JavaScript is disabled in your browser. Please enable JavaScript to view this website.
AB255969

Anti-Aggrecan antibody [6-B-4] - BSA and Azide free

Be the first to review this product! Submit a review

|

(0 Publication)

Mouse Recombinant Monoclonal Aggrecan antibody. Carrier free. Suitable for WB, IHC-P and reacts with Synthetic peptide, Human samples.

View Alternative Names

AGC1, CSPG1, MSK16, ACAN, Aggrecan core protein, Cartilage-specific proteoglycan core protein, Chondroitin sulfate proteoglycan core protein 1, CSPCP, Chondroitin sulfate proteoglycan 1

3 Images
Immunohistochemistry (Formalin/PFA-fixed paraffin-embedded sections) - Anti-Aggrecan antibody [6-B-4] - BSA and Azide free (AB255969)
  • IHC-P

Supplier Data

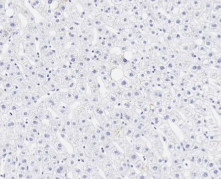
Immunohistochemistry (Formalin/PFA-fixed paraffin-embedded sections) - Anti-Aggrecan antibody [6-B-4] - BSA and Azide free (AB255969)

This data was produced using the same clone but in a different buffer formulation, ab3778.

No staining in negative control tissue (human normal liver).

Staining performed on a Leica BOND RXTM system using the standard protocol F. The section was pre-treated using enzymatic retrieval, for 15mins. The section was then incubated with ab3778, 0.05μg/ml, for 15 mins at room temperature and detected using an HRP conjugated compact polymer system. DAB was used as the chromogen. The section was then counterstained with haematoxylin and mounted with DPX.

Western blot - Anti-Aggrecan antibody [6-B-4] - BSA and Azide free (AB255969)
  • WB

Supplier Data

Western blot - Anti-Aggrecan antibody [6-B-4] - BSA and Azide free (AB255969)

This data was produced using the same clone but in a different buffer formulation, ab3778.

ab3778 was shown to react with recombinant human Aggrecan protein in western blot.

Membranes were blocked in fluorescent western blot (TBS-based) blocking solution before incubation with ab3778 at 1μg/ml overnight at 4°C. Blots were incubated with Goat anti-Mouse IgG H&L (IRDye®800CW) preabsorbed (ab216772) at a 1/20000 dilution for 1 hour at RT.

All lanes:

Western blot - Anti-Aggrecan antibody [6-B-4] (<a href='/en-us/products/primary-antibodies/aggrecan-antibody-6-b-4-ab3778'>ab3778</a>)

Predicted band size: 250 kDa

false

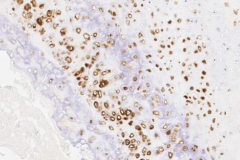
Immunohistochemistry (Formalin/PFA-fixed paraffin-embedded sections) - Anti-Aggrecan antibody [6-B-4] - BSA and Azide free (AB255969)
  • IHC-P

Supplier Data

Immunohistochemistry (Formalin/PFA-fixed paraffin-embedded sections) - Anti-Aggrecan antibody [6-B-4] - BSA and Azide free (AB255969)

This data was produced using the same clone but in a different buffer formulation, ab3778.

Secreted staining of cartilage cells.

Staining performed on a Leica BOND RXTM system using the standard protocol F. The section was pre-treated using enzymatic retrieval, for 15mins. The section was then incubated with ab3778, 0.05μg/ml, for 15 mins at room temperature and detected using an HRP conjugated compact polymer system. DAB was used as the chromogen. The section was then counterstained with haematoxylin and mounted with DPX.

Key facts

Host species

Mouse

Clonality

Monoclonal

Clone number

6-B-4

Isotype

IgG1

Carrier free

Yes

Reacts with

Human

Applications

WB, IHC-P

applications

Immunogen

The exact immunogen used to generate this antibody is proprietary information.

Specificity

This antibody detects recombinant human Aggrecan by Western Blotting. We have been unable to detect endogenous protein in WB with this antibody. However, there are many citations indicating this antibody is able to detect Aggrecan in endogenous sample lysates.

