JavaScript is disabled in your browser. Please enable JavaScript to view this website.
AB230376

Anti-AF10 antibody [EPR20810] - BSA and Azide free

Be the first to review this product! Submit a review

|

(1 Publication)

Rabbit Recombinant Monoclonal AF10 antibody. Carrier free. Suitable for WB, Flow Cyt (Intra), IHC-P and reacts with Mouse, Rat, Human samples. Cited in 1 publication.

View Alternative Names

AF10, MLLT10, Protein AF-10, ALL1-fused gene from chromosome 10 protein

4 Images
Immunohistochemistry (Formalin/PFA-fixed paraffin-embedded sections) - Anti-AF10 antibody [EPR20810] - BSA and Azide free (AB230376)
  • IHC-P

Supplier Data

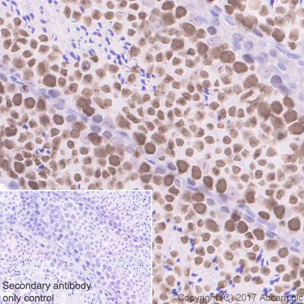
Immunohistochemistry (Formalin/PFA-fixed paraffin-embedded sections) - Anti-AF10 antibody [EPR20810] - BSA and Azide free (AB230376)

Immunohistochemical analysis of paraffin-embedded rat testis tissue labeling AF10 with ab208016 at 1/1000 dilution, followed by a ready to use Goat Anti-Rabbit IgG H&L (HRP). Nuclear staining in rat testis (PMID : 7888665; PMID : 11756182). Counter stained with hematoxylin.

Secondary antibody only control : Used PBS instead of primary antibody, secondary antibody is a ready to use Goat Anti-Rabbit IgG H&L (HRP).

Perform heat-mediated antigen retrieval using Tris/EDTA buffer, pH 9.0.

This data was developed using the same antibody clone in a different buffer formulation containing PBS, BSA, glycerol, and sodium azide (ab208016).

Immunohistochemistry (Formalin/PFA-fixed paraffin-embedded sections) - Anti-AF10 antibody [EPR20810] - BSA and Azide free (AB230376)
  • IHC-P

Supplier Data

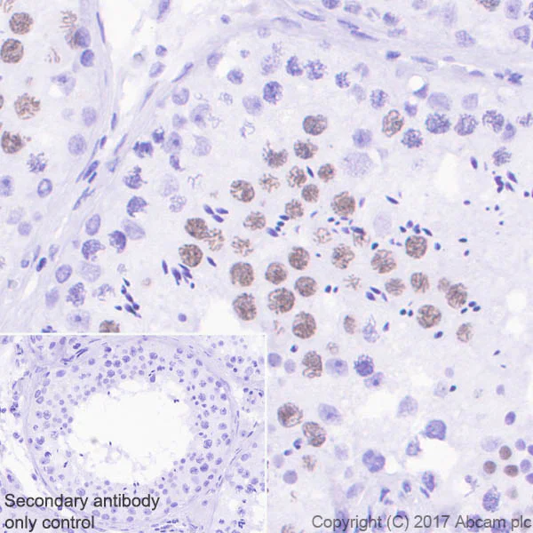
Immunohistochemistry (Formalin/PFA-fixed paraffin-embedded sections) - Anti-AF10 antibody [EPR20810] - BSA and Azide free (AB230376)

Immunohistochemical analysis of paraffin-embedded mouse testis tissue labeling AF10 with ab208016 at 1/1000 dilution, followed by a ready to use Goat Anti-Rabbit IgG H&L (HRP). Nuclear staining in mouse testis (PMID : 7888665; PMID : 11756182). Counter stained with hematoxylin.

Secondary antibody only control : Used PBS instead of primary antibody, secondary antibody is a ready to use Goat Anti-Rabbit IgG H&L (HRP).

Perform heat-mediated antigen retrieval using Tris/EDTA buffer, pH 9.0.

This data was developed using the same antibody clone in a different buffer formulation containing PBS, BSA, glycerol, and sodium azide (ab208016).

Flow Cytometry (Intracellular) - Anti-AF10 antibody [EPR20810] - BSA and Azide free (AB230376)
  • Flow Cyt (Intra)

Supplier Data

Flow Cytometry (Intracellular) - Anti-AF10 antibody [EPR20810] - BSA and Azide free (AB230376)

Intracellular flow cytometric analysis of 4% paraformaldehyde-fixed, 90% methanol-permeabilized �K562 (human chronic myelogenous leukemia cell line from bone marrow) cell line labeling �AF10 with ab208016 at 1/500 dilution (red) compared with a Rabbit IgG, monoclonal [EPR25A] - Isotype Control (ab172730) (black) and an unlabeled control (cells without incubation with primary antibody and secondary antibody) (blue). Goat Anti-Rabbit IgG H&L (Alexa Fluor� 488) (ab150077) at 1/2000 dilution was used as the secondary antibody.

