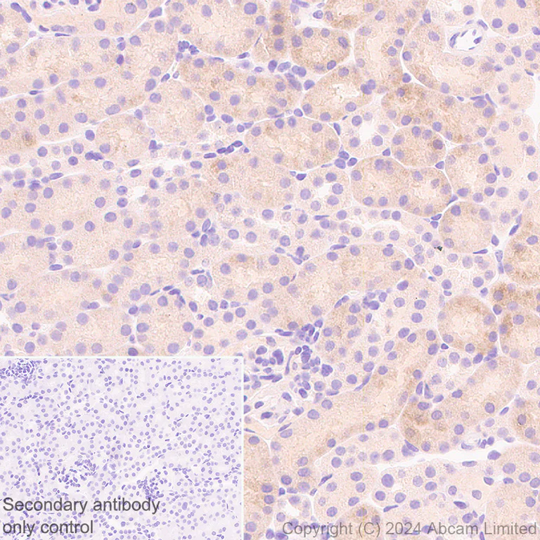
Immunohistochemistry (Formalin/PFA-fixed paraffin-embedded sections) - Anti-ADX antibody [EPR29804-54] - BSA and Azide free (AB321900)
  • IHC-P

Supplier Data

Immunohistochemistry (Formalin/PFA-fixed paraffin-embedded sections) - Anti-ADX antibody [EPR29804-54] - BSA and Azide free (AB321900)

This data was developed using ab321899, the same antibody clone in a different buffer formulation.

Immunohistochemical analysis of paraffin-embedded Human kidney tissue labeling ADX with ab321899 at 1/500 (0.976 ug/ml) dilution followed by a ready to use LeicaDS9800 (Bond™ Polymer Refine Detection). Positive staining on human kidney. The section was incubated with ab321899 for 30 mins at room temperature. The immunostaining was performed on a Leica Biosystems BOND® RX instrument. Counterstained with Hematoxylin. Secondary antibody only control : Secondary antibody is a ready to use LeicaDS9800 (Bond™ Polymer Refine Detection). Heat mediated antigen retrieval was performed with Tris-EDTA buffer (pH 9.0 Epitope Retrieval Solution2) for 20 mins.

Multiplex immunohistochemistry - Anti-ADX antibody [EPR29804-54] - BSA and Azide free (AB321900)
  • mIHC

Lab

Multiplex immunohistochemistry - Anti-ADX antibody [EPR29804-54] - BSA and Azide free (AB321900)

This data was developed using ab321899, the same antibody clone in a different buffer formulation.

Multiplex immunohistochemistry analysis of formalin/PFA-fixed paraffin-embedded Mouse adrenal gland staining of ADX with ab321899 at a 1/2000 (0.244 µg/ml) dilution VGF with ab308287 at 1/500 (0.95 µg/ml) dilution and Neuropeptide Y with ab221145 at 1/4000 ( 0.140 µg/ml) dilution.

Panel A : merged staining of anti-ADX (gray; Opal™690) anti-VGF (green; Opal™520) and anti-Neuropeptide Y (magenta; Opal™570) on mouse adrenal gland.
Panel B : anti-ADX staining adrenal cortex in mouse adrenal gland.
Panel C : anti-VGF staining endocrine cells in mouse adrenal gland medulla.
Panel D : nti-Neuropeptide Y staining chromaffin cells in mouse adrenal gland medulla.
Nuclear DNA was labelled with DAPI (shown in blue). ).

The section was incubated in three rounds of staining : in the order of ab321899 ab308287 and ab221145 for 30 mins at room temperature.. Each round was followed by a separate fluorescent tyramide signal amplification system.

Heat mediated antigen retrieval with Tris-EDTA buffer (pH 9.0 epitope retrieval solution2) for 20 mins.

Immunohistochemistry (Formalin/PFA-fixed paraffin-embedded sections) - Anti-ADX antibody [EPR29804-54] - BSA and Azide free (AB321900)
  • IHC-P

Supplier Data

Immunohistochemistry (Formalin/PFA-fixed paraffin-embedded sections) - Anti-ADX antibody [EPR29804-54] - BSA and Azide free (AB321900)

This data was developed using ab321899, the same antibody clone in a different buffer formulation.

