JavaScript is disabled in your browser. Please enable JavaScript to view this website.
AB154492

Anti-AF9 antibody

3

(1 Review)

|

(4 Publications)

Rabbit Polyclonal AF9 antibody. Suitable for IHC-P, WB, ICC/IF and reacts with Mouse, Human samples. Cited in 4 publications. Immunogen corresponding to Recombinant Fragment Protein within Human MLLT3 aa 250-550.

View Alternative Names

AF9, YEATS3, MLLT3, Protein AF-9, ALL1-fused gene from chromosome 9 protein, Myeloid/lymphoid or mixed-lineage leukemia translocated to chromosome 3 protein, YEATS domain-containing protein 3

6 Images
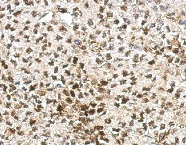
Immunohistochemistry (Formalin/PFA-fixed paraffin-embedded sections) - Anti-AF9 antibody (AB154492)
  • IHC-P

Unknown

Immunohistochemistry (Formalin/PFA-fixed paraffin-embedded sections) - Anti-AF9 antibody (AB154492)

Immunohistochemical analysis of paraffin-embedded D54 xenograft , labeling AF9 using ab154492 at 1/750 dilution.

Immunocytochemistry/ Immunofluorescence - Anti-AF9 antibody (AB154492)
  • ICC/IF

Supplier Data

Immunocytochemistry/ Immunofluorescence - Anti-AF9 antibody (AB154492)

Immunofluorescence analysis of HeLa cells fixed in 4% paraformaldehyde at RT for 15 min labelling AF9 protein at nucleus using ab154492 at a 1/1000 dilution (Green). Phalloidin, a cytoskeleton marker, was stained at a 1/100 dilution (Red).
Scale bar= 10 µm.

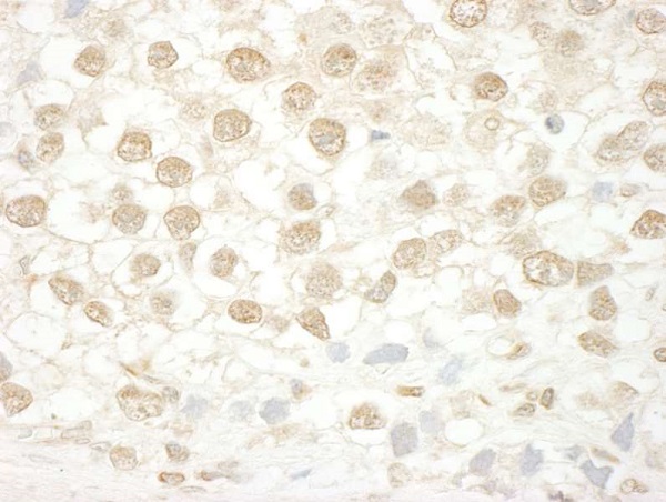
Immunohistochemistry (Formalin/PFA-fixed paraffin-embedded sections) - Anti-AF9 antibody (AB154492)
  • IHC-P

Supplier Data

Immunohistochemistry (Formalin/PFA-fixed paraffin-embedded sections) - Anti-AF9 antibody (AB154492)

Immunohistochemical analysis of paraffin-embedded mouse brain tissue stained for AF9 protein at nucleus with ab154492 at a 1/1500 dilution.

Antigen retrieval : Citrate buffer, pH 6.0, 15 min

Western blot - Anti-AF9 antibody (AB154492)
  • WB

Supplier Data

Western blot - Anti-AF9 antibody (AB154492)

Samples were separated by 7.5% SDS-PAGE.

All lanes:

Western blot - Anti-AF9 antibody (ab154492) at 1/1000 dilution

All lanes:

HeLa Whole cell extract at 30 µg

Secondary

All lanes:

HRP-conjugated anti-rabbit IgG antibody

Predicted band size: 63 kDa

false

Western blot - Anti-AF9 antibody (AB154492)
  • WB

Supplier Data

Western blot - Anti-AF9 antibody (AB154492)

Samples were separated by 7.5% SDS-PAGE.

All lanes:

Western blot - Anti-AF9 antibody (ab154492) at 1/3000 dilution

Lane 1:

293T whole cell lysates at 30 µg

Lane 2:

A431 whole cell lysates at 30 µg

Lane 3:

HeLa whole cell lysates at 30 µg

Secondary

All lanes:

HRP-conjugated anti-rabbit IgG antibody

Predicted band size: 63 kDa

false

Western blot - Anti-AF9 antibody (AB154492)
  • WB

Supplier Data

Western blot - Anti-AF9 antibody (AB154492)

Samples were separated by 7.5% SDS-PAGE.

