JavaScript is disabled in your browser. Please enable JavaScript to view this website.
AB201034

Anti-AFM antibody [EPR19383]

Be the first to review this product! Submit a review

|

(1 Publication)

Rabbit Recombinant Monoclonal AFM antibody. Suitable for WB and reacts with Mouse, Rat, Human samples. Cited in 1 publication.

View Alternative Names

ALB2, ALBA, AFM, Afamin, Alpha-albumin, Alpha-Alb

2 Images
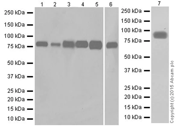
Western blot - Anti-AFM antibody [EPR19383] (AB201034)
  • WB

Supplier Data

Western blot - Anti-AFM antibody [EPR19383] (AB201034)

Blocking/Dilution buffer : 5% NFDM/TBST.

Exposure time : Lane 1,2,3,4,5 and 7 : 30 seconds; Lane 6 : 3 seconds.

All lanes:

Western blot - Anti-AFM antibody [EPR19383] (ab201034) at 1/1000 dilution

Lane 1:

Human serum at 20 µg

Lane 2:

Human blood at 20 µg

Lane 3:

Mouse plasma at 20 µg

Lane 4:

Mouse serum at 20 µg

Lane 5:

Rat serum at 20 µg

Lane 6:

Rat plasma at 20 µg

Lane 7:

Human plasma at 10 µg

Secondary

All lanes:

Goat Anti-Rabbit IgG Peroxidase Conjugate, specific to the non-reduced form of IgG at 1/10000 dilution

Predicted band size: 69 kDa

Observed band size: 87 kDa

false

Western blot - Anti-AFM antibody [EPR19383] (AB201034)
  • WB

Supplier Data

Western blot - Anti-AFM antibody [EPR19383] (AB201034)

Blocking/Dilution buffer : 5% NFDM/TBST.

AFM is a glycoprotein, its apparent molecular weight on SDS-PAGE is 87 kDa due to glycosylation. AFM has 4 potential sites for N-Glycosylation and N-glycanase treatment reduced the apparent MW to 65 kDa (PMID : 7517938).

All lanes:

Western blot - Anti-AFM antibody [EPR19383] (ab201034) at 1/1000 dilution

Lane 1:

Untreated mouse serum at 10 µg

Lane 2:

Mouse serum PNGase F treated at 10 µg

Secondary

All lanes:

Goat Anti-Rabbit IgG Peroxidase Conjugate, specific to the non-reduced form of IgG at 1/10000 dilution

Predicted band size: 69 kDa

Observed band size: 65 kDa,87 kDa

false

Exposure time: 5s

  • Carrier free

    Anti-AFM antibody [EPR19383] - BSA and Azide free

Key facts

Host species

Rabbit

Clonality

Monoclonal

Clone number

EPR19383

Isotype

IgG

Carrier free

No

Reacts with

Mouse, Rat, Human

Applications

WB

applications

Immunogen

The exact immunogen used to generate this antibody is proprietary information.

Reactivity data

{ "title": "Reactivity Data", "filters": { "stats": ["", "Species", "Dilution Info", "Notes"], "tabs": { "all-applications": {"fullname" : "All Applications", "shortname": "All Applications"}, "WB" : {"fullname" : "Western blot", "shortname":"WB"} }, "product-promise": { "all": "all", "testedAndGuaranteed": "tested", "guaranteed": "expected", "predicted": "predicted", "notRecommended": "not-recommended" } }, "values": { "Human": { "WB-species-checked": "testedAndGuaranteed", "WB-species-dilution-info": "1/1000", "WB-species-notes": "<p></p>" }, "Mouse": { "WB-species-checked": "testedAndGuaranteed", "WB-species-dilution-info": "1/1000", "WB-species-notes": "<p></p>" }, "Rat": { "WB-species-checked": "testedAndGuaranteed", "WB-species-dilution-info": "1/1000", "WB-species-notes": "<p></p>" } } }

Product details

Patented technology
Our RabMAb® technology is a patented hybridoma-based technology for making rabbit monoclonal antibodies. For details on our patents, please refer to RabMAb® patents.

