JavaScript is disabled in your browser. Please enable JavaScript to view this website.
AB3778

Anti-Aggrecan antibody [6-B-4]

4

(7 Reviews)

|

(282 Publications)

Anti-Aggrecan antibody [6-B-4] (ab3778) is a mouse monoclonal antibody detecting Aggrecan in Western Blot, IHC-P. Suitable for Human.

- Over 190 publications
- Trusted since 2003

View Alternative Names

AGC1, CSPG1, MSK16, ACAN, Aggrecan core protein, Cartilage-specific proteoglycan core protein, Chondroitin sulfate proteoglycan core protein 1, CSPCP, Chondroitin sulfate proteoglycan 1

4 Images
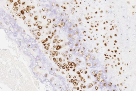
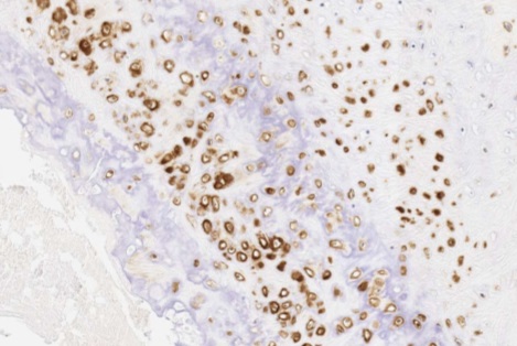
Immunohistochemistry (Formalin/PFA-fixed paraffin-embedded sections) - Anti-Aggrecan antibody [6-B-4] (AB3778)
  • IHC-P

Supplier Data

Immunohistochemistry (Formalin/PFA-fixed paraffin-embedded sections) - Anti-Aggrecan antibody [6-B-4] (AB3778)

Secreted staining of cartilage cells.

Staining performed on a Leica BOND RXTM system using the standard protocol F. The section was pre-treated using enzymatic retrieval, for 15mins. The section was then incubated with ab3778, 0.05μg/ml, for 15 mins at room temperature and detected using an HRP conjugated compact polymer system. DAB was used as the chromogen. The section was then counterstained with haematoxylin and mounted with DPX.

Immunohistochemistry (Formalin/PFA-fixed paraffin-embedded sections) - Anti-Aggrecan antibody [6-B-4] (AB3778)
  • IHC-P

Supplier Data

Immunohistochemistry (Formalin/PFA-fixed paraffin-embedded sections) - Anti-Aggrecan antibody [6-B-4] (AB3778)

No staining in negative control tissue (human normal liver).

Staining performed on a Leica BOND RXTM system using the standard protocol F. The section was pre-treated using enzymatic retrieval, for 15mins. The section was then incubated with ab3778, 0.05μg/ml, for 15 mins at room temperature and detected using an HRP conjugated compact polymer system. DAB was used as the chromogen. The section was then counterstained with haematoxylin and mounted with DPX.

Western blot - Anti-Aggrecan antibody [6-B-4] (AB3778)
  • WB

Supplier Data

Western blot - Anti-Aggrecan antibody [6-B-4] (AB3778)

ab3778 was shown to react with recombinant human Aggrecan protein in western blot.

Membranes were blocked in fluorescent western blot (TBS-based) blocking solution before incubation with ab3778 at 1μg/ml overnight at 4°C. Blots were incubated with Goat anti-Mouse IgG H&L (IRDye®800CW) preabsorbed (ab216772) at a 1/20000 dilution for 1 hour at RT.

All lanes:

Western blot - Anti-Aggrecan antibody [6-B-4] (ab3778)

Predicted band size: 250 kDa

false

Western blot - Anti-Aggrecan antibody [6-B-4] (AB3778)
  • WB

Unknown

Western blot - Anti-Aggrecan antibody [6-B-4] (AB3778)

Buffer and Concentration : 2% BSA/TBST

Exposure time : 180 seconds

All lanes:

Western blot - Anti-Aggrecan antibody [6-B-4] (ab3778) at 1/1000 dilution

All lanes:

C-terminal 10 His tagged Human Aggrecan recombinant protein (aa 20 to 675) 15ng

Secondary

All lanes:

Peroxidase-Conjugated Goat anti-Mouse IgG (H+L) at 1/10000 dilution

Predicted band size: 250 kDa

false

Key facts

Host species

Mouse

Clonality

Monoclonal

Clone number

6-B-4

Isotype

IgG1

Light chain type

kappa

Carrier free

No

Reacts with

Human

Applications

IHC-P, WB

applications

Immunogen

The exact immunogen used to generate this antibody is proprietary information.

Specificity

This antibody detects recombinant human Aggrecan by Western Blotting. We have been unable to detect endogenous protein in WB with this antibody. However, there are many citations indicating this antibody is able to detect Aggrecan in endogenous sample lysates.