Immunohistochemical analysis of paraffin-embedded Mouse kidney tissue labeling ADX with ab321899 at 1/500 (0.976 ug/ml) dilution followed by a ready to use LeicaDS9800 (Bond™ Polymer Refine Detection). Positive staining on mouse kidney. The section was incubated with ab321899 for 30 mins at room temperature. The immunostaining was performed on a Leica Biosystems BOND® RX instrument. Counterstained with Hematoxylin. Secondary antibody only control : Secondary antibody is a ready to use LeicaDS9800 (Bond™ Polymer Refine Detection). Heat mediated antigen retrieval was performed with Tris-EDTA buffer (pH 9.0 Epitope Retrieval Solution2) for 20 mins.

Immunohistochemistry (Formalin/PFA-fixed paraffin-embedded sections) - Anti-ADX antibody [EPR29804-54] - BSA and Azide free (AB321900)
  • IHC-P

Supplier Data

Immunohistochemistry (Formalin/PFA-fixed paraffin-embedded sections) - Anti-ADX antibody [EPR29804-54] - BSA and Azide free (AB321900)

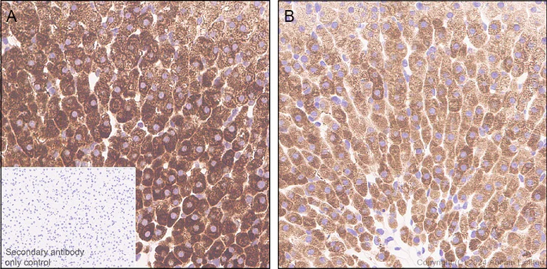
This data was developed using ab321899, the same antibody clone in a different buffer formulation.

Immunohistochemical analysis of paraffin-embedded Mouse adrenal gland tissue labeling ADX with ab321899 at 1/2000 (0.244 ug/ml) dilution followed by a ready to use LeicaDS9800 (Bond™ Polymer Refine Detection). Positive staining on mouse adrenal gland (A) at 1/500 dilution (0.976 ug/mL) and (B) at 1/2000 dilution (0.244 ug/mL). The section was incubated with ab321899 for 30 mins at room temperature. The immunostaining was performed on a Leica Biosystems BOND® RX instrument. Counterstained with Hematoxylin. Secondary antibody only control : Secondary antibody is a ready to use LeicaDS9800 (Bond™ Polymer Refine Detection). Heat mediated antigen retrieval was performed with Tris-EDTA buffer (pH 9.0 Epitope Retrieval Solution2) for 20 mins.

Immunohistochemistry (Formalin/PFA-fixed paraffin-embedded sections) - Anti-ADX antibody [EPR29804-54] - BSA and Azide free (AB321900)
  • IHC-P

Supplier Data

Immunohistochemistry (Formalin/PFA-fixed paraffin-embedded sections) - Anti-ADX antibody [EPR29804-54] - BSA and Azide free (AB321900)

This data was developed using ab321899, the same antibody clone in a different buffer formulation.

Immunohistochemical analysis of paraffin-embedded Mouse testis tissue labeling ADX with ab321899 at 1/500 (0.976 ug/ml) dilution followed by a ready to use LeicaDS9800 (Bond™ Polymer Refine Detection). Positive staining on mouse testis. The section was incubated with ab321899 for 30 mins at room temperature. The immunostaining was performed on a Leica Biosystems BOND® RX instrument. Counterstained with Hematoxylin. Secondary antibody only control : Secondary antibody is a ready to use LeicaDS9800 (Bond™ Polymer Refine Detection). Heat mediated antigen retrieval was performed with Tris-EDTA buffer (pH 9.0 Epitope Retrieval Solution2) for 20 mins.

Immunohistochemistry (Formalin/PFA-fixed paraffin-embedded sections) - Anti-ADX antibody [EPR29804-54] - BSA and Azide free (AB321900)
  • IHC-P

Supplier Data

Immunohistochemistry (Formalin/PFA-fixed paraffin-embedded sections) - Anti-ADX antibody [EPR29804-54] - BSA and Azide free (AB321900)

This data was developed using ab321899, the same antibody clone in a different buffer formulation.