All lanes:

Western blot - Anti-AF9 antibody (ab154492) at 1/500 dilution

Lane 1:

293T cell lysates at 50 µg

Lane 2:

AF9 shRNA transfected 293T cell lysates at 50 µg

Secondary

All lanes:

HRP-conjugated anti-rabbit IgG antibody

Predicted band size: 63 kDa

true

Key facts

Host species

Rabbit

Clonality

Polyclonal

Isotype

IgG

Carrier free

No

Reacts with

Human, Mouse

Applications

ICC/IF, WB, IHC-P

applications

Immunogen

Recombinant Fragment Protein within Human MLLT3 aa 250-550. The exact immunogen used to generate this antibody is proprietary information.

P42568

Reactivity data

{ "title": "Reactivity Data", "filters": { "stats": ["", "Species", "Dilution Info", "Notes"], "tabs": { "all-applications": {"fullname" : "All Applications", "shortname": "All Applications"}, "IHCP" : {"fullname" : "Immunohistochemistry (Formalin/PFA-fixed paraffin-embedded sections)", "shortname":"IHC-P"}, "WB" : {"fullname" : "Western blot", "shortname":"WB"}, "ICCIF" : {"fullname" : "Immunocytochemistry/ Immunofluorescence", "shortname":"ICC/IF"} }, "product-promise": { "all": "all", "testedAndGuaranteed": "tested", "guaranteed": "expected", "predicted": "predicted", "notRecommended": "not-recommended" } }, "values": { "Human": { "IHCP-species-checked": "testedAndGuaranteed", "IHCP-species-dilution-info": "1/100 - 1/1000", "IHCP-species-notes": "<p></p> Perform heat-mediated antigen retrieval with citrate buffer pH 6 before commencing with IHC staining protocol.", "WB-species-checked": "testedAndGuaranteed", "WB-species-dilution-info": "1/500 - 1/3000", "WB-species-notes": "<p></p>", "ICCIF-species-checked": "testedAndGuaranteed", "ICCIF-species-dilution-info": "1/100 - 1/1000", "ICCIF-species-notes": "<p></p>" }, "Mouse": { "IHCP-species-checked": "testedAndGuaranteed", "IHCP-species-dilution-info": "1/100 - 1/1000", "IHCP-species-notes": "<p></p> Perform heat-mediated antigen retrieval with citrate buffer pH 6 before commencing with IHC staining protocol.", "WB-species-checked": "guaranteed", "WB-species-dilution-info": "", "WB-species-notes": "", "ICCIF-species-checked": "guaranteed", "ICCIF-species-dilution-info": "", "ICCIF-species-notes": "" } } }

Properties and storage information

Form
Liquid
Purification technique
Affinity purification Immunogen
Storage buffer
pH: 7 Preservative: 0.025% Proclin 300 Constituents: PBS, 20% Glycerol (glycerin, glycerine)
Shipped at conditions
Blue Ice
Appropriate short-term storage conditions
+4°C
Appropriate long-term storage conditions
-20°C
Aliquoting information
Upon delivery aliquot
Storage information
Avoid freeze / thaw cycle

Supplementary information

This supplementary information is collated from multiple sources and compiled automatically.

The AF9 protein also known as AF-9 or AFNINE mechanically functions as a transcriptional coactivator involved in the regulation of gene expression. It has a molecular mass of approximately 62 kDa. AF9 expresses in various tissues including hematopoietic cells and plays an essential role in cellular transcription processes. The protein contains important domains that facilitate its interactions enabling it to modulate transcription by binding with other regulatory proteins.
Biological function summary

Functions related to AF9 involve its inclusion in the super elongation complex (SEC) which is important for transcriptional elongation. This complex controls the transition of RNA polymerase II into productive elongation stages during transcription. AF9 interacts with other proteins such as MLL ENL and P-TEFb within the SEC enhancing transcription of certain genes vital for cell proliferation and differentiation.

Pathways

AF9 plays significant roles in pathways like the MLL fusion pathway and the transcriptional regulation pathway. These pathways are integral to normal cellular processes as well as oncogenic transformations. In these pathways AF9 functionally relates to proteins such as Cyclin T1 and CDK9 through interactions within the super elongation complex modulating the transcription of genes involved in cell growth and division.

