JavaScript is disabled in your browser. Please enable JavaScript to view this website.
AB121461

Anti-AFAF/Equatorin antibody

Be the first to review this product! Submit a review

|

(1 Publication)

Rabbit Polyclonal AFAF/Equatorin antibody. Suitable for IHC-P, WB, ICC/IF and reacts with Human samples. Cited in 1 publication. Immunogen corresponding to Recombinant Fragment Protein within Human EQTN aa 200 to C-terminus.

View Alternative Names

AFAF, C9orf11, EQTN, Equatorin, Acrosome formation-associated factor

1 Images
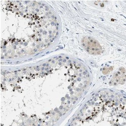
Immunohistochemistry (Formalin/PFA-fixed paraffin-embedded sections) - Anti-AFAF/Equatorin antibody (AB121461)
  • IHC-P

Unknown

Immunohistochemistry (Formalin/PFA-fixed paraffin-embedded sections) - Anti-AFAF/Equatorin antibody (AB121461)

ab121461 at a 1/300 dilution staining AFAF/Equatorin in Human testis tissue (paraffin embedded) by immunohistochemistry.

Key facts

Host species

Rabbit

Clonality

Polyclonal

Isotype

IgG

Carrier free

No

Reacts with

Human

Applications

IHC-P, ICC/IF, WB

applications

Immunogen

Recombinant Fragment Protein within Human EQTN aa 200 to C-terminus. The exact immunogen used to generate this antibody is proprietary information.

Q9NQ60

Reactivity data

{ "title": "Reactivity Data", "filters": { "stats": ["", "Species", "Dilution Info", "Notes"], "tabs": { "all-applications": {"fullname" : "All Applications", "shortname": "All Applications"}, "IHCP" : {"fullname" : "Immunohistochemistry (Formalin/PFA-fixed paraffin-embedded sections)", "shortname":"IHC-P"}, "WB" : {"fullname" : "Western blot", "shortname":"WB"}, "ICCIF" : {"fullname" : "Immunocytochemistry/ Immunofluorescence", "shortname":"ICC/IF"} }, "product-promise": { "all": "all", "testedAndGuaranteed": "tested", "guaranteed": "expected", "predicted": "predicted", "notRecommended": "not-recommended" } }, "values": { "Human": { "IHCP-species-checked": "testedAndGuaranteed", "IHCP-species-dilution-info": "1/200 - 1/500", "IHCP-species-notes": "<p></p> Perform heat-mediated antigen retrieval with citrate buffer pH 6 before commencing with IHC staining protocol.", "WB-species-checked": "guaranteed", "WB-species-dilution-info": "", "WB-species-notes": "<p></p>", "ICCIF-species-checked": "guaranteed", "ICCIF-species-dilution-info": "", "ICCIF-species-notes": "<p>Recommend PFA Fixation and Triton X-100 treatment.</p>" } } }

Properties and storage information

Form
Liquid
Purification technique
Affinity purification Immunogen
Storage buffer
pH: 7.2 Preservative: 0.02% Sodium azide Constituents: PBS, 40% Glycerol (glycerin, glycerine)
Shipped at conditions
Blue Ice
Appropriate short-term storage conditions
+4°C
Appropriate long-term storage conditions
-20°C
Aliquoting information
Upon delivery aliquot
Storage information
Avoid freeze / thaw cycle

Supplementary information

This supplementary information is collated from multiple sources and compiled automatically.

AFAF also known as Equatorin is a protein that plays a role in the structural integrity of the sperm acrosome. It has a molecular weight of approximately 60 kDa. AFAF is predominantly expressed in the testes particularly localized at the equatorial segment of the spermatozoon which is essential for the proper function of sperm cells.
Biological function summary

The functions of AFAF involve maintaining the proper architecture of sperm cells. This protein is an integral part of the acrosomal membrane complex a structure essential for fertilization. AFAF interacts with other proteins in the acrosomal matrix contributing to its strength and stability which aids the sperm in penetrating the ovum.

Pathways

The role of AFAF aligns with reproductive and fertilization-related biological processes. It is a component of the acrosome reaction pathway important for the fusion of sperm with the egg membrane. The protein associates with acrosin and other proteolytic enzymes which facilitate the breakdown of the extracellular matrix of the egg. These interactions are vital for successful fertility and the continuation of genetic material to the offspring.

Improper function or expression of AFAF can lead to male infertility. Abnormalities in AFAF may disrupt the acrosome reaction resulting in impaired fertilization. The protein's malfunction can also relate to oligozoospermia a condition marked by a low sperm count. Moreover its interactions with proteins like zonadhesin are relevant in the context of these reproductive health issues highlighting the importance of AFAF in maintaining reproductive capability.

Product protocols

For this product, it's our understanding that no specific protocols are required. You can visit:

Target data

Acrosomal membrane-anchored protein involved in the process of fertilization and in acrosome biogenesis.
See full target information EQTN

Publications (1)

Recent publications for all applications. Explore the full list and refine your search

Cell research 25:851-63 PubMed26088417

2015

Generation of fertile offspring from Kit(w)/Kit(wv) mice through differentiation of gene corrected nuclear transfer embryonic stem cells.

Applications

IHC-P

Species

Unspecified reactive species

Yan Yuan,Quan Zhou,Haifeng Wan,Bin Shen,Xuepeng Wang,Mei Wang,Chunjing Feng,Mingming Xie,Tiantian Gu,Tao Zhou,Rui Fu,Xingxu Huang,Qi Zhou,Jiahao Sha,Xiao-Yang Zhao
View all publications

Product promise

We are committed to supporting your work with high-quality reagents, and we're here for you every step of the way. In the unlikely event that one of our products does not perform as expected, you're protected by our Product Promise.
For full details, please see our Terms & Conditions

Please note: All products are 'FOR RESEARCH USE ONLY. NOT FOR USE IN DIAGNOSTIC OR THERAPEUTIC PROCEDURES'.

For licensing inquiries, please contact partnerships@abcam.com