Immunohistochemical analysis of paraffin-embedded Mouse cerebrum tissue labeling ADX with ab321899 at 1/500 (0.976 ug/ml) dilution followed by a ready to use LeicaDS9800 (Bond™ Polymer Refine Detection). Negative control : no staining on mouse cerebrum. The section was incubated with ab321899 for 30 mins at room temperature. The immunostaining was performed on a Leica Biosystems BOND® RX instrument. Counterstained with Hematoxylin. Secondary antibody only control : Secondary antibody is a ready to use LeicaDS9800 (Bond™ Polymer Refine Detection). Heat mediated antigen retrieval was performed with Tris-EDTA buffer (pH 9.0 Epitope Retrieval Solution2) for 20 mins.

Western blot - Anti-ADX antibody [EPR29804-54] - BSA and Azide free (AB321900)
  • WB

Supplier Data

Western blot - Anti-ADX antibody [EPR29804-54] - BSA and Azide free (AB321900)

This data was developed using ab321899, the same antibody clone in a different buffer formulation.

Dot blot analysis of ADX using ab321899 at 1000 (0.488 ug/ml) followed by a Goat Anti-Rabbit IgG (H+L) Peroxidase conjugated (ab97051) at 1 : 100000 dilution.

Lane1 : His-tagged human ADX recombinant protein

Exposure time : 180 seconds.

Blocking and diluting buffer and concentration : 5% NFDM/TBST.

In Dot Blot Anti-6X His tag® antibody [EPR20547] - ChIP Grade (ab213204) staining at 1/5000 dilution.

All lanes:

Western blot - Anti-ADX antibody [EPR29804-54] (<a href='/en-us/products/primary-antibodies/adx-antibody-epr29804-54-ab321899'>ab321899</a>) at 1/1000 dilution

All lanes:

His-tagged human ADX recombinant protein

Secondary

All lanes:

Western blot - Goat Anti-Rabbit IgG H&L (HRP) (<a href='/en-us/products/secondary-antibodies/goat-rabbit-igg-h-l-hrp-ab97051'>ab97051</a>) at 1/100000 dilution

false

Exposure time: 180s

Key facts

Host species

Rabbit

Clonality

Monoclonal

Clone number

EPR29804-54

Isotype

IgG

Carrier free

Yes

Reacts with

Human, Mouse

Applications

Dot, mIHC, IHC-P

applications

Immunogen

The exact immunogen used to generate this antibody is proprietary information.

Reactivity data

{ "title": "Reactivity Data", "filters": { "stats": ["", "Species", "Dilution Info", "Notes"], "tabs": { "all-applications": {"fullname" : "All Applications", "shortname": "All Applications"}, "Dot" : {"fullname" : "Dot Blot", "shortname":"Dot"}, "IHCP" : {"fullname" : "Immunohistochemistry (Formalin/PFA-fixed paraffin-embedded sections)", "shortname":"IHC-P"}, "mIHC" : {"fullname" : "Multiplex immunohistochemistry", "shortname":"mIHC"}, "ICCIF" : {"fullname" : "Immunocytochemistry/ Immunofluorescence", "shortname":"ICC/IF"} }, "product-promise": { "all": "all", "testedAndGuaranteed": "tested", "guaranteed": "expected", "predicted": "predicted", "notRecommended": "not-recommended" } }, "values": { "Human": { "Dot-species-checked": "guaranteed", "Dot-species-dilution-info": "", "Dot-species-notes": "", "IHCP-species-checked": "testedAndGuaranteed", "IHCP-species-dilution-info": "", "IHCP-species-notes": "<p></p> Perform heat-mediated antigen retrieval with Tris/EDTA buffer pH 9.0 before commencing with IHC staining protocol.", "mIHC-species-checked": "guaranteed", "mIHC-species-dilution-info": "", "mIHC-species-notes": "", "ICCIF-species-checked": "notRecommended", "ICCIF-species-dilution-info": "", "ICCIF-species-notes": "" }, "Mouse": { "Dot-species-checked": "guaranteed", "Dot-species-dilution-info": "", "Dot-species-notes": "", "IHCP-species-checked": "testedAndGuaranteed", "IHCP-species-dilution-info": "", "IHCP-species-notes": "<p></p> Perform heat-mediated antigen retrieval with Tris/EDTA buffer pH 9.0 before commencing with IHC staining protocol.", "mIHC-species-checked": "testedAndGuaranteed", "mIHC-species-dilution-info": "", "mIHC-species-notes": "<p></p>", "ICCIF-species-checked": "notRecommended", "ICCIF-species-dilution-info": "", "ICCIF-species-notes": "<p></p>" }, "Recombinant fragment - Human": { "Dot-species-checked": "testedAndGuaranteed", "Dot-species-dilution-info": "", "Dot-species-notes": "<p></p>", "IHCP-species-checked": "notRecommended", "IHCP-species-dilution-info": "", "IHCP-species-notes": "", "mIHC-species-checked": "notRecommended", "mIHC-species-dilution-info": "", "mIHC-species-notes": "", "ICCIF-species-checked": "notRecommended", "ICCIF-species-dilution-info": "", "ICCIF-species-notes": "" } } }