What are the advantages of a recombinant monoclonal antibody?
This product is a recombinant monoclonal antibody, which offers several advantages including:

  • - High batch-to-batch consistency and reproducibility
  • - Improved sensitivity and specificity
  • - Long-term security of supply
  • - Animal-free batch production

For more information, read more on recombinant antibodies.

Properties and storage information

Form
Liquid
Purification technique
Affinity purification Protein A
Storage buffer
pH: 7.2 - 7.4 Preservative: 0.01% Sodium azide Constituents: PBS, 40% Glycerol (glycerin, glycerine), 0.05% BSA
Shipped at conditions
Blue Ice
Appropriate short-term storage duration
1-2 weeks
Appropriate short-term storage conditions
+4°C
Appropriate long-term storage conditions
-20°C
Aliquoting information
Upon delivery aliquot
Storage information
Avoid freeze / thaw cycle

Supplementary information

This supplementary information is collated from multiple sources and compiled automatically.

AFM also known as Afamin is a glycoprotein assigned to the albumin family. Its molecular mass is approximately 87 kDa. This protein is mainly expressed in the liver and secreted into the bloodstream. It possesses binding affinity for vitamin E which suggests a role in transport and metabolic processes. It shares structural similarities with other proteins in the albumin family contributing to its functional versatility.
Biological function summary

AFM plays a central role in the transport of lipids and vitamins particularly vitamin E throughout the body. It acts independently and does not participate in large protein complexes. AFM shows interactions with other lipid-binding proteins modulating their activities and ensuring efficient distribution of essential nutrients. Such interactions highlight the importance of AFM in maintaining cellular homeostasis and protecting cells from oxidative damage.

Pathways

AFM actively participates in metabolic and vitamin transport pathways collaborating with proteins like albumin and transthyretin. It notably influences lipid metabolism and antioxidative pathways thereby contributing to overall cellular defense mechanisms. AFM's functionality intertwines with the activities of these proteins indicating its essential role in finely tuned biological processes especially those involving lipid and vitamin management.

AFM has associations with metabolic and neurodegenerative conditions. Altered levels of AFM can correlate with diseases like type 2 diabetes and Alzheimer's disease. It interacts with other relevant proteins such as apolipoproteins impacting disease progression and symptomatology. These connections suggest that AFM could potentially be a biomarker or therapeutic target for managing such disorders opening avenues for future research and treatment strategies.

Product protocols

For this product, it's our understanding that no specific protocols are required. You can visit:

Target data

Functions as a carrier for hydrophobic molecules in body fluids (Probable). Essential for the solubility and activity of lipidated Wnt family members, including WNT1, WNT2B, WNT3, WNT3A, WNT5A, WNT7A, WNT7B, WNT8, WNT9A, WNT9B, WNT10A and WNT10B (PubMed : 26902720). Binds vitamin E (PubMed : 12463752, PubMed : 15952736). May transport vitamin E in body fluids under conditions where the lipoprotein system is not sufficient (PubMed : 15952736). May be involved in the transport of vitamin E across the blood-brain barrier (PubMed : 19046407).
See full target information AFM

Publications (1)

Recent publications for all applications. Explore the full list and refine your search

EMBO molecular medicine 13:e13158 PubMed33369168

2020

Beclin-1-mediated activation of autophagy improves proximal and distal urea cycle disorders.

Applications

Unspecified application

Species

Unspecified reactive species

Leandro R Soria,Sonam Gurung,Giulia De Sabbata,Dany P Perocheau,Angela De Angelis,Gemma Bruno,Elena Polishchuk,Debora Paris,Paola Cuomo,Andrea Motta,Michael Orford,Youssef Khalil,Simon Eaton,Philippa B Mills,Simon N Waddington,Carmine Settembre,Andrés F Muro,Julien Baruteau,Nicola Brunetti-Pierri
View all publications

Product promise

We are committed to supporting your work with high-quality reagents, and we're here for you every step of the way. In the unlikely event that one of our products does not perform as expected, you're protected by our Product Promise.
For full details, please see our Terms & Conditions

Please note: All products are 'FOR RESEARCH USE ONLY. NOT FOR USE IN DIAGNOSTIC OR THERAPEUTIC PROCEDURES'.

For licensing inquiries, please contact partnerships@abcam.com