Reactivity data

{ "title": "Reactivity Data", "filters": { "stats": ["", "Species", "Dilution Info", "Notes"], "tabs": { "all-applications": {"fullname" : "All Applications", "shortname": "All Applications"}, "WB" : {"fullname" : "Western blot", "shortname":"WB"}, "IHCP" : {"fullname" : "Immunohistochemistry (Formalin/PFA-fixed paraffin-embedded sections)", "shortname":"IHC-P"} }, "product-promise": { "all": "all", "testedAndGuaranteed": "tested", "guaranteed": "expected", "predicted": "predicted", "notRecommended": "not-recommended" } }, "values": { "Human": { "WB-species-checked": "testedAndGuaranteed", "WB-species-dilution-info": "1 µg/mL", "WB-species-notes": "<p></p>", "IHCP-species-checked": "testedAndGuaranteed", "IHCP-species-dilution-info": "0.05 µg/mL", "IHCP-species-notes": "<p></p> Perform enzymatic antigen retrieval before commencing with IHC staining protocol." } } }

Product details

What is this antibody validated in?
Anti-Aggrecan antibody [6-B-4] (ab3778) is a mouse recombinant monoclonal antibody and is validated for use in Western Blot (WB), Immunohistochemistry (IHC-P) in Human, samples.

What is the molecular weight of Aggrecan?
Anti-Aggrecan [6-B-4] (ab3778) specifically detects a band for Aggrecan (UniProt: P16112) at a molecular weight of 250kDa.

Trusted by the scientific community
Anti-Aggrecan [6-B-4] (ab3778) was first used in a scientific publication in 2003 and has been cited over 190 times in peer-reviewed journals.

Reviewed by scientists
Anti-Aggrecan [6-B-4] (ab3778) has over 5 independent reviews from customers.

Other related products
We have a range of other formats of antibody clone [6-B-4] also available for your convenience: ab3778, Carrier free - ab255969, Alexa Fluor® 647 - ab315140, Alexa Fluor® 488 - ab318312

What are the advantages of a recombinant monoclonal antibody?
This product is a recombinant monoclonal antibody, which offers several advantages including:

  • - High batch-to-batch consistency and reproducibility
  • - Improved sensitivity and specificity
  • - Long-term security of supply
  • - Animal-free batch production

For more information, read more on recombinant antibodies.

Properties and storage information

Form
Liquid
Purification technique
Affinity purification Protein A
Storage buffer
Preservative: 0.01% Sodium azide Constituents: PBS, 40% Glycerol (glycerin, glycerine), 0.05% BSA
Shipped at conditions
Blue Ice
Appropriate short-term storage duration
1-2 weeks
Appropriate short-term storage conditions
+4°C
Appropriate long-term storage conditions
-20°C
Aliquoting information
Upon delivery aliquot
Storage information
Avoid freeze / thaw cycle

Supplementary information

This supplementary information is collated from multiple sources and compiled automatically.

Aggrecan also known as aggrecan core protein or chondroitin sulfate proteoglycan 1 is a large proteoglycan vital for cartilage structure and function. It has a mass of approximately 250 kDa. Aggrecan is expressed mostly in cartilage regions such as articular cartilage but it might also be found in other connective tissues. The structure of aggrecan consists of a core protein that attaches to glycosaminoglycan chains allowing it to create hydrated gel structures essential for the resilience and load-bearing properties of cartilage.
Biological function summary

Aggrecan plays a significant role in maintaining the structural integrity of cartilage by providing resistance to compression. This proteoglycan is a central component of the extracellular matrix forming large aggregates with hyaluronic acid and link proteins. These aggregates contribute to the cartilage's osmotic properties helping resist compression during joint movement. Aggrecan's structural properties make it necessary for normal joint function and health.

Pathways

Aggrecan interacts within the cartilage development and maintenance frameworks. Specifically it participates in the regulation of the ECM-receptor interaction pathway and the proteoglycans in cancer pathway. Aggrecan functions alongside proteins such as type II collagen to ensure biomechanical properties of the cartilage. Additionally its enzymatic breakdown by aggrecanases like ADAMTS can impact these pathways leading to various physiological effects.

Aggrecan is closely associated with osteoarthritis and intervertebral disc degeneration. In osteoarthritis the loss of aggrecan through enzymatic degradation leads to reduced joint function and increased pain. The breakdown involves aggrecanases and other matrix metalloproteinases resulting in cartilage degradation. Diseases such as intervertebral disc degeneration also link to the reduced presence or altered structure of aggrecan impacting spine health and mobility.

Product protocols

For this product, it's our understanding that no specific protocols are required. You can visit:

Target data

This proteoglycan is a major component of extracellular matrix of cartilagenous tissues. A major function of this protein is to resist compression in cartilage. It binds avidly to hyaluronic acid via an N-terminal globular region.
See full target information ACAN

Publications (282)

Recent publications for all applications. Explore the full list and refine your search

Cellular and molecular life sciences : CMLS 82:330 PubMed40886189

2025

Melatonin attenuates intervertebral disc degeneration by restoring mitochondrial homeostasis through PGC-1α signaling pathway.