Reactivity data

{ "title": "Reactivity Data", "filters": { "stats": ["", "Species", "Dilution Info", "Notes"], "tabs": { "all-applications": {"fullname" : "All Applications", "shortname": "All Applications"}, "WB" : {"fullname" : "Western blot", "shortname":"WB"}, "IHCP" : {"fullname" : "Immunohistochemistry (Formalin/PFA-fixed paraffin-embedded sections)", "shortname":"IHC-P"} }, "product-promise": { "all": "all", "testedAndGuaranteed": "tested", "guaranteed": "expected", "predicted": "predicted", "notRecommended": "not-recommended" } }, "values": { "Human": { "WB-species-checked": "testedAndGuaranteed", "WB-species-dilution-info": "", "WB-species-notes": "<p></p>", "IHCP-species-checked": "testedAndGuaranteed", "IHCP-species-dilution-info": "", "IHCP-species-notes": "<p></p>" }, "Synthetic peptide": { "WB-species-checked": "testedAndGuaranteed", "WB-species-dilution-info": "", "WB-species-notes": "<p></p>", "IHCP-species-checked": "testedAndGuaranteed", "IHCP-species-dilution-info": "", "IHCP-species-notes": "<p></p>" } } }

Product details

ab255969 is the carrier-free version of ab3778.

What are the advantages of a recombinant monoclonal antibody?
This product is a recombinant monoclonal antibody, which offers several advantages including:

  • - High batch-to-batch consistency and reproducibility
  • - Improved sensitivity and specificity
  • - Long-term security of supply
  • - Animal-free batch production

For more information, read more on recombinant antibodies.

Conjugation ready
Our carrier-free antibodies are typically supplied in a PBS-only formulation, purified and free of BSA, sodium azide and glycerol. This conjugation-ready format is designed for use with fluorochromes, metal isotopes, oligonucleotides, and enzymes, which makes them ideal for antibody labelling, functional and cell-based assays, flow-based assays (e.g. mass cytometry) and Multiplex Imaging applications.

Use our conjugation kits for antibody conjugates that are ready-to-use in as little as 20 minutes with 1 minute hands-on-time and 100% antibody recovery: available for fluorescent dyes, HRP, biotin and gold.

Compatibility
This product is compatible with the Maxpar® Antibody Labeling Kit from Fluidigm, without the need for antibody preparation. Maxpar® is a trademark of Fluidigm Canada Inc.

Properties and storage information

Form
Liquid
Purification technique
Affinity purification Protein A
Storage buffer
Constituents: PBS
Shipped at conditions
Blue Ice
Appropriate short-term storage conditions
+4°C
Appropriate long-term storage conditions
+4°C
Storage information
Do Not Freeze

Supplementary information

This supplementary information is collated from multiple sources and compiled automatically.

Aggrecan also known as aggrecan core protein or chondroitin sulfate proteoglycan 1 is a large proteoglycan vital for cartilage structure and function. It has a mass of approximately 250 kDa. Aggrecan is expressed mostly in cartilage regions such as articular cartilage but it might also be found in other connective tissues. The structure of aggrecan consists of a core protein that attaches to glycosaminoglycan chains allowing it to create hydrated gel structures essential for the resilience and load-bearing properties of cartilage.
Biological function summary

Aggrecan plays a significant role in maintaining the structural integrity of cartilage by providing resistance to compression. This proteoglycan is a central component of the extracellular matrix forming large aggregates with hyaluronic acid and link proteins. These aggregates contribute to the cartilage's osmotic properties helping resist compression during joint movement. Aggrecan's structural properties make it necessary for normal joint function and health.

Pathways

Aggrecan interacts within the cartilage development and maintenance frameworks. Specifically it participates in the regulation of the ECM-receptor interaction pathway and the proteoglycans in cancer pathway. Aggrecan functions alongside proteins such as type II collagen to ensure biomechanical properties of the cartilage. Additionally its enzymatic breakdown by aggrecanases like ADAMTS can impact these pathways leading to various physiological effects.

Aggrecan is closely associated with osteoarthritis and intervertebral disc degeneration. In osteoarthritis the loss of aggrecan through enzymatic degradation leads to reduced joint function and increased pain. The breakdown involves aggrecanases and other matrix metalloproteinases resulting in cartilage degradation. Diseases such as intervertebral disc degeneration also link to the reduced presence or altered structure of aggrecan impacting spine health and mobility.

Product protocols

For this product, it's our understanding that no specific protocols are required. You can visit:

Target data

This proteoglycan is a major component of extracellular matrix of cartilagenous tissues. A major function of this protein is to resist compression in cartilage. It binds avidly to hyaluronic acid via an N-terminal globular region.
See full target information ACAN

Product promise

We are committed to supporting your work with high-quality reagents, and we're here for you every step of the way. In the unlikely event that one of our products does not perform as expected, you're protected by our Product Promise.
For full details, please see our Terms & Conditions

Please note: All products are 'FOR RESEARCH USE ONLY. NOT FOR USE IN DIAGNOSTIC OR THERAPEUTIC PROCEDURES'.

For licensing inquiries, please contact partnerships@abcam.com