This data was developed using the same antibody clone in a different buffer formulation containing PBS, BSA, glycerol, and sodium azide (ab208016).

Immunohistochemistry (Formalin/PFA-fixed paraffin-embedded sections) - Anti-AF10 antibody [EPR20810] - BSA and Azide free (AB230376)
  • IHC-P

Supplier Data

Immunohistochemistry (Formalin/PFA-fixed paraffin-embedded sections) - Anti-AF10 antibody [EPR20810] - BSA and Azide free (AB230376)

Immunohistochemical analysis of paraffin-embedded human testis tissue labeling AF10 with ab208016 at 1/1000 dilution, followed by a ready to use Goat Anti-Rabbit IgG H&L (HRP). Nuclear staining in human testis (PMID : 7888665; PMID : 11756182). Counter stained with hematoxylin.

Secondary antibody only control : Used PBS instead of primary antibody, secondary antibody is a ready to use Goat Anti-Rabbit IgG H&L (HRP).

Perform heat-mediated antigen retrieval using ab93684 (Tris/EDTA buffer, pH 9.0).

This data was developed using the same antibody clone in a different buffer formulation containing PBS, BSA, glycerol, and sodium azide (ab208016).

Key facts

Host species

Rabbit

Clonality

Monoclonal

Clone number

EPR20810

Isotype

IgG

Carrier free

Yes

Reacts with

Mouse, Rat, Human

Applications

Flow Cyt (Intra), IHC-P, WB

applications

Immunogen

The exact immunogen used to generate this antibody is proprietary information.

Reactivity data

{ "title": "Reactivity Data", "filters": { "stats": ["", "Species", "Dilution Info", "Notes"], "tabs": { "all-applications": {"fullname" : "All Applications", "shortname": "All Applications"}, "WB" : {"fullname" : "Western blot", "shortname":"WB"}, "FlowCytIntra" : {"fullname" : "Flow Cytometry (Intracellular)", "shortname":"Flow Cyt (Intra)"}, "IHCP" : {"fullname" : "Immunohistochemistry (Formalin/PFA-fixed paraffin-embedded sections)", "shortname":"IHC-P"} }, "product-promise": { "all": "all", "testedAndGuaranteed": "tested", "guaranteed": "expected", "predicted": "predicted", "notRecommended": "not-recommended" } }, "values": { "Human": { "WB-species-checked": "guaranteed", "WB-species-dilution-info": "", "WB-species-notes": "<p></p>", "FlowCytIntra-species-checked": "testedAndGuaranteed", "FlowCytIntra-species-dilution-info": "", "FlowCytIntra-species-notes": "<p></p>", "IHCP-species-checked": "testedAndGuaranteed", "IHCP-species-dilution-info": "", "IHCP-species-notes": "<p></p>" }, "Mouse": { "WB-species-checked": "guaranteed", "WB-species-dilution-info": "", "WB-species-notes": "<p></p>", "FlowCytIntra-species-checked": "predicted", "FlowCytIntra-species-dilution-info": "", "FlowCytIntra-species-notes": "", "IHCP-species-checked": "predicted", "IHCP-species-dilution-info": "", "IHCP-species-notes": "" }, "Rat": { "WB-species-checked": "guaranteed", "WB-species-dilution-info": "", "WB-species-notes": "<p></p>", "FlowCytIntra-species-checked": "predicted", "FlowCytIntra-species-dilution-info": "", "FlowCytIntra-species-notes": "", "IHCP-species-checked": "predicted", "IHCP-species-dilution-info": "", "IHCP-species-notes": "" } } }

Product details

ab230376 is the carrier-free version of ab208016.

Patented technology
Our RabMAb® technology is a patented hybridoma-based technology for making rabbit monoclonal antibodies. For details on our patents, please refer to RabMAb® patents.

What are the advantages of a recombinant monoclonal antibody?
This product is a recombinant monoclonal antibody, which offers several advantages including:

  • - High batch-to-batch consistency and reproducibility
  • - Improved sensitivity and specificity
  • - Long-term security of supply
  • - Animal-free batch production

For more information, read more on recombinant antibodies.

Conjugation ready
Our carrier-free antibodies are typically supplied in a PBS-only formulation, purified and free of BSA, sodium azide and glycerol. This conjugation-ready format is designed for use with fluorochromes, metal isotopes, oligonucleotides, and enzymes, which makes them ideal for antibody labelling, functional and cell-based assays, flow-based assays (e.g. mass cytometry) and Multiplex Imaging applications.