Applications

Unspecified application

Species

Unspecified reactive species

Tao Lan,Wenhan Yang,Bin Yan,Weizhuang Guo,Yuantao Zhang

Advanced functional materials 34: PubMed40800235

2025

Functionalized Annealed Microgels for Spatial Control of Osteogenic and Chondrogenic Differentiation.

Applications

Unspecified application

Species

Unspecified reactive species

Jeremy M Lowen,Erika E Wheeler,Nathan K Shimamoto,David H Ramos-Rodriguez,Katherine H Griffin,Gabriella C Bond,J Kent Leach

Biological research 58:52 PubMed40722201

2025

Targeting EGR1-ATF3 signaling mitigates paravertebral muscle degeneration by regulating cell death and inflammaging.

Applications

Unspecified application

Species

Unspecified reactive species

Xuke Wang,Qingfeng Wang,Zhe Wang,Yingjie Zhou,Xiaobing Jiang,Yongjin Li

Stem cells international 2025:5091529 PubMed40476182

2025

miR-1275 Delivered via Mesenchymal Stem Cell-Derived Extracellular Vesicles Regulates ER-Phagy Through AXIN2 in Nucleus Pulposus Cells.

Applications

Unspecified application

Species

Unspecified reactive species

Zhiwu Dong,Hailong Zhang,Wenwei Yang,Keliang Huang,Xin Zhang,Lianxiang Xing,Ying Zhang,Kewen Zhao

Communications biology 8:751 PubMed40369110

2025

ATF1 and miR-27b-3p drive intervertebral disc degeneration through the PPARG/NF-κB signaling axis.

Applications

Unspecified application

Species

Unspecified reactive species

Wei Guo,Kun Mu,Jing-Chao Geng,Hai-Yang Xing,Yu Dong,Wen-Dong Liu,Shuan-Chi Wang,Jia-Xiao Shi,Bao-Rui Xing,Jian-Yong Zhao,Xiao-Ming Li

Bioactive materials 50:344-363 PubMed40297641

2025

Multifunctional piezoelectric hydrogels under ultrasound stimulation boost chondrogenesis by recruiting autologous stem cells and activating the Ca/CaM/CaN signaling pathway.

Applications

Unspecified application

Species

Unspecified reactive species

Yu-Bao Liu,Xu Liu,Xiao-Fei Li,Liang Qiao,Hao-Liang Wang,Yue-Fu Dong,Feng Zhang,Yang Liu,Hao-Yang Liu,Ming-Liang Ji,Lan Li,Qing Jiang,Jun Lu

PloS one 20:e0319976 PubMed40168275

2025

Intermittent hypoxic stimulation promotes efficient expression of Hypoxia-inducible factor-1α and exerts a chondroprotective effect in an animal osteoarthritis model.

Applications

Unspecified application

Species

Unspecified reactive species

Ryota Cha,Shuji Nakagawa,Yuji Arai,Atsuo Inoue,Naoki Okubo,Yuta Fujii,Kenta Kaihara,Kei Nakamura,Tsunao Kishida,Osam Mazda,Kenji Takahashi

Advanced science (Weinheim, Baden-Wurttemberg, Germany) 12:e2413709 PubMed40150862

2025

UGDH Lactylation Aggravates Osteoarthritis by Suppressing Glycosaminoglycan Synthesis and Orchestrating Nucleocytoplasmic Transport to Activate MAPK Signaling.

Applications

Unspecified application

Species

Unspecified reactive species

Weiren Lan,Xueman Chen,Huai Yu,Jianzhao Ruan,Jingliang Kang,Xiaoyu Nie,Yumei Cao,Su'an Tang,Changhai Ding

Journal of oral & facial pain and headache 39:196-203 PubMed40129438

2025

Loss of SCRG1 in chondrocytes inhibits osteoarthritis by promoting autophagy activity in the temporomandibular joint through inhibition of neurokine receptors.

Applications

Unspecified application

Species

Unspecified reactive species

JiaJun Zhang,LePing Yuan,YanYan Zhang,HaoYang Jin,YeKe Zhao,XiaoKe Zeng,YanHui Zou,KeYu Wang,Xin Nie

Protein & cell 16:667-684 PubMed40119681

2025

Single-nucleus transcriptomics decodes the link between aging and lumbar disc herniation.

Applications

Unspecified application

Species

Unspecified reactive species

Min Wang,Zan He,Anqi Wang,Shuhui Sun,Jiaming Li,Feifei Liu,Chunde Li,Chengxian Yang,Jinghui Lei,Yan Yu,Shuai Ma,Si Wang,Weiqi Zhang,Zhengrong Yu,Guang-Hui Liu,Jing Qu
View all publications

Product promise

We are committed to supporting your work with high-quality reagents, and we're here for you every step of the way. In the unlikely event that one of our products does not perform as expected, you're protected by our Product Promise.
For full details, please see our Terms & Conditions

Please note: All products are 'FOR RESEARCH USE ONLY. NOT FOR USE IN DIAGNOSTIC OR THERAPEUTIC PROCEDURES'.

For licensing inquiries, please contact partnerships@abcam.com