AF9 has strong links to leukemia particularly mixed lineage leukemia (MLL) due to its involvement in chromosomal translocations that create oncogenic MLL-AF9 fusion proteins. These fusions lead to altered transcription programs driving leukemogenesis. AF9 also connects to other oncoproteins like ENL that participate in similar pathways associated with MLL-related leukemias highlighting its critical role in disease pathogenesis.

Product protocols

For this product, it's our understanding that no specific protocols are required. You can visit:

Target data

Chromatin reader component of the super elongation complex (SEC), a complex required to increase the catalytic rate of RNA polymerase II transcription by suppressing transient pausing by the polymerase at multiple sites along the DNA (PubMed : 20159561, PubMed : 20471948, PubMed : 25417107, PubMed : 27105114, PubMed : 27545619). Specifically recognizes and binds acylated histone H3, with a preference for histone H3 that is crotonylated (PubMed : 25417107, PubMed : 27105114, PubMed : 27545619, PubMed : 30374167, PubMed : 30385749). Crotonylation marks active promoters and enhancers and confers resistance to transcriptional repressors (PubMed : 25417107, PubMed : 27105114, PubMed : 27545619). Recognizes and binds histone H3 crotonylated at 'Lys-9' (H3K9cr), and with slightly lower affinity histone H3 crotonylated at 'Lys-18' (H3K18cr) (PubMed : 27105114). Also recognizes and binds histone H3 acetylated and butyrylated at 'Lys-9' (H3K9ac and H3K9bu, respectively), but with lower affinity than crotonylated histone H3 (PubMed : 25417107, PubMed : 27105114, PubMed : 30385749). In the SEC complex, MLLT3 is required to recruit the complex to crotonylated histones (PubMed : 27105114, PubMed : 27545619). Recruitment of the SEC complex to crotonylated histones promotes recruitment of DOT1L on active chromatin to deposit histone H3 'Lys-79' methylation (H3K79me) (PubMed : 25417107). Plays a key role in hematopoietic stem cell (HSC) maintenance by preserving, rather than conferring, HSC stemness (PubMed : 31776511). Acts by binding to the transcription start site of active genes in HSCs and sustaining level of H3K79me2, probably by recruiting DOT1L (PubMed : 31776511).
See full target information MLLT3

Publications (4)

Recent publications for all applications. Explore the full list and refine your search

Advanced science (Weinheim, Baden-Wurttemberg, Germany) 12:e2408529 PubMed39716999

2024

MLLT3 Regulates Melanoma Stemness and Progression by Inhibiting HMGB1 Nuclear Entry and MAGEA1 MC Modification.

Applications

Unspecified application

Species

Unspecified reactive species

Yaling Li,Hong Liu,Jingyi Li,Chang Fu,Bin Jiang,Bancheng Chen,Yanfen Zou,Bo Yu,Bing Song

Nature 612:732-738 PubMed36517595

2022

Primate gastrulation and early organogenesis at single-cell resolution.

Applications

Unspecified application

Species

Unspecified reactive species

Jinglei Zhai,Jing Guo,Haifeng Wan,Luqing Qi,Lizhong Liu,Zhenyu Xiao,Long Yan,Daniel A Schmitz,Yanhong Xu,Dainan Yu,Xulun Wu,Wentao Zhao,Kunyuan Yu,Xiangxiang Jiang,Fan Guo,Jun Wu,Hongmei Wang

The Journal of experimental medicine 216:2653-2668 PubMed31434684

2019

Yeats4 drives ILC lineage commitment via activation of transcription.

Applications

Unspecified application

Species

Unspecified reactive species

Benyu Liu,Liuliu Yang,Xiaoxiao Zhu,Huimu Li,Pingping Zhu,Jiayi Wu,Tiankun Lu,Luyun He,Nian Liu,Shu Meng,Liang Zhou,Buqing Ye,Yong Tian,Zusen Fan

Transcription 8:133-149 PubMed28340332

2017

Super elongation complex promotes early HIV transcription and its function is modulated by P-TEFb.

Applications

Unspecified application

Species

Unspecified reactive species

Alona Kuzmina,Simona Krasnopolsky,Ran Taube
View all publications

Product promise

We are committed to supporting your work with high-quality reagents, and we're here for you every step of the way. In the unlikely event that one of our products does not perform as expected, you're protected by our Product Promise.
For full details, please see our Terms & Conditions

Please note: All products are 'FOR RESEARCH USE ONLY. NOT FOR USE IN DIAGNOSTIC OR THERAPEUTIC PROCEDURES'.

For licensing inquiries, please contact partnerships@abcam.com