Product details

ab321900 is the carrier-free version of ab321899.

Patented technology
Our RabMAb® technology is a patented hybridoma-based technology for making rabbit monoclonal antibodies. For details on our patents, please refer to RabMAb® patents.

What are the advantages of a recombinant monoclonal antibody?
This product is a recombinant monoclonal antibody, which offers several advantages including:

  • - High batch-to-batch consistency and reproducibility
  • - Improved sensitivity and specificity
  • - Long-term security of supply
  • - Animal-free batch production

For more information, read more on recombinant antibodies.

Conjugation ready
Our carrier-free antibodies are typically supplied in a PBS-only formulation, purified and free of BSA, sodium azide and glycerol. This conjugation-ready format is designed for use with fluorochromes, metal isotopes, oligonucleotides, and enzymes, which makes them ideal for antibody labelling, functional and cell-based assays, flow-based assays (e.g. mass cytometry) and Multiplex Imaging applications.

Use our conjugation kits for antibody conjugates that are ready-to-use in as little as 20 minutes with 1 minute hands-on-time and 100% antibody recovery: available for fluorescent dyes, HRP, biotin and gold.

Compatibility
This product is compatible with the Maxpar® Antibody Labeling Kit from Fluidigm, without the need for antibody preparation. Maxpar® is a trademark of Fluidigm Canada Inc.

Properties and storage information

Form
Liquid
Purification technique
Affinity purification Protein A
Storage buffer
pH: 7.2 - 7.4 Constituents: PBS
Shipped at conditions
Blue Ice
Appropriate short-term storage conditions
+4°C
Appropriate long-term storage conditions
+4°C

Product protocols

For this product, it's our understanding that no specific protocols are required. You can visit:

Target data

Essential for the synthesis of various steroid hormones (PubMed : 20547883, PubMed : 21636783). Participates in the reduction of mitochondrial cytochrome P450 for steroidogenesis (PubMed : 20547883, PubMed : 21636783). Transfers electrons from adrenodoxin reductase to CYP11A1, a cytochrome P450 that catalyzes cholesterol side-chain cleavage (PubMed : 20547883, PubMed : 21636783). Does not form a ternary complex with adrenodoxin reductase and CYP11A1 but shuttles between the two enzymes to transfer electrons (By similarity).
See full target information FDX1

Product promise

We are committed to supporting your work with high-quality reagents, and we're here for you every step of the way. In the unlikely event that one of our products does not perform as expected, you're protected by our Product Promise.
For full details, please see our Terms & Conditions

Please note: All products are 'FOR RESEARCH USE ONLY. NOT FOR USE IN DIAGNOSTIC OR THERAPEUTIC PROCEDURES'.

For licensing inquiries, please contact partnerships@abcam.com