Use our conjugation kits for antibody conjugates that are ready-to-use in as little as 20 minutes with 1 minute hands-on-time and 100% antibody recovery: available for fluorescent dyes, HRP, biotin and gold.

Compatibility
This product is compatible with the Maxpar® Antibody Labeling Kit from Fluidigm, without the need for antibody preparation. Maxpar® is a trademark of Fluidigm Canada Inc.

Properties and storage information

Form
Liquid
Purification technique
Affinity purification Protein A
Storage buffer
pH: 7.2 - 7.4 Constituents: PBS
Shipped at conditions
Blue Ice
Appropriate short-term storage conditions
+4°C
Appropriate long-term storage conditions
+4°C
Storage information
Do Not Freeze

Supplementary information

This supplementary information is collated from multiple sources and compiled automatically.

The AF10 protein also known as MLLT10 acts mechanically by associating with chromatin to regulate gene expression. The protein weighs approximately 225 kDa. Scientists find AF10 in a variety of tissues prominently in the nucleus where it influences gene regulation through interaction with chromatin structures. As a member of the AF family of proteins AF10 has a basic leucine zipper (bZIP) domain which facilitates its role in DNA binding and transcription regulation.
Biological function summary

AF10 participates in the regulation of gene transcription as part of larger protein complexes. It interacts with other chromatin-associated proteins and contributes to histone modification processes thereby affecting chromatin architecture and transcriptional activity. This binding to chromatin-modifying factors allows AF10 to maintain vital roles in controlling essential genes involved in cell cycle progression and differentiation.

Pathways

AF10 operates primarily in transcription regulation pathways and is linked to the HOX gene regulation pathway. It closely interacts with proteins such as MLL (Mixed-Lineage Leukemia) in the context of these pathways. Through its function in the transcription machinery AF10 facilitates the precise expression of gene sets necessary for proper cell lineage specification and development.

Malfunctions in AF10 are linked to acute leukemias such as acute myeloid leukemia (AML) due to aberrant gene translocations involving the MLL gene. This aberration can result in the creation of MLL-AF10 fusion proteins which contribute to oncogenic processes. Furthermore irregular AF10 expression or mutation can be connected with other hematological disorders impacting hematopoiesis and leading to disease progression. Researchers study its connection with MLL in a bid to develop targeted therapies aimed at modulating these leukemic transformations.

Product protocols

For this product, it's our understanding that no specific protocols are required. You can visit:

Target data

Probably involved in transcriptional regulation. In vitro or as fusion protein with KMT2A/MLL1 has transactivation activity. Binds to cruciform DNA. In cells, binding to unmodified histone H3 regulates DOT1L functions including histone H3 'Lys-79' dimethylation (H3K79me2) and gene activation (PubMed : 26439302).
See full target information MLLT10

Publications (1)

Recent publications for all applications. Explore the full list and refine your search

Cell reports. Medicine 5:101653 PubMed39019009

2024

Neddylation inhibition prevents acetaminophen-induced liver damage by enhancing the anabolic cardiolipin pathway.

Applications

Unspecified application

Species

Unspecified reactive species

Clàudia Gil-Pitarch,Marina Serrano-Maciá,Jorge Simon,Laura Mosca,Carolina Conter,Claudia M Rejano-Gordillo,L Estefanía Zapata-Pavas,Patricia Peña-Sanfélix,Mikel Azkargorta,Rubén Rodríguez-Agudo,Sofía Lachiondo-Ortega,Maria Mercado-Gómez,Teresa C Delgado,Marina Porcelli,Igor Aurrekoetxea,James D Sutherland,Rosa Barrio,Dimitris Xirodimas,Patricia Aspichueta,Felix Elortza,Luis Alfonso Martínez-Cruz,Rubén Nogueiras,Paula Iruzubieta,Javier Crespo,Steven Masson,Misti Vanette McCain,Helen L Reeves,Raul J Andrade,M Isabel Lucena,Ugo Mayor,Naroa Goikoetxea-Usandizaga,Irene González-Recio,María L Martínez-Chantar
View all publications

Product promise

We are committed to supporting your work with high-quality reagents, and we're here for you every step of the way. In the unlikely event that one of our products does not perform as expected, you're protected by our Product Promise.
For full details, please see our Terms & Conditions

Please note: All products are 'FOR RESEARCH USE ONLY. NOT FOR USE IN DIAGNOSTIC OR THERAPEUTIC PROCEDURES'.

For licensing inquiries, please contact partnerships